文章最后更新时间:2024-08-12 20:25:32,由春晓健康网负责审核发布,若内容或图片失效,请留言反馈!
髓母细胞瘤是最常见的儿童肿瘤之一,在10岁以下的儿童中,发病率约占全部肿瘤的20%~30%,发病高峰年龄为5岁,男性略多于女性。该肿瘤位于后颈凹,在小脑蚓部和第四脑室中线附近,晚期肿瘤在脑脊液内播散。典型的临床表现主要与肿瘤占据后颅窝,堵塞第四脑室或中脑导水管引起的颅内压增高相关的症状:头疼,恶心,呕吐,视物模糊,以及肿瘤压迫小脑所致的平衡功能障碍,如走路不稳,共济失调等。
目前髓母细胞瘤的治疗应该根据患儿的临床分期和风险分期,采取综合治疗手段:手术、放疗、化疗3种治疗手段的合理结合,以提高肿瘤无进展生存率和降低正常组织的损伤,减少对生长发育、智力的影响。 由于髓母细胞瘤大多发生在儿童,且对放射线较敏感,所以放射治疗是目前髓母细胞瘤治疗中不可缺少的手段之一。儿童处于生长发育阶段,放射治疗不可避免地对儿童的生长、内分泌和智力造成损伤。目前主要应用三维适形放疗或者调强放疗技术照射,以减少脑干、内耳、颞叶、下丘脑-垂体区、甲状腺的照射剂量,并且使颅前窝底筛板区受到确定的足够剂量的照射。照射部位采取全脑全脊髓+后颅窝加量照射。
传统放疗剂量:全脑全脊髓根据风险分组预防照射剂量1.8Gy/次,总量在30-36Gy,高危组为36Gy,后颅窝追加至55.8Gy。幕上脑组织和(或)脊髓有肉眼转移时,也要追加剂量。全脑全脊髓照射技术是一项照射范围大,需要进行多个等中心多野衔接,对定位、计划设计、摆位精度要求较高的放疗技术。计划设计一般采用6MV X 线,由于靶区较长,设计过程一般需要采取三个等中心:颅脑等中心、颈胸段等中心、胸腹段等中心。然而传统放疗并不能有效控制所有的癌症细胞,其主要原因是:肿瘤部位太深,对肿瘤的最大放射深度只有3厘米,肿瘤细胞对传统放疗耐受性高,肿瘤被对传统放射线敏感的正常组织包围,肿瘤不能得到有效的控制。
质子为带电粒子,离子越大,其产生的生物学影响越大,其质量约为电子质量的1836倍,其能量传递反比于质子运动速度的平方,接近射程末端能量损失最多,此处即为Bragg峰(是由其发现者德国诺贝尔奖得主威廉•亨利•布拉格的名字命名),Bragg峰后剂量为零,治疗时将病变置于峰区内,可以获得很高的治疗增益比。
一、质子治疗是一种使用电离辐射的外照射放疗。治疗期间,粒子加速器是用质子束照射肿瘤。这些带电粒子造成DNA单链断裂,破坏肿瘤细胞的DNA,最终导致癌变细胞死亡或干扰其繁殖能力。因为癌变细胞的高分裂率以及修复受损的DNA能力降低,使得其DNA特别容易受到攻击。
二、质子的剂量学特性:
1穿透性能强:可根据病灶的部位及深度调节质子能量,使质子束到达人体的任意深度; 2正常组织损伤小:病灶前面的剂量较低,其后方剂量为零,正常组织受量减少; 3靶区内高剂量:通过Bragg峰展宽得到SOBP(Spread Out Bragg Peak),使病灶位于SOBP峰区,从而获得靶区内高剂量; 4旁散射少:由于质子的质量大,在物质内散射少,因此减少了周边正常组织的照射剂量。
三、质子能量可调性
为了治疗深部肿瘤,质子加速器必须提供较高能量的质子束,对于浅表肿瘤则采用低能量质子束治疗。质子治疗的加速器通常产生能量在70-250兆电子伏特(MeV)的质子束。通过在治疗过程中调整质子能量,使得质子束对肿瘤细胞损伤最大化。比肿瘤更接近体表的组织接受较低剂量的照射,因而损伤较小。人体深部组织则几乎不受照射。
四、肿瘤照射高适形性
现代的质子刀放疗融合了光子放疗的三维适形放疗(3D-CRT)和调强放疗(IMRT)技术,能达到高度的肿瘤放疗适形性。由于质子调强放疗(IMPT)融合了全套光子3D-CRT和IMRT技术,使质子放疗达到了迄今为止最高的肿瘤照射适形性,而对肿瘤周围正常组织的剂量明显减少。
所以质子刀治疗与普通放疗的比较,质子刀具有更好的物理及生物学特性,有足够的放射剂量能到达体内更深部位的肿瘤。重离子与质子能到达皮肤下30厘米深的组织,明显提高对肿瘤的控制能力;对比传统放射方式,到达肿瘤部位的放射能量能大大的提高(质子刀能提高20%),明显减轻肿瘤周边正常组织的损害及副作用;减少放疗和化疗同时应用对正常组织的毒性;通过提高日照射剂量而明显缩短疗程;减少第二原发肿瘤的发生率。
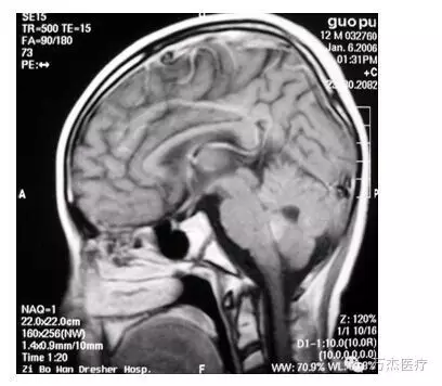
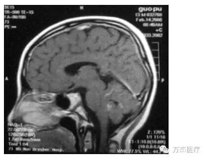
典型病例(髓母细胞瘤): 
治疗前 
治疗结束时 
治疗后一月 
治疗后10年




转自万杰医疗
咨询及预约质子治疗,请登录,或登录全球肿瘤医生网。
声明:春晓健康网是服务与广大癌症肿瘤客户群体的综合性网站,提供癌症肿瘤相关问题交流咨询等服务,有这方面的需要可以直接点击右侧在线客服进行交流以及咨询!





发表评论