文章最后更新时间:2024-08-15 12:02:43,由春晓健康网负责审核发布,若内容或图片失效,请留言反馈!
肿瘤浸润淋巴细胞TILS,TIL疗法,TIL细胞治疗的研究进展盘点
说起免疫疗法,很多人可能都已经知道PD-1和CAR-T,但这只是冰山一角。
1986年的体外研究表明,从手术切除的恶性黑色素瘤中获得的人源TILs含有能够特异性识别自体肿瘤的T淋巴细胞,当存在大量的肿瘤浸润淋巴细胞时,表明机体启动了对抗肿瘤的免疫反应。
这些研究使得Rosenberg1988年首次证明使用自体TILs的过继性T细胞疗法可以介导转移性恶性黑色素瘤患者的肿瘤客观消退。
研究表明,浸润肿瘤的免疫细胞数量与患者的生存机会成正比。黑色素瘤是具有相对高的突变负荷的癌症之一,肿瘤被这些免疫细胞浸润。
Rosenberg认为,癌细胞入侵时,自身的免疫系统会试图打败体内蔓延的肿瘤。
过去三十年间,他和他的团队一直在致力做一件事情:如何发现并放大“打败”工作做得最好的那部分免疫系统细胞。这就是TIL--瘤浸润的淋巴细胞.
目前,美国国家癌症研究所NCI在这方面已经取得了非常大的成功,并且已在其他主要癌症中心实施治疗,例如Moffitt癌症中心。
2019年,FDA授予肿瘤浸润淋巴细胞(TIL)治疗方法LN-145为突破性的治疗指定,这是用于实体瘤的细胞免疫疗法首次获此殊荣,相信距离上市也仅是时间问题,一旦FDA批准,这将是首款用于实体瘤的细胞免疫疗法,将给癌症患者带来巨大的生存获益。
什么是肿瘤浸润淋巴细胞
在癌症的早期阶段,免疫系统试图通过动员淋巴细胞的特殊免疫细胞来攻击肿瘤。淋巴细胞具有识别和攻击肿瘤流量的能力,并深入肿瘤。这些细胞被称为肿瘤浸润淋巴细胞(TIL),是由免疫界泰斗Rosenberg及其团队发现的。
Rosenberg博士认为它们才是深入到敌军内部打击能力最强的免疫细胞,但是由于一些原因(比如肿瘤微环境和PD-1),他们的功能受到了抑制,不能在肿瘤组织中有效的杀伤肿瘤细胞。但是,科学家通过一些体外培养方法把这些肿瘤组织中的某类型的淋巴细胞富集起来,再回输给患者,就能够发挥抗肿瘤作用,而且联合PD-1效果会更好。
TILs疗法是如何精准消灭肿瘤的
首先免疫细胞来源不同,TIL的免疫细胞来自于肿瘤组织,而其他细胞免疫疗法大部分来取自血液,这直接决定了免疫细胞识别肿瘤的能力。据估计,肿瘤里分离出的免疫细胞,有60%以上能识别肿瘤,而血液里面分离的免疫细胞,不到0.5%。
其次,这种新型的疗法不是简单的扩增回输,而是要确定患者病例中特定的突变。之后利用突变信息找到能够最有效瞄准这些突变的T细胞,最后提取出专门患者肿瘤中细胞突变的T细胞,这些细胞具有精准识别癌细胞的能力。
Rosenberg对常见胃肠道癌的患者的研究证明了不同患者之间免疫应答的独特性。通过对75位患者的生物学样本进行全外显子测序,确定了124个新抗原的TIL。他们发现,83%(62)的患者培养的TIL能够试别自体肿瘤细胞表达的1.6%的体细胞突变。99%的新抗原决定簇在每个癌症患者中都是完全不同的。因此,必须从每个癌症患者中取出细胞,确定哪些细胞可以真正识别和攻击癌症,将这些细胞进行培养,扩增才能起到治疗效果,这是非常复杂的。

第三,这些免疫细胞经过体外培养后,重新注入到患者体内。同时,研究团队联合使用了免疫增强药物白细胞介素2和另一种“明星抗癌药”PD-1抑制剂Keytruda,Keytruda即属于另一种免疫疗法免疫检查点阻断,在某些癌症中有显著的效果。
基于上述操作过程,该新疗法被认为是为患者“量身定制”。
临床证实:对多种实体肿瘤有效!部分患者完全缓解
一,晚期结直肠癌4年无进展
在2016年发表的文献中,埃里克·特兰(Eric Tran)与罗森伯格(Rosenberg)和其他研究人员合作,研究了使用这种方法成功治疗转移性结直肠癌患者的方法。
接受靶向KRAS G12D突变的TIL治疗后,患者肺部的七个转移灶中6个病灶消失殆尽,其中三个完全消失,患者在4年后仍然没有疾病进展。

二,晚期宫颈癌完全缓解
一名患有转移性鳞状细胞癌并接受了多种联合化疗方案,包括顺铂,长春新碱和博来霉素,然后用吉西他滨加顺铂联合放疗。随后发现转移,包括主动脉旁,双侧肺门,颅下和髂骨部位(图1A和1C)。治疗后,她在所有疾病部位都完全消退(图1A和1C)。
另一患者患有转移性腺癌。她的原发性肿瘤对化放疗无效。随后转移到更多的腹膜后淋巴结和肝脏表面,在TIL治疗前,她在腹膜后,腹壁,旁系,肝旁和盆腔部位有肿瘤进展(图1B和1d)。在治疗后,出现完全的临床缓解(图1B和1d)。

三,晚期胆管癌成为十年超级幸存者
据报道,通过使用靶向蛋白ERBB2IP突变的TIL疗法,晚期胆管癌肝转移,术后出现双肺多发转移的患者也取得了令人震惊的治疗效果。
当超过1000亿个专门识别肿瘤细胞的免疫细胞,浩浩荡荡地进入了这位已经到了鬼门关患者的体内。 效果真的惊人!她全身肿瘤开始迅速缩小,体力恢复很快。

下面的对照图可以非常明显看到,第二次治疗前肺部布满的肿瘤,包括一些个头非常大的,第二次TIL治疗20个月后复查,这些肿瘤都非常显著的缩小了,现在她已经成为了十年幸存者!

四,晚期乳腺癌完全缓解
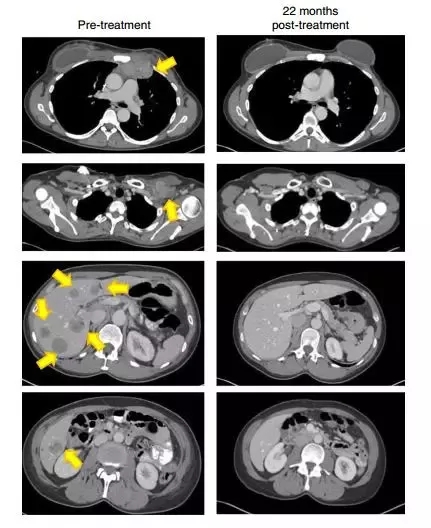
2018年,《自然医学》(Nature Medicine)上发表的一份报告描述了在用对4种突变蛋白(SLC3A2,KIAA0368,CADPS2和CTSB)的TILs治疗的患者中成功治疗化学难治性激素阳性转移性乳腺癌。在报告发表时,反应已经持续进行了22个月以上,并且患者在4年后仍然没有疾病。

22个月后,这名患者的肿瘤(黄色箭头)消失得无影无踪(图片来源:《Nature Medicine》)
TILs疗法的研究进展
01、首个实体瘤细胞免疫疗法获FDA突破性疗法称号
2019年6月,FDA批准肿瘤浸润淋巴细胞(TIL)治疗方法LN-145为突破性的治疗指定,这是用于实体瘤的细胞免疫疗法首次获此殊荣,相信距离上市也仅是时间问题,一旦FDA批准,这将是首款用于实体瘤的细胞免疫疗法,将给癌症患者带来巨大的生存获益。
FDA此次授予是基于正在进行的第二阶段innovaTIL-04(C-145-04)积极的试验的数据,摘要数据显示,晚期宫颈癌患者的TIL治疗总体反应率(ORR)为44%。
在2019年2月4日的数据截止时,有27名可评估的患者。
结果显示:
1、44%(12名)的患者有效果,包括1名完全应答,9名部分应答和2个未确认的部分应答;
2、疾病控制率为89%;
3、中位随访时间为3.5个月,12例患者中有11例持续应答;
4、没有任何严重的副作用发生。
5、疾病控制率89%!首个迎战实体瘤的细胞免疫疗法获FDA突破性疗法称号!

02、疾病控制率80%,晚期黑色素瘤的新希望
LN-144是由Iovance公司近期研发的基于自体肿瘤浸润淋巴细胞(TIL)的另一种专门针对黑色素瘤的免疫疗法,这是一种基于T细胞的过继性细胞疗法(ACT)。此外过继性细胞疗法还有大家知道的用T细胞受体(TCR)或基因工程改造表达嵌合抗原受体(CAR)的自体T细胞,回输到患者体内以诱导自身免疫的抗肿瘤作用。
Iovance的创新细胞疗法是基于患者自身的TIL。这些TIL在癌症发生时会迁移到肿瘤处并且对肿瘤发起攻击。然而,通常患者体内的TIL数目不足以消灭肿瘤,而且肿瘤微环境会抑制TIL的功能。Iovance的T细胞癌症免疫疗法从患者体内获取肿瘤组织并且提取TIL,然后在体外使用IL-2细胞因子刺激TIL的扩增。这一体外刺激手段不但增加了TIL的数量,而且激活TIL的抗肿瘤能力。然后这些TIL被注回患者体内,更有效地杀伤肿瘤细胞。
在一项的2期临床试验结果显示,66例接受过PD-1治疗晚期黑色素瘤患者的试验中:疾病控制率(DCR)高达80%;客观缓解率达到38%,包括2例(3%)完全缓解,23例部分缓解(35%)和28例(42%)病情稳定;中位随访时间为8.8个月,未达到中位反应持续时间。

更引人注目的是,患有PD-L1阴性的患者也有响应,这说明对免疫检查点抑制剂无效的患者仍能获益于TIL疗法。
对于PD-1治疗后进展的患者,几乎没有其他治疗选择,这种治疗方案的效果几乎无与伦比。

一位晚期黑色素瘤患者肿瘤在治疗前出现广泛转移,在接受TILs疗法后一个月病灶明显缩小,治疗6个月达到完全缓解,治疗两年后仍然处于完全缓解状态,并且体内持续存在肿瘤反应性CD8 + T细胞。

TILs疗法的治疗过程

第一步,我们得到病人的肿瘤组织块,其中混杂着体积较大的肿瘤细胞(浅蓝色)以及体积小而圆的T淋巴细胞(红色,绿色,深蓝色);
第二步,将不同种类的T淋巴细胞在细胞板上克隆化,并加入高浓度的IL-2来选择培养;
第三步,在IL-2的刺激下不同种类的T淋巴细胞都得到了克隆扩增,形成了细胞群;
第四步,用病人的肿瘤细胞和扩增后的T淋巴细胞反应,凡是能够发生杀瘤效应的T淋巴细胞群作为阳性TIL群留下(红色),其余的丢弃(绿色,深蓝色);
第五步,用负载了肿瘤特异性抗原的树突状细胞(DC)进一步扩增培养肿瘤特异性的TIL,三周内培养10亿个TIL;最后,回输给预先做了清髓的肿瘤病人。

TILs疗法临床试验招募信息
目前,这款新型的免疫疗法暂未上市,但在全球范围内开展了多项针对各类实体肿瘤(非小细胞肺癌,结直肠癌,卵巢癌,黑色素瘤...)的临床试验,申请流程如下:
1.按要求将病历资料提交至全球肿瘤医生网医学部;
2.医学部初步评估后匹配合适的临床试验;
3.向相应的试验中心提交病历资料;
4.评估通过后协助患者参加临床试验。

免疫肿瘤学的潜力刚刚开始实现。揭开更多的冰山将会更加详细地了解如何控制免疫反应,以及将将这些治疗手段用于临床获得益处。每天我们能看到更多的进展,我们相信这种治疗方法将在未来几年取得重大突破,让我们共同期待。
参考资料:
https://www.iovance.com/wp-content/uploads/ASCO2019_Poster_C-145-04_cervical_FINAL.pdf
https://www.onclive.com/web-exclusives/autologous-til-therapy-elicits-durable-responses-in-pd-1-treated-metastatic-melanoma?p=4





发表评论