文章最后更新时间:2024-08-15 12:02:41,由春晓健康网负责审核发布,若内容或图片失效,请留言反馈!
肿瘤浸润淋巴细胞(TILs),TIL疗法,TIL治疗,TIL免疫治疗向实体肿瘤宣战
提起近两年声名大噪的的免疫疗法,很多人可能都已经知道PD-1和CAR-T,但这只是冰山一角,虽然PD-1让一部分幸运的晚期患者获得了免死金牌。但不尽人意的是,PD-1仅对20%~30%的患者起效;CAR-T疗法虽然给血液肿瘤带来了“无进展生存”希望,但是在占比高达90%的实体瘤中暂时没有突破性的进展。研究人员一直在尝试新型的免疫疗法打破这一僵局!
向实体瘤宣战!TILs疗法震惊四座
在实体肿瘤中最具潜力的TILS(肿瘤浸润淋巴细胞)疗法近两年终于打破了这一僵局,对于多种临床上难治的实体肿瘤取得了惊艳四座的临床效果。去年的ASCO会议上,基于TILS细胞的创新型疗法LN-145和LN-144(Lifileucel)在治疗宫颈癌和黑色素瘤的临床结果一经公布,就引起了医学界的广泛关注,其中黑色素瘤中的TIL治疗具有持续数十年的完全应答(CR)的潜力,这种长期的作用归功于记忆T细胞的持久性。我们一起来看看TILs疗法目前在各类实体肿瘤中取得的进展。
01、TIL疗法延长PD-1耐药非小细胞肺癌患者的生存期
肺癌是全球发病和死亡最高的癌症,尽管近年来靶向和免疫治疗发展已经让肺癌越来越趋于慢性病的治疗,但是对于一些患者来说,当最后的保底药物PD-1发生耐药后,仍让患者们感到恐慌。
美国时间4月27日,在今年的AACR会议上,一项由美国癌症中心莫菲特癌症研究中心(H. Lee Moffitt )开展的基于TIL细胞治疗的Ⅰ期临床结果公布:
在12名可评估的非小细胞肺癌患者中,TIL疗法可达到25%的总缓解率,其中两名患者达到持久的完全缓解。

尽管这项研究规模很小,但还是令肿瘤学家们感到振奋,因为这些患者都是临床上已经接受过PD-1(Opdivo)治疗后病情进展的晚期患者,这些患者可以说是山重水复疑无路,最为难治的患者群体了。
当从这些患者体内的肿瘤病灶中提取出抗癌能力超强的TILs细胞,并在体外扩增培养成数十亿有着精准杀伤能力的免疫大军,回输到体内作战时,大部分患者在首次TIL治疗后进行 CT扫描就开始出现明显的肿瘤消退。
这项试验共有32名患者参加,最终有16名患者接受TILS治疗,其中12名患者可以评估。在平均随访1.4年时,3名患者病情缓解,其中两名完全患者,并且已超过一年。另一名患者的缓解即将得到确认。

大部分患者在接受TILs治疗后,肿瘤病灶都有所缩小,在接受治疗后的第一次CT扫描时,肿瘤病灶直径平均缩小38%!
因此,在PD-1治疗后,TILs疗法仍具有令晚期转移性非小细胞肺癌达到持久缓解的能力,这是非常了不起的,期待这款疗法能加大研究,早日获批上市,为晚期患者的生命持续续航!
02、Lifileucel为晚期黑色素瘤患者带来春天
Lifileucel(LN-144)是是由Iovance公司研发的基于自体肿瘤浸润淋巴细胞(TIL)的专门针对黑色素瘤的免疫疗法,这是一种基于T细胞的过继性细胞疗法(ACT)。
C-144-01是一项2期临床试验,招募已被诊断患有IIIc期或IV期转移性黑色素瘤的患者。患者必须接受至少一次全身治疗,其中还有66名接受过PD-1抑制剂治疗的患者,CTLA-4抑制剂的 80人,BRAF / MEK抑制剂组合的23人。
该临床试验旨在确定TIL治疗疗法LN-144是否安全有效地治疗转移性黑色素瘤(帮助患者延长寿命和/或减缓癌症进展)。
实验结果
在报道的66例接受过PD-1治疗晚期黑色素瘤患者的试验中,结果显示:
疾病控制率(DCR)高达80%;
客观缓解率达到38%,包括2例(3%)完全缓解,23例部分缓解(35%)和28例(42%)病情稳定;
中位随访时间为8.8个月,未达到中位反应持续时间。
更引人注目的是,患有PD-L1阴性的患者也有响应,这说明对免疫检查点抑制剂无效的患者仍能获益于TIL疗法。
对于PD-1治疗后进展的患者,几乎没有其他治疗选择,这种治疗方案的效果几乎无与伦比。

一位晚期黑色素瘤患者肿瘤在治疗前出现广泛转移,在接受TILs疗法后一个月病灶明显缩小,治疗6个月达到完全缓解,治疗两年后仍然处于完全缓解状态,并且体内持续存在肿瘤反应性CD8 + T细胞。

03、疾病控制率89%!晚期宫颈癌LN-145疗法获FDA突破性疗法称号!
LN-145就是由Iovance公司研发的基于自体肿瘤浸润淋巴细胞(TIL)的疗法,这是一种基于T细胞的过继性细胞疗法(ACT)。
第二阶段innovaTIL-04(C-145-04)积极的试验的数据显示,晚期宫颈癌患者的TIL治疗总体反应率(ORR)为44%。
在2019年2月4日的数据截止时,有27名可评估的患者。平均注入的TIL细胞:28 x 109;IL-2剂量:6次。
结果显示:
1.客观缓解率(ORR)44%,完全缓解率(CR)11%,疾病控制率(DCR)高达85%。即12名的患者有效果,包括1名完全应答,9名部分应答和2个未确认的部分应答;
2.中位随访时间为3.5个月,12例患者中有11例持续应答;
3.没有任何严重的副作用发生。
值得振奋的是,基于此临床试验的惊艳数据,FDA批准LN-145用于晚期宫颈癌突破性治疗,因为,在化疗期间或之后进展的宫颈癌患者的治疗选择有限,之前报道的晚期宫颈癌化疗或免疫治疗二线治疗的应答率仅在4%-14%之间。而这款新型的非常安全的细胞免疫疗法为晚期宫颈癌患者带来了44%的应答率,并且在一些患者中表现出持久的应答效果,研究人员表示这种治疗方式可以实现长期疾病控制的希望。希望这款疗法能尽快获批上市。

04、头颈鳞状细胞癌
C-145-03是2期临床试验,招募患有复发性和/或转移性HNSCC的患者,其已接受至少一种先前的全身免疫疗法和/或化学治疗的治疗。
初步数据显示,试验中的8名患者中有3名患者的肿瘤大小减少了30%。
05、实体肿瘤
IOV-COM-202是一项2期临床试验,招募已被诊断为组织学证实的不可切除或转移性黑色素瘤(队列1),头颈部复发或转移性鳞状细胞癌(队列2),或复发或转移的患者非小细胞肺癌(队列3)。
临床试验旨在确定Iovance研究性TIL治疗(LN-144 / LN-145)是否安全有效地治疗不可切除/转移性黑色素瘤,复发/转移性HNSCC和NSCLC(帮助患者活得更长和/或更慢降低癌症进展),暂未公布临床结果。

(正在进行的各项临床研究进展)
深度科普:肿瘤TILs疗法的前世今生
01、开创者-免疫界泰斗Rosenberg
过继性T细胞疗法--TIL细胞疗法是由免疫界泰斗Rosenberg及其团队开创的新方法。
资料显示,老爷爷今年已经78岁了,是世界著名的癌症学和免疫学专家,也是美国癌症研究院(NCI)的外科主任。
Rosenberg认为,癌细胞入侵时,自身的免疫系统会试图打败体内蔓延的肿瘤。
过去三十年间,他和他的团队一直在致力做一件事情:如何发现并放大“打败”工作做得最好的那部分免疫系统细胞。这就是TIL--瘤浸润的淋巴细胞。

Steven Rosenberg(NCI)
02、TIL-体内杀伤能力最强的免疫细胞
TIL(Tumorinfiltrating lymphocytes)指肿瘤浸润的淋巴细胞。
在癌症的早期阶段,免疫系统试图通过动员淋巴细胞的特殊免疫细胞来攻击肿瘤。在手术切除的肿瘤组织中,我们发现大部分是肿瘤细胞,也有少部分淋巴细胞。这些淋巴细胞中有部分是针对肿瘤特异性突变抗原的T细胞,Rosenberg博士认为它们才是深入到敌军内部打击能力最强的免疫细胞,但是由于一些原因(比如肿瘤微环境和PD-1),他们的功能受到了抑制,不能在肿瘤组织中有效的杀伤肿瘤细胞。但是,科学家通过一些体外培养方法把这些肿瘤组织中的某类型的淋巴细胞富集起来,再回输给患者,就能够发挥抗肿瘤作用,而且联合PD-1效果会更好。
03、1988年,实体肿瘤的克星-TILs疗法的诞生
1986年的体外研究表明,从手术切除的恶性黑色素瘤中获得的人源TILs含有能够特异性识别自体肿瘤的T淋巴细胞,当存在大量的肿瘤浸润淋巴细胞时,表明机体启动了对抗肿瘤的免疫反应。
这些研究使得Rosenberg1988年首次证明使用自体TILs的过继性T细胞疗法可以介导转移性恶性黑色素瘤患者的肿瘤客观消退。
目前,美国国家癌症研究所NCI在这方面已经取得了非常大的成功,并且已在其他主要癌症中心实施治疗,例如Moffitt癌症中心。
2011年,美国国家癌症研究所(NCI)外科主任Steven A. Rosenberg团队发表在国际顶级期刊《Clinical cancer research》上的对于转移性黑色素瘤的2期临床研究显示,TIL治疗黑色素瘤患者的客观缓解率(ORR)为56%,完全缓解率(CR)高达24%。并且研究表明,浸润肿瘤的免疫细胞数量与患者的生存机会成正比。黑色素瘤是具有相对高的突变负荷的癌症之一,肿瘤被这些免疫细胞润,参与早期试验的一些患者对这种疗法的反应持续了十多年。

2019年,FDA授予肿瘤浸润淋巴细胞(TIL)治疗方法LN-145为突破性的治疗指定,这是用于实体瘤的细胞免疫疗法首次获此殊荣,相信距离上市也仅是时间问题,一旦FDA批准,这将是首款用于实体瘤的细胞免疫疗法,将给癌症患者带来巨大的生存获益。
04、TILs疗法与其他细胞免疫疗法有何不同
肿瘤的CAR-T,NK细胞疗法已经为大家所熟知,而TIL是完全不同于传统细胞疗法的一类新型疗法。
1.杀伤能力更强
TIL的免疫细胞来自于肿瘤组织,而其他细胞免疫疗法大部分来取自血液,这直接决定了免疫细胞识别肿瘤的能力。据估计,肿瘤里分离出的免疫细胞,有60%以上能识别肿瘤,而血液里面分离的免疫细胞,不到0.5%。
2.找到特定突变,精准识别
这种新型的疗法不是像传统的简单的扩增回输,而是要确定患者病例中特定的突变。之后利用突变信息找到能够最有效瞄准这些突变的T细胞,最后提取出专门患者肿瘤中细胞突变的T细胞,这些细胞具有精准识别癌细胞的能力。
Rosenberg对常见胃肠道癌的患者的研究证明了不同患者之间免疫应答的独特性。通过对75位患者的生物学样本进行全外显子测序,确定了124个新抗原的TIL。他们发现,83%(62)的患者培养的TIL能够试别自体肿瘤细胞表达的1.6%的体细胞突变。99%的新抗原决定簇在每个癌症患者中都是完全不同的。因此,必须从每个癌症患者中取出细胞,确定哪些细胞可以真正识别和攻击癌症,将这些细胞进行培养,扩增才能起到治疗效果,这是非常复杂的。

3.强强联合,杀癌效果倍增!
这些免疫细胞经过体外培养后,重新注入到患者体内。同时,研究团队联合使用了免疫增强药物白细胞介素2和另一种“明星抗癌药”PD-1抑制剂Keytruda,Keytruda即属于另一种免疫疗法免疫检查点阻断,在某些癌症中有显著的效果。
基于上述操作过程,该新疗法被认为是为患者“量身定制”。
05、TILs疗法的治疗流程
第一步,我们得到病人的肿瘤组织块,其中混杂着体积较大的肿瘤细胞(浅蓝色)以及体积小而圆的T淋巴细胞(红色,绿色,深蓝色);
第二步,肿瘤样本被运送到专有的GMP设施,在那里TIL被分离并繁殖,将不同种类的T淋巴细胞在细胞板上克隆化,并加入高浓度的IL-2来选择培养,在三周内产生数十亿TIL。
第三步,在IL-2的刺激下不同种类的T淋巴细胞都得到了克隆扩增,形成了细胞群;
第四步,用病人的肿瘤细胞和扩增后的T淋巴细胞反应,凡是能够发生杀瘤效应的T淋巴细胞群作为阳性TIL群留下(红色),其余的丢弃(绿色,深蓝色);
第五步,用负载了肿瘤特异性抗原的树突状细胞(DC)进一步扩增培养肿瘤特异性的TIL;
第六步,患者开始一周的预处理治疗(清髓)以准备接受TIL.TIL产品作为一次性疗法施用,在TIL输注后立即接受多达6剂白细胞介素2(IL-2),来支持患者体内TIL的生长和激活。


临床证实:对多种实体瘤有效!部分患者完全缓解
01、晚期结直肠癌4年无进展
在2016年发表的文献中,埃里克·特兰(Eric Tran)与罗森伯格(Rosenberg)和其他研究人员合作,研究了使用这种方法成功治疗转移性结直肠癌患者的方法。
接受靶向KRAS G12D突变的TIL治疗后,患者肺部的七个转移灶中6个病灶消失殆尽,其中三个完全消失,患者在4年后仍然没有疾病进展。

02、晚期宫颈癌完全缓解
一名患有转移性鳞状细胞癌并接受了多种联合化疗方案,包括顺铂,长春新碱和博来霉素,然后用吉西他滨加顺铂联合放疗。随后发现转移,包括主动脉旁,双侧肺门,颅下和髂骨部位(图1A和1C)。治疗后,她在所有疾病部位都完全消退(图1A和1C)。
另一患者患有转移性腺癌。她的原发性肿瘤对化放疗无效。随后转移到更多的腹膜后淋巴结和肝脏表面,在TIL治疗前,她在腹膜后,腹壁,旁系,肝旁和盆腔部位有肿瘤进展(图1B和1d)。在治疗后,出现完全的临床缓解(图1B和1d)。

03、晚期胆管癌成为十年超级幸存者!
据报道,通过使用靶向蛋白ERBB2IP突变的TIL疗法,晚期胆管癌肝转移,术后出现双肺多发转移的患者也取得了令人震惊的治疗效果。
当超过1000亿个专门识别肿瘤细胞的免疫细胞,浩浩荡荡地进入了这位已经到了鬼门关患者的体内。 效果真的惊人!她全身肿瘤开始迅速缩小,体力恢复很快。

下面的对照图可以非常明显看到,第二次治疗前肺部布满的肿瘤,包括一些个头非常大的,第二次TIL治疗20个月后复查,这些肿瘤都非常显著的缩小了,现在她已经成为了十年幸存者!

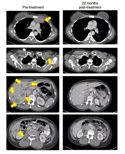
04、晚期乳腺癌完全缓解!
2018年,《自然医学》(Nature Medicine)上发表的一份报告描述了在用对4种突变蛋白(SLC3A2,KIAA0368,CADPS2和CTSB)的TILs治疗的患者中成功治疗化学难治性激素阳性转移性乳腺癌。在报告发表时,反应已经持续进行了22个月以上,并且患者在4年后仍然没有疾病。

22个月后,这名患者的肿瘤(黄色箭头)消失得无影无踪(图片来源:《Nature Medicine》)
TILs疗法临床试验招募信息
目前,这款新型的免疫疗法暂未上市,但在全球范围内开展了多项针对各类实体肿瘤(非小细胞肺癌,结直肠癌,卵巢癌,黑色素瘤...)的临床试验,申请流程如下:
1.按要求将病历资料提交至全球肿瘤医生网医学部;
2.医学部初步评估后匹配合适的临床试验;
3.向相应的试验中心提交病历资料;
4.评估通过后协助患者参加临床试验。

免疫肿瘤学的潜力刚刚开始实现。揭开更多的冰山将会更加详细地了解如何控制免疫反应,以及将将这些治疗手段用于临床获得益处。每天我们能看到更多的进展,我们相信这种治疗方法将在未来几年取得重大突破,让我们共同期待。
参考资料:
https://www.iovance.com/wp-content/uploads/ASCO2019_Poster_C-145-04_cervical_FINAL.pdf
https://www.onclive.com/web-exclusives/autologous-til-therapy-elicits-durable-responses-in-pd-1-treated-metastatic-melanoma?p=4
https://clincancerres.aacrjournals.org/content/17/13/4550





发表评论