文章最后更新时间:2024-08-15 12:02:39,由春晓健康网负责审核发布,若内容或图片失效,请留言反馈!
近两年,癌症的治疗手段继手术,放化疗,靶向治疗后,免疫治疗声名大噪,被誉为攻克癌症的新希望。以CAR-T和PD-1为代表的的免疫疗法已经给癌症患者带来了颠覆性的生存获益,一部分生存期仅仅几个月的晚期癌症患者也可以完全根除,在某些情况下强烈响应持续数月甚至数年。
但这只是冰山一角。近期,备受医学界和患者关注的实体瘤另一开创性技术TILs(肿瘤浸润淋巴细胞)在国际上取得了突破性的进展,给晚期癌症患者带来了新的希望。

美国TILs疗法有望上市
关于美国大名鼎鼎的TILs疗法,在近两年国际上的各大肿瘤学会议上,美国的TILs疗法不断公布各类实体肿瘤的临床数据,全球肿瘤医生网医学部也做了大量的报道。
目前,美国TILs疗法已经在黑色素瘤和宫颈癌两大癌种获得了FDA授予的突破性疗法称号,预计这款疗法将在2022年上市,一旦获批,这将成为实体肿瘤首款获批的过继性细胞免疫疗法。业内专家估计这款相当于量身定制的免疫疗法价格也会较高,约在70000~80000美金,对于大部分国内的患者来说遥不可及。
中国成功研发超级TIL疗法,晚期癌症患者有救了
曾经,这种先进的治疗技术一直掌握在医疗发达国家,很多病友只能苦苦等待国内的临床试验审批等一列流程走完,但是癌症患者真的等不起,有无数的病友们在等待中遗憾离开。这一切将被改写!
近期,中国的研究人员宣布,已成功研发出一种新型的超级TIL疗法。
与美国传统的TILs疗法不同,超级TIL(Super TIL,STIL)是将肿瘤浸润T淋巴细胞(TIL)从患者血液中提取出来后,在体外进行改造,使得这部分TIL细胞获得攻克肿瘤微环境障碍的能力,以及在体内近乎无限复制扩增的能力,这种新型的技术可以同时解决肿瘤识别、克服微环境和高效扩增的三大难题,实现强效抑癌效果。
据全球肿瘤医生网医学部了解,国内的TILs疗法是在美国的肿瘤浸润淋巴细胞(TIL)疗法基础上经过改良,并进一步给予基因修饰,提升其克服肿瘤微环境和增加自我扩增的能力,在前期的概念验证临床研究中已取得了非常积极的疗效和安全性验证,目前已获得批准正式开展人体临床试验招募患者,想申请的病友可以致电全球肿瘤医生网医学部进行评估。
胆道系统恶性肿瘤临床研究招募
一项关于使用ScTIL-v2治疗原发性胆道系统恶性肿瘤的临床研究正在国内两家顶尖的医院进行,并正式招募患者。
ScTIL-v2 是一种经过体外修饰与扩增的自体免疫细胞治疗产品。通过外周血单采和分选采集患者外周循环的 TIL(肿瘤侵润淋巴细胞),经修饰和扩增得到研究产品,然后回输给受试者。经筛选入组的患者可免费接受ScTIL-v2治疗及相关检查。
主要入组标准:
1.年龄≥18 岁且≤70 岁,性别不限;
2.预期自然存活 3 个月以上者;
3.组织学或细胞学证实的局部晚期或转移性胆道肿瘤患者,既往治疗失败,或已经放弃放化疗治疗,自愿接受细胞治疗的患者;
4.ECOG评分0~1.
开创性疗法-TILs细胞疗法问世
TILs疗法始于1980年代后期,是美国国家癌症研究所(NCI)的Steven A. Rosenberg团队开创的新型免疫疗法,他本人也在2013年荣获癌症护理巨人奖。

1986年,Rosenberg第一次在一位晚期的黑色素瘤患者手术切下来的肿瘤组织里惊讶的发现,除了大量的肿瘤细胞外,竟然还有一小部分淋巴细胞,而这些深入到肿瘤组织内部的免疫细胞或许是识别和杀伤能力最强的免疫细胞,也是深藏在肿瘤患者体内能够拯救晚期患者的宝藏,它们被称为肿瘤浸润淋巴细胞(TILs)!
随后,Rosenberg教授马上将这项巨大的发现转化到临床治疗。1988年,他首次在一位晚期黑色素瘤患者中进行了自体TILs过继性细胞治疗,结果和他的预期完全一致,这位晚期转移性黑色素瘤患者的肿瘤客观消退。此后这意味着,实体肿瘤的克星-TILs疗法正式诞生。
此后,TILs疗法在黑色素瘤中开展了众多研究,取得了卓越的临床数据!2009年Rosenberg教授发表的针对黑色素瘤的三项连续的临床试验中,接受TILs治疗的客观缓解率在49%至72%之间。28%达到了完全缓解!值得一提的是,完全缓解的患者大部分可达到临床治愈!早期参加临床试验的黑色素瘤患者有一些完全缓解的时间已经超过了十年,成为超级响应者,这归功于回输到体内的TILs细胞具有持久的识别和杀伤能力。

TILs疗法的抗癌原理
TIL,全称Tumor Infiltrating Lymphocytes,是肿瘤间质中的异质性淋巴细胞,包括T细胞及NK细胞等。这些细胞是机体在发现体内的癌细胞后调动免疫大军中深入到肿瘤组织内部,对肿瘤有最强的识别、抵抗和攻击作用的一支“超能敢死队”。到达肿瘤内部后,通过释放细胞毒素直接杀伤肿瘤细胞。此外,TIL还能调节机体免疫功能,提高机体对肿瘤细胞的杀伤能力。
和CAR-T一样,TILs属于过继性免疫治疗的一种,但是这是一种赶超CAR-T的新型实体瘤T细胞疗法。
首先,TILs疗法识别杀伤能力更强
TIL的免疫细胞来自于肿瘤组织,其自然靶向该患者肿瘤特异性抗原。而其他细胞免疫疗法大部分来取自血液。据估计,肿瘤里分离出的免疫细胞,有60%以上能识别肿瘤,而血液里面分离的免疫细胞,不到0.5%。这直接决定了免疫细胞识别肿瘤的能力。

其次,TILs细胞培养过程与其他免疫治疗不同
这种新型的疗法不是像传统的简单的扩增回输,而是要确定患者病例中特定的突变。之后利用突变信息找到能够最有效瞄准这些突变的T细胞,最后提取出专门患者肿瘤中细胞突变的T细胞,这些细胞具有精准识别癌细胞的能力。相比之下,CAR-T和TCR-T中用于治疗的T细胞是通过基因转染技术改造的外周血T细胞,是进行修饰而非筛选培养,因此,精准识别的能力与TIL细胞相差甚远。

最后一点,TILs疗法扩增数量庞大
TILs细胞经过分离筛选后,会加入白细胞介素2进行培养,增加免疫细胞存活的几率,最大限度的扩增免疫细胞,达到数百亿~数千亿级别,确保T细胞的有效性和活性后重新注入到患者体内,这意味着体内的抗癌“兵力”大大增强。

有望拿下实体瘤!TILs疗法在众多癌症中开花结果
近年来,TILs疗法攻破了一个又一个实体肿瘤,在国际上发表了众多重磅研究数据,成为治疗原发或继发肿瘤的新武器。
01、黑色素瘤:疾病控制率80.3%!TILs疗法有望获批黑色素瘤
TILs疗法在黑色素瘤中的研究是最早也是最多的,并且取得的数据也是目前最好的。在今年的ASCO会议上,基于TILS细胞的创新型疗法LN-144(Lifileucel)更新了黑色素瘤的临床结果,再次引起了轰动。66例接受过PD-1或靶向治疗进展后的极晚期黑色素瘤患者接受TILs治疗后,结果显示:
疾病控制率(DCR)高达80.3%;客观缓解率达到36.4%。更引人注目的是,患有PD-L1阴性的患者也有响应,这说明对免疫检查点抑制剂无效的患者仍能获益于TIL疗法。对于PD-1治疗后进展的患者,几乎没有其他治疗选择,这种治疗方案的效果几乎无与伦比。
基于这些数据,LN-144(Lifileucel)将在2021年提交上市申请,有望上市。
02、宫颈癌:首次获FDA突破治疗指定,有望上市
LN-145基于自体肿瘤浸润淋巴细胞(TIL)研发的另一款针对其他实体肿瘤的疗法。第二阶段innovaTIL-04(C-145-04)积极的试验在2019年2月4日的数据截止时,有27名可评估的患者。平均注入280亿TILs细胞;6次白细胞介素-2。
结果显示:
1.客观缓解率(ORR)44%,完全缓解率(CR)11%,疾病控制率(DCR)高达85%。即12名的患者有效果,包括1名完全应答,9名部分应答和2个未确认的部分应答;
2.中位随访时间为3.5个月,12例患者中有11例持续应答;
3.没有任何严重的副作用发生。

2019年6月,FDA基于这项惊艳的数据,授予肿瘤浸润淋巴细胞(TIL)治疗方法LN-145为突破性的治疗指定,这是用于实体瘤的细胞免疫疗法首次获此殊荣。Iovance Biotherapeutics公司与FDA进行讨论之后宣布重大喜讯:FDA支持LN-145治疗晚期宫颈癌的监管申请。LN-145疗法将在2021年递交上市申请,加快其上市的进程,一旦FDA批准,这将是首款用于实体瘤的细胞免疫疗法,将给癌症患者带来巨大的生存获益。
03、肺癌:TILs联手PD-1,晚期非小细胞肺癌出现完全缓解
肺癌是发病率和死亡率最高的癌症,临床中需要更多的治疗方式。研究人员猜想非小细胞肺癌患者通过将TILs和抗PD-1疗法的组合,是否也能出现持久的完全缓解?在今年的AACR会议上,这一组合初步数据公布,非常鼓舞人心。这项试验是由美国知名癌症中心莫菲特癌症研究中心(H. Lee Moffitt )开展的,Ⅰ期临床结果公布:在12名可评估的非小细胞肺癌患者中,TIL疗法可达到25%的总缓解率,其中2名患者达到持久的完全缓解。值得振奋的是,大部分患者在接受TILs治疗后,肿瘤病灶都有所缩小,在接受治疗后的第一次CT扫描时,肿瘤病灶直径平均缩小38%!

这项试验的主要研究者Markel教授说,TIL治疗在三名患者中引起了反应,这是“杰出的”。因为在PD-1治疗后,TILs疗法仍具有令晚期转移性非小细胞肺癌达到持久缓解的能力,这是非常了不起的,期待这款疗法能加大研究,早日获批上市,为晚期患者的生命持续续航!(这项研究目前仍在临床试验中,想了解详情的病友可以致电医学部进行初步评估)。
04、肉瘤:首次!TILs疗法在难治性骨肉瘤数据出炉,生存期翻倍
近日,研究人员首次公布了TIL和抗PD1疗法联合治疗骨肉瘤的安全性和有效性,结果非常积极,给骨肉瘤患者带来了新的希望。
在这项研究中,有30例患者接受了nivolumab(百时美研发的一种PD-1)治疗,而其他30例接受了TILs疗法加nivolumab治疗。
结果显示:
截止到2020年6月1日。第1组的所有患者在最后一次随访评估中死亡,而第2组的30名患者中有10名存活,客观缓解率(ORR)达到33.3%,并且10例患者中有2位患者出现完全缓解,也就是说影像学检查显示病灶完全消失。
平均无进展生存期(mPFS):3.8 VS 5.4个月;
平均总生存期(mOS):6.6 VS 15.2个月,翻了一倍多!(A)PFS曲线(B)OS曲线

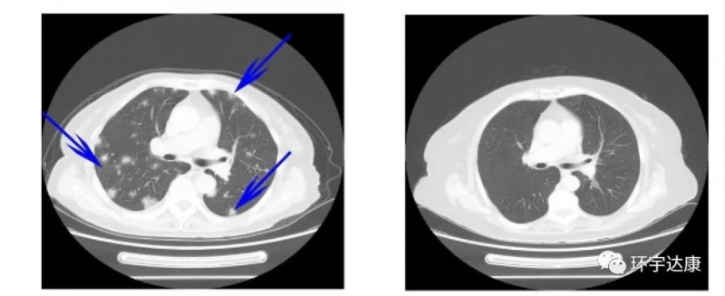
其中一位晚期骨肉瘤患者已经出现了双肺转移,TIL加抗PD1治疗后12周后双肺多个转移(蓝色箭头)完全缓解。

这些结果表明,TILs疗法联合PD-1显着提高了转移性骨肉瘤患者的治疗效果。
05、TILs疗法在卵巢癌中曙光初现
已经在多种实体肿瘤中获批的免疫检查点抑制剂疗法在卵巢癌(OC)中一直没有成功。因此,研究人员尝试将检查点抑制剂(ICI)联合肿瘤浸润淋巴细胞(TIL)进行治疗。
6例晚期转移性高级别浆液性OC的患者接受了ipilimumab后进行手术,接受TIL疗法,再接受低剂量IL-2和nivolumab。
结果显示,一名患者获得了部分缓解,其他五名患者经历了长达12个月的疾病稳定期。初步证实免疫检查点抑制剂与TILs疗法结合是可行和安全的。
实体肿瘤新希望-TILs疗法
除此之外,TILs疗法在结直肠癌,乳腺癌等恶性肿瘤中也显示出巨大潜力,请查看文末相关链接。已经发展的各项研究表明,TIL治疗将有待不断改进和发展,最终将成为人类抗癌的新武器。

肿瘤的免疫疗法被誉为攻克癌症的希望,不管是目前已经在众多癌症中获批的PD-1免疫检查点抑制剂疗法,还是过继性细胞免疫治疗,以及众多如火如荼研发中的癌症疫苗,都只是免疫学冰山中的一角。研究人员正在挖掘冰山中蕴藏的更多信息,如何控制免疫反应,以及将将这些治疗手段用于临床获得益处,给我们越来越多生存的希望,而攻克癌症的希望,或许就在其中。期待免疫疗法取得更多突破,给癌症患者带来更多奇迹。
参考资料:
https://www.onclive.com/view/fda-grants-priority-review-to-infigratinib-for-cholangiocarcinoma
https://oncology.medicinematters.com/aacr-2020/lung-cancer/tils-metastatic-nsclc/17957496
https://www.sciencedirect.com/science/article/pii/S2212137420300877#f0005
https://www.onclive.com/view/tils-the-ultimate-in-personalized-immunotherapy-move-closer-to-market





发表评论