文章最后更新时间:2024-08-12 20:24:19,由春晓健康网负责审核发布,若内容或图片失效,请留言反馈!
鼻咽癌治疗,鼻咽癌放疗,鼻咽癌质子治疗,鼻咽癌质子治疗中心
33次质子治疗,李宗伟抗癌成功重返羽坛
作为世界羽坛的无冕之王,马来西亚羽毛球著名运动员李宗伟的职业生涯可谓是熠熠生辉,3个奥运会亚军,4个世锦赛亚军,以及1个汤杯亚军和1枚亚运男单银牌悉数收入囊中。然而就在2018年7月25日,他却遇到了另一个更为强劲的对手——鼻咽癌。据马来西亚媒体报道,李宗伟突然宣布退出世界羽毛球锦标赛和亚洲运动会羽毛球比赛,后在9月被证实患有早期鼻咽癌。
然而,李宗伟并没有被病魔所打倒,经过2个多月、每次25分钟的33次质子治疗,医生表示他身上的癌细胞已经全部消除。同年10月他宣布抗癌成功后,并表示12月重返羽坛。 也许李宗伟在羽毛球赛场并不算是一个「胜利者」的角色,尽管他冠军无数,但从来没有拿到过世界大赛的冠军,包括对阵林丹的略微惨淡的战绩。然而这一次,面对同病魔的这场「比赛」,他终于做了一次赢家。这次的赢,将是他这一生最大的资本。
35次质子治疗,金宇彬身体好转正式复出
2013年,韩国新生代演员金宇彬因出演《继承者们》而被中国观众所熟知。他所扮演的崔英道,霸道帅气,吸粉无数。2017年5月,这位帅气的长腿欧巴被诊断出鼻咽癌,粉丝们不禁扼腕叹息。相关报道称,金宇彬在片场时常流鼻血、喉咙痛,但由于太忙而一直没就医,后来因为症状持续无好转,就医检查后被确诊为鼻咽癌,有医生推测其为鼻咽癌2、3期,因此他不得不专心住院治疗,暂时中断演艺工作。
2018年,消失在大荧幕1年之久的他传来了好消息,在这1年内他完成了3次抗癌治疗和35次的质子治疗,战胜了病魔!高大帅气的金宇彬在2019年韩国电影青龙奖颁奖典礼上首次公开亮相,正式复出!
鼻咽癌潜伏悄无声,需警惕
鼻咽癌不易察觉,大众对其熟悉程度也远不如肺癌、胃癌等,而在每年的健康体检中,通常不会对鼻咽癌进行检查,很多患者往往到了晚期,发现耳朵下面的颈动脉三角区肿大才来院就诊。鼻咽癌好发于40~50岁的中年人,但现在越来越趋于年轻化。
癌症治疗方法主要有手术、化疗、放疗、内分泌治疗、靶向治疗、免疫治疗等。由于鼻咽癌位置特殊,多属中晚期,难以进行根治性手术。此外,鼻咽癌对射线敏感,放疗效果良好,5年生存率可达70%左右。而与传统放疗(光子治疗)相比,质子治疗的优势更加显著。
质子治疗是肿瘤放射“质的飞跃”
质子治疗是将失掉电子的氢原子原子核(即质子),利用回旋加速器或者同步加速器加速到光速约70%,带有正电荷的质子通过加速器加速后,成为穿透力非常强的电离放射线,以极高的速度进入人体,通过特殊形状的设备进行引导,最终到达靶向肿瘤部位。由于其速度快,在体内与正常组织或细胞发生作用的机会极低,当到达肿瘤的特定部位时,速度突然降低并停止,释放最大能量,产生“布拉格峰”,既能将癌细胞杀死,又不对周围组织和器官产生损伤。

当肿瘤直接与重要器官或结构如脊髓、视神经、心脏等相邻,质子治疗依然能在有效治疗肿瘤的同时保护这些重要器官或结构的功能,这在常规辐射治疗中是不可能的。

图示高辐射剂量集中于肿瘤部位,周边正常组织无/极少剂量

图注:图中强度调强质子治疗(IMPT)的辐射主要集中于鼻咽癌病灶周围,对周围正常组织的无影响或影响较小,而强度调强放射治疗(IMRT)的辐射面积较大,涵盖病灶及周围正常组织
质子治疗鼻咽癌优势不可替代
质子治疗对复发鼻咽癌的治疗具有不可替代的优势。目前,放射治疗是鼻咽癌的根治性手段,但约有10%的鼻咽癌患者,在完成根治性治疗后,可能出现局部即鼻咽部的肿瘤复发,再次光子放疗较不敏感,肿瘤控制的效果也更为局限,即使采用光子IMRT(调强放疗)再次放疗,超过60%的患者仍可能出现不同级别的鼻咽黏膜损伤,腮腺损伤,颞颌关节损伤。而质子特有在物理学优势,给复发鼻咽癌患者带来了新的治疗机会。
鼻咽癌成功病例分享
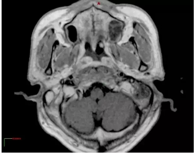
全球肿瘤医生网与全球享负盛名的质子中心均有合作,竭尽全力为患者联系全球范围内适合的质子治疗,其中不乏治疗效果较佳的患者病例,小编下面分享一例受益于质子治疗的病例!患者,男,55岁,因鼻塞2年余,涕中带血半年,头痛20余天,于2006年1月7日入院,诊断为鼻咽癌(低分化鳞癌)复发,经国内肿瘤专家推荐后采取质子治疗。每天一次,每次44C戈瑞,共20次,总剂量20*44=88戈瑞。

治疗前CT图像

治疗剂量分布

治疗1个月后复查,肿瘤明显缩小,无不良反应

治疗7个月后MR图像,肿瘤缩小70%
质子治疗中心
国内外质子治疗中心盘点
目前,国内外具有资质且认可的质子治疗中心包括:
中国:山东淄博万杰医院质子治疗中心、中国台湾林口长庚质子中心
美国:哈佛大学附属麻省总医院、美国MD安德森癌症中心
日本:国立癌症研究中心东医院、兵库县立粒子线医疗中心
德国:慕尼黑质子治疗中心、海德堡重离子与质子治疗
各位癌友们若想选择质子治疗,详情可登录或登录全球肿瘤医生网,我们有专门的医师团队帮您评估咨询。

图为国内质子治疗中心
总之,鼻咽癌部位特殊、界限不清,鼻咽腔深且狭小,周围有许多重要的血管、颅神经、淋巴组织等,难以进行根治性手术;但鼻咽癌对放疗较敏感,质子治疗作为“精准放疗”中的“王者”,更能大显身手。
参考文献
http://www.sohu.com/a/287829311_313679
https://onlinelibrary.wiley.com/doi/abs/10.1002/hed.24341





发表评论