抗癌指南 肺癌 胃癌 结直肠癌 食道癌 乳腺癌 肝癌 胰腺癌 卵巢癌 宫颈癌 肾癌 膀胱癌 脑瘤 肉瘤 前列腺癌 黑色素瘤 妇科肿瘤 头颈癌 儿童肿瘤 淋巴瘤

髓母细胞瘤用传统放疗好还是质子放疗好? 儿童肿瘤

儿童肿瘤髓母细胞瘤用传统放疗好还是质子放疗好?

髓母细胞瘤是最常见的儿童肿瘤之一,在10岁以下的儿童中,发病率约占全部肿瘤的20%~30%,发病高峰年龄为5岁,男性略多于女性。该肿瘤位于后颈凹,在小脑蚓部和第四脑室中线附近,晚期肿瘤在脑脊液内播散。典型的临床表现主要与肿瘤占据后颅窝,堵塞第四脑室或中脑导水管引起的颅内压增高相关的症状:头疼,恶心,呕吐,视物模糊,以及肿瘤压迫小脑所致的平衡功能障碍,如走路

科学家发现可防止肿瘤患儿避免放疗副作用的新药 儿童肿瘤

儿童肿瘤科学家发现可防止肿瘤患儿避免放疗副作用的新药

在11月13日发表在《eLife》杂志上的一项新研究中,加州大学旧金山分校的科学家报告了第一个胶质瘤动物模型 。研究人员利用这种小鼠模型发现,暂时抑制大脑免疫系统关键成分的药物可以预防放疗导致的认知能力下降。研究员Gupta和Rosi设计这种方法,通过选择胶原瘤细胞和具有相同免疫谱的小鼠品系,在不关闭免疫系统的情况下将神经胶质瘤引入小鼠,从而使癌症在免疫正常

美国FDA授予PV-10 ORPHAN药物用于治疗神经母细胞瘤 儿童肿瘤

儿童肿瘤美国FDA授予PV-10 ORPHAN药物用于治疗神经母细胞瘤

昨日,美国食品和药物管理局(FDA)批准PV-10用于小分子溶瘤免疫治疗PV的孤儿药指定(ODD),瘤内注射PV-10可在实体瘤癌症中产生免疫原性细胞死亡(ICD)并刺激循环T细胞中的肿瘤特异性反应性,可用于治疗神经母细胞瘤。 神经母细胞瘤由未成熟的神经细胞形成,通常始于肾上腺。它也可能从腹部,胸部或脊柱附近开始。神经母细胞瘤最常发生在5岁以下的儿童中,并在

儿童脑瘤放疗,儿童脑瘤质子放疗,儿童脑瘤质子治疗,儿童脑瘤质子疗法 儿童肿瘤

儿童肿瘤儿童脑瘤放疗,儿童脑瘤质子放疗,儿童脑瘤质子治疗,儿童脑瘤质子疗法

儿童脑瘤放疗,儿童脑瘤质子放疗,儿童脑瘤质子治疗,儿童脑瘤质子疗法儿童脑瘤质子治疗案例许多噩耗直到降临之前都是悄无声息的——对于西苏塞克斯的梅森·凯特利(Mason Kettley)来说,癌症的降临正是如此。直到在2018年10月时确诊为罕见的儿童脑瘤之前,梅森都丝毫没有感觉到体重减轻或者头痛之类的异常。脑瘤仿佛是一个潜伏着的“恶魔”,悄无声息地露出了獠牙,

儿童放疗,质子治疗是儿童肿瘤患者放疗的灵丹妙药吗 儿童肿瘤

儿童肿瘤儿童放疗,质子治疗是儿童肿瘤患者放疗的灵丹妙药吗

儿童放疗,质子治疗是儿童肿瘤患者放疗的灵丹妙药吗5岁宝宝罹患致命脑瘤,30次质子治疗让他重获新生与大多数5岁小孩不同的是,Hudson在今年1月份被诊断出患有脑瘤。当时他头痛的厉害,很快被诊断为癌症。这消息就像是一辆卡车撞上Hudson的父母,简直是最糟糕的噩梦,他们绞尽脑汁寻找最好的治疗方法。医生向他的父母推荐了一种超能治疗方法——质子治疗,以便摧毁他的癌

研究表明,CT扫描可能会增加患脑瘤的风险 儿童肿瘤

儿童肿瘤研究表明,CT扫描可能会增加患脑瘤的风险

发表在《美国国家癌症研究所杂志》上的一项新研究表明,CT扫描通常用于医学成像,可能会增加患脑瘤的风险。  计算机断层扫描(CT)的使用在过去20年里急剧增加。CT扫描极大地提高了诊断能力,改善了临床结果,但其辐射剂量比其他测试高。因此,辐射防护是一个值得关注的问题,尤其是儿童,他们可能受到更高的辐射剂量,比成年人更容易受到与辐射有关的恶性肿瘤的影响,并且其

儿童肿瘤药物开发存短板 新型载药系统有望补位 儿童肿瘤

儿童肿瘤儿童肿瘤药物开发存短板 新型载药系统有望补位

2015年4月14日讯 /生物谷BIOON/ --随着人们对肿瘤发生机制认识的深入,科学家们相继开发出了越来越多的特效肿瘤疗法。然而,这些疗法通常都是基于成人临床试验得到的。这也意味着目前在儿童癌症研究中仍然存在着很大的短板。事实上,根据美国费城儿童医院(CHOP)的研究人员介绍,目前临床上仍然缺少专门针对儿童的抗肿瘤药物。许多治疗方案都是沿用着30-40

对儿童视网膜母细胞瘤实施干预不再遥不可及 儿童肿瘤

儿童肿瘤对儿童视网膜母细胞瘤实施干预不再遥不可及

2018年9月13日在线发表于著名期刊《PNAS》上的一篇文献显示,洛杉矶儿童医院的研究人员已经能够确定人类视网膜发育的确切时期,此时特定细胞(称为锥形前体)可能会失控并形成癌症样肿块。这一发现可能为视网膜母细胞瘤(RB)的未来干预打开大门。尽管视网膜母细胞瘤是罕见的,但它是5岁以下儿童最常见的恶性肿瘤,可导致视力丧失。如果不及早诊治,可能会致命。 在201

第二代TRK抑制剂LOXO-195对多种肿瘤有效! 儿童肿瘤

儿童肿瘤第二代TRK抑制剂LOXO-195对多种肿瘤有效!

在今年的AACR年会上,Memorial Sloan Kettering癌症中心的David Hyman博士报告了第二代TRK抑制剂LOXO-195(现称为BAY 2731954)的临床数据,结果显示可能有助于为第一代TRK抑制剂进展的TRK融合癌患者提供持续的护理,并且对多种肿瘤有效!   Larotrectinib(拉罗替尼,Vitrakvi)是FDA

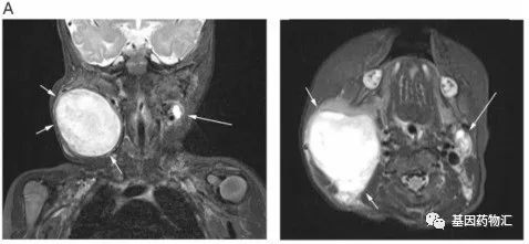
拉罗替尼治疗婴儿纤维肉瘤效果好吗,来看看这个治疗案例 儿童肿瘤

儿童肿瘤拉罗替尼治疗婴儿纤维肉瘤效果好吗,来看看这个治疗案例

拉罗替尼治疗婴儿纤维肉瘤效果好吗,来看看这个治疗案例拉罗替尼(Larotrectinib,Vitrakvi)是首款获得FDA批准上市的NTRK抑制剂。2018年年底,这款被誉为“治愈系神药”的新药的问世,仿佛是在整个医疗界中落下的一道惊雷。“广谱抗癌药”、“缓解率75%”等众多的光环,让拉罗替尼和它背后的靶点NTRK走上了抗癌的舞台。这样一款声名赫赫的“治愈

儿童肿瘤放疗,儿童肿瘤质子放疗,儿童肿瘤质子治疗适应症,这篇文章总结全了 儿童肿瘤

儿童肿瘤儿童肿瘤放疗,儿童肿瘤质子放疗,儿童肿瘤质子治疗适应症,这篇文章总结全了

儿童肿瘤放疗,儿童肿瘤质子放疗,儿童肿瘤质子治疗适应症,这篇文章总结全了 点击了解儿童质子专题          儿童肿瘤放疗儿童癌症的发生率,不论国内外,都是逐年递增,但死亡率却逐年递减,显示儿癌的治疗水准持续进步中。随著存活率上升,更多的病童在与癌症的战斗中获得初步胜利,但也必须要为胜利付出许多癌症治疗副作用的代价。对于获得长期生存的儿童来说,副作用引起

博纳吐单抗被批准用于治疗儿童急性淋巴细胞白血病 儿童肿瘤

儿童肿瘤博纳吐单抗被批准用于治疗儿童急性淋巴细胞白血病

博纳吐单抗是一种重组单链单克隆抗体,具有CD3和CD19的抗原识别位点。CD3复合物由T细胞表面糖蛋白组成,而CD19是肿瘤相关抗原。这些识别位点组合成1种可促进针对表达CD19的B淋巴细胞的细胞毒性T淋巴细胞和辅助性T淋巴细胞活性疗法。患有复发或难治性ALL的儿童在化疗之外的药物选择上是很有限的,欧洲委员会(EC)已批准博纳吐单抗(Blincyto)用于治

美国国家癌症研究院:儿童精准治疗时代全面开启! 儿童肿瘤

儿童肿瘤美国国家癌症研究院:儿童精准治疗时代全面开启!

世卫组织资料显示,恶性肿瘤已成为儿童第二大死因。在精准治疗日益普及的今天,越来越多的靶向药物争相研发上市,很多过去被视为判了死刑的患者,依靠一代一代的靶向药活过了五年,十年,甚至更长时间。长期以来,美国已有超过150种靶向药物用于成人癌症患者的治疗,然而,儿童肿瘤可选择的治疗方案则寥寥无几,靶向癌症药物的研究远远少于成人。儿童精准治疗时代全面开启!2017

儿童脑瘤药物取得突破性进展 儿童肿瘤

儿童肿瘤儿童脑瘤药物取得突破性进展

癌症基因检测指导靶向治疗是癌症精准治疗的核心技术,每一个癌症患者都应该为自己进行癌症基因检测,寻找有效靶向药物和临床试验进行治疗。全球肿瘤医生网联合美国基因检测机构和国内顶端尖基因检测机构,为患者提供精准癌症基因检测和专家咨询服务,帮助患者制定最精准的治疗方案。了解基因检测请点击 MORE          全球肿瘤医生网编者按:儿童脑瘤是一种较为常见的儿童

儿童肿瘤与父母职业 儿童肿瘤

儿童肿瘤儿童肿瘤与父母职业

国内外肿瘤流行病学近年来的资料表明,儿童肿瘤的发生与父母的职业有关。当前,在儿童恶性肿瘤中居前位的是白血病,其发病率在许多国家均呈上升趋势。据调查,白血病的患儿的父亲多为司机、自动化机师、药剂师、油漆作业者及橡胶、塑料加工业作业者,他们经常接触电离辐射和某些化学物质(如苯类物等)。急性淋巴细胞白血病患儿的母亲在妊娠期常接触杀虫剂、烃类、染料、汽油。急性非淋

美国启动规模儿童精准治疗试验,照亮肿瘤患儿的未来 儿童肿瘤

儿童肿瘤美国启动规模儿童精准治疗试验,照亮肿瘤患儿的未来

精准医学带来的奇迹Briana Ayala在11岁时发现她的腹部主动脉周围有一种罕见的肉瘤。手术没多久,肿瘤又开始增长,并且已经没有其他更好的办法了。 德克萨斯大学西南分校的研究人员表示,larotrectinib在1期临床试验中93%的儿科患者有效。(照片由比尔布兰森/国家癌症研究所提供)她的主治医生Laetsch博士将她的肿瘤组织切片送到的检测公司进行

横纹肌肉瘤质子治疗,儿童肉瘤质子治疗给年轻父母带来无限希望 儿童肿瘤

儿童肿瘤横纹肌肉瘤质子治疗,儿童肉瘤质子治疗给年轻父母带来无限希望

横纹肌肉瘤质子治疗,儿童肉瘤质子治疗给年轻父母带来无限希望横纹肌肉瘤质子治疗案例孩子承载着一个家的希望与未来,小孩病了,家长最担心,如果是癌症,更是毁灭性的打击。对于任何一个家庭来说,恍如经历世界末日也一点都不夸张。横纹肌肉瘤(RMS)是间质来源的一种恶性肿瘤,是儿童软组织肉瘤中最常见的一种,发病率次于恶性纤维组织细胞瘤和脂肪肉瘤。而3岁的Daisy Fai

儿童肿瘤治疗特点有哪些,把握这3条,让孩子战胜癌症、平安长大 儿童肿瘤

儿童肿瘤儿童肿瘤治疗特点有哪些,把握这3条,让孩子战胜癌症、平安长大

儿童肿瘤治疗特点有哪些,把握这3条,让孩子战胜癌症、平安长大提到癌症,大家可能会下意识地觉得这是一种“老年病”,是随着年龄增长、风险逐渐提高的疾病。但事实上,癌症的发病率,在0~5岁还有一个小高峰。且儿童的恶性肿瘤与成年人的恶性肿瘤之间又是存在着非常巨大的差别的:高发类型、部位,病因,驱动基因突变类型,对于各种治疗方案的敏感性与耐受性,乃至于治疗的目标……再

儿童白血病登记系统上线 儿童肿瘤

儿童肿瘤儿童白血病登记系统上线

由国家卫生健康委员会主办的儿童白血病救治管理工作全国电视电话会议近日在京举行。会上,以几位院士牵头的全国儿童白血病专家委员会成立。同时,全国儿童白血病诊疗管理登记系统上线,这是我国除传染病登记制度外的第一个国家层面的儿童重大疾病登记系统,有助于为政府科学制定相关卫生政策提供决策依据,为实现儿童白血病同质化医疗规范管理、从个体到人群大数据转化医学研究提供循证依