抗癌指南 肺癌 胃癌 结直肠癌 食道癌 乳腺癌 肝癌 胰腺癌 卵巢癌 宫颈癌 肾癌 膀胱癌 脑瘤 肉瘤 前列腺癌 黑色素瘤 妇科肿瘤 头颈癌 儿童肿瘤 淋巴瘤

科学家发现对抗脑癌转移的新药 脑瘤

脑瘤科学家发现对抗脑癌转移的新药

体液在细胞周围移动,对维护正常的身体功能至关重要。但对于患有最致命形式的脑癌胶质母细胞瘤的人来说,这种液体可产生更高的压力,导致其快速移动迫使癌细胞扩散。并且通过导管将药物直接插入肿瘤的常见癌症疗法可以使该液体流动得更快。弗吉尼亚理工大学Jennifer Munson教授领导的研究小组,找到了解决这种不可避免的癌细胞扩散的方案。在11月19日发表在科学报告

美国脑瘤疫苗SurvaxM,胶质母细胞瘤疫苗,SVN53-67/M57-KLH肽疫苗将登陆中国 脑瘤

脑瘤美国脑瘤疫苗SurvaxM,胶质母细胞瘤疫苗,SVN53-67/M57-KLH肽疫苗将登陆中国

美国脑瘤疫苗SurvaxM,胶质母细胞瘤疫苗,SVN53-67/M57-KLH肽疫苗将登陆中国胶质母细胞瘤(GBM)是当之无愧的最致命的癌症之一,因为这种肿瘤生长非常迅速,并且可以影响任何年龄的任何人,预后极差。对于这种肿瘤,目前没有任何无进展生存方法,治疗很困难,因为胶质母细胞瘤会将触角伸入大脑,而不是形成医生可以瞄准和移除的固体肿块。所以即便手术切除很干

FDA授予C/EBPβ肽拮抗剂ST101治疗复发性胶质母细胞瘤快速通道指定,脑胶质瘤电场治疗和质子治疗这些"黑科技"你也应该了解一下 脑瘤

脑瘤FDA授予C/EBPβ肽拮抗剂ST101治疗复发性胶质母细胞瘤快速通道指定,脑胶质瘤电场治疗和质子治疗这些"黑科技"你也应该了解一下

FDA授予C/EBPβ肽拮抗剂ST101治疗复发性胶质母细胞瘤快速通道指定,脑胶质瘤电场治疗和质子治疗这些"黑科技"你也应该了解一下根据药物开发商 Sapience Therapeutics, Inc. 的公告,FDA 已授予 C/EBPβ 肽拮抗剂 ST101 快速通道指定,用于治疗复发性胶质母细胞瘤患者。此前,ST101 获得了 FDA 的孤儿药称号,以

电场治疗脑瘤,电场疗法治疗脑瘤让四期多形性胶质母细胞瘤患者回归生活,组建家庭 脑瘤

脑瘤电场治疗脑瘤,电场疗法治疗脑瘤让四期多形性胶质母细胞瘤患者回归生活,组建家庭

电场治疗脑瘤,电场疗法治疗脑瘤让四期多形性胶质母细胞瘤患者回归生活,组建家庭虽然癌症是一种让人绝望的恶行疾病,但越来越多的抗癌新药和新技术仍然帮助曾经走投无路的人战胜了癌症,重新回到正常的生活。被误诊为慢性疲劳综合症的头痛竟是脑瘤2017年,26岁的尼古拉斯出现了剧烈的头痛,作为警察的他并没有太在意,以为只是过度劳累,直到有一天,他开着警车巡逻时晕倒了,这对

科学家发现脑瘤治疗潜在的靶标,或可有效预防复发 脑瘤

脑瘤科学家发现脑瘤治疗潜在的靶标,或可有效预防复发

实验室中的胶质母细胞瘤细胞简介:本文主要作者Susan Short博士:“通过用抑制剂靶向RAD51,我们使胶质母细胞瘤对放射治疗更敏感,有助于去除肿瘤。”正文:利兹大学的科学家研究发现:通过靶向帮助脑细胞修复其DNA的分子,可以为一些侵袭性脑瘤找到新的治疗方法。研究人员发现,关闭RAD51分子,可以提高实验室放射治疗胶质母细胞瘤的有效性。胶质母细胞瘤是成人

胶质母细胞瘤疫苗AV-GBM-1或许能成为胶质母细胞瘤患者的福音 脑瘤

脑瘤胶质母细胞瘤疫苗AV-GBM-1或许能成为胶质母细胞瘤患者的福音

胶质母细胞瘤疫苗AV-GBM-1或许能成为胶质母细胞瘤患者的福音近日,由AIVITA生物医药有限公司开发的个体化癌症疫苗AV-GBM-1由一项2期试验(NCT03400917)证实可较标准治疗显著提高新诊断的胶质母细胞瘤患者的无进展生存期 (PFS),且具有良好的耐受性,常见副反应为局部注射部位反应。该项试验涉及57名患者,中位年龄为59岁,其中70%的患者

脑瘤预防复发,脑胶质瘤预防复发,脑瘤手术后预防复发,脑胶质瘤手术后预防复发 脑瘤

脑瘤脑瘤预防复发,脑胶质瘤预防复发,脑瘤手术后预防复发,脑胶质瘤手术后预防复发

脑瘤预防复发,脑胶质瘤预防复发,脑瘤手术后预防复发,脑胶质瘤手术后预防复发过去的5月是全球脑癌关爱月,然而在近日召开的中国神经脑肿瘤新技术论坛上,我国专家教授指出,长期以来,相较于其他恶性肿瘤,脑肿瘤备受忽视,尤其以脑胶质瘤为代表的脑瘤是当前我国癌症攻坚战中最难攻克的癌种之一。由于脑胶质瘤是原发性脑瘤和中枢神经系统(CNS)恶性肿瘤,一直是诊疗难度最大的疾病

81岁的美国参议员约翰麦凯恩患脑瘤!不用TTF治疗你还在等什么? 脑瘤

脑瘤81岁的美国参议员约翰麦凯恩患脑瘤!不用TTF治疗你还在等什么?

最近,美国参议员约翰·麦凯恩被诊断患有脑胶质瘤的消息,让“罕见病”脑胶质瘤再次进入公众视野。81岁的John刚刚从化疗的副作用中恢复过来。胶质母细胞瘤是很难无进展生存的。据美国专业医生介绍,恶性胶质瘤的平均存活率大约为14个月。在过去的几十年,科学家们一直在尝试各种既能够避免手术的巨大创伤,又不像放化疗那样产生巨大副作用的手段。终于,在2000年,以色列教授

【脑瘤专栏】临床试验取得重大突破,可使致死性脑瘤停止生长 脑瘤

脑瘤【脑瘤专栏】临床试验取得重大突破,可使致死性脑瘤停止生长

研究人员报告,对于高分化神经胶质瘤在小鼠模型和人类细胞的实验取得突破日期:2016年5月18日来源:辛辛那提儿童医院医学中心摘要:研究人员报告,一项试验性治疗在实验室中进行,该治疗能够让胶质母细胞瘤和高分化神经胶质瘤,这些侵犯性,治疗抵抗和致死性的脑瘤停止生长。试验采用多部治疗策略,科学家们发现使用基因治疗关闭与基因紧密联系的在高分化神经胶质瘤形成中起重要

胶质母细胞瘤质子治疗成功案例,质子治疗胶质母细胞瘤效果良好 脑瘤

脑瘤胶质母细胞瘤质子治疗成功案例,质子治疗胶质母细胞瘤效果良好

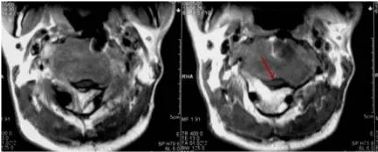
胶质母细胞瘤质子治疗成功案例,质子治疗胶质母细胞瘤效果良好胶质母细胞瘤质子治疗成功案例患者林**,女性,42岁。患者2019年5月出现癫痫发作一次,持续约10分钟,急诊于当地医院做磁共振示:右侧额叶占位,考虑胶质瘤。于2019-06-03行“ 开颅右侧额叶肿瘤切除术”,术后病理示为胶质母细胞瘤。根据诊疗指南,患者应行术后放化疗,遂在当地医院行三维适形放疗。放

眼癌质子放疗,眼癌质子治疗,视网膜母细胞瘤质子放疗,视网膜母细胞瘤质子治疗 脑瘤

脑瘤眼癌质子放疗,眼癌质子治疗,视网膜母细胞瘤质子放疗,视网膜母细胞瘤质子治疗

眼癌质子放疗,眼癌质子治疗,视网膜母细胞瘤质子放疗,视网膜母细胞瘤质子治疗早在2017年9月,网上就在疯传3岁的王凤雅小朋友因视网膜母细胞瘤逝世的消息。关于其母诈捐、虐待、重男轻女等是长短非也不竭反转,到如今还是一场罗生门。然而小编今天要讲的并不是这则新闻,而是这个确诊仅8个月就扼杀了小凤雅生命的罪魁祸首——视网膜母细胞瘤。俗称“猫眼”的恶性肿瘤,早期治疗效

脊索瘤质子治疗 脑瘤

脑瘤脊索瘤质子治疗

脊索瘤质子治疗什么是脊索瘤脊索瘤是局部的侵袭性或恶性肿瘤,是累及斜坡与骶尾部常见的硬膜外肿瘤,由胚胎残留或异位脊索形成。脊索瘤发病的年龄多在中年以上,较多以骶尾部疼痛为首发症状。绝大多数椎管内脊索瘤在诊断之前往往经历了相关症状数月至数年。脊索瘤的治疗窘境单纯以手术治疗很难无进展生存脊索瘤。因为起源于骨的肿瘤,通常就排除了全切除的可能性,即使在肿瘤根治性切除后

2019脑瘤全球最新研究进展盘点及临床试验推荐! 脑瘤

脑瘤2019脑瘤全球最新研究进展盘点及临床试验推荐!

近年来,胶质瘤已经使数位名人相继离世,也因此越来越多的被大家熟知。除了麦凯恩,2009年,美国参议员肯尼迪,2015年前副总统乔拜登的儿子博比登以及2018年李敖,都是因为这种恶性程度很高脑瘤去世。据美国专业医生介绍,GBM的全面护理治疗标准包括手术,放疗和化疗,手术切除初始肿瘤到肿瘤复发时间的中位时间仅为6.9个月,中位生存期仅为14.6个月,并且复发几

儿童肿瘤首选——质子治疗挽救5岁脑瘤宝宝(美国质子治疗中心如此人性化!) 脑瘤

脑瘤儿童肿瘤首选——质子治疗挽救5岁脑瘤宝宝(美国质子治疗中心如此人性化!)

5岁的Hudson Brown就像很多与他同龄的孩子一样:对乐高玩具、T型球、家庭和他最喜欢的玩具变形金刚机器人Bumblebee都充满激情。噩耗传来然而,与大多数5岁小孩不同的是,他在今年1月份被诊断出患有大型脑瘤。Hudson的母亲回忆说:“最初在底特律的一家大型医院急诊就诊时,宝贝头痛得厉害,很快被诊断为癌症。这消息就像一辆卡车撞上了我们。这是我们最

科学家找到治疗脑胶质瘤的新靶点 脑瘤

脑瘤科学家找到治疗脑胶质瘤的新靶点

神经胶质瘤是最常见的中枢神经系统癌症类型,先前的研究显示异柠檬酸脱氢酶1(IDH1)基因的突变存在于至少80%的低级别神经胶质瘤和若干其他癌症中。但是, IDH1突变是否以及如何促进肿瘤发生仍然未知。美国犹他大学Holmen教授的研究提供了大量证据,证明IDH1突变在功能上驱动神经胶质瘤的发展。Holmen的研究小组首先在实验室生长的细胞中使用遗传学方法来分

脑瘤疫苗,DCVax-L疫苗让致命脑胶质瘤患者存活最长已超8年 脑瘤

脑瘤脑瘤疫苗,DCVax-L疫苗让致命脑胶质瘤患者存活最长已超8年

脑瘤疫苗,DCVax-L疫苗让致命脑胶质瘤患者存活最长已超8年17年磨一剑!脑癌DCVax-L疫苗让致命脑胶质瘤患者存活最长已超8年2022年11月17日,国际知名肿瘤杂志《JAMA oncology(美国医学会杂志·肿瘤学)》杂志上刊登了一款个性化的自体树突状细胞疫苗DCVax-L的III期非随机对照试验数据。这款树突状细胞疫苗不管在新诊断的脑胶质瘤( n

胶质母细胞瘤电场疗法,胶质母细胞瘤电场治疗,脑瘤电场治疗让晚期患者重回正常生活 脑瘤

脑瘤胶质母细胞瘤电场疗法,胶质母细胞瘤电场治疗,脑瘤电场治疗让晚期患者重回正常生活

胶质母细胞瘤电场疗法,胶质母细胞瘤电场治疗,脑瘤电场治疗让晚期患者重回正常生活关键词:胶质母细胞瘤,电场疗法,预防复发他是一个斗士,也是一个不肯向命运低头的人!一生中最艰难的一天26岁的奥斯蒙德·尼古拉斯(Osmond Nicholas)在圣地亚哥州立大学获得刑事司法学士学位和国土安全硕士学位后,在他的家乡加利福尼亚州欧申赛德(Oceanside)做了一名警

新技术有望帮助胶质母细胞瘤患者制定个性化治疗方案 脑瘤

脑瘤新技术有望帮助胶质母细胞瘤患者制定个性化治疗方案

贝克动物健康研究所Charles Danko实验室的研究人员开发了一种新工具,用于研究在促进癌症生长的胶质母细胞瘤中发挥作用的关键开关,确切地说,确定了包括与患者存活相关的不同类型肿瘤的关键开关。这项研究发表在《Nature Genetics》上。 在这项新研究中,Danko的小组与纽约州立大学上州医科大学的同事合作,从其组织库中分析了20个胶质母细胞瘤样本

黑色素瘤脑转移免疫联合治疗1年生存率提高62% 脑瘤

脑瘤黑色素瘤脑转移免疫联合治疗1年生存率提高62%

德克萨斯大学MD安德森癌症中心报道,免疫联合治疗缩小了一半以上患者的脑转黑色素瘤。在联合检查点抑制剂ipilimumab和nivolumab的单臂研究中,94名患者最少随访9个月,中位随访时间为14个月,24名(26%)有完全反应,28名(30%)有部分反应和2(2%)名稳定。  由于近年来IV期黑色素瘤的治疗有了很大改善,但是脑转移患者仍然是最需要新疗法