文章最后更新时间:2024-08-12 20:18:14,由春晓健康网负责审核发布,若内容或图片失效,请留言反馈!
2020年ASCO胰腺癌治疗方案,晚期胰腺癌治疗指南,胰腺癌新药更新
胰腺癌是最致命的癌症之一。根据PanCAN(美国胰腺癌专业网站)公布的最新数据,胰腺癌预计2020年将成为继肺癌发病的第二大癌症。整体五年生存率仅为9.3%。

整体五年生存率
2020ASCO晚期胰腺癌治疗指南更新
2020年8月5日,美国临床肿瘤协会(ASCO)公布了关于转移性胰腺癌的治疗指南更新并在线发表在《临床肿瘤学杂志》上,建议对治疗进展或经历不可忍受的毒性并且在一线治疗后可能进行进一步治疗的转移性胰腺癌患者,尽早进行基因检测。
ASCO的专家小组建议,对于转移性胰腺癌患者,检测MSI/MMR,BRCA和NTRK基因具有重要的意义。因为近两年胰腺癌的靶向治疗取得了突破性的进展,这些检测的结果可以帮助确定最有效的治疗方法(例如PARP抑制剂),以及是否有机会参与新药的临床研究,帮助患者获得更长的生存时间和更高的生活质量。

胰腺癌一线治疗更新
建议一,PS为0到1,身体状况良好,合并症情况良好,愿意接受更积极的治疗的患者,建议使用FOLFIRINOX(亚叶酸,氟尿嘧啶,伊立替康和奥沙利铂方案;
建议二,PS为0到1,身体状况相对较好,合并症情况相对较好,愿意接受更积极的治疗的患者,建议吉西他滨加nab-紫杉醇;
建议三:PS为2,存在合并症,愿意接受更积极的治疗的患者建议单独使用吉西他滨或在吉西他滨中添加nab-紫杉醇,卡培他滨或厄洛替尼,并积极调整剂量和时间表以最大程度地降低毒性;
建议四,PS为3或合并症控制较差的患者应仅接受基于癌症的治疗,主要重点放在优化支持性护理的措施上。
胰腺癌二线治疗指南更新
建议一,对于携带 NTRK 融合蛋白的肿瘤患者,建议使用larotrectinib或entrectinib治疗;
建议二,建议将pembrolizumab(Keytruda)作为二线疗法,用于错配修复缺陷或微卫星不稳定性测试为阳性的患者;
建议三,对于具有胚系 BRCA1 或 BRCA2 突变并且已接受一线铂类化学疗法病情无进展至少持续16周,可以选择继续治疗化疗或使用 PARP 抑制剂olaparib。(注:对铂类化疗敏感的患者,继续化疗还是接受奥拉帕尼进行维持治疗需要医生和患者讨论决定,应考虑最大缓解和持续时间。)
建议四,PS为0至1,合并症相对轻微,一线治疗为FOLFIRINOX,愿意接受更积极的治疗的患者均可接受吉西他滨加白蛋白-紫杉醇作为二线治疗;
建议五,PS为0至1,合并症相对轻微,吉西他滨为基础方案的一线治疗愿意接受更积极的治疗的患者首选氟尿嘧啶+脂质体伊立替康或氟尿嘧啶+伊立替康(无法使用前者组合)作为二线治疗;
建议六,PS为0至1,合并症相对轻微,吉西他滨加白蛋白紫杉醇作为一线治疗,愿意接受更积极的治疗的患者均可接受氟尿嘧啶加奥沙利铂作为二线治疗方案。
建议七,PS为2,合并症不影响治疗,愿意接受更积极的治疗的患者,可选择吉西他滨或氟尿嘧啶可被视为二线治疗。
建议八,目前没有可推荐的具有明确的临床数据的三线治疗方案,鼓励参加临床试验。
晚期胰腺癌的新药研究进展一览
BRCA突变:奥拉帕尼开启晚期胰腺癌治疗新纪元
全球著名的POLO研究开创了胰腺癌精准诊疗新时代,做到了两个第一:
一是开创了胰腺癌分子标志物指导下的临床试验研究方式;
二是开创了胰腺癌维持治疗的Ⅲ期临床研究时代,POLO研究推动了胰腺癌基因检测的发展,NCCN2019指南推荐进行检测。
结果显示:
奥拉帕利相比安慰剂显著延长了患者的无进展生存期(7.4 vs 3.8个月),使疾病进展和死亡风险降低了47%。其中:
1年无进展生存率显著高于安慰剂组(34% vs 15%),
2年无进展生存率显著高于安慰剂组(22.1% vs 9.6%),
另外,奥拉帕尼组的客观缓解率(ORR)为23.1%,而安慰剂组仅为11.5%,其中两名接受奥拉帕尼治疗的患者完全缓解。奥拉帕尼组的平均反应持续时间为24.9个月,而安慰剂组仅为3.7个月。

2019年12月17日,美国食品和药物管理局(FDA)肿瘤药物顾问委员会(ODAC)举办听证会,基于POLO试验结果,以7票对5票的投票结果,建议批准靶向抗癌药Lynparza(中文品牌名:利普卓,通用名:olaparib,奥拉帕利),作为一线维持单药疗法,治疗接受一线铂类化疗至少16周后病情无进展、携带生殖系BRCA突变(gBRCAm)的转移性胰腺癌患者!原文链接:终于批了!晚期胰腺癌一线维持治疗迎来新药!
PARP抑制剂:胰腺癌维持治疗的新选择
PARP抑制剂是一种靶向聚ADP核糖聚合酶的癌症疗法。PARP酶参与许多DNA修复过程,特别是与具有致病性BRCA突变的肿瘤与同源重组的缺陷相关。
根据2019年AACR年会上发表的正在进行的II期临床试验的中期分析,聚(ADP-核糖)聚合酶(PARP)抑制剂rucaparib(鲁卡替尼)有望作为晚期,铂敏感,BRCA或PALB2突变的胰腺癌的维持治疗方法。据估计,5-8%的胰腺癌患者BRCA1、BRCA2或PALB2存在致病性突变。
在42例晚期胰腺癌患者中,存在胚系或体细胞BRCA1、BRCA2或PALB2突变,接受了至少4个月的含铂化疗后病情没有进展,然后接受鲁卡替尼维持治疗。
在中期分析的结果显示:
mPFS为278天(9.3月);
所有患者ORR为37.8%;
可评估患者的ORR为41.1%;
8周时的DCR为89.5%。

NTRK突变:拉罗替尼和恩曲替尼带来长效缓解
拉罗替尼:
2020年1月23日~1月25日,美国临床肿瘤学会胃肠道肿瘤研讨会(ASCO-GI)的一项最新数据显示,针对具有特定突变靶点-NTRK融合的传奇抗癌药Vitrakvi(larotrectinib)可以很好地抵抗多种携带突变的胃肠道(GI)癌症,包括臭名昭著的胰腺癌。
研究中的14名患者试验结果显示:消化道肿瘤亚组的总缓解率为43%,其中1名胰腺癌患者有部分反应,另1名病情稳定。

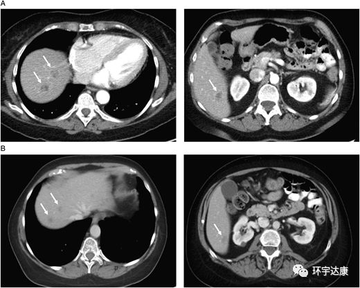
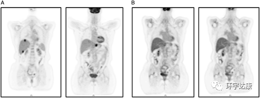
61岁的M女士被确诊为胰腺导管癌,胰腺体内有一个2.5cm的肿块,肝脏有1.2cm的转移病灶,基因检测发现NTRK1基因融合阳性,在接受拉罗替尼治疗后,胰腺和肝脏的病灶都明显缩小。
图1。

CT扫描:(A)治疗前(B)拉罗替尼治疗后
图2。

PET-CT扫描:(A)治疗前(B)拉罗替尼治疗后
恩曲替尼:
2019年8月,恩曲替尼获批上市,是一种具有中枢神经系统活性的酪氨酸激酶抑制剂(TKI),能够穿过血脑屏障,是临床上唯一一种被证明针对原发性和转移性脑疾病具有疗效的TRK抑制剂,并且没有不良的脱靶活性(off-target activity,未达到预先设定的目标);可以阻断ROS1和NTRK激酶活性,并可能导致ROS1或NTRK基因融合的癌细胞死亡。
在2020年最新举行的额ESMO大会上,专门采集了entrectinib 在ALKA-372-001和STARTRK-1,STARTRK-2研究中NTRK融合阳性的胃肠道恶性肿瘤患者数据。结果显示:结直肠癌的客观缓解率25%;胰腺癌的客观缓解率高达66.7%;
胆管癌的客观缓解率为100%。

因此如果患者一般状况良好,并且有可能接受治疗,那么进行二代测序[NGS]是值得的,并且应该检测TRK融合。目前拉罗替尼和恩曲替尼正在招募患者,入组成功可免费用药。(如大家做了基因检测可联系全球肿瘤医生网医学部进行解读,评估能否免费用药)
KRAS突变:一剂猛药!AMG510治疗晚期胰腺癌曙光乍现
经过三十年的研究,AMG 510是第一个达到临床阶段的KRAS G12C抑制剂!
首次人体结果显示KRAS突变实体瘤的初步安全性,耐受性数据和抗肿瘤活性!
FDA批准AMG 510孤儿药物指定用于KRASG12C阳性非小细胞肺癌和结肠直肠癌,在肺癌中20%的KRAS存在G12C突变,AMG510打开了历史性的缺口,也让我们看到了攻破胰腺癌的希望。
除了安进公司的AMG 510外,一种称为羟氯喹的自噬抑制剂和一种阻断MAPK途径中蛋白质的药物trametinib(曲美替尼 Mekinist)一起治疗可以减缓在移植了KRAS- 突变的人胰腺肿瘤的小鼠中肿瘤生长并延长存活时间。

用曲美替尼和羟氯喹治疗移植了胰腺肿瘤的小鼠,结果显示肿瘤一致消退。
这种联合疗法的效果在一位晚期胰腺癌患者身上同样得到了证实,这位患者在手术后,接受了几次化疗,但不幸的是癌症复发并转移了,目前已经没有很好的治疗方案,
Hydroxychloroquine(羟氯喹)和trametinib(曲美替尼)分别被美国食品和药物管理局批准用于治疗疟疾和黑色素瘤。
这名患者接受了 trametinib和hydroxychloroquine治疗,令患者和医生震惊的是,奇迹出现了,2个月内,患者的胰腺癌标志物CA 19-9的血液水平下降了95%。4个月后,他体内的癌症数量减少了50%。对于胰腺癌来说,这是一个非常了不起的反应!

用曲美替尼加羟氯喹(T / HCQ)治疗胰腺癌患者导致肿瘤标志物癌抗原19-9(CA19-9)和总体肿瘤负荷减少。
NRG1-双特异性抗体Zenocutuzumab获FDA孤儿药地位
2020年7月,FDA授予zenorcutuzumab(MCLA-128)孤儿药地位,用于治疗胰腺癌患者。
Zenocutuzumab是一种非常强大的双特异性抗体,可与HER2和HER3受体结合,从而阻断HER3及其配体神经调节蛋白1(NRG1)或NRG1融合蛋白的相互作用,因此对于NRG1基因融合的胰腺癌患者效果显著。
在具有NRG1基因融合的先前治疗过的胰腺癌患者的早期研究发现,2名接受治疗的患者均有明显的肿瘤缩小,其中1位患者在第8周的肿瘤直径减少了44%,在治疗五个月后缩小了54%。另一位患者在第6周的肿瘤直径减少了22%。

接受zenocutuzumab治疗的一名患有ATP1B1 - NRG1基因融合的52岁男性胰腺癌患者,在接受了7个月的治疗后获得了部分缓解;
在一位34岁的ATP1B1 - NRG1阳性年轻男性胰腺癌患者中,接受zenocutuzumab治疗的7个月后,病情控制稳定。
NRG1及其伴侣基因之间的融合比较罕见,大约存在于0.5%至1.5%的胰腺导管腺癌中。目前zenocutuzumab正在进行1/2期临床试验,代号为eNRGy研究(NCT02912949)。该研究将评估该药物作为NRG1基因融合阳性癌症的单药治疗的安全性和抗肿瘤活性,包括胰腺癌,非小细胞肺癌和其他实体瘤患者。
攻破"癌王",胰腺癌不再无药可治
胰腺癌一直被喻为“癌症之王”,治疗方案有限,预后极差,然而近两年,随着分子靶向免疫治疗的进展,每个新的靶点研发,都为晚期患者点亮了一盏希望之光:众多的新药正在研发中,除了上面的研究还有众多有望延长晚期胰腺癌生存期的药物组合疗法也取得了突破性进展,如Nab-PTX 联合 S-1,白蛋白紫杉醇联合吉西他滨(AG)和FOLFIRINOX序贯治疗转移性胰腺癌,以及新型联合疗法SM-88,胰腺癌疫苗Gvax联合免疫检查点抑制剂等....这些光芒汇聚在一起,成为一束强大的希望之光,为更多的患者点亮通往五年长生存大门之路,众多好药在路上,守得云开见月明,大家要坚定信心,战胜癌王!
参考资料:
https://www.medscape.com/viewarticle/935942#vp_1
https://ascopubs.org/doi/full/10.1200/JCO.20.01364





发表评论