文章最后更新时间:2024-08-12 20:24:58,由春晓健康网负责审核发布,若内容或图片失效,请留言反馈!
儿童肿瘤治疗特点有哪些,把握这3条,让孩子战胜癌症、平安长大
提到癌症,大家可能会下意识地觉得这是一种“老年病”,是随着年龄增长、风险逐渐提高的疾病。但事实上,癌症的发病率,在0~5岁还有一个小高峰。

且儿童的恶性肿瘤与成年人的恶性肿瘤之间又是存在着非常巨大的差别的:高发类型、部位,病因,驱动基因突变类型,对于各种治疗方案的敏感性与耐受性,乃至于治疗的目标……再加上儿童患者治愈后生存期普遍比成年患者更长的特点,催生了儿童肿瘤治疗领域一个与成年人截然不同、但绝对至关重要的需求:长期生存质量的管控。
如何才能在更好地清除肿瘤的同时保障孩子未来的生活质量、生存能力,让孩子平安、幸福地长大呢?
切,还是不切
儿童的身体情况与成年人截然不同,因此很可能会出现一类比较极端的情况:小小的幼儿体内,存在一个与他的体型完全不匹配的巨大肿瘤。
有时候,孩子的肿瘤体积实在是太大,想做手术,需要面对的风险也巨大。往近了想是生存率比较低,往远了想还可能影响到一些周围的器官,影响功能发育、或者可能需要切除一些器官,进而导致孩子终身失去某些功能。这种时候要不要做手术?
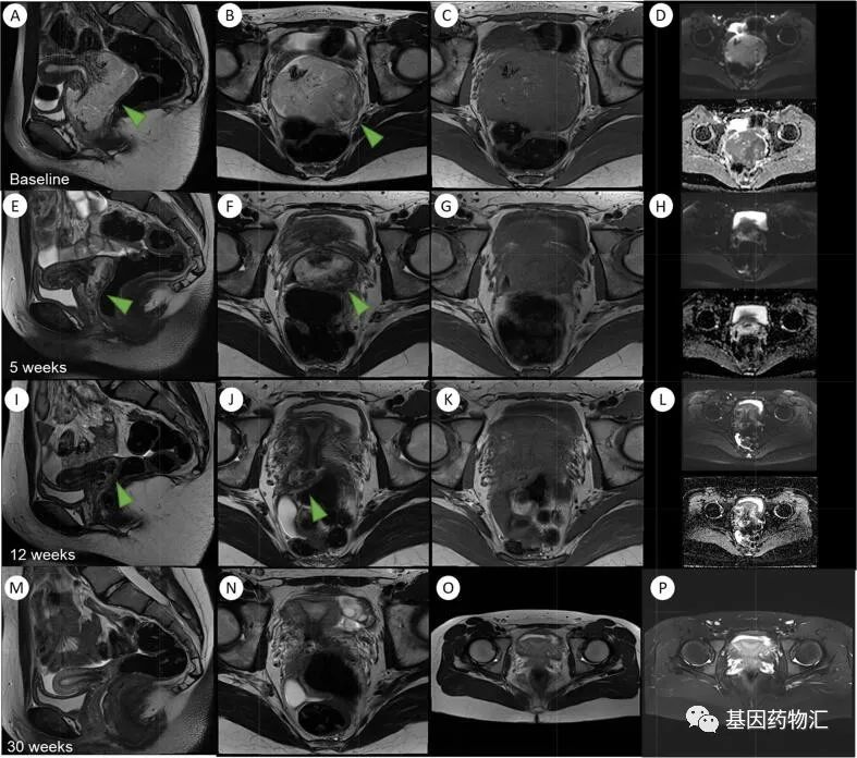
13岁的女孩M,就曾经面对过这样的难题。她的盆腔超声显示,在她的子宫颈有一个巨大的瘤体,尺寸达到了惊人的9.2 × 8.2厘米,严重压迫到了她的子宫体以及周围多个结构。
如果按照常规的手术模式,医生需要将她的肿瘤以及周围的部分组织包括子宫一并切除——但这也意味着一个尚未成年的孩子将永久失去一个器官。最后,经过多方讨论,医生决定进行一种全新的尝试,让她首先接受靶向药物的新辅助治疗,尽量使肿瘤缩小,再接受手术,争取保下周围的健康器官与组织。
结果是非常成功的——M的二代测序(NGS)结果发现了TPM3-NTRK1融合突变,使用了恩曲替尼作为新辅助治疗方案。仅12周,肿瘤缩小到只剩3.6厘米;30周时,肿瘤甚至彻底消失了!

对于儿童肿瘤患者来说,通常情况下手术都是伤害与益处非常平衡的良好治疗手段。但若肿瘤体积非常巨大,手术的后遗症也可能是孩子需要靠一生来承担的——但是,如果我们能够适时地采用恰当的辅助治疗,凭借这类在成年人治疗当中已经应用比较普遍的手段来“减瘤”,缩小肿瘤体积、减轻肿瘤负荷之后再进行手术,就有可能改变孩子的一生。
放,还是不放
大量的临床研究证实,儿童对于放化疗更加敏感,所需的剂量更低、获益率更高,但同时也可能导致更多、更严重的可怕“后遗症”,包括大脑发育停滞、长期生存时的“二次肿瘤”发生等等。很多家长都会面对一道难题:该不该让孩子做放疗?
Emma确诊横纹肌肉瘤的时候只有8岁,且肿瘤位置在脸上,使用放疗的风险巨大。医生和她的母亲对此一度一筹莫展,直到她们发现了一种新的、效果更加特殊的放疗手段——质子疗法。
与使用光子束的常规放疗相比,质子疗法所采用的质子束能更进一步减少放疗副作用,使放射剂量集中在肿瘤上,而非直穿过脑。Emma接受了8周的质子放疗,最后顺利地痊愈出院。
当然,Emma已经算是年龄比较大的患儿了。按照往常的经验以及临床规范,3岁以下的幼儿是不能做放疗的。但是如今,质子、重离子等“进阶版”的放疗手段,精准性更强、副作用更少,正在为患儿们带来新的希望。
一项发表在《小儿血液与癌症》上的研究,分析了这部分因为年龄太小而不适合接受常规放疗的幼儿,接受质子治疗的效果。14例患儿接受了手术和化疗,后接受质子治疗。结果5年生存率为84%,无复发生存率为70%。历史数据当中,没有接受放疗的患儿,这两个比例通常在30%~60%之间。
试,还是不试
提到癌症的新疗法,绕不开的就是“临床试验”。针对儿童肿瘤患者的临床试验非常非常少,尤其是在我国进行的项目极少,因为我国严格控制儿童接受临床试验的风险,对于临床试验的审核非常严苛。但“少”并非“没有”,如果遇到临床试验了,要不要让孩子参与呢?
下面这个例子相信大家就非常的熟悉了:2012年,患白血病的女孩Emily,勇敢且幸运地成为了第一个接受CAR-T疗法治疗的儿童患者。如今,7岁的女孩已经彻底治愈,健康地成长为18岁的大姑娘,癌症已经成为了一场遥远的噩梦,留在了童年的记忆里。
说实话,针对儿童肿瘤的临床试验真的很少,甚至可以说是可遇而不可求,如果真的有遇到非常合适的项目,希望家长能和医生、招募人员多多交流,不要因为一句简单的“害怕风险”,就将这希望的小小火花掐灭。
近几年,儿童肿瘤的发病率正以每五年5%的速度呈缓慢上升的趋势。平均每1万的孩子中,就有1.5个癌症患儿。如今,肿瘤已经成为了儿童因病死亡的第一大原因。
希望患儿的家长们可以更加理智、更加勇敢地面对疾病,带领孩子一起,战胜癌症、迎来健康。





发表评论