抗癌指南 肺癌 胃癌 结直肠癌 食道癌 乳腺癌 肝癌 胰腺癌 卵巢癌 宫颈癌 肾癌 膀胱癌 脑瘤 肉瘤 前列腺癌 黑色素瘤 妇科肿瘤 头颈癌 儿童肿瘤 淋巴瘤

免费用赫赛汀的机会来啦!HER2阳性乳腺癌患者招募! 乳腺癌

乳腺癌免费用赫赛汀的机会来啦!HER2阳性乳腺癌患者招募!

我国每年约新增 20 万乳腺癌患者且死亡率以每年 3% 的幅度增长,是我国女性发病率较高的癌症。HER2 是人表皮生长因子受体家族的第 2 个成员,其作为乳腺癌的预后指标、治疗反应预测指标、治疗靶点和预测新辅助化疗疗效,是国际肿瘤生物治疗的一项重大进展。美国 Genetech 公司首先开发出以 HER2 为靶点的抗肿瘤抗体药物赫赛汀,于 1998 年批准用于

Trop2靶向药,靶向Trop-2靶点的抗体偶联(ADC)药物戈沙妥珠单抗(Trodelvy、Sacituzumab Govitecan)治疗乳腺癌获优先审查资格 乳腺癌

乳腺癌Trop2靶向药,靶向Trop-2靶点的抗体偶联(ADC)药物戈沙妥珠单抗(Trodelvy、Sacituzumab Govitecan)治疗乳腺癌获优先审查资格

Trop2靶向药,靶向Trop-2靶点的抗体偶联(ADC)药物戈沙妥珠单抗(Trodelvy、Sacituzumab Govitecan)治疗乳腺癌获优先审查资格戈沙妥珠单抗获优先审查资格2022年10月11日,FDA宣布接受并优先审查Trodelvy(戈沙妥珠单抗,Sacituzumab Govitecan)的补充生物制剂许可申请,用于治疗已经接受过内分泌

晚期乳腺癌不知如何用药,刚上市这个新药了解一下 乳腺癌

乳腺癌晚期乳腺癌不知如何用药,刚上市这个新药了解一下

我们知道BRCA基因是乳腺癌常见的基因突变靶点,国内患者常用的的靶向药有奥拉帕尼、尼拉帕尼,这两类药物在国内已经上市。另外,针对BRCA基因还有两种靶向药,分别是鲁卡帕尼和 talazoparib。对于鲁卡帕尼,大家可能也不陌生,毕竟有中国名字了。然而, talazoparib是何许人也?下面,Vicki带您详细了解一下 talazoparib的身世!

老药新用,抗生素——氯法齐明被证实可以靶向三阴乳腺癌 乳腺癌

乳腺癌老药新用,抗生素——氯法齐明被证实可以靶向三阴乳腺癌

​  Clofazimine(氯法齐明)是一种长期用于治疗麻风病和肺结核的抗生素,如今,可能摇身一变,成为抗癌药!会被重新用作三阴性乳腺癌的有希望的潜在治疗方法!在乳腺癌的三个主要亚型中,“三重阴性”是最致命的:所有乳腺癌死亡的一半归因于它,而三阴乳腺癌仅占乳腺癌发病率的约15%。 与其他乳腺癌不同,三阴乳腺癌对大多数现有疗法都有抵抗力,最多的治疗方法就是

乳腺癌术后放疗,乳腺癌术后辅助放疗时限影响生存结局 乳腺癌

乳腺癌乳腺癌术后放疗,乳腺癌术后辅助放疗时限影响生存结局

乳腺癌术后放疗,乳腺癌术后辅助放疗时限影响生存结局为了优化乳腺癌的医疗,美国外科医师学会癌症委员会制定了关于术后辅助放疗指征和时限的质量指标。其中,MASTRT质量指标规定对于引流区域阳性淋巴结≥4枚的乳房切除术后女性,应于乳腺癌诊断1年(365天)内推荐或给予放疗;BCSRT质量指标规定对于70岁以下的保乳术后女性,应于乳腺癌诊断1年(365天)内给予放疗

乳腺癌放疗没你想得那么可怕! 乳腺癌

乳腺癌乳腺癌放疗没你想得那么可怕!

2017年9月24-27日,美国圣地亚哥举办的第59届美国放射肿瘤学会(ASTRO)上公布的试验结果显示,患者对乳腺癌放疗的误解和恐惧存在于放疗前的预期中,但是放疗后大部分患者承认乳腺放疗的负面印象是没有根据的。许多乳腺癌患者对乳腺癌放射疗法存在误解和恐惧。尽管已对乳腺癌放疗做了充分的有效性和安全性研究,但是患者对此知之甚少。2012年-2016年,研究者使

乳腺癌放疗没那么可怕 乳腺癌

乳腺癌乳腺癌放疗没那么可怕

90%的乳腺癌患者说放疗并没有预期的那么可怕。对327名乳腺癌患者(平均年龄59岁,2%进行了保乳手术)的一项调查也发现,超过80%的患者表示,放疗的副作用比预期好。加利福尼亚大学洛杉矶分校(UCLA)的首席研究员Narek Shaverdian博士说:“放射这个词本身听起来很可怕,而且与许多负面消息有关。”但在过去的20年里,已经取得了重大进展。这些改变使

阿斯利康/第一三共抗体偶联(ADC)药物DS8201(Trastuzumab Deruxtecan)在欧盟获批用于乳腺癌二线治疗 乳腺癌

乳腺癌阿斯利康/第一三共抗体偶联(ADC)药物DS8201(Trastuzumab Deruxtecan)在欧盟获批用于乳腺癌二线治疗

阿斯利康/第一三共抗体偶联(ADC)药物DS8201(Trastuzumab Deruxtecan)在欧盟获批用于乳腺癌二线治疗2022年7月19日,阿斯利康(AstraZeneca)和第一三共(Daiichi Sankyo)宣布,双方联合开发的抗体偶联药物(ADC)Enhertu(trastuzumab deruxtecan)在欧盟获得批准一项新适应症,作

不到三年,这个乳腺癌药物经历了FDA三次洗礼 乳腺癌

乳腺癌不到三年,这个乳腺癌药物经历了FDA三次洗礼

Abemaciclib(Verzenio)已迅速获批了转移性乳腺癌患者的3种临床适应症,并且是唯一被批准用作单药的CDK4 / 6抑制剂。每项批准研究都显示无进展生存期(PFS)有显着改善,特别是在内脏功能受损和内分泌治疗耐药患者中。鉴于这种新型药物的迅速发展,从最初的I期研究开始就参与abemaciclib开发的礼来公司高级研究顾问Andrew Koust

NEJM 2016-11-17发表NCT01740427 (PALOMA-2)Palbociclib联合来曲唑治疗乳腺癌 乳腺癌

乳腺癌NEJM 2016-11-17发表NCT01740427 (PALOMA-2)Palbociclib联合来曲唑治疗乳腺癌

NEJM 2016-11-17发表NCT01740427 (PALOMA-2) III期临床研究结果显示,Palbociclib联合来曲唑相较于来曲唑单药一线治疗雌激素受体(ER)(+)且人表皮生长因子受体(HER)2(-)的晚期乳腺癌能够明显提高患者的PFS(24.8个月:14.5个月,P2013年美国FDA审定机构指定辉瑞公司乳腺癌试验药物palboci

速递|乳腺癌辅助治疗药物,FDA批准奥拉帕利(奥拉帕尼、Lynparza)作为BRCA阳性和HER2阴性的高危早期乳腺癌辅助治疗方案 乳腺癌

乳腺癌速递|乳腺癌辅助治疗药物,FDA批准奥拉帕利(奥拉帕尼、Lynparza)作为BRCA阳性和HER2阴性的高危早期乳腺癌辅助治疗方案

速递|乳腺癌辅助治疗药物,FDA批准奥拉帕利(奥拉帕尼、Lynparza)作为BRCA阳性和HER2阴性的高危早期乳腺癌辅助治疗方案FDA批准奥拉帕利作为乳腺癌辅助治疗方案2022年3月11日,FDA批准奥拉帕利(Lynparza,Olaparib)的新适应症,作为生殖系(胚系)BRCA突变阳性、HER2突变阴性的高危早期乳腺癌患者的辅助治疗方案。这是首个也

问世31年,女性健康第一杀手乳腺癌治疗,不能没有赫赛汀! 乳腺癌

乳腺癌问世31年,女性健康第一杀手乳腺癌治疗,不能没有赫赛汀!

inkMacSystemFont, " helvetica="" sans="" yahei="" text-align:="">​提到乳腺癌治疗,不得不检测三个生物标记物的检测,PR(孕激素受体)、ER(雌激素受体)和HER2(人表皮生长因子2),无论哪种标记物检测出阳性,都有多种药物可以选择,治疗预后较好。inkMacSystemFont, " hel

中美学者发现提前短期使用拉帕替尼可终身预防乳腺肿瘤生长 乳腺癌

乳腺癌中美学者发现提前短期使用拉帕替尼可终身预防乳腺肿瘤生长

化学预防是指对无症状者使用药物、营养素(包括无机盐)、生物制剂或其他天然物质作为一级、二级预防为主的措施,例如:用阿司匹林预防心脏病、脑卒中以及可能的肿瘤,绝经后女性用雌激素预防骨质疏松和心脏病,他莫昔芬用于女性乳腺癌的化学预防,维生素用于肿瘤的预防。这方面最早的研究可以回溯到1929年发表的芥子气抑制焦油所致皮肤癌。 虽然针对雌激素和雌激素受体通路的化学预

2019,HER2阳性乳腺癌详尽用药指导及新药研究进展,一目了然 乳腺癌

乳腺癌2019,HER2阳性乳腺癌详尽用药指导及新药研究进展,一目了然

HER2靶向药的出现改变了HER2阳性乳腺癌患者的预后,改变了早期和晚期HER2阳性乳腺癌的疾病进程,大大解决了全球女性的治疗难题。目前,已经问世的药物有:靶点:HER2——乳腺癌①药品名:Trastuzumab(Herceptin)中文名:曲妥珠单抗(赫赛汀)生产商:罗氏(外)适应症:晚期乳腺癌、胃癌中国上市:是,纳入医保(7000元/支)曲妥珠单抗生物

CDK4 / 6抑制剂治疗乳腺癌效果显著 在这些癌症中也将大放异彩 乳腺癌

乳腺癌CDK4 / 6抑制剂治疗乳腺癌效果显著 在这些癌症中也将大放异彩

许多癌细胞迅速生长无法控制,是因为这些细胞不受“分子刹车”控制了,通常只在新旧细胞替换时才进行分裂,这些“分子刹车”由一组称为细胞周期蛋白依赖性激酶(CDKs)的酶来调节。多种癌症与发现的两种酶,即CDK4和CDK6过度活化相关。迄今为止,CDK4 / 6抑制剂已被证明在治疗晚期雌激素受体阳性,HER2阴性乳腺癌方面最为有效。与激素阻断药物联合,CDK4 /

乳腺癌医生,美国乳腺癌专家Eric Winer教授荣获吉尔·罗斯奖 乳腺癌

乳腺癌乳腺癌医生,美国乳腺癌专家Eric Winer教授荣获吉尔·罗斯奖

乳腺癌医生,美国乳腺癌专家Eric Winer教授荣获吉尔·罗斯奖乳腺癌专家Eric Winer教授Eric Winer是丹娜法伯苏珊史密斯女性肿瘤中心的乳腺中心的主任。他是国际上认可的乳腺癌专家,在乳腺癌领域的研究和教育方面的贡献众所周知。2019年10月18日,Eric Winer博士被乳腺癌研究基金会(BCRF)授予吉尔·罗斯奖。该奖项每年授予BCRF

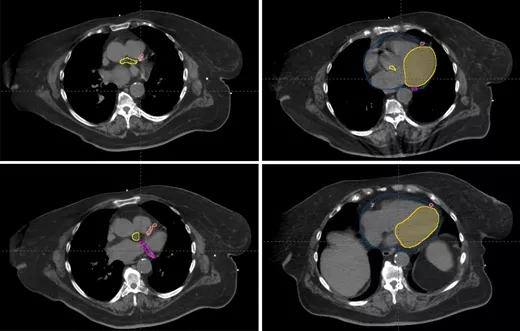
乳腺癌保乳术后放疗,左侧乳腺癌保乳术后质子治疗和传统光子放疗对比 乳腺癌

乳腺癌乳腺癌保乳术后放疗,左侧乳腺癌保乳术后质子治疗和传统光子放疗对比

乳腺癌保乳术后放疗,左侧乳腺癌保乳术后质子治疗和传统光子放疗对比放疗在乳腺癌的治疗中起着不可或缺的作用。保乳术后,肿瘤被切除的同时尽可能多的保留了患者正常的乳腺组织。全乳照射是一个标准的后续治疗方法,某些情况下,还需要对区域淋巴结和/或肿瘤腔进行照射。随着早期乳腺癌患者存活率的提高,考虑接受此类放疗患者的潜在长期并发症变得非常重要。特别是对于左侧乳腺的放疗,

科伦药业靶向TROP-2靶点的抗体偶联(ADC)药物TROP2抑制剂SKB264注射液拟被纳入三阴性乳腺癌突破性治疗 乳腺癌

乳腺癌科伦药业靶向TROP-2靶点的抗体偶联(ADC)药物TROP2抑制剂SKB264注射液拟被纳入三阴性乳腺癌突破性治疗

科伦药业靶向TROP-2靶点的抗体偶联(ADC)药物TROP2抑制剂SKB264注射液拟被纳入三阴性乳腺癌突破性治疗2022年6月29日,中国国家药监局药品审评中心(CDE)官网公示,科伦药业控股子公司科伦博泰递交的注射用SKB264的一项临床试验申请拟被纳入突破性治疗品种,针对的适应症为局部晚期或转移性三阴性乳腺癌。公开资料显示,KB264是一款靶向TRO

乳腺癌治疗药物,治疗乳腺癌的药,乳腺癌化疗药,乳腺癌靶向药物,乳腺癌免疫治疗药物 乳腺癌

乳腺癌乳腺癌治疗药物,治疗乳腺癌的药,乳腺癌化疗药,乳腺癌靶向药物,乳腺癌免疫治疗药物

乳腺癌治疗药物,治疗乳腺癌的药,乳腺癌化疗药,乳腺癌靶向药物,乳腺癌免疫治疗药物虽然乳腺癌是女性第一杀伤手,发病率很高,但却不是恶性程度最高的癌症。根据美国临床肿瘤学会(ASCO)公布的数据,浸润性乳腺癌女性的平均5年生存率为90%。10年平均生存率为83%。如果癌症仅位于乳房部位,则乳腺癌女性的5年生存率为99%。62%的乳腺癌患者确诊时处于此阶段。如果癌

乳腺癌精准放疗-质子放疗,可以降低乳腺癌放化疗的副作用的心脏毒性 乳腺癌

乳腺癌乳腺癌精准放疗-质子放疗,可以降低乳腺癌放化疗的副作用的心脏毒性

乳腺癌精准放疗-质子放疗,可以降低乳腺癌放化疗的副作用的心脏毒性最美的年纪,却不幸得了乳腺癌2018年的夏天对于身为幼师的Katie来说极为特殊,她做梦也没想到在乳房中发现了肿块。由于她才35岁,做乳腺钼靶X线检查并未见到异常,后再当地肿瘤医院行乳腺B超才被诊断患有双侧乳腺癌。“一直以来,乳腺癌并不在我的关注范围内,当然我也没想到这么年轻会患病。况且我没有任