文章最后更新时间:2024-08-12 19:43:48,由春晓健康网负责审核发布,若内容或图片失效,请留言反馈!
晚期肿瘤癌症新疗法,肿瘤浸润淋巴细胞TIL疗法临床试验进行中,有望上市
TIL疗法治疗案例
虽然经常看到文献中治疗各种晚期癌症的案例,但是当看到这位患者的治疗经过还是感到非常震撼,如此晚期的恶性肿瘤竟然可以“痊愈”,不得不说,癌症治疗的新技术已经让越来越多的患者获益!
40岁的M先生是一位非常晚期的黑色素瘤患者,在2005年3月份的时候,他右后颈部的真菌性肿瘤已经超过了10公分,并且表面已经溃烂,在那个年代,对于这种恶性程度极高的晚期肿瘤患者,医生也束手无策。
走投无路的M先生找到了美国癌症研究院大名鼎鼎的外科主任Steven A. Rosenberg博士,参加一项免疫疗法的临床试验,简单来说,这种疗法就是从M先生的肿瘤内找到能够识别和杀伤肿瘤细胞的免疫细胞,在体外进行扩增达到数百亿,当这部分杀伤力最强的细胞大军回输到M先生体内后,从接受治疗的第七天开始,M先生每天都能看到肿瘤在快速的从自己身上消退,几个月后,M先生的肿瘤彻底消失。
2010年的2月份,M先生复查显示已经完全缓解长达59个月!

让M先生"痊愈"的免疫疗法-TILs疗法
相信看了M先生的案例,大家都想知道他接受的是什么样的免疫疗法,是只针对他的癌症有效,还是可以让所有的肿瘤患者获益。
M先生接受的治疗称为TILs疗法,和CAR-T一样属于过继性免疫治疗的一种,但是这是一种赶超CAR-T的新型实体瘤T细胞疗法,它的开创者正是免疫界泰斗Rosenberg及其团队。
Steven Rosenberg(NCI)

资料显示,老爷爷今年已经78岁了,是世界著名的癌症学和免疫学专家,也是美国癌症研究院(NCI)的外科主任。
TILs疗法实际上并不是新技术,早在1986年的体外研究表明,从手术切除的恶性黑色素瘤中获得的人源TILs含有能够特异性识别自体肿瘤的T淋巴细胞,当存在大量的肿瘤浸润淋巴细胞时,表明机体启动了对抗肿瘤的免疫反应。
这些发现让Rosenberg教授非常兴奋,他终于找到了人体内杀伤能力最强的一群免疫细胞--肿瘤浸润淋巴细胞(Tumorinfiltrating lymphocytes TILs)。
Rosenberg博士认为,在手术切除的肿瘤组织中,大部分是肿瘤细胞,也有少部分淋巴细胞。这些淋巴细胞中有部分是针对肿瘤特异性突变抗原的T细胞,而它们就是深入到敌军内部打击能力最强的免疫细胞,但是肿瘤患者体内的TILs细胞数量远远不足,Rosenberg基于此研发出体外培养方法,把这些肿瘤组织中的特异性淋巴细胞TILs富集起来,再扩增为百亿级细胞回输给患者,就能够发挥超强抗肿瘤作用。此后30年,他和他的团队一直在致力做一件事情:如何发现并放大“打败”工作做得最好的那部分免疫系统细胞--肿瘤浸润的淋巴细胞。
TIL疗法诞生和临床试验
1988年,首次证明使用自体TILs的过继性T细胞疗法可以介导转移性恶性黑色素瘤患者的肿瘤客观消退。这意味着,实体肿瘤的克星-TILs疗法正式诞生。
2009年Rosenberg教授发表的针对黑色素瘤的三项连续的临床试验中,接受TILs治疗的客观缓解率在49%至72%之间。其中25名接受TILs疗法的试验中,有7名(28%)达到了完全缓解!值得一提的是,完全患者的患者大部分可达到临床无进展生存!其中另一位患者也像M先生一样,在接受治疗的12天肿瘤就出现了迅速的缩小。

目前,美国国家癌症研究所NCI在这方面已经取得了非常大的成功,并且已在其他主要癌症中心实施治疗,例如Moffitt癌症中心。
2011年,美国国家癌症研究所(NCI)外科主任Steven A. Rosenberg团队发表在国际顶级期刊《Clinical cancer research》上的对于转移性黑色素瘤的2期临床研究显示,TIL治疗黑色素瘤患者的客观缓解率(ORR)为56%,完全缓解率(CR)高达24%。并且研究表明,浸润肿瘤的免疫细胞数量与患者的生存机会成正比。黑色素瘤是具有相对高的突变负荷的癌症之一,肿瘤被这些免疫细胞润,参与早期试验的一些患者对这种疗法的反应持续了十多年。

此后,Iovance公司基于自体肿瘤浸润淋巴细胞(TIL)专门针对黑色素瘤研发了Lifileucel(LN-144)免疫疗法。在2020年刚刚举行的ASCO会议上,基于TILS细胞的创新型疗法LN-144(Lifileucel)更新了黑色素瘤的临床结果,再次引起了轰动。
C-144-01是一项2期临床试验,招募66名已被诊断患有IIIc期或IV期转移性黑色素瘤的患者。这些患者的特点是至少接受了3~4种全身性治疗都失败后的患者,所有人都接受过PD-1抑制剂治疗,80%接受过CTLA-4抑制剂 ,23%的患者接受过BRAF / MEK抑制剂,可以说是临床上用尽了治疗方案,山重水复疑无路的极晚期患者。还有44%的患者存在肝或脑转移。
该临床试验旨在确定TIL治疗疗法LN-144是否安全有效地治疗转移性黑色素瘤(帮助患者延长寿命和/或减缓癌症进展)。
这些患者在接受手术后,将肿瘤组织中的TIL细胞进行培养后回输,平均注入的TIL细胞:28 x 10^9;IL-2剂量:6次。
实验结果
不负众望!在报道的66例接受过PD-1治疗晚期黑色素瘤患者的试验中,结果显示:
疾病控制率(DCR)高达80.3%;
客观缓解率达到36.4%;
中位随访时间为8.8个月,未达到中位反应持续时间。
更引人注目的是,患有PD-L1阴性的患者也有响应,这说明对免疫检查点抑制剂无效的患者仍能获益于TIL疗法。
对于PD-1治疗后进展的患者,几乎没有其他治疗选择,这种治疗方案的效果几乎无与伦比。

一位晚期黑色素瘤患者肿瘤在治疗前出现广泛转移,在接受TILs疗法后一个月病灶明显缩小,治疗6个月达到完全缓解,治疗两年后仍然处于完全缓解状态,并且体内持续存在肿瘤反应性CD8 + T细胞。

TILs疗法与其他细胞免疫疗法有哪些不同
肿瘤的CAR-T,NK细胞疗法已经为大家所熟知,而TIL是完全不同于传统细胞疗法的一类新型疗法。
1.杀伤能力更强
TIL的免疫细胞来自于肿瘤组织,而其他细胞免疫疗法大部分来取自血液,这直接决定了免疫细胞识别肿瘤的能力。据估计,肿瘤里分离出的免疫细胞,有60%以上能识别肿瘤,而血液里面分离的免疫细胞,不到0.5%。
2.找到特定突变,精准识别
这种新型的疗法不是像传统的简单的扩增回输,而是要确定患者病例中特定的突变。之后利用突变信息找到能够最有效瞄准这些突变的T细胞,最后提取出专门患者肿瘤中细胞突变的T细胞,这些细胞具有精准识别癌细胞的能力。
Rosenberg对常见胃肠道癌的患者的研究证明了不同患者之间免疫应答的独特性。通过对75位患者的生物学样本进行全外显子测序,确定了124个新抗原的TIL。他们发现,83%(62)的患者培养的TIL能够试别自体肿瘤细胞表达的1.6%的体细胞突变。99%的新抗原决定簇在每个癌症患者中都是完全不同的。因此,必须从每个癌症患者中取出细胞,确定哪些细胞可以真正识别和攻击癌症,将这些细胞进行培养,扩增才能起到治疗效果,这是非常复杂的。

3.强强联合,杀癌效果倍增
这些免疫细胞经过体外培养后,重新注入到患者体内。同时,研究团队联合使用了免疫增强药物白细胞介素2和另一种“明星抗癌药”PD-1抑制剂Keytruda,Keytruda即属于另一种免疫疗法免疫检查点阻断,在某些癌症中有显著的效果。
基于上述操作过程,该新疗法被认为是为患者“量身定制”。
TILs疗法对哪些癌症有效
TILs疗法对于多种临床上难治的实体肿瘤取得了惊艳四座的临床效果。去年的ASCO会议上,基于TILS细胞的创新型疗法LN-145和LN-144(Lifileucel)在治疗宫颈癌和黑色素瘤的临床结果一经公布,就引起了医学界的广泛关注,其中黑色素瘤中的TIL治疗具有持续数十年的完全应答(CR)的潜力,这种长期的作用归功于记忆T细胞的持久性。
2019年6月,FDA基于innovaTIL-04(C-145-04)积极的试验的数据,治疗晚期宫颈癌患者的反应率(ORR)高达44%,授予肿瘤浸润淋巴细胞(TIL)治疗方法LN-145为突破性的治疗指定,这是用于实体瘤的细胞免疫疗法首次获此殊荣。近日,Iovance Biotherapeutics公司与FDA进行讨论之后宣布重大喜讯:FDA支持LN-145治疗晚期宫颈癌的监管申请。这一反馈让Iovance公司可能在2020年下半年为LN-145递交生物制剂许可申请(BLA),加快其上市的进程,一旦FDA批准,这将是首款用于实体瘤的细胞免疫疗法,将给癌症患者带来巨大的生存获益。
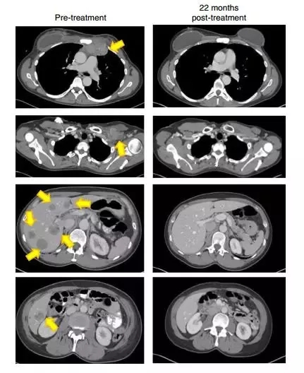
乳腺癌TIL疗法治疗
我是第一个接受肿瘤浸润淋巴细胞治疗的乳腺癌患者,并相信我已经被无进展生存了。--朱迪·珀金斯(Judy Perkins)

22个月后,肿瘤消失得无影无踪(图片来源:《Nature Medicine》)

胆管癌TIL疗法治疗
我是第一个接受肿瘤浸润淋巴细胞治疗的癌症患者,至今已经幸存十年!
--梅琳达·巴契尼(Melinda Bachini)

从几个月生存期到成为10年超级幸存者

结直肠癌TIL疗法治疗
KRAS G12D突变结直肠癌患者Celine Ryan4年疾病无进展

40天后,M女士第一次复查惊讶的发现,肺上剩余的7个转移病灶已经全部消退,其中三个完全消失。

国内患者如何接受TILs治疗
目前,这款新型的免疫疗法暂未上市,但在全球范围内开展了多项针对各类实体肿瘤(非小细胞肺癌,结直肠癌,卵巢癌,黑色素瘤...)的临床试验。

(正在进行的各项临床研究进展)
免疫肿瘤学的潜力刚刚开始实现,揭开更多的冰山将会更加详细地了解如何控制免疫反应,以及将将这些治疗手段用于临床获得益处。每天我们能看到更多的进展,我们相信这种治疗方法将在未来几年取得重大突破,让我们共同期待。





发表评论