文章最后更新时间:2024-08-12 20:23:28,由春晓健康网负责审核发布,若内容或图片失效,请留言反馈!
鼻咽癌放疗,鼻咽癌放射治疗,鼻咽癌质子重离子治疗患者两年总生存率高达83.7%
鼻咽癌是我国多发的肿瘤之一,且发病位置靠近大脑神经,可能会对人体带来严重的危害。很多人觉得鼻咽癌似乎离他们很遥远,其实并不是!
很多名人都是因鼻咽癌去世的,最先要提及的是香港影坛,以饰演坏人角色闻名的众多香港经典影视作品中的金牌配角“大傻”成奎安!他和鼻咽癌战斗5年,最终因癌细胞蔓延医治无效逝世。
再者就是香港著名导演陈木胜也是因鼻咽癌去世,享年58岁,当时查出时已是晚期。

警惕!70%以上的鼻咽癌患者发现时已为晚期
鼻咽癌之所以是中国特色癌症,是因为全世界鼻咽癌发病人群中有80%都在中国,而且随着人口流动在扩散,高危人群高达4亿,且数量持续增加中,所以需要特别防范。全球80%鼻咽癌发生在中国,60%发生在南方特别是广东,故鼻咽癌又称为“广东癌“。
“70%以上初诊鼻咽癌患者已处于中晚期,这主要与鼻咽癌发病部位隐匿、早期症状不特异有关。”无癌家园专家表示,随着时间的推移,鼻咽癌会逐渐侵犯颅脑和神经、转移到颈部淋巴结,甚至肺部,症状会越来越严重!
有研究表明,鼻咽癌患者从发现自己耳鸣、涕血、颈部肿物后到医院就诊的平均间隔时间为4.7个月,因而不少患者就诊时已至疾病晚期,治愈率显著降低;同时统计分析还发现,如果鼻咽癌患者发现自身不适后1月内到医院诊治,患者平均分期为II期,治愈率高达80~90%以上。
因此,无癌家园的专家表示,得了鼻咽癌并不可怕,因为早期鼻咽癌的治愈率接近100%,而中晚期疗效明显差过早期,所以早诊早治,是治疗鼻咽癌的重中之重!
最容易忽视的这些症状
●鼻咽癌早期症状:
鼻塞、涕血、特别是回吸性涕血(早晨刷牙漱口的时候回吸鼻子吐出一口带黑色血丝的痰)、耳鸣以及听力下降。
●鼻咽癌晚期症状:
常见症状是颈部包块,脸麻,持续性头痛,复视,如果出现长期的骨头痛,持续咳嗽,胸痛,甚至咳血,腹水,那已经是非常晚期。
鼻咽癌的治疗手段多样,但以放疗为主
治疗方面,由于鼻咽癌部位特殊、界限不清,鼻咽腔深且狭小,周围有许多重要的血管、颅神经、淋巴组织等,难以进行根治性手术;但鼻咽癌对放疗较敏感,因此,鼻咽癌治疗以放疗为主,特别是质子、重离子治疗,作为“精准放疗”中的“王者”,不仅更能大显身手,还能有效预防放疗副作用。例如,马来西亚羽毛球名将李宗伟、韩国新生代偶像金宇彬,均是质子治疗抗癌成功的典范。
对于局部中晚期的鼻咽癌患者,则通常选择放疗联合化疗,或联合免疫疗法,可显著提高生存率。目前,鼻咽癌免疫治疗主要包括:免疫检查点抑制剂(尚未获批)、过继免疫细胞治疗及EB病毒相关疫苗。
鼻咽癌复发怎么办?"中国方案"重离子让两年生存率飙至83.7%
随着调强放射治疗技术及综合治疗策略的广泛应用,鼻咽癌患者的疾病控制率及长期生存率有了很大提高,但仍有10%~15%的患者可能出现局部复发。
复发鼻咽癌与初治鼻咽癌不同,临床治疗颇具挑战。调强放疗后复发的鼻咽癌,大多因对放射线相对不敏感的肿瘤细胞引起,对此类患者进行再程光子放疗,效果往往不理想。更需要注意的是,鼻咽黏膜坏死等严重副反应的发生率较高,患者会出现剧烈的头痛,甚至引发危及生命的大出血!
针对复发鼻咽癌这一棘手问题,我国知名研究团队发表在国际权威杂志《Cancer》上的一项最新研究成果证实,重离子治疗复发鼻咽癌的“中国方案”得到国内外的一致认可!

最新研究成果显示:采用重(碳)离子治疗的206例局部复发鼻咽癌,患者两年总生存率达83.7%,其中大多数(139例,67%)为治疗难度更大的局部晚期患者。
与之相比,复发鼻咽癌再程光子放疗后患者两年总生存率仅为60%左右,局部晚期患者的两年总生存率仅为40%~50%。此外,再程放疗最常见的并发症——鼻咽黏膜坏死发生率仅为16%,也远低于光子调强放疗的40%。

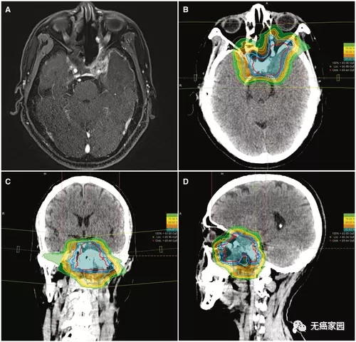
典型的碳离子放射治疗 (CIRT) 治疗计划,包含 3 个视野。该患者患有局部晚期、局部复发性鼻咽癌(T4N0M0 疾病),接受了 63 gray的碳离子放射治疗,分 21 次。
质子治疗是肿瘤放射"质的飞跃"
质子治疗是将失掉电子的氢原子原子核(即质子),利用回旋加速器或者同步加速器加速到光速约70%,带有正电荷的质子通过加速器加速后,成为穿透力非常强的电离放射线,以极高的速度进入人体,通过特殊形状的设备进行引导,最终到达靶向肿瘤部位。由于其速度快,在体内与正常组织或细胞发生作用的机会极低,当到达肿瘤的特定部位时,速度突然降低并停止,释放最大能量,产生“布拉格峰”,既能将癌细胞杀死,又不对周围组织和器官产生损伤。

当肿瘤直接与重要器官或结构如脊髓、视神经、心脏等相邻,质子治疗依然能在有效治疗肿瘤的同时保护这些重要器官或结构的功能,这在常规辐射治疗中是不可能的。
图示高辐射剂量集中于肿瘤部位,周边正常组织无/极少剂量

图注:图中强度调强质子治疗(IMPT)的辐射主要集中于鼻咽癌病灶周围,对周围正常组织的无影响或影响较小,而强度调强放射治疗(IMRT)的辐射面积较大,涵盖病灶及周围正常组织
质子治疗鼻咽癌优势不可替代
质子系统对复发鼻咽癌的治疗具有不可替代的优势。目前,放射治疗是鼻咽癌的根治性手段,但约有10%的鼻咽癌患者,在完成根治性治疗后,可能出现局部即鼻咽部的肿瘤复发,再次光子放疗较不敏感,肿瘤控制的效果也更为局限,即使采用光子IMRT(调强放疗)再次放疗,超过60%的患者仍可能出现不同级别的鼻咽黏膜损伤,腮腺损伤,颞颌关节损伤。而质子特有在物理学优势,给复发鼻咽癌患者带来了新的治疗机会。
理性看待质子重离子治疗
尽管目前质子治疗费用较高,但随着技术的普及,小编相信这一新技术必将逐步降低而惠及大众。尤其是我国部分地区将质子治疗纳入医保的进程正在加速,相信不远的将来,会有更多癌友用上这一先进的抗癌新技术。
在质子重离子治疗领域,目前全球范围内比较发达的国家是德国、日本、美国等国家。而我国也不甘落后,目前我国运营的比较知名的质子治疗中心共有4家,分布于淄博、兰州、上海、中国台湾。无癌家园质子专家会诊中心可为病友们进行权威质子方案评估。
此外,小编还要提醒患者,在精准医疗时代,癌症的治疗毫无疑问应当更加个性化,不能只局限于一种疗法、一种技术。质子治疗也不能“包治百病”,而是癌症综合治疗的可选择手段之一。充分结合手术、药物治疗、放射治疗等多种手段对患者进行综合治疗,才是患者获得更好预后的保障。
参考文献
https://acsjournals.onlinelibrary.wiley.com/doi/full/10.1002/cncr.33197





发表评论