文章最后更新时间:2024-08-12 20:01:15,由春晓健康网负责审核发布,若内容或图片失效,请留言反馈!
靶向+免疫治疗,HLX07联合HLX10(斯鲁利单抗)的靶向治疗联合免疫治疗的临床试验正在招募鳞状非小细胞肺癌患者
当我们讲到非小细胞肺癌靶向治疗的案例的时候,经常提到的是各类肺腺癌患者的获益案例,但肺鳞癌的案例却寥寥无几。事实上,作为占比非小细胞肺癌约30%之多的病理分型,肺鳞癌的治疗方案选择比较少,各类驱动基因突变的检出率也不够高。
这一次,我们为大家带来的是一组主要针对肺鳞癌患者的靶向+免疫治疗方案临床试验。肺鳞癌患者可以重点关注这项临床试验、以及与其相似的治疗方案,如果有机会,也可以将方案多多分享给病友,帮助到更多的肺鳞癌患者。
肺鳞癌,非小细胞肺癌中的"难治型"
肺鳞癌在非小细胞肺癌新发病例中,占到了约30%。这部分患者一般都具备一些相似的特征:50岁以上,大多为男性,并且有长期、大量的吸烟史,在疾病的过程中经常伴随咯血的症状。肺鳞癌通常起源于较大的支气管,多为中央型肺癌,通常首先通过淋巴进行转移,至晚期才出现血行转移。
从检测方式的角度来说,鳞癌易侵犯支气管粘膜,容易脱落,所以痰液中容易找到癌细胞。
从治疗手段的角度来说,鳞癌患者通常都会接受手术切除,但对放疗、化疗等手段敏感度很低。且相比起肺腺癌,肺鳞癌的各类驱动基因突变检出率普遍偏低,靶向治疗效果不佳,主要依赖化疗,以及近几年“‘疫’军突起”的免疫治疗。
案例
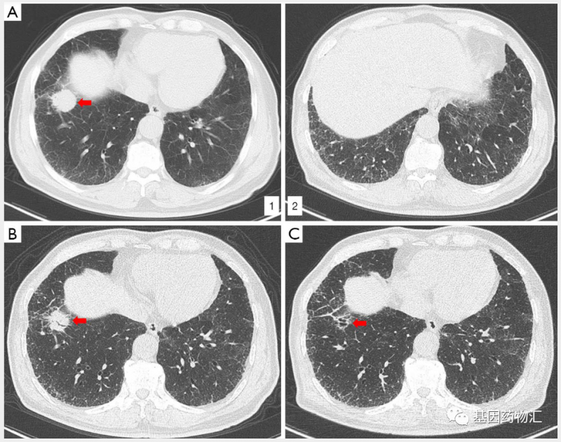
一位77岁的男性转移性肺鳞癌患者,吸烟史30年,右下肺癌,多部位肌内转移,纵隔淋巴结转移、肠系膜转移。使用SP263测定患者的肿瘤细胞PD-L1表达为60%。由于患者拒绝化疗,因此一线治疗选择了得瓦鲁单抗(Durvalumab,一款PD-L1抑制剂)单药方案。
从2018年1月开始,治疗4个周期后,患者达到了部分缓解;治疗6个周期后,患者达到了完全缓解!至2年后,2020年3月复查时,患者仍然保持着完全缓解。

(A1)确诊时原发病灶;(A2)双侧肺间质性肺病;(B)治疗2个周期后,原发病灶缩小;(C)治疗4个周期后,原发病灶已经消失
肺鳞癌的EGFR
肺鳞癌患者当中大约有5%存在EGFR基因突变,仅有个别文献中检出率能够达到10%以上。这个检出率虽然低,但绝对不可忽视,只要通过基因检测确认为阳性,患者仍然可以得到与肺腺癌患者相似的预期生存期。
但值得注意的一点是,虽然肺鳞癌当中EGFR敏感性突变的检出率较低,但是EGFR扩增和EGFR(蛋白质)过表达却非常常见,其中EGFR过表达主要通过免疫组化(IHC)等方式来进行检测。
这些异常还经常伴随着ErbB(HER)家族当中其它“成员”的异常,如HER1(ErbB1,EGFR)、HER2(ErbB2)、HER3(ErbB3)及HER4(ErbB4)。对于这部分患者来说,能够靶向整个ErbB家族的泛HER抑制剂阿法替尼的意义至关重要。
除了阿法替尼,这一类型的患者还有哪些方案可以选择呢?如果将EGFR抑制剂与现在肺腺癌患者常用的免疫治疗方案结合起来,效果又如何呢?
这一次,我们为大家带来了这样一项临床试验,主要招募的是EGFR过表达的肺鳞癌患者,大家可以关注。
靶向+免疫:HLX07+HLX10
HLX07是一款重组抗EGFR人源化单克隆抗体注射液,HLX10(斯鲁利单抗)是一款重组抗PD-1人源化单克隆抗体注射液。其中斯鲁利单抗是第七款获批上市的国产PD-1抑制剂,也是国内首款国产“不限癌种”PD-1抑制剂。
2022年3月24日,NMPA附条件批准了由上海复宏汉霖生物研发的PD-1抑制剂斯鲁利单抗(HLX10),用于单药治疗经标准治疗失败后、不可切除、转移性高度微卫星不稳定型(MSI-H)实体瘤患者。该批准基于Ⅱ期ASTRUM010试验的结果。试验共入组108例患者;其中68例患者为主要疗效分析人群,整体缓解率39.7%。
作为联合用药方案,HLX07+HLX10方案在多类癌症当中的临床试验都在逐渐推广当中,其适应症囊括了肺鳞癌、头颈部鳞癌等多类实体瘤。
临床试验纳入标准(节选)
1、组织学确诊的不能手术或放疗的Ⅲb/c或Ⅳ期鳞状非小细胞肺癌;
2、肿瘤组织经中心实验室免疫组织化学(IHC)法确认的EGFR表达H,score≥150;
3、有可测量病灶;
4、初治患者;
5、详细入组及排除标准可咨询基因药物汇。
重点提示
1、正在接受治疗、且对于现有方案获益的患者,通常不建议盲目参加临床试验项目,但您可以联系我们提前了解;
2、部分不适合参与相关临床试验项目的患者可能需要考虑其它临床试验方案,您可以咨询基因药物汇,我们会在详细了解您的治疗经过之后,协助您选择下一步方案。





发表评论