抗癌指南 肺癌 胃癌 结直肠癌 食道癌 乳腺癌 肝癌 胰腺癌 卵巢癌 宫颈癌 肾癌 膀胱癌 脑瘤 肉瘤 前列腺癌 黑色素瘤 妇科肿瘤 头颈癌 儿童肿瘤 淋巴瘤

AZD9291耐药的肺腺癌患者怎么办? 肺癌

肺癌AZD9291耐药的肺腺癌患者怎么办?

随着医学水平的不断进展,靶向药的研发为肺癌患者带来了转机,尤其是肺腺癌患者,有较多的靶向药物可以选择。第一代靶向药(凯美钠、易瑞沙、特罗凯,前两者已经进入医保);第二代靶向药(阿法替尼,已经正式在内地上市);第三代靶向药,AZD9291(国内刚上市)、国产的正在做临床试验的艾维替尼等。目前相对于其他药物来说,AZD9291靶向性更强。它只针对性抑制肿瘤EGF

基因检测指导ALK阳性肺癌的治疗 肺癌

肺癌基因检测指导ALK阳性肺癌的治疗

癌症基因检测指导靶向治疗是癌症精准治疗的核心技术,每一个癌症患者都应该为自己进行癌症基因检测,寻找有效靶向药物和临床试验进行治疗。全球肿瘤医生网联合美国基因检测机构和国内顶端尖基因检测机构,为患者提供精准癌症基因检测和专家咨询服务,帮助患者制定最精准的治疗方案。了解基因检测请点击 MORE如果医生告诉你,你具有ALK基因突变,或者ALK阳性的肺癌,你可能会不

不为人们熟知的NSCLC突变-BRAF 肺癌

肺癌不为人们熟知的NSCLC突变-BRAF

新一代测序技术的问世已经彻底改变了肺癌诊断和治疗模式。众所周知,NSCLS经常会发生很多基因突变,常见的突变如EGFR、ALK和ROS1,已有确定的治疗方案。然而,NSCLC患者中也存在其他突变,而这些突变患者较少,相应的治疗选择也较少。现在肺癌已经不是一个单独的实体肿瘤,而是能被区分成不同治疗方向的疾病。我们正在从基于组织的治疗转向更多的基于分子的治疗,

新一代肺癌治疗药物olmutinib在韩国率先获批 肺癌

肺癌新一代肺癌治疗药物olmutinib在韩国率先获批

portant; word-wrap: break-word !important;">新闻稿:Boehringer Ingelheim -2016年5月17日德国,INGELHEIM--(商业在线)-- Olmutinib* (BI 1482694 / HM61713)已经在南韩被批注治疗局部晚期或转移性表皮生长因子受体(EGFR)T790M突变-阳性非小

EGFR阳性晚期非小细胞肺癌 奥希替尼一线治疗改善无进展生存期 肺癌

肺癌EGFR阳性晚期非小细胞肺癌 奥希替尼一线治疗改善无进展生存期

美国Emory大学医学院Winship癌症研究所Suresh S. Ramalingam等报告,奥希替尼一线治疗初治EGFR突变晚期NSCLC患者,客观缓解率较高,无进展生存期有延长。治疗进展患者时不存在EGFR T790M突变导致的耐药问题。(J Clin Oncol. 2017年8月25日在线版)三代TKI药物奥希替尼剂量递增试验(AURA研究)旨在研究

肺癌脑转移如何治疗 肺癌

肺癌肺癌脑转移如何治疗

肺癌出现脑转移是非常常见的,也是非常严重的情况,肺癌出现脑转移是肺癌治疗失败的重要原因之一。肺癌脑转移治疗的手段可根据癌肿的发展程度,癌灶的大小,癌肿的位置,转移的范围和患者的症状体现以及自身的正常机体功能状况等选择。但一般来说,由于肺癌脑转移发生在较晚期,因此在治疗上应注意患者的承受的能力。 1、手术切除+中药若肺癌脑转移的转移病灶是单个或两个以上的脑转

麻省总医院治疗4期肺癌实例 肺癌

肺癌麻省总医院治疗4期肺癌实例

姓名:Greg Vrettos性别:男年龄:63当前诊断:4期肺癌 分子指纹图谱:EGFR突变 现状:5年生存者        Greg Vrettos体格健壮、饮食健康、不抽烟。在他57岁时,阅读Greg Vrettos的生活习惯,就像所有医生推荐的健康生活的标准一样。当他出现呼吸不适时,检查结果使Greg和他的医生都很吃惊,Greg竟然患上了4期肺癌。

我国首个获批的第三代肺癌靶向药物奥希替尼(泰瑞沙)正式在国内上市 肺癌

肺癌我国首个获批的第三代肺癌靶向药物奥希替尼(泰瑞沙)正式在国内上市

2017年4月,我国首个获批的第三代肺癌靶向药物奥希替尼(国内商品名:泰瑞沙)正式在国内上市了,用于治疗EGFR T790M突变阳性的局部晚期或转移性非小细胞肺癌,据阿斯利康表示,泰瑞沙国内售价为每月5.1万(80mg*30片)(美国原研药的售价:5.7万元一盒(80mg*30粒)),第一年买4赠8,第二年买3可送到肿瘤进展为止,如此计算,约合每月1.7万,

解放军总医院分院实施首例4D-CT定位扫描 肺癌

肺癌解放军总医院分院实施首例4D-CT定位扫描

近日,海南分院放疗科采用放疗专用大孔径16排螺旋定位CT,成功对一例下咽癌肋骨转移患者进行了4D-CT放疗定位扫描。据调查,此项技术的应用在海南省尚属首例,标志着分院精确放疗技术再上新台阶。在放射治疗中,如何准确确定肿瘤靶区的位置,特别是随呼吸运动位置变化幅度较大的胸腹部肿瘤,一直是困扰着临床放射肿瘤学的难题。目前多数情况下,放疗医师只能在常规定位CT扫描

非小细胞肺癌的脑转移患者或将有新靶向药物 肺癌

肺癌非小细胞肺癌的脑转移患者或将有新靶向药物

今日,Kadmon控股有限公司宣布tesevatinib进行的二期临床试验结果,tesevatinib是血脑屏障穿透口腔酪氨酸激酶抑制剂,用于治疗表皮生长因子受体(EGFR)阳性转移到大脑和/或软脑膜(大脑和脊髓的膜)的非小细胞肺癌(NSCLC)。  Tesevatinib(KD019)是美国Kadmon公司(NASDAQ:KDMN)的多靶点口服酪氨酸激酶抑

招募临床试验:PD-1抑制剂Keytruda 和铂类为基础的标准化疗治疗非小细胞肺癌 肺癌

肺癌招募临床试验:PD-1抑制剂Keytruda 和铂类为基础的标准化疗治疗非小细胞肺癌

免疫治疗是目前癌症治疗最前沿的技术,以PD-1为代表的免疫治疗进展,为癌症患者带来了希望,了解免疫治疗请点击 MORE 本试验主要针对疾病:非小细胞肺癌日期:2016年2月2日最要ID:NCT02591615主要发起人:Alliance Foundation Trials, LLC. 公开名称:Keytruda ® (Pembrolizumab)和铂类为基

纳武单抗治疗晚期NSCLC的真实世界数据 肺癌

肺癌纳武单抗治疗晚期NSCLC的真实世界数据

以色列Rabin医学中心Davidoff癌症中心Dudnik Elizabeth等报告,在晚期非小细胞肺癌(NSCLC)的真实临床实践中,纳武单抗(Nivolumab)的疗效尚可,但其疗效并未像临床试验中所展示得那么突出。ECOG PS评分≥2分是患者预后差的独立危险因素。(Lung Cancer. 2017年11月23日在线版)纳武单抗近期获得药物监管部门

好消息!FDA批准艾乐替尼用于ALK阳性非小细胞肺癌一线治疗 肺癌

肺癌好消息!FDA批准艾乐替尼用于ALK阳性非小细胞肺癌一线治疗

11月7日,美国FDA批准了Alecensa (alectinib,艾乐替尼)的补充新药申请(sNDA),用于一线治疗具有间变性淋巴瘤激酶(ALK)阳性的转移性非小细胞肺癌(NSCLC)患者。克唑替尼(Xalkori) &  Alecensa(艾乐替尼)2011年,克唑替尼(Xalkori)在推出后成为了首个针对间变性淋巴瘤激酶(ALK)阳性非小细胞肺癌(N

奥希替尼成功治疗NSCLC脑转移EGFR T790M突变患者 肺癌

肺癌奥希替尼成功治疗NSCLC脑转移EGFR T790M突变患者

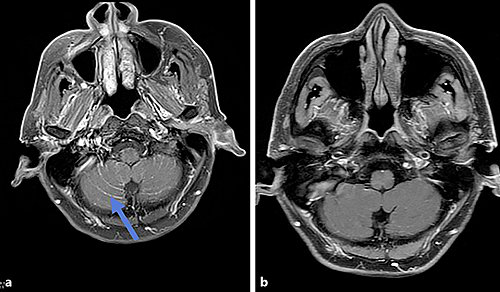
病例报道:男,亚裔,68岁,肺腺癌,骨转移,EGFR L858R突变,最初吉非替尼治疗。一年后,疾病恶化。右下肺叶原病灶活检,无 T790M突变,只有EGFR L858R突变。患者意识混乱,身体疲劳,大脑核磁共振成像(MRI)显示广泛脑转移(图1-a)。液体活检显示EGFR T790M突变。奥希替尼治疗6个月后,MRI结果有明显的改善(图1-b)。不幸的是

一项克唑替尼联合贝伐珠单抗一线治疗ALK、ROS-1和CMet阳性的晚期肺腺癌的疗效和安全性的II期单臂临床试验 肺癌

肺癌一项克唑替尼联合贝伐珠单抗一线治疗ALK、ROS-1和CMet阳性的晚期肺腺癌的疗效和安全性的II期单臂临床试验

1.       研究概况本项研究是一项研究者发起的临床试验。本研究为单臂研究,所有入排标准的患者将接受克唑替尼联合贝伐珠单抗治疗,其中克唑替尼首次买1个月赠1个月药品,后续按赠药项目进行,贝伐珠单抗免费应用至疾病进展或不可耐受(均由研究者判断)。本试验适应症是ALK/ROS-1/Met阳性肺腺癌。 2.       入选标准1.       年龄18-7

BRAF突变型肺腺癌的靶向治疗的回顾研究 肺癌

肺癌BRAF突变型肺腺癌的靶向治疗的回顾研究

编辑:曹磊(肿瘤资讯-特约编辑) 【背景】接近2%的肺腺癌患者存在BRAF突变,包括V600E及其他类型:G466V, G469A, G469L,G596V, V600K, K601E。在一些临床研究(如NCT02304809、NCT01524978、BRF113928等)中应用的BRAF抑制剂药物包括:(Vemurafenib)威罗非尼、(dabraf

11.17日上午,中日医院肺结节、肺癌大型多学科义诊活动! 肺癌

肺癌11.17日上午,中日医院肺结节、肺癌大型多学科义诊活动!

11.17中日医院肺癌多学科大型义诊!目前,肺癌是我国乃至全球发病率和死亡率最高的恶性肿瘤。其诊治过程需要涉及多个学科,为方便广大肺癌患者得到规范的综合治疗,全球肿瘤医生网联合中日医院肺癌中心特组织肺癌相关学科专家大型义诊!中日医院肺癌多学科咨询中心中日医院肺癌中心成立于2016年12月,肺癌中心组成科室包括放射肿瘤科,胸外科,呼吸与危重症医学科,中医肺病科

吴一龙教授解惑:关于泰瑞沙(AZD9291),你最想知道的 肺癌

肺癌吴一龙教授解惑:关于泰瑞沙(AZD9291),你最想知道的

泰瑞沙(AZD9291)在国内获批有一段时间了,这个肺癌靶向药一直以来备受患者的关注。今天,小编与大家分享一下吴一龙教授关于泰瑞沙的全方位解读,使广大患者更加清楚这个药的用法及注意事项等…… 吴一龙广东省人民医院博士生导师广东省肺癌研究所所长中国临床肿瘤学会(CSCO)理事长中国抗癌协会(CACA)常务理事广东省临床试验协会(GACT)会长……1想问您一下

周彩存教授谈EGFR和ALK以及其他驱动基因检测的临床应用 肺癌

肺癌周彩存教授谈EGFR和ALK以及其他驱动基因检测的临床应用

癌症基因检测指导靶向治疗是癌症精准治疗的核心技术,每一个癌症患者都应该为自己进行癌症基因检测,寻找有效靶向药物和临床试验进行治疗。全球肿瘤医生网联合美国基因检测机构和国内顶端尖基因检测机构,为患者提供精准癌症基因检测和专家咨询服务,帮助患者制定最精准的治疗方案。了解基因检测请点击 MORE             第七届中德肺癌论坛暨第十七届肺癌生物靶向与个

相比传统治疗,PD-1将晚期肺癌5年生存率提高至8倍 肺癌

肺癌相比传统治疗,PD-1将晚期肺癌5年生存率提高至8倍

在两周时间内,阿法替尼和AZD9291(泰瑞沙)获得CFDA的批准。但是PD-1抑制剂没有一个获得批准,可能免疫治疗药物在国际上还属于比较新的治疗药物,在国内并没有相关的试验有关。 但是P在D-1抑制剂确实多项肿瘤试验中不断获得更令人信服的数据。2017年4月3日,一份纳武单抗(Nivolumab)Opdivo治疗晚期非小细胞肺癌的5年生存数据被披露。在1