抗癌指南 肺癌 胃癌 结直肠癌 食道癌 乳腺癌 肝癌 胰腺癌 卵巢癌 宫颈癌 肾癌 膀胱癌 脑瘤 肉瘤 前列腺癌 黑色素瘤 妇科肿瘤 头颈癌 儿童肿瘤 淋巴瘤

想要一劳永逸吗?来那替尼预防HER2乳腺癌复发无可替代 乳腺癌

乳腺癌想要一劳永逸吗?来那替尼预防HER2乳腺癌复发无可替代

乳腺癌是我国乃至世界女性第一大癌症高发类型,而HER2阳性乳腺癌更是其中最凶险的一种。其中,20%~30%是HER2阳性乳腺癌。 seline; word-break: break-word; max-width: 100%; display: block; border-radius: 4px;" alt="" />seline; word-break:

生存期翻倍!首个乳腺癌PI3K抑制剂-Alpelisib获批! 乳腺癌

乳腺癌生存期翻倍!首个乳腺癌PI3K抑制剂-Alpelisib获批!

在代号为SOLAR-1的临床试验中,与单独使用氟维司群相比,新药Piqray(alpelisib,既往称为BYL719)联合氟维司群治疗PIK3CA突变的HR + / HER2-晚期乳腺癌患者中的中位无进展生存期几乎翻了一倍(11.0 vs 5.7个月)!在HR + / HER2-晚期乳腺癌患者中,有40%由于存在PIK3CA突变而面临预后很差的结果, P

乳腺癌可以不化疗吗?CDK4/6抑制剂有望成为乳腺癌化疗的替代方案 乳腺癌

乳腺癌乳腺癌可以不化疗吗?CDK4/6抑制剂有望成为乳腺癌化疗的替代方案

乳腺癌可以不化疗吗?CDK4/6抑制剂有望成为乳腺癌化疗的替代方案本文整理自美国堪萨斯大学中心医院的Priyanka Sharma博士在第19届国际乳腺癌年度大会上的演讲,并进行了必要的延展。重点讨论了基于CDK4/6抑制剂的疗法分别治疗激素受体阳性、HER2阳性和三阴性乳腺癌患者的疗效。随着靶向药物的发展,HER2阳性乳腺癌已经有了比任何一种其它类型乳腺癌

两款抗体偶联(ADC)药物戈沙妥珠单抗(Trodelvy、Sacituzumab Govitecan)和Enhertu(DS-8201、T-DXd、Trastuzumab Deruxtecan)写入三 乳腺癌

乳腺癌两款抗体偶联(ADC)药物戈沙妥珠单抗(Trodelvy、Sacituzumab Govitecan)和Enhertu(DS-8201、T-DXd、Trastuzumab Deruxtecan)写入三

两款抗体偶联(ADC)药物戈沙妥珠单抗(Trodelvy、Sacituzumab Govitecan)和Enhertu(DS-8201、T-DXd、Trastuzumab Deruxtecan)写入三阴性乳腺癌治疗指南就在2022年ASCO大会的这几天时间里,我们见证了两项三阴性乳腺癌治疗上的“颠覆性突破”。一个是Trop-2靶点的抗体-药物偶联物(ADC)

新西兰批准乳腺癌新药IBRANCE(palbociclib)胶囊上市 乳腺癌

乳腺癌新西兰批准乳腺癌新药IBRANCE(palbociclib)胶囊上市

IBRANCE(palbociclib)是一种口服胶囊,21天一个疗程,推荐开始剂量:125 mg每天一次与食物服用21天,接着停药7天。确定类型是乳腺癌治疗的基础,不同类型的乳腺癌治疗方法不同。转移性乳腺癌的治疗方案取决于几个因素,包括癌症已经扩散到乳腺癌细胞内发现的雌激素受体水平,以及癌细胞表面的HER2基因或HER2蛋白的水平。当乳腺癌细胞具有异常高水

费用全免!年轻乳腺癌妈妈完成34次质子治疗 乳腺癌

乳腺癌费用全免!年轻乳腺癌妈妈完成34次质子治疗

美国俄克拉荷马州一位年轻的妈妈Hauli Gray患了乳腺癌,经历了多次治疗和手术,医生建议她质子治疗是唯一正确的选择,但是也有人提出了质疑而建议调强放射治疗(IMRT)和CyberKnife(射波刀)也可以。最后,Hauli Gray还是选择了质子治疗!并且,幸运的是, ProCure质子治疗中心承诺将承担她的质子治疗费用。 portant;" alt

乳癌治疗新突破 两种药令肿瘤11天内消失 乳腺癌

乳腺癌乳癌治疗新突破 两种药令肿瘤11天内消失

据台湾“中央社”3月10日报道,英国乳癌治疗有新突破。英国科学家使用2款药物对HER2阳性乳癌患者进行治疗,仅11天疗程即大幅缩减肿瘤。这令科学家十分惊喜,对乳癌患者是一大福音。研究人员以拉帕替尼(lapatinib)和赫赛汀(Herceptin)2款药物对257名乳癌妇女进行实验,在患者被诊断出有乳房肿瘤及安排开刀之间的短期间进行治疗,意外发现部分患者开

CDK4/6抑制剂新药爱博新在中国获批 用于治疗晚期乳腺癌 乳腺癌

乳腺癌CDK4/6抑制剂新药爱博新在中国获批 用于治疗晚期乳腺癌

8月6日,辉瑞公司宣布全球首个细胞周期蛋白依赖性激酶(CDK)4/6抑制剂爱博新IBRANCE(哌柏西利,palbociclib)已于7月31日获国家药品监督管理局批准,该药将用于治疗晚期乳腺癌。 数据显示,乳腺癌是严重威胁全世界女性健康的第一大恶性肿瘤。2015年,中国新发乳腺癌病例达27.2万,死亡约7万余例。晚期乳腺癌的形势更为严峻,每年新发10个患

重磅乳腺癌新药“哌柏西利”今日国内开售!这份使用指南请收藏! 乳腺癌

乳腺癌重磅乳腺癌新药“哌柏西利”今日国内开售!这份使用指南请收藏!

乳腺癌为全球妇女高发的恶性肿瘤之一,全球每年新发病例达138.4万,约45.8万患者死于乳腺癌。我国每年约有16.9万女性患乳腺癌,是女性第二位最常见恶性肿瘤。CDK4 / 6抑制剂的出现,起到了关闭癌细胞分裂“开关”的作用,从而得以大大减慢细胞的分裂速度,并进一步控制癌细胞的恶性增殖。目前获批的用于乳腺癌的CDK4 / 6抑制剂有三种:哌柏西利和瑞博西林

帕博西尼Ibrance有哪些优点? 乳腺癌

乳腺癌帕博西尼Ibrance有哪些优点?

细胞周期失控是癌症的一个标志性特征,CDK4/6在许多癌症中均过度活跃,导致细胞增殖失控。CDK4/6是细胞周期的关键调节因子,能够触发细胞周期从生长期(G1期)向DNA复制期(S1期)转变。在雌激素受体阳性(ER+)乳腺癌中,CDK4/6的过度活跃非常频繁,而CDK4/6是ER信号的关键下游靶标。临床前数据表明,CDK4/6和ER信号双重抑制具有协同作用,

乳腺癌靶向药Kadcyla或与患者说“再见” 乳腺癌

乳腺癌乳腺癌靶向药Kadcyla或与患者说“再见”

Kadcyla于2013年2月22日正式被FDA批准使用,它的出现使得死于转移性乳腺癌的女性生命得以延长数月甚至几年,而且副作用与其他治疗方式相比也较小。但是,英国的成本效益监管机构——英国国家卫生医疗质量标准署(NICE)宣布,Kadcyla的售价太高,保险很难承受。尽管Roche承诺给出折扣,然而每位患者14.5个月疗程平均花费的90,000多英镑(约7

乳腺癌放疗保护心脏“难”,质子治疗帮你力挽狂澜 乳腺癌

乳腺癌乳腺癌放疗保护心脏“难”,质子治疗帮你力挽狂澜

对于许多患有乳腺癌的患者,放射治疗是不可避免的治疗选择。质子治疗是一种在目标组织中非常特定的位置停止的辐射; 常规辐射继续超出肿瘤。质子治疗的这一独特特征可用于减少对附近组织的辐射剂量。在乳腺癌中,这意味着与传统辐射相比,平均而言,心脏无辐射,平均肺部辐射减少50%。 放疗在乳腺的综合治疗中占有重要的地位。对于早期乳腺癌,许多临床试验已经论证保乳手术加放疗

ASCO :曲妥珠单抗疗程减半,与12个月疗效相当 乳腺癌

乳腺癌ASCO :曲妥珠单抗疗程减半,与12个月疗效相当

ASCO会议中Abstract 506  PERSEPHONE研究引起广泛关注,由Helena Earl教授在乳腺癌专场进行了口头报告,曲妥珠单抗12个月的标准疗程或将成为历史。 根据2005年的HERA、NSABP-B31和N9831三项研究主要结果,曲妥珠单抗获得FDA批准用于乳腺癌治疗。在这些研究中,曲妥珠单抗的使用时长为12个月,因此12个月成为其

乳腺癌PARP抑制剂(BRCA突变阳性)到底多有效? 乳腺癌

乳腺癌乳腺癌PARP抑制剂(BRCA突变阳性)到底多有效?

PARP抑制剂是一种靶向聚ADP核糖聚合酶(Poly ADP-ribose Polymerase,PARP)的癌症疗法。PARP酶参与许多DNA修复过程,特别是与具有致病性BRCA突变的肿瘤与同源重组的缺陷相关。 这是一种关键的双链DNA修复过程。当用PARP抑制剂治疗具有BRCA基因突变的肿瘤患者时,DNA修复缺陷的组合可能导致肿瘤毒性,同时对非癌组织无

乳腺癌骨转移放疗有效吗 乳腺癌

乳腺癌乳腺癌骨转移放疗有效吗

乳腺癌骨转移放疗有效吗放射治疗是乳腺癌骨转移姑息性治疗的有效方法。其目的是为了在患者有限的生存期内,预防或减轻因骨转移病灶引起的症状和功能障碍,也可用于姑息手术后快速进展病变的局部控制。同时,随着肿瘤药物发展,对于全身药物控制的患者特别是寡转移患者,局部放疗可以进一步巩固全身效果,延长生存期。骨转移放射治疗的方案需要根据转移灶部位、邻近限量器官、疼痛程度以及

速递|乳腺癌创新药,CDK4/6抑制剂达尔西利片(艾瑞康、SHR6390、Dalpiciclib、达匹西利、SHR6390片)获批上市 乳腺癌

乳腺癌速递|乳腺癌创新药,CDK4/6抑制剂达尔西利片(艾瑞康、SHR6390、Dalpiciclib、达匹西利、SHR6390片)获批上市

乳腺癌创新药,CDK4/6抑制剂达尔西利片(艾瑞康、SHR6390、Dalpiciclib、达匹西利、SHR6390片)获批上市2021年12月31日,国家药品监督管理局(NMPA)宣布批准江苏恒瑞研发的创新药物乙磺酸达尔西利片(Dalpiciclib,达匹西利、SHR6390片、商品名:艾瑞康)上市,用于联合氟维司群共同治疗激素受体阳性(HR+)、HER2

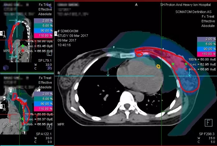
质子重离子治疗乳腺癌,乳腺癌质子重离子治疗成功案例 乳腺癌

乳腺癌质子重离子治疗乳腺癌,乳腺癌质子重离子治疗成功案例

质子重离子治疗乳腺癌,乳腺癌质子重离子治疗成功案例乳腺癌质子重离子治疗邵女士,36岁,浙江人,已育。2016年8月,邵女士自查乳腺处存在肿块,至外院行乳腺钼靶及穿刺活检。后于外院行“左侧腋窝淋巴结清扫术 +左乳腺癌保乳术”,并接受了术后化疗。术后病理浸润性导管癌,Ⅲ级,脉管侵犯,肿块大小最大径0.6 cm。2017年3月,邵女士来到我院接受乳腺癌术后辅助质子

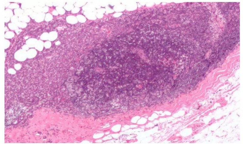
[抗癌突破]--重大发现:三阴乳腺癌治疗找到新靶点!新药物有望治疗与肥胖相关的乳腺癌和肺癌! 乳腺癌

乳腺癌[抗癌突破]--重大发现:三阴乳腺癌治疗找到新靶点!新药物有望治疗与肥胖相关的乳腺癌和肺癌!

1、重大发现:三阴乳腺癌治疗找到新靶点!三阴性乳腺癌(TNBC)是一种侵入性较强的乳腺癌形式,因其缺乏已知的治疗靶点,使其难以治疗。许多类型的癌症是由促进癌症生长的受体引起的。但是直到现在,像TNBC一样类型的癌症驱动受体仍然难以捉摸。在目前的研究中,贝勒医学院的科学家已经发现了一对驱动这种癌症的受体,通过抑制这些受体的疗法可以显着缩小TNBCs,包括那些对