文章最后更新时间:2024-08-12 20:21:14,由春晓健康网负责审核发布,若内容或图片失效,请留言反馈!
个性化树突状细胞疫苗治疗脑胶质母细胞瘤,随访5年仍存活无复发
作为最常见的恶性脑肿瘤,脑胶质瘤恶性程度高、生长快、病程短、术后易复发且高致残,被认为是神经外科治疗中最棘手的难治性肿瘤之一。近年来,脑胶质瘤的发病率以每年1%~2%的速度递增,多见于十几岁的青少年和40岁以上人群。
其中,胶质母细胞瘤(GBM)是脑胶质瘤中恶性程度最高的,占所有胶质瘤的一半和所有原发性脑肿瘤的15%。即便手术切除很干净,到肿瘤复发时间的平均时间仅为6.9个月,中位生存期仅为14.6个月,5年生存率只有4.7%,尚不及肺癌5年生存率的1/3,预后极差。
目前胶质母细胞瘤的标准治疗方案以手术切除为主,辅以放射治疗和药物化疗等多种方式的综合治疗,但不幸的是,胶质母细胞瘤的复发率高达100%,一旦复发,治疗的选择非常有限,而且治疗效果并不理想,因此医学研究人员力求寻找新的治疗方法。

近年来,肿瘤免疫治疗发展不断成熟,其中树突状细胞疫苗在免疫治疗中占有一席之地,可作为针对各种肿瘤的有希望的免疫治疗方法,在胶质母细胞瘤及其他高级别胶质瘤的治疗中也受到越来越多的关注。
自从2010年,美国食品与药品管理局(FDA)批准首个树突状细胞疫苗Provenge(sipuleucel-T)用于治疗难治性前列腺癌;此后,相继在乳腺癌、膀胱癌、肾癌、结肠癌和直肠癌、肺癌、黑色素瘤的治疗中均取得不俗的疗效。上述这些在临床所取得的初步成果,目前均为高级别胶质瘤树突细胞疫苗临床试验的基础。相关文章:癌症有可能被肿瘤疫苗攻克吗?YES!多款树突细胞疫苗迎来井喷时代!
一项刊登在《Clinical Cancer Research》国际知名杂志中关于树突状细胞疫苗在多形性胶质母细胞瘤患者中的可行性、安全性以及诱导全身和颅内T细胞应答的相关研究。
12名受试者中,两个长期(≥4年)多形性胶质母细胞瘤幸存者的总生存期为6个月的占100%,1年为75%,2年为50%;中位总生存期为23.4个月。
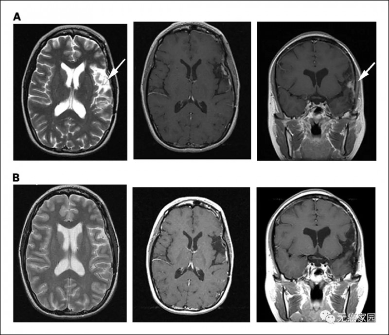
其中有一名患者在完成肽脉冲树突状细胞疫苗接种后2个月且进行任何其他辅助治疗之后,磁共振成像(MRI)显示残留的肿瘤几乎完全消退。有趣的是,经过近5年的随访,她目前还活着,没有临床或MRI证据表明肿瘤复发。

患者5的脑部MRI扫描图
A:在树突状细胞注射之前
B:完成肽脉冲树突状细胞疫苗系列的2个月后
(箭头所指区域在树突状细胞疫苗治疗后消失)
树突状细胞疫苗实际上早已在动物实验和早期的临床试验中取得了很多重大突破,其中脑瘤、肾癌、黑色素瘤的树突细胞疫苗研发已进入三期临床试验阶段,有望上市。无癌家园(400-626-9916)通过查阅大量的文献资料,特地为大家列举出一些关于树突细胞疫苗治疗胶质母细胞瘤的重磅研究,若想了解更加详细的临床试验,可致电咨询。
新型树突细胞疫苗曙光出现,15个月总生存期达76%
2020年4月8日,新型树突细胞疗法AV-GBM-1的II期临床试验数据公布,研究显示此款新型疫苗对延长新诊断的胶质母细胞瘤患者的中期总体生存期展现出极大的潜力。
在接受AV-GBM-1治疗的50例可评估患者的15个月的总生存率为76%,而对照组的287例接受标准治疗的患者的12个月和15个月的总生存率分别为61%和48%。这表明,接受AV-GBM-1治疗的患者15个月的总生存率提高了28%,疗效格外显著。
AV-GBM-1是一种患者自体的特异性树突状细胞疫苗,旨在利用患者自身的免疫系统来寻找并消灭癌细胞这种树突细胞疫苗能够携带术后肿瘤组织中提取的特定抗原信息,注射后,将抗原信息传递给T细胞,激发起杀瘤活性。针对患者的自体疫苗虽然在逻辑上很复杂,但是是一种可行的方法,能够与替莫唑胺和放射治疗同时进行;也可以从化疗和放疗中恢复后再注射AV-GBM-1疫苗。患者如果能够成功进行单科白细胞收集,则年龄在70岁以下都有资格参加研究。
这种疗法理论上适用于所有的实体肿瘤,因此除胶质母细胞瘤外,Aivita Biomedical公司还正在进行其他2种AV-GBM-1在其他肿瘤类型中的临床试验。
有望获批上市-新诊断胶质瘤DCVax-L疫苗
2018年5月29日,西北生物披露了其个性化的自体树突状细胞疫苗DCVax-L的III期中期数据:个性化的胶质母细胞瘤疫苗可能会延长某些患者的长期生存期,这种名为DCVax-L的疫苗是通过患者自身的树突状细胞来帮助激活免疫系统,从而对抗癌症的。
试验中近30%的患者从临床入组到现在,生存期已达到至少三年(接下来,患者将继续接受随访)。值得一提的是,该研究是迄今为止,定制化疫苗在被诊断的致命脑癌患者中进行的最大规模的临床试验。
2007年7月至2015年11月期间,该疫苗在全球80个地点的新诊断的胶质母细胞瘤患者中进行施用,且所有患者在参加试验前都接受标准治疗(手术切除肿瘤,然后进行放化疗)。
由于试验的交叉设计,最终接近90%的患者接受了疫苗治疗。
此前公布的III期临床研究的中期试验数据。入组临床超过三年的患者中,67例(30%)存活超过30个月,44例(24.2%)存活超过36个月。预计这些患者的中位生存期为46.5至88.2个月。在分析时,参加试验的331名患者中有108名(32.6%)仍然保持存活。
至今,DCVax-L的临床试验已经进行了长达12年,这是非同寻常的,第一名患者入组于12年前,最后一名患者入组于5年前。大家都在期待这款疗法的最终数据,也期待其早日获批成为脑瘤的首款免疫疗法!
小编有话说
胶质母细胞瘤虽然是最常见的恶性肿瘤,5年相对存活率仅有6.8%,但是小编相信在不久的将来定会涌现出越来越多的治疗新技术和新型药物针对难治性胶质母细胞瘤,而且本文中提到的树突细胞疫苗的相关研究也不会止步于此,我们共同期待未来越来越多意想不到的临床研究成果。若想了解更多关于胶质母细胞瘤的临床前沿信息及国内外知名专家的会诊请联系无癌家园医学部(400-626-9916)。
参考文献
1.https://clincancerres.aacrjournals.org/content/11/15/55152.https://www.newswise.com/articles/





发表评论