文章最后更新时间:2024-08-12 20:23:12,由春晓健康网负责审核发布,若内容或图片失效,请留言反馈!
胶质母细胞瘤质子治疗成功案例,质子治疗胶质母细胞瘤效果良好
胶质母细胞瘤质子治疗成功案例
患者林**,女性,42岁。患者2019年5月出现癫痫发作一次,持续约10分钟,急诊于当地医院做磁共振示:右侧额叶占位,考虑胶质瘤。
于2019-06-03行“ 开颅右侧额叶肿瘤切除术”,术后病理示为胶质母细胞瘤。根据诊疗指南,患者应行术后放化疗,遂在当地医院行三维适形放疗。放疗3次后患者因难以忍受严重副作用而停止治疗。
患者家属反复咨询,最终选择质子放射治疗作为术后放射治疗手段,于2019-07-19入院。
入院后组织肿瘤部专家组会诊,制定质子放射治疗计划,于2019-07-25至2019-09-03行右侧额顶叶及左额叶病灶质子放射治疗。具体剂量为66cGE/30次,同时口服化疗药替莫唑胺100mg每日一次。
治疗期间静点甘露醇及地塞米松脱脑水肿治疗,静点神经节苷脂营养神经治疗;口服丙戊酸钠缓释片预防癫痫发作;口服中药膏剂减轻放化疗反应。质子治疗结束后继续应用替莫唑胺化疗6周期,并定期复查。
质子治疗后目前已14月,局部病灶控制良好,患者病情稳定。
该患者质子治疗胶质母细胞瘤过程
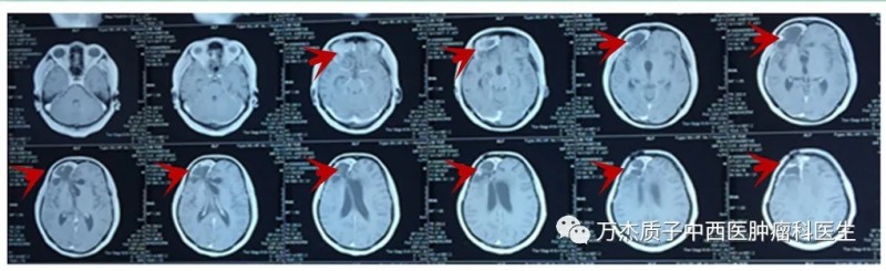
以下为患者治疗前后影像学检查资料:
2019-05-28手术前MR:肿瘤巨大


2019-07-20手术后MR: 术后需照射区域巨大

质子剂量分布图:肿瘤区域紧邻眼球及视神经,但质子射线完全避开眼球及视神经

2020-05-18治疗后8月复查MR:病情稳定

2020-11-19治疗后13月复查MR:病情稳定

此患者行质子放射治疗过程中耐受性良好,没有明显副作用出现。虽然肿瘤区域紧邻眼球、视神经,但质子射线避开了这些重要器官,患者视力完全没有受到影响,生活质量明显提高。从复查的头颅磁共振分析,患者肿瘤得到有效控制。建议患者3年内每3个月复查一次颅脑磁共振,并根据复查结果指导下一步治疗。
胶质母细胞瘤相关
●胶质母细胞瘤(Glioblastoma, GBM)是较常见的原发性恶性脑瘤,发病率较高,每十万人口中有3.21例。胶质母细胞瘤(GBM)恶性程度很高,治疗方法有限,总体生存率较低。
●GBM患者的一线治疗通常包括最大程度的手术切除联合同步替莫唑胺放化疗以及序贯辅助替莫唑胺化疗的标准治疗,其中位生存期14月左右。患者年龄、肿瘤组织学特点和身体状态是预后因素,但手术范围、神经症状持续时间以及疗后影像学反应也影响疗效。手术无法切除的胶母病例只进行活检,明确病理后行同步放化疗。
●质子治疗使用的是一种称为“扩展布拉格峰”(Spread-Out Bragg Peak)的方法。质子束在两个轴向上移动能够模拟3D打印机的操作特性,在肿瘤的长度和宽度上逐点进行剂量沉积;不同深度的剂量沉积通过允许“层切换”(layer- switching)的能量剪裁(tailoring energy)实现。由此产生的剂量沉积与肿瘤的3D构型相匹配。借助这项技术,目前可以控制肿瘤每个点照射剂量的强度和空间分布,不仅可以提高患者的治疗效果,还可以减少副作用,尤其是对于复杂和具有挑战性的肿瘤。
●质子治疗应该是一个全面多学科癌症治疗计划的一部分,并在一个经验丰富的治疗中心完成,从而使质子治疗发挥最大功效。根据特定的癌症类型和患者的个人需求,质子治疗可以与传统的化疗和/或手术相结合,以提供最佳的治疗方案,获得最佳疗效。
内容来源:万杰质子治疗平台





发表评论