文章最后更新时间:2024-08-12 20:17:22,由春晓健康网负责审核发布,若内容或图片失效,请留言反馈!
卵巢癌靶向联合免疫治疗,免疫治疗联合靶向治疗帮助患者从三次减瘤术后仍复发,到肿瘤完全消失
卵巢癌是妇科肿瘤中恶性程度最高的一种,一直被称为“妇瘤之王”。由于卵巢深处腹腔内部,早期又缺乏特异性的症状,近70%的患者确诊时已经发生至晚期。而即使是在能够手术的患者当中,术后复发的风险同样高达70%,其中90%的复发出现在术后2年之内。
不断地重复手术、化疗再复发,是很多卵巢癌患者正在面对却无法打破的痛苦轮回。
PARP抑制剂的问世带来了一丝转机,但BRCA突变及HRD的患者仅是少数。对于其他的患者们来说,有没有什么方案,能够将她们从这个绝望的轮回当中拉出来呢?
我们一起来看一位42岁的卵巢癌患者的历经,她在经受了整整3次手术、3次复发之后,冒险性地选择了一种全新的治疗方案,肿瘤最终完全消失!
案例一[1]:从三次减瘤术后仍复发,到肿瘤完全消失!
2014年3月,一位42岁的亚洲女性,因为被怀疑患有卵巢巧克力囊肿而在美国南加州的凯撒医院接受了根治性的手术,即腹腔镜膀胱切除术。然而术后病理显示,她的疾病是卵巢透明细胞癌。
此后,患者开始了她长达5年的治疗历程。
确诊后她接受了第一次减瘤手术,以及7个周期的紫杉醇+卡铂辅助化疗;2016年1月她接受了第二次减瘤手术,随后接受了卡铂+吉西他滨辅助化疗;
2017年9月,她的疾病不仅再次复发,还侵袭到了乙状结肠、直肠、膀胱等盆腔深处的部位。她接受了脂质体阿霉素+拓扑替康的挽救性化疗,病情没能得到控制;最后在2019年2月,患者在台湾接受了第三次减瘤手术。
这次手术切除了乙状结肠、直肠和膀胱,并进行了小肠搭桥术、T型结肠造口术和双侧经皮肾造瘘术。尽管承受了如此之多的痛苦,但手术的效果却完全没能达到预期。很快,患者的疾病又在骨盆和腹腔复发。
医生对她的疾病已经束手无策,建议她选择姑息治疗。患者并不想放弃,一度尝试了细胞免疫治疗,但仍然效果不佳。
直到2019年4月,患者因为CA125水平持续升高、盆腔肿块压迫导致阴道流血以及非常严重的恶病质而再次寻求了另一家医院的治疗。在这家医院,医生让患者做了300多个基因的基因分析(FoundationOne CDx),结果仍然算不上理想:微卫星稳定、肿瘤突变负荷低,仅有ARID1A中的两个突变;PD-L1的免疫组化染色结果也是阴性。
经过与患者和患者家属的讨论,她们同意尝试免疫检查点抑制剂联合贝伐珠单抗的方案,于是患者开始接受派姆单抗+贝伐珠单抗的治疗。
仅仅1个疗程之后,患者的血清CA125水平就从1236.6急剧下降至639.2 U/ml,7个周期后更是回落到了正常值范围之内(35 U/ml以下)!

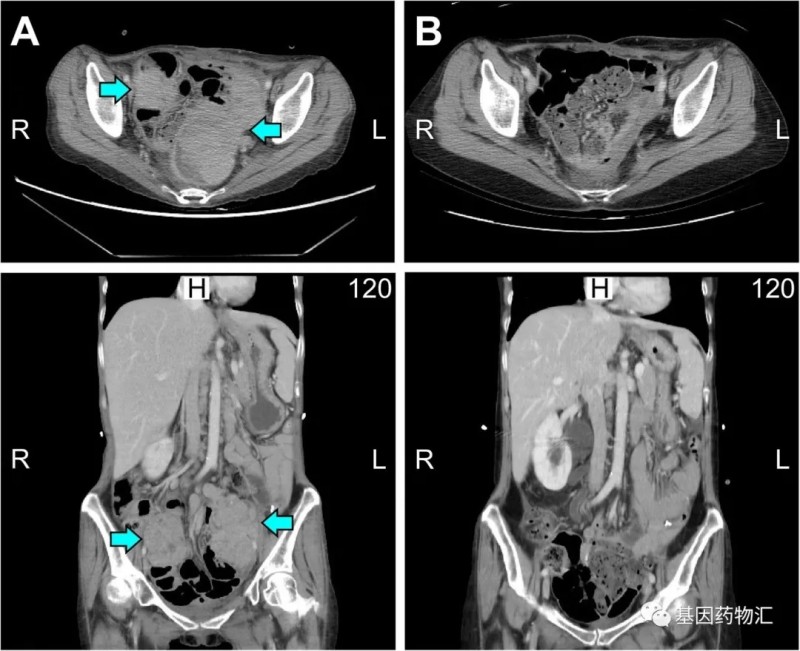
在影像学检查(CT检查)结果方面,治疗3个月后,患者的肿块开始明显消退,达到了临床部分缓解的标准;治疗9个周期之后,患者的病灶完全消失了!

左侧二图(A图)为2019年5月检查结果,右侧二图(B图)为2019年11月检测结果
与此同时恢复的还有她的体力与体质。患者从恶病质中恢复到了正常的体重指数,皮下脂肪和肌肉明显地增加。甚至于,在整个治疗的过程当中,患者没有经历任何的严重不良反应,高血压、肺炎、结肠炎、肝炎等等全都没有发生!
截至文章发布时,患者仍然保持着完全缓解。这项试验为患者带来的,是苦求5年才获得的无癌生活。
病例分析:基因检测结果,成为了治疗的凭依
在这一案例当中,患者最终从免疫联合治疗中获得的益处是非常全面的。患者的癌症得到了控制、病灶消失,一直困扰她的恶病质也在治疗的过程中得到了改善。可以说,接受了这一线治疗之后,患者的整个生活质量明显地提高了。
但患者并不存在PD-L1阳性表达或MSI-H(微卫星不稳定性高)等表现,再加上本身并不算是PD-1抑制剂最理想的癌症类型,为何医生最后会为她选择这样的一个方案呢?
我们来仔细地分析一下。
①为什么能用PD-1抑制剂
除了上面提到的几项指标,患者的基因检测结果中还报告了一个比较冷门的突变——ARID1A突变。这个突变目前并没有作为治疗性靶标而得到研究,然而,它的存在却标志着另一个重要的意义——这类患者接受免疫检查点抑制剂治疗的效果比没有这个突变的患者更好。
在一项相关的研究[2]当中,研究者分析了存在ARID1A改变的患者,以及不存在ARID1A改变的患者,接受免疫检查点抑制剂治疗的中位无进展生存期差异。研究中同时包含了卵巢癌等众多癌种的患者。
结果证实,存在ARID1A改变的患者,接受免疫检查点抑制剂治疗的中位无进展生存期为10.9个月;而不存在ARID1A改变的患者,中位无进展生存期仅有3.9个月!
而我们这位患者在ARID1A基因上存在两个位点的突变,非常有希望成为PD-1抑制剂的获益人群。
可以说,正是这项研究的数据,以及基因检测当中的这一项结果,使医生将派姆单抗纳入了考虑。
②为什么是免疫+靶向
但既然这类突变的患者使用免疫检查点抑制剂很可能能够获益显著,那么为什么医生最后却选择了PD-1抑制剂+VEGFR抑制剂(靶向治疗药物中的抗血管生成抑制剂)的方案,而不是PD-1抑制剂单药?
事实上,早期派姆单抗曾经针对复发性卵巢癌进行过一系列的研究。其中Ⅱ期的KEYNOTE-100试验分析了派姆单抗单药治疗复发性卵巢癌患者的疗效,客观缓解率仅有8.0%,中位无进展生存期2.1个月;日本患者亚群中缓解率稍高,但也仅有19.0%。
显然,凭借派姆单抗单药的力量来治疗,风险还是太高了。
而贝伐珠单抗则是卵巢癌治疗的一款重要药物,贝伐珠单抗+化疗的疗效已经在许多研究中得到了验证,其3种不同的联合用药方案,涵盖了卵巢癌治疗从一线、二线到三线。
而免疫+抗血管方案的疗效,也已经在许多癌种的试验中得到了明确的验证。其中,派姆单抗+贝伐珠单抗+环磷酰胺的免疫+靶向+化疗三药组合,治疗复发性卵巢癌,95%的患者疾病稳定。
显然,结合患者自身的情况考虑,使用派姆单抗+贝伐珠单抗的联合方案,是比较稳妥的。
总之,这个案例有力地证实了两点——一是派姆单抗+贝伐珠单抗的方案可以成为ARID1A突变阳性卵巢癌患者的重要治疗选择,二是正确分析基因检测的结果,完全有希望找出一个扭转患者治疗困境的机会。
当然,不论医生给出的是何种方案,最终都必须在患者的认可与配合之下才能起效。面对这样一个并未获得批准、只在理论上有较好效果的方案,患者与家属毅然接受并将其完美地执行了下来,这才是患者最终取得无癌生存、甚至摆脱了极危重的恶病质的决定性因素。
愿意尝试,才是获得胜利的第一步。
靶向+免疫"双抗",临床试验已经开启
在我们的患者当中,也有一部分患者正在面对与案例中患者相似的困境。那么在中国,患者能够尝试哪些类似的、有希望取得良好效果的治疗方案呢?
案例中患者使用的是PD-1抑制剂派姆单抗与VEGFR抑制剂贝伐珠单抗的联合方案,而目前正有一款新药AK112,同时靶向PD-1和VEGF两个靶点,以一药之力,完成两药联合方案的效果。
这款药物由我国药企康方天成研发,背景实力雄厚,正在招募复发的卵巢癌及子宫内膜癌患者。希望参与临床试验的患者,可以联系全球肿瘤医生网医学部了解详情,或将病历资料及联系方式发送至招募中心邮箱(doctorjona0404@gmail.com)进行申请。
参考文献/文中案例及资料来源
[1] Complete remission of heavily treated ovarian clear cell carcinoma with ARID1A mutations after pembrolizumab and bevacizumab combination therapy: a case report
[2] ARID1A alterations function as a biomarker for longer progression-free survival after anti-PD-1/PD-L1 immunotherapy. J Immunother Cancer





发表评论