文章最后更新时间:2024-08-12 20:19:12,由春晓健康网负责审核发布,若内容或图片失效,请留言反馈!
胰腺癌临床试验招募,胰腺癌新药临床试验拉罗替尼国内患者开始招募了
在十几年前,胰腺癌还是一个不见经传癌症,人们对它知之甚少。直到2011年10月5日美国苹果公司联合创始人——史蒂夫·乔布斯因患胰腺神经内分泌肿瘤病逝后,让胰腺癌“一夜成名”,也从此走进了大众的视界。
胰腺癌是一种恶性程度很高,诊断和治疗都很困难的消化道常见肿瘤,约90%为起源于腺管上皮细胞的导管腺癌。是预后最差的恶性肿瘤之一。
胰腺癌一直以来都位居“癌中之王”的霸主地位,就是因为其恶性程度高、治疗效果差、生存时间短、死亡率高。胰腺癌患者总体的1年生存期约为20%,5年生存期约为3%。在过去20年中,其总体的手术切除率、1年生存率和5 年生存率无显著变化。
胰腺癌治疗策略关乎着患者的生命,而手术是唯一可能根治胰腺癌的方法,但是,胰腺癌的早期诊断比较困难,手术切除率低,术后5年生存率也低。因此,尽管手术仍然是胰腺癌首要的治疗方法,但由于胰腺癌常常发现较晚,极易丧失根治的机会。因此,对胰腺癌的治疗亟需新的治疗方法。
拉罗替尼的面世,晚期胰腺癌有救了
2020年8月5日,美国临床肿瘤学会(ASCO)公布了关于转移性胰腺癌的治疗指南更新并在线发表在《临床肿瘤学杂志》上,建议对治疗进展或经历不可忍受的毒性并且在一线治疗后可能进行进一步治疗的转移性胰腺癌患者,尽早进行基因检测。
美国临床肿瘤协会的专家小组建议,对于转移性胰腺癌患者,检测MSI/MMR,BRCA和NTRK基因具有重要的意义。因为近两年胰腺癌的靶向治疗取得了突破性的进展,这些检测的结果可以帮助确定最有效的治疗方法,以及是否有机会参与新药的临床研究,帮助患者获得更长的生存时间和更高的生活质量。
NTRK基因在胰腺癌中的突变率<1%,多个TRK抑制剂目前正在临床研究中。其中,在NAVIGATE研究中,拉罗替尼用于NTRK融合基因患者(共55例)的缓解率达75%,其中包括1例胰腺癌患者(部分缓解)。2018年,拉罗替尼成为首个获FDA批准用于NTRK融合的泛肿瘤组织小分子靶向药。
拉罗替尼的批准是基于三个多中心、开放标签、单臂临床试验(loxo-trk-14001、scout和navigate)的数据。通过下一代测序或荧光原位hybr在当地实验室前瞻性的确定了NTRK基因融合的阳性状态。
对前55名患有不可切除或转移性实体肿瘤的患者进行评估功效(实体瘤有NTRK基因融合体),12名年龄不到18岁的患者,共有12种癌症类型,最常见的是唾液腺肿瘤(22%),软组织肿瘤(20%)。婴儿纤维肉瘤(13%)和甲状腺癌(9%)。拉罗替尼总有效率为75%,包括22%的完全缓解和53%部分缓解。73%的患者缓解持续时间为6个月或者更长,63%的患者缓解持续时间为9个月或者更长,39%的患者缓解持续时间为12个月或更长。
NTRK突变的胰腺癌患者,拉罗替尼带来长效缓解
拉罗替尼是全球首个不区分肿瘤来源用于初始治疗的靶向药。FDA批准该药主要用于治疗患有NTRK融合阳性的任何类型实体瘤的成人和儿童患者,临床效果显示,拉罗替尼的有效率高达75%,完全缓解率22%。
在2020年1月,美国临床肿瘤学会胃肠道肿瘤研讨会上的一项最新数据显示,针对具有特定突变靶点-NTRK融合的“传奇”抗癌药拉罗替尼可以很好地抵抗多种携带突变的胃肠道癌症,包括胰腺癌。
研究中的14名患者试验结果显示:消化道肿瘤亚组的总缓解率为43%,其中1名胰腺癌患者有部分反应,另1名病情稳定。
拉罗替尼,胰腺导管癌患者重获健康
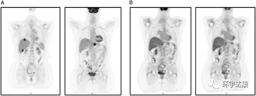
M女士,61岁,被确诊为胰腺导管癌,在胰腺体内有一个2.5cm的肿块,肝脏上有1.2cm的转移病灶,基因检测发现M女士存在NTRK1基因融合阳性,在接受拉罗替尼治疗后,胰腺和肝脏的病灶都明显缩小。

CT扫描:(A)治疗前(B)拉罗替尼治疗后![]()

PET-CT扫描:(A)治疗前(B)拉罗替尼治疗后
重要提醒:拉罗替尼不是针对所有胰腺癌患者都有效,只有存在NTRK融合的患者才可以使用。所以,想接受拉罗替尼治疗的胰腺癌患者必须先进行基因检测看看是否存在NTRK融合。
好消息!拉罗替尼在国内招募NTRK融合的实体瘤患者了
目前,拉罗替尼已经获得药监局审批,针对NTRK融合的实体瘤患者的临床试验已经在国内开始招募了。这就意味着,NTRK融合的实体瘤患者(包括胰腺癌)有望免费接受这款新药的治疗。
招募信息:本研究是验证拉罗替尼对不同类型的肿瘤疗效。肿瘤患者必须存在特定的基因变化(NTRK1, NTRK2或NTRK3)。
申请流程:
1、做过基因检测的患者,可将检测报告,如基因检测报告,诊断报告以电子版或拍照发送至doctor.huang@globecancer.com,请在邮件中留下联系方式,全球肿瘤医生网医学部收到报告分析完毕后,会在一个工作日内电话联系您。
2、直接致电全球肿瘤医生网医学部400-666-7998咨询相关医生。





发表评论