文章最后更新时间:2024-08-15 12:02:46,由春晓健康网负责审核发布,若内容或图片失效,请留言反馈!
重磅组合拳,树突细胞疫苗再获突破
说到抗癌疫苗,许多人都不会感到陌生。目前,世面上绝大多数抗癌疫苗都针对癌细胞表面已知的特定蛋白,以期人体对这些蛋白产生免疫记忆,让免疫系统攻击癌症。但一项来自宾夕法尼亚大学的研究则有着雄心壮志——它想要开发个体化的抗癌疫苗,让每一名患者接受的治疗都“量身定制”,让他们的免疫系统全方位无死角对肿瘤产生免疫力。如果说过去的抗癌疫苗只是一记重拳,这款全新的免疫疗法就是一套完美的组合拳。
这项研究发表于《Science Translational Medicine》,来自宾夕法尼亚大学和洛桑大学的研究者们把氧化自体全肿瘤细胞裂解物(OCDC)形成的自体树突状细胞与癌细胞从患者体内提取出来共培养一段时间,再把这批已经对癌细胞特征“知根知底”的“眼线”输回患者体内。
“我们的想法就是针对肿瘤产生广泛的免疫反应,攻击大量靶点。其中一些靶点可能只存在于患者自己的肿瘤上。”该研究的共同一作 Janos L. Tanyi 教授说道。

图为这款突破性抗癌疫苗的开发流程
在这个设想下,研究人员们开始了树突细胞疫苗OCDC的实际开发。他们招募了25名晚期卵巢癌患者,从她们的血液里挑出了合适的免疫细胞,并在实验室精心设计的培养条件下,让这些细胞生长成了对免疫反应有关键作用的树突状细胞。随后,研究人员们提取了患者的肿瘤样本,“喂给”这些树突状细胞。这样一来,树突状细胞就记住了肿瘤的模样。最后,研究人员们把激活的树突状细胞再注射回患者体内。理论上说,它们会把癌症所有的突变都告诉给T细胞,让后者按图索骥,攻击肿瘤。
事实也正如研究人员的预期。研究发现,在可被评估的患者体内,针对肿瘤的T细胞数量有显著上升,这表明疫苗起作用了!在对25名Ⅲ/Ⅳ期卵巢癌患者的治疗中,那些有响应的患者2年总生存率为100%。相比之下,没有响应的患者2年总生存率只有25%。换句话说,只要这个疫苗能有效激起患者的免疫反应,就有望彻底消灭癌症。
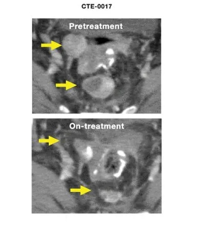
更让人惊喜的是,这款疫苗让一名患者奇迹般地获得了康复。这名患者46岁,罹患IV期卵巢癌,一般而言,这类患者的预后非常差。之前,她已经接受了5轮化疗,但无济于事。也许是抱着死马当活马医的态度,她接受了抗癌疫苗的治疗,并在2年时间里使用了28次个体化抗癌疫苗。在治疗期间,她的癌症得到了很好的控制。而在停止治疗后,她已经5年没有复发,也就是“临床无进展生存”!

图示经过几周治疗后,患者病情得到明显控制
安全疗效两不误,贝伐单抗+环磷酰胺来助力
卵巢癌也是一种相当凶猛的癌症,虽然手术结合化疗的治疗效果很好,但是85%的患者很快就会复发,并且对化疗产生耐药性,落入无药可医的地步。热门的免疫治疗在卵巢癌上的应用也不甚理想。一方面,卵巢癌对PD-1和PD-L1抑制剂的响应率仅有10%~15%,另一方面,还有VEGF-A等诸多捣蛋的因子阻止T细胞在肿瘤内发挥功用。
而在这项研究中,获得效果较佳的原因还少不了贝伐单抗和低剂量环磷酰胺的助力。
贝伐单抗是一种靶向VEGF-A的药物,能够阻止其对T细胞浸润肿瘤的抑制,帮助T细胞进入癌组织;环磷酰胺则是可以降低调节T细胞的数量,增强效应T细胞的杀伤能力。这两种药物的联用是对复发卵巢癌常用的治疗方案,能够增加疫苗的效力。
通过检查患者体内的T细胞,研究者确认试验目的达成了。利用测序,他们发现,树突状细胞疫苗确实有效地把癌细胞的特征传达了出去,成功调动起了针对癌细胞表面特异性抗原的免疫反应,新扩增的T细胞都能够高度识别新抗原。

图示T细胞检测方法
此外,OCDC疫苗的安全性也很喜人,在试验过程中,25位患者总共消耗392支疫苗,全程无严重不良事件发生。环磷酰胺+贝伐单抗也是卵巢癌临床上常用的一个治疗组合,安全性有得保证。
人体免疫系统的精锐部队:树突细胞
刚才小编提到的OCDC疫苗是一种自体树突状细胞疫苗,那么大家肯定疑惑什么是树突状细胞。其实,树突状细胞处于人体免疫应答的衷心环节,被广泛用于癌症治疗,尤其是癌症疫苗的研究。人体免疫系统内本来就有这种树突状细胞,但是数量和活力都不够歼灭癌变的细胞。因此研究人员经过大量的临床试验将有潜力成为树突状细胞的前体细胞通过特定的方法从血液中分离出来。借助于某种特定的信使,在试管中分离出来的细胞可以获得免疫能力。当前体细胞成熟为树突状细胞时,他们即可捕获特定的肿瘤抗原,有效杀灭癌细胞。
在体外重建的树突细胞回输入人体时,能够激活静息T细胞产生初次免疫应答的细胞,而激活的T细胞可以被点状放大并增殖。一个树突能激活100~3000个T细胞,其中部分T细胞能够发挥抗癌作用,而另一部分会成为记忆性T细胞,在下一次接触到低剂量抗原时发生高强度的免疫应答。因此,基于树突细胞的修复和重建的免疫防护系统能够持续发挥抗癌作用数十年。
树突疫苗已被国际广泛认可
目前,多数DC疫苗已经被国际医学抗肿瘤领域广泛认可,并已经应用于多种癌症的临床治疗中,这是癌症患者治疗的新希望。
其中,最令人瞩目的是Provenge(sipuleucel T),这是首个在美国被批准用于治疗的疫苗,开创了癌症免疫治疗的新时代。这是一种自体细胞免疫疗法,于2010年4月29日获得美国FDA批准,用于治疗无症状或症状轻微的转移性去势抵抗性前列腺癌(mCRPC),这项批复标志着20年的不懈努力终于取得成功。在美国,Provenge是FDA批准的唯一一种由患者自身免疫细胞制成的前列腺癌免疫疗法。截至目前,已有超过30000名男性患者被处方了Provenge治疗,该药在临床上已被证明可以延长晚期疾病男性的生命。
此外,德国、日本也有树突细胞疫苗用于临床辅助治疗多种癌症,如肺癌、肝癌、肾癌、乳腺癌、皮肤癌等。想寻求国外治疗新技术帮助的患者可以先将病历提交至医学部进行初步评估。
树突细胞疫苗在各大癌症中的研究盘点
树突状细胞疫苗实际上早已在动物实验和早期的临床试验中取得了很多重大突破,其中脑瘤,肾癌,黑色素瘤的树突细胞疫苗研发已进入三期临床试验阶段,有望上市。全球肿瘤医生网医学部通过查阅大量的文献资料,特地为大家列举出一些重磅的研究,若想了解更加详细的临床试验,可登录咨询。
01、肺癌—CCL21-树突疫苗
加州大学洛杉矶分校的科学家发现了一种树突状细胞疫苗,并进行了第一个在人类中测试疫苗的研究。在I期临床试验中,将CCL21-树突疫苗直接施用于16例非小细胞肺癌患者的肿瘤中,两次剂量间隔约7天。加州大学洛杉矶分校的科学家们在接种疫苗当天比较了每个患者的一组肿瘤样本。
结果显示,在第56天,25%的患者病情稳定(肿瘤的大小不增加或减少)。在54%的患者中,CD8细胞浸润于肿瘤中,在接种疫苗后患者的PD-L1表达也显着增加。副作用是可控的,主要限于流感样症状,恶心和疲劳。
02、黑色素瘤—TLPLDC疫苗
2019年7月,美国的一家生物制药公司针对入组的144例III期和IV期切除的黑色素瘤患者,随机接受TLPLDC疫苗或安慰剂,以防止疾病复发。
结果显示,治疗第24个月,与安慰剂相比,TLPLDC疫苗将患者疾病复发风险显著降低。对从未或未完全接种疫苗的患者,安慰剂组的复发率为66%,而TLPLDC疫苗组的复发率为54%;对已完成TLPLDC疫苗或安慰剂疫苗初级免疫(6个月)的所有患者开展的PT分析显示,安慰剂组的复发率为56%,TLPLDC疫苗组复发率为29%。
03、脑瘤—DCVax-L疫苗
生物科技公司Northwest Biotherapeutics近期公布了其先导疗法DCVax®-L治疗新诊多形性胶质母细胞瘤(GBM)的III期临床研究的中期试验数据。该研究共有331例患者入组。所有患者在入组研究前已接受手术切除并接受了6周标准护理治疗SOC放化疗。
截止到论文发表时,入组临床超过3年的患者中,67例(30%)存活超过30个月,44例(24.2%)存活超过36个月。预计这些患者的中位生存期为46.5~88.2个月。在分析时,参加试验的331名患者中有108名(32.6%)仍然保持存活。
04、卵巢癌—DCVAC/OvCA疫苗
DCVAC树突疫苗是一种活性细胞免疫治疗,其使用自身树突细胞为每个患者生产和定制,试图诱导针对肿瘤抗原的免疫反应。
在2019年第50届妇科肿瘤学会(SGO)年会上,一项二期临床试验SOV02最终结果公布:对复发,铂敏感,上皮卵巢癌患者使用基于树突状细胞的免疫疗法DCVAC/OvCA添加到标准卡铂和吉西他滨方案,可以使晚期复发的卵巢癌患者总生存期(OS)延长一年多。而且DCVAC/OvCa将卵巢癌二线治疗的死亡风险降低了62%。总生存期(OS)显着增加13.4个月。中位数无进展生存率(mPFS)增加了1.8个月。即将开展全球III期研究。
05、淋巴瘤-树突疫苗
一项新的小型新研究表明,一种直接注射到单个肿瘤中的新型癌症“疫苗”可以激活免疫系统攻击全身的癌细胞。这项研究是由纽约西奈山伊坎医学院淋巴瘤免疫治疗项目主任Joshua Brody博士领导的,他说,“将疫苗注射到一个肿瘤后(原位疫苗接种),我们看到整个身体内的肿瘤消失”。
这项重磅的研究结果显示,在抗癌疫苗的治疗下,11名患者中有8名取得了病情缓解,其中完全缓解的患者有2名。1名达到完全缓解的患者,无进展生存期已经接近4年!
06、乳腺癌-Her2脉冲树突细胞疫苗
一项正在H. Lee Moffitt癌症中心和研究所进行的HER-2脉冲DC1疫苗试验将测试在高风险HER-2高表达和中度表达乳腺癌中的安全性和免疫原性,用来预防乳腺癌的复发。
研究人员认为结合化疗的树突状细胞疫苗可以增加完全反应,使乳腺癌特异性免疫细胞有更大的机会发挥功能,并预防乳腺癌的复发。入组患者在初始诱导疫苗后,进行免疫分析,随后每隔3个月施用三剂加强疫苗,并分别进行免疫分析。
树突细胞疫苗临床试验招募,不容错过
当癌症逃离天然保护屏障时,需要什么才能引发治疗性免疫。自从我们对主要问题的理解于1996年Hsu等学者发起的第一次离体DC临床试验以来,我们已经走了很长的路。未来的新抗原疫苗试验将招募更多的晚期患者测试疫苗的疗效,利用预测来提高有效的新抗原和检查点抑制剂和其他免疫疗法协同试验的抗原呈递的改进方法,”科学家们说。“如果成功,在随后的试验中,个体化疫苗将被用于各类癌症,拥有足够数量的新抗原接种疫苗具有巨大潜力。”
目前,据小编统计,国内外已经开展多项关于DC细胞的临床试验,若想了解更多树突细胞疫苗的临床试验请咨询电话。
参考文献
https://stm.sciencemag.org/content/10/436/eaao5931
https://www.tandfonline.com/doi/abs/10.3109/08820130009062294
https://www.frontiersin.org/articles/10.3389/fimmu.2019.00766/full
https://www.businesswire.com/news/home/20200213005003/en/Real-World-Study-6000-Medicare-Patients-Advanced-Prostate
http://www.creagene.com/creagene/en/randd/DCvaccine.jsp
https://www.frontiersin.org/articles/10.3389/fimmu.2018.02265/full
https://www.nature.com/articles/s41467-019-13368-y





发表评论