文章最后更新时间:2024-08-12 20:24:54,由春晓健康网负责审核发布,若内容或图片失效,请留言反馈!
10月3日,美国Sibley’s约翰霍普金斯国家质子治疗中心(Sibley’s JohnsHopkins National Proton Therapy Center)宣布将于2019年开业,并可治疗儿童肿瘤患者。
Sibley’s约翰霍普金斯国家质子治疗中心建立在Sibley纪念医院(Sibley Memorial Hospital)内,位于华盛顿西北部,隶属于约翰霍普金斯医疗系统(Johns Hopkins Medicine)。该中心安装了日立的质子治疗系统,共拥有4间治疗室,包括1间儿童专用治疗室并预留1间科研用治疗室,运营后将成为全球为数不多的能够治疗儿童患者的质子治疗中心,同时将在儿童治疗区摆放图书和玩具并装饰墙壁来分散儿童患者的注意力。中心的建设成本超过1亿美元(约合6.92亿人民币),运营后每年的维护费用预计约100万美元(约合692万人民币)。在美国新闻与世界报道(U.S. News & World Report) 2018-2019全美 肿瘤医院排名中,约翰霍普金斯医院也位列前10名。
同样位于华盛顿的MedStar Georgetown大学医院质子治疗中心已于今年3月正式开业,成为全美第28个正式运营的质子治疗中心。4月2日,配置HYPERSCAN笔形束扫描技术的Mevion S250i质子治疗系统在MedStar Georgetown大学医院完成了首例患者的治疗。
Sibley纪念医院儿童放射肿瘤科医生MatthewLadra估计全球每年约有80,000例患者接受质子治疗。他介绍说,儿童正常脑组织受到照射后会增加卒中的发生风险,并可导致听力、注意力、记忆力、学习能力以及激素发育障碍。由于质子治疗可以保护儿童正在发育的器官和组织,因而在治疗某些儿童肿瘤时相较于传统放疗更具优势。Ladra医生还提到,儿童患者对质子治疗更加耐受,经历的恶心、疲劳和食欲减退等症状更少。
质子治疗儿童肿瘤的优势:

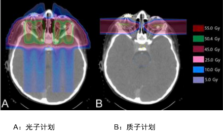
解析:这个是儿童颅咽管癌的IMRT(上图:调强放疗,一种传统放疗的高端模式)与质子治疗(下图:Proton Therapy)的照射剂量分布比较,我们看箭头的指示,传统放疗照射剂量波及的范围很大,虽然颜色很淡(蓝色表示剂量低,黄色表示剂量高),但是需要多个方向同时照射才能达到肿瘤部位的致死剂量,对病灶周边正常组织的危害很大,容易引起严重的副作用,而质子治疗对健康组织的影响会小很多。

解析:这是髓母细胞瘤对脊柱照射剂量的分布图比较,上图是传统放疗的照射情况,我们可以看到箭头指示处是大面积的深棕色区域,这表示传统放疗会对身体造成大范围的损害,波及脊柱周边的脏器,而下图质子治疗则没有这样的损害。
髓母细胞瘤是儿童最常见的恶性脑肿瘤,全中枢放疗涉及的危及器官较多,常见的迟发性后遗症包括认知缺陷、体貌改变、内分泌功能障碍与听力损失等,放疗后出现易智商总量(FSIQ)下降。因此,在放疗的同时,要保证脊髓受量均匀的同时,也要保证脊柱剂量的均匀,避免出现脊柱发育异常,如前突、侧弯等。

解析:这是头颈部肿瘤剂量分布图比较,我们明显能看到两者的差异,常规放疗蓝色区域很大,说明射线对病灶周边的正常组织有不可避免的损害,质子放疗可以减少咽喉和口腔部位的放疗损伤,降低发生口角炎、口腔炎、吞咽困难、口干的发生率。

解析:这是视网膜母细胞瘤两种疗法剂量分布图比较,很清楚地看到质子治疗病灶周边非常干净,没有多余的射线残留,而传统放疗波及范围就很大了,对于眼睛这一重要器官,治疗时尤其要注意并且要尽最大努力进行保护,质子治疗有绝对的优势。
儿童肿瘤质子治疗美国医院排名

质子治疗挽救5岁脑瘤宝宝 全家欣喜
5岁的Hudson Brown就像很多与他同龄的孩子一样:对乐高玩具、T型球、家庭和他最喜欢的玩具变形金刚机器人Bumblebee都充满激情。





发表评论