文章最后更新时间:2024-08-12 20:19:11,由春晓健康网负责审核发布,若内容或图片失效,请留言反馈!
来源:Shunhaocell 好大夫

黎功 中国武警总医院 教授 主任医师 癌症治疗专家
黎功教授从事肿瘤诊治和放射治疗近30年,经手治疗了各类恶性肿瘤病人数千例,在肿瘤放化疗方面积累了非常丰富的经验,尤其是在放化疗联合细胞免疫综合治疗方面有深刻造诣。以下为黎教授亲历的两个免疫治疗病例。
“PD-1抑制剂”是当前备受瞩目的新一类抗癌疗法,它属于癌症治疗中的免疫治疗,主要通过阻断人体的免疫抑制系统,来达到提高人体自身免疫力抵御癌症的目的。目前,该疗法在肺癌、结直肠癌、肝癌等各种恶性肿瘤中的研究正在火热进行中。下面是两个PD-1抑制剂的真实抗癌故事。
步入中年的李先生,事业有成,家庭幸福,经营着一家房地产公司,儿子刚刚考入英国一所大学,准备出国留学。然而,不幸悄悄降临到了这个幸福的家庭,2011年12月,李先生在一次体检中,发现肝脏有一个直径约2公分大小的肿块,医生告诉他,是个恶性肿瘤,也就是俗称的“肝癌”。好在肿瘤并不大,可以进行手术切除治疗。手术结束了,然而,这一切并没有结束,2012年,李先生的肝脏再次出现肿瘤,并进行了第二次手术治疗。
第二次手术后的第二年、第三年都风平浪尽的过去了。但是,第四年,也就是2015年,厄运再一次降临,李先生的盆腔内出现大小约10公分的转移病灶,医生再一次为李先生切除的病灶。
三次手术严重的摧毁了李先生身体内免疫防线,就在第三次手术后不久,李先生出现了肝脏、肺脏的多发转移,甲胎蛋白(肝癌的肿瘤标志物)飙升到六万多。此时,医生建议他服用多吉美(治疗肝癌的一种靶向药物),服药以后,甲胎蛋白继续上升,飙到十二万多,并且药物引起的严重腹泻,使李先生苦不堪言,短短的几个月,他仿佛老了十岁,甚至连走路都需要搀扶。这时候,一直坚持与病魔抗争李先生感觉力不从心了,他觉着可能他就要走到生命的终点了。
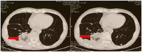
就在这时,有位医生建议他可以试一试PD-1抑制剂免疫治疗,通过美国的朋友,他购买到PD-1抑制剂,在接受第一次注射的三周后,李先生的饮食、精神状态有了很大的改善。他又可以神采奕奕的出门了,和三周前的他简直判若两人。甲胎蛋白也大幅度下降至三万多。第二次注射以后,甲胎蛋白降至两万。更为神奇的是,肺部转移病灶减少了50%-60%(见图1,图2)。现在,李先生按时接受每三周一次的PD-1抑制剂的治疗,除了,第二周期后出现转氨酶的一过性升高以外, 没有出现其他不可耐受的副作用。

图 1 PD-1治疗前,红色标示肿瘤

图2 PD-1治疗后
赵先生的情况与杨先生很相似,他在2014年6月发现肝脏肿瘤,并进行手术切除,当时肿瘤大小也不超过3公分,属于小肝癌。但是半年以后,赵先生就出现肺部转移,他进行过放疗、射频等局部治疗,也服用过多吉美,但是肝功能恶化,腹泻严重,无法继续服用,期间甲胎蛋白从251上升到2890。在医生的建议下,他也进行了PD-1抑制剂的注射,4个周期PD-1治疗以后,肺部病灶明显缩小(见 图3),甲胎蛋白也降至正常范围。赵先生高兴的对医生说,疗效好的他都不敢相信,PD-1抑制剂给了他第二次生命。

图3 PD-1治疗后,红色标示肿瘤
在一个多世纪里,科学家们一直深信,人体的免疫系统有对抗癌症的巨大潜力,只是他们不知道如何释放这种潜力来对抗癌症。今天,除手术、放疗和化疗用于癌症治疗之外,免疫疗法已经快速成为治疗癌症的第四大支柱。
推荐阅读:胰腺癌基因检测





发表评论