文章最后更新时间:2024-08-12 19:41:29,由春晓健康网负责审核发布,若内容或图片失效,请留言反馈!
2021年AACR年会:聚焦四大新型免疫细胞疗法-CAR-T细胞疗法、TIL疗法、个性化癌症疫苗、大放异彩溶瘤病毒
在过去的十年中,免疫疗法的出现,让医学界第一次相信“治愈”癌症是可能的,或者将癌症控制为像高血压糖尿病一样的慢性病。
在2021年4月10日至15日正在进行的AACR盛会上,众多新型疗法纷纷闪亮登场,数据振奋人心,相信更多的免疫治疗正式临床应用于实体肿瘤的那一天离我们越来越近了。

2021AACR:聚焦四大新型免疫疗法
免疫疗法是一类非常广泛的癌症疗法,包括基于细胞的疗法(目前FDA批准的5款CAR-T疗法,对于特定的血液肿瘤类型总体缓解率都能达到70%以上,这些治疗方法已经证实可以诱发的显着反应 - 即使是生存期仅仅几个月的晚期癌症患者也可以完全根除,在某些情况下强烈响应持续数月甚至数年);免疫检查点抑制剂(FDA批准了十款免疫检查点抑制剂可以用来治疗肺,胃,结直肠等近20类癌症),疫苗和免疫系统调节剂。
医学界期望这种依靠自身免疫系统攻击癌症的免疫疗法能在更多癌症患者身上出现“治愈”奇迹。本次AACR上四款新型的免疫疗法大放异彩,给癌症患者带来了新的希望。
01、完全缓解率80%!新型双特异性CAR-T曙光初现
众所周知,CAR-T在治疗恶性血液学肿瘤方面取得的成果有目共睹,这全都得益于血液肿瘤的肿瘤细胞中的祖传靶点——CD19,此靶点只存在于肿瘤细胞中而不存在于正常细胞中。因此在肿瘤治疗中可以依靠此靶点带领CAR-T细胞找到并消灭癌细胞。
目前 ,美国已经批准了四款用于某些淋巴瘤的CAR-T疗法,最近也批准了首个用于多发性骨髓瘤的CAR-T疗法 。
尽管疗效惊人,但该疗法仍存在一些局限性,包括疾病复发。例如,大约一半的B细胞淋巴瘤患者在开始CAR T细胞治疗后六个月内复发,这是由于肿瘤上缺乏CAR T细胞持久性和靶抗原CD19的下调所致。一旦复发,患者的治疗选择非常局限,预后差。
在2021年AACR大会上,加州大学洛杉矶分校医学中心血液学和肿瘤学研究员Sanaz Ghafouri博士公布了一项新的研究成果引起了巨大的轰动。
他们研发了一种新型的双特异性CAR T细胞,可以同时靶向两种肿瘤抗原CD19 / CD20。这是利用原始记忆T细胞开发并在患者身上进行测试的第一个双特异性CAR-T细胞疗法,这种方法可能会增加患者中CAR T细胞的持久性和扩增数量,同时避免由于肿瘤抗原的丢失而导致的复发。
这项试验入组了5例CD19和CD20肿瘤抗原表达均为阳性的B细胞恶性肿瘤患者,这些患者之前平均接受了4种疗法。从每位患者中提取幼稚的记忆T细胞,进行工程改造来表达抗CD19 / CD20 CAR,进行扩增之后回输到患者体内。
在中位随访13个月后,5名患者中有4名出现完全缓解(80%)!

值得一提的是,任何患者中均未出现剂量限制性毒性或神经毒性。所有患者经历1级细胞因子释放综合征,因此,这款新型的CAR-T疗法安全性卓越,并且为这种特发性疾病提供了长期持续缓解的可能性!
我们期待全球范围内能制造出疗效更好、副作用更低的CAR-T治疗技术,造福人类。另外告诉大家一个好消息,国内首款CAR-T疗法即将在近日获批!上市及临床招募信息可致电全球肿瘤医生网医学部咨询。
02、疾病控制率高达80.3%!TILs疗法率先宣战实体瘤,有望上市!
在实体肿瘤中最具潜力的TILS(肿瘤浸润淋巴细胞)疗法近两年好消息不断,对于多种临床上难治的实体肿瘤取得了惊艳四座的临床效果。
这项由美国国家癌症研究院的免疫界泰斗Rosenberg教授团队研发的新型免疫疗法在早期的研究已经证实黑色素瘤中的TIL治疗具有持续数十年的完全应答(CR)的潜力,这种长期的作用归功于记忆T细胞的持久性。在今年的AACR会议上,基于TILS细胞的创新型疗法LN-144(Lifileucel)更新了黑色素瘤的临床结果,再次引起了轰动。
C-144-01是一项2期临床试验,招募66名已被诊断患有IIIc期或IV期转移性黑色素瘤的患者。这些患者的特点是至少接受了3~4种全身性治疗都失败后的患者,所有人都接受过PD-1抑制剂治疗,80%接受过CTLA-4抑制剂 ,23%的患者接受过BRAF / MEK抑制剂,可以说是临床上用尽了治疗方案,山重水复疑无路的极晚期患者。还有44%的患者存在肝或脑转移。这些患者在接受手术后,将肿瘤组织中的TIL细胞进行培养后回输,平均注入的TIL细胞:28 x 10^9;IL-2剂量:6次。
实验结果
不负众望!在最新报道的66例接受过PD-1治疗晚期黑色素瘤患者的试验中,结果显示:疾病控制率(DCR)高达80.3%;客观缓解率达到36.4%(完全缓解为4.5%,部分缓解为31.8%);中位随访时间为8.8个月,未达到中位反应持续时间。 更引人注目的是,患有PD-L1阴性的患者也有响应,这说明对免疫检查点抑制剂无效的患者仍能获益于TIL疗法。
对于PD-1治疗后进展的患者,几乎没有其他治疗选择,这种治疗方案的效果几乎无与伦比。LN-144(Lifileucel)预计会在2021年向FDA提交上市申请。

一位晚期黑色素瘤患者肿瘤在治疗前出现广泛转移,在接受TILs疗法后一个月病灶明显缩小,治疗6个月达到完全缓解,治疗两年后仍然处于完全缓解状态,并且体内持续存在肿瘤反应性CD8 + T细胞。

好消息是,近年来,TILs疗法在国际上发表了众多重磅研究数据,距离上市的脚步越来越近:
宫颈癌最新的数据显示,客观缓解率(ORR)44%,完全缓解率(CR)11%,疾病控制率(DCR)高达85%。基于这项优异的临床数据,2019年FDA授予肿瘤浸润淋巴细胞(TIL)治疗方法LN-145为突破性的治疗指定,预计将于2021年提交上市申请。
肺癌最新的临床数据(2020AACR)显示,TIL疗法对于晚期肺癌可达到25%的总缓解率。
肉瘤首次公布的截止到2020年6月1日的数据显示,客观缓解率(ORR)达到33.3%。
卵巢癌的初步数据显示,6例晚期转移性高级别浆液性OC的患者接受了ipilimumab后进行手术,接受TIL疗法,再接受低剂量IL-2和nivolumab。结果显示,一名患者获得了部分缓解,其他五名患者经历了长达12个月的疾病稳定期。
头颈癌:客观缓解率44.4%,87.5的患者肿瘤缩小。除此之外,TILs疗法在结直肠癌,乳腺癌等恶性肿瘤中也显示出巨大潜力,请查看文末相关链接。已经发展的各项研究表明,TIL治疗将有待不断改进和发展,最终将成为人类抗癌的新武器。
目前,TILs疗法预计2021年提交上市申请,一旦FDA批准,这将是首款用于实体瘤的细胞免疫疗法,将给癌症患者带来巨大的生存获益。关于这款疗法全球肿瘤医生网医学部已经写了大量的科普文章,此外,据全球肿瘤医生网医学部了解,国内的TILs疗法是在美国的肿瘤浸润淋巴细胞(TIL)疗法基础上经过改良,并进一步给予基因修饰,提升其克服肿瘤微环境和增加自我扩增的能力,在前期的概念验证临床研究中已取得了非常积极的疗效和安全性验证,目前已获得批准正式开展人体临床试验招募患者,想申请的病友可以致电全球肿瘤医生网医学部进行评估。
03、个性化癌症疫苗有望治疗多种癌症
继终结了天花,脊髓灰质炎,全面扼杀在世界范围内肆虐的新冠肺炎后,研究人员希望用疫苗治疗癌症,这有可能成为现实吗?
在2021年AACR大会上,一款新型的个性化癌症疫苗让这一希望有望成为现实。
与传统的癌症疫苗不同,个性化的癌症疫苗(PGV-001)是一款专门用于标准治疗后的辅助性治疗疫苗,有助于清除体内残存的癌细胞,延长患者的生存期。在接受了手术及标准治疗后,13位各类癌症的患者分别接受了7~10剂个性化的PGV-001疫苗和免疫刺激剂poly-ICLC。
在平均880天(长达2年多)的随访之后,4名患者没有癌症迹象,4名患者正在接受后续治疗,三名患者死亡,两名患者失去随访。中位无进展生存期为618天。疫苗耐受性良好,大约一半的患者仅发生了1级注射部位反应。
根据初步的临床试验结果显示,该疫苗可潜在地用于治疗多种类型的肿瘤 。
目前这款癌症疫苗还处于早期的临床试验阶段。此外,还有一些国家的树突细胞疫苗已经正式进入临床应用,一些早期肿瘤患者可以在手术后考虑使用疫苗联合放化疗辅助治疗,起到杀伤残余癌细胞,产生免疫记忆,预防癌症复发和转移。大家可以致电全球肿瘤医生网医学部了解详情(4006667998)。
04、溶瘤病毒G207有望对抗致命脑瘤
溶瘤病毒是一类能够有效感染并杀灭癌细胞的病毒。本次AACR大会上,一项新型溶瘤病毒疗法的一期临床试验的结果公布,非常振奋人心。
新型的溶瘤病毒采用的是改良的1型单纯疱疹病毒 (HSV-1,一种唇疱疹的常见病因),它可以感染肿瘤细胞,但不能感染正常细胞,这款溶瘤病毒称为G207. 由于HSV-1自然感染周围和中枢神经系统的细胞,因此对于脑部肿瘤来说可能非常理想。

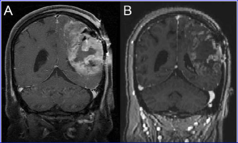
胶质母细胞瘤接受G207治疗前后对比。(A)治疗前(B)G207的接种后一个月,表明对G207有明确的反应。
这项试验纳入了12例7至18岁的高级神经胶质瘤患者,都是经过标准治疗后进展的晚期患者。接受G207病毒注射后,一些患者还接受单次小剂量辐射,来增强病毒复制并在整个肿瘤中扩散。 结果显示,在11例患者中观察到了响应,中位总生存期为12.2个月,比进行性儿童高级神经胶质瘤的典型总生存期增加了120% 。

单独或与放射疗法联合使用的G207耐受性良好,没有剂量限制性毒性,与治疗相关的3/4级不良事件,也没有病毒渗入血液,唾液或结膜的证据。
此外,对治疗前和治疗后肿瘤组织的分析显示 ,在G207输注后的三至九个月内,包括CD4 + 和CD8 + T细胞在内的肿瘤浸润免疫细胞数量增加。在距G207接种部位几厘米处也观察到T细胞浸润。
“这些结果表明,这种治疗方法可以将免疫细胞很少的免疫性'冷'儿科高级神经胶质瘤转变为免疫细胞丰富的'热'肿瘤,这将是有效的儿童免疫治疗研发方向。
正如这四项研究所显示的,全球针对多种癌症类型和患者人群的各种免疫疗法正在火热研究中。免疫疗法被誉为攻克癌症的希望,不管是目前已经在众多癌症中获批的PD-1免疫检查点抑制剂疗法,还是过继性细胞免疫治疗,以及众多如火如荼研发中的癌症疫苗,都只是免疫学冰山中的一角。
研究人员正在挖掘冰山中蕴藏的更多信息,如何控制免疫反应,以及将将这些治疗手段用于临床获得益处,给我们越来越多生存的希望,而攻克癌症的希望,或许就在其中。期待免疫疗法取得更多突破,给癌症患者带来更多奇迹。
参考资料:
https://www.cancerhealth.com/article/bispecific-car-tcell-therapy-shows-promise-bcell-lymphoma
https://www.aacr.org/blog/2021/04/12/aacr-annual-meeting-2021-novel-approaches-to-enhance-immunotherapy/
https://www.onclive.com/view/lifileucel-yields-durable-responses-in-pretreated-advanced-melanoma
https://www.cancernetwork.com/view/positive-efficacy-data-found-with-lifileucel-til-therapy-for-pretreated-advanced-melanoma
全球肿瘤医生网提醒
本文涉及的新药和技术在国内处于临床研究阶段,细胞治疗技术目前尚无确切疗效。本文数据来源于发表的论文,真实可靠。患者参加临床试验应在医生的监管下,在医院正规使用。全球肿瘤医生网不建议患者自行使用本文涉及的新药新技术。





发表评论