文章最后更新时间:2024-08-12 20:16:11,由春晓健康网负责审核发布,若内容或图片失效,请留言反馈!
乳腺癌保乳术后放疗,左侧乳腺癌保乳术后质子治疗和传统光子放疗对比
放疗在乳腺癌的治疗中起着不可或缺的作用。保乳术后,肿瘤被切除的同时尽可能多的保留了患者正常的乳腺组织。全乳照射是一个标准的后续治疗方法,某些情况下,还需要对区域淋巴结和/或肿瘤腔进行照射。
随着早期乳腺癌患者存活率的提高,考虑接受此类放疗患者的潜在长期并发症变得非常重要。特别是对于左侧乳腺的放疗,心脏可能会受到一定剂量的照射,存在出现长期心脏并发症的风险,因此左侧乳腺的放疗具有挑战性。
降低上述风险的一种方法是通过深吸气屏气(DIBH)技术,将心脏与靶区分隔开,并减少心脏的照射剂量。由于质子治疗可以精准靶向肿瘤,并具有较好的适形性,而对远端结构的递送剂量几乎为零,因此质子治疗也可以用于帮助减少心脏的照射剂量。
美国新泽西州罗格斯癌症研究所的研究人员提出,将DIBH与质子治疗结合起来可以进一步降低心脏的照射剂量。由于既往对质子DIBH的研究很少,研究人员将10例患者的光子DIBH与质子DIBH进行了比较,原文发表于International Journal of Particle Therapy杂志。联系质子中国小编(微信号:ProntonCN)获取全文。
质子治疗和传统光子放疗剂量对比
研究包括10例左侧乳腺癌患者,他们接受放疗作为保乳治疗的一部分。所有患者均接受了乳腺肿瘤切除术,9例患者接受了前哨淋巴结活检,1例患者接受了腋窝淋巴结清扫术 。术后,所有患者均接受了光子DIBH的全乳照射。大多数患者还接受了对肿瘤腔的增强剂量照射,必要时接受淋巴结照射。
研究人员还制定了使用DIBH进行双散射质子治疗的治疗计划,调整后的临床靶区(CTV)与递送的光子计划相匹配。将每例患者的光子计划作为质子计划的对照组,获得多个心脏亚单位的照射剂量,包括整个心脏、左心室(LV)、左冠状动脉(LCA)、右冠状动脉(RCA)、左冠状动脉回旋支(LCx)和左前降冠状动脉(LAD)。

图1. 不同心脏亚单位的轮廓
两种治疗计划都提供了足够的靶区覆盖,但与光子DIBH相比,质子DIBH显著降低了心脏的照射剂量,包括:心脏的平均照射剂量(1.19~0.23 Gy);LV的平均照射剂量(1.7~0.25 Gy):LAD的平均、最大和半峰照射剂量(half-maximum doses)(5.54~1.15 Gy、22.15~7.7 Gy、4.42~1.61 Gy),以及LCx的最大照射剂量(1.35~0.13 Gy)。

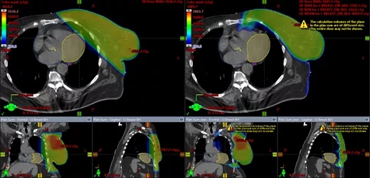
图2. 光子深吸气屏气(Ph-DIBH)与质子深吸气屏气(Pr-DIBH)的轴向、冠状和矢状图对比。可见质子治疗保护了左心室和左冠状动脉前降支(LADCA)。另外,可注意到Pr-DIBH照射的肺部体积显著减少。蓝色圆圈表示LADCA,黄色圆圈表示左心室
研究小组指出,降低整个心脏、LV和LAD的平均照射剂量可导致长期心源性死亡率至少降低约7%。考虑到光子DIBH对LCx、LCA和RCA的平均照射剂量已经是低剂量,因此通过质子进一步降低心脏照射剂量的临床意义尚不得知。
质子治疗和传统光子放疗对肺部的保护对比
放射性肺炎(放疗引起的肺部炎症)是另一个计划实施乳腺放疗时关注的问题。研究人员发现,与光子DIBH相比,质子DIBH显著降低了左侧肺部的照射剂量。左侧肺部平均照射剂量从8.04 Gy降至2.28 Gy,而接受20 Gy和5 Gy剂量照射的肺体积分别减少了13%和17%。临床上,质子治疗降低肺部照射剂量可能在临床上带来长期的益处。
研究还显示,质子治疗降低了右侧乳腺的最大照射剂量,尽管结果在统计学上无显著性差异。研究人员指出,质子对皮肤的照射剂量略高于光子放疗,虽然在统计学上无显著性差异,但在这方面仍需谨慎。
研究人员总结说:“与需要全乳照射和/或淋巴结照射的光子DIBH相比,质子DIBH显著降低了对重要危及器官的照射剂量。”由于该方法具有显著的长期临床益处,可能是未来新的标准治疗。
研究人员指出,要了解这种剂量学优势产生的临床意义需要开展随机研究,并进行长期随访。此外,由于缺乏足够的长期临床经验,这种质子治疗方法的毒性反应特征难以预测。希望正在进行的研究RADCOMP能在未来几年解答这些问题。(质子中国 编译报道)
信息来源:Physics World
参考文献:Mondal D, Jhawar SR, Millevoi R, Haffty BG, Parikh RR. Proton versus Photon Breath-Hold Radiation for Left-Sided Breast Cancer after Breast-Conserving Surgery: A Dosimetric Comparison. Int J Part Ther. 2020;7(3):24-33. Published 2020 Dec 31. doi:10.14338/IJPT-20-00026.1.
文章来源:ProtonCN 质子中国





发表评论