抗癌指南 肺癌 胃癌 结直肠癌 食道癌 乳腺癌 肝癌 胰腺癌 卵巢癌 宫颈癌 肾癌 膀胱癌 脑瘤 肉瘤 前列腺癌 黑色素瘤 妇科肿瘤 头颈癌 儿童肿瘤 淋巴瘤

首例报道:胸膜恶性孤立性纤维瘤抗PD-1检查点免疫疗法应答效果显著 肺癌

肺癌首例报道:胸膜恶性孤立性纤维瘤抗PD-1检查点免疫疗法应答效果显著

胸膜孤立性纤维瘤(SFTP)是一种罕见且通常良性的原发性肿瘤,由中间细胞的间质细胞引起,现报道第一例关于恶性SFTP检查点免疫治疗应答效果显著的病例。患者诊断为CD34+的胸膜恶性孤立性纤维瘤,化疗无效,但是患者基因检测PD-1与PD-L1均呈阳性,对PD-1单抗药物pembrolizumab治疗反应良好,持续到第26个疗程副作用都很小。 患者:白人,男性

震惊 EGFR阴性的晚期肺腺癌患者是如何找到7种靶向药物的? 肺癌

肺癌震惊 EGFR阴性的晚期肺腺癌患者是如何找到7种靶向药物的?

“2015年12月,52岁的贾先生在当地医院被确诊为肺腺癌,病理组织EGFR基因检测结果为阴性。2016年1月份,贾先生在国内肿瘤医院做了左肺上叶腺癌切除术,术后病理显示:肺门淋巴结转移,T1bN2M0(ⅢA期)。 手术后 ,贾先生又做了放化疗辅助治疗,病情控制较稳定。不幸的是,2016年10月,贾先生出现了脑转移,放化疗后仍有很大复发转移的风险,为寻求下

ALK抑制剂Alectinib治疗NSCLC脑转移有潜力 肺癌

肺癌ALK抑制剂Alectinib治疗NSCLC脑转移有潜力

克唑替尼是首个被批准用于ALK阳性非小细胞肺癌(NSCLC)的靶向药物,虽然治疗初始无进展生存率良好,但仍难以避免疾病进展。在此过程中,中枢神经系统(CNS)是常见的转移部位,一线克唑替尼治疗后CNS转移率接近60%。而对于另一种ALK抑制剂色瑞替尼来说,脑转移也是非常棘手的问题。 因此,ALK阳性NSCLC脑转移的控制需要新的解决方法。美国药品名称:Ale

局限期小细胞肺癌放疗宜早不宜迟? 肺癌

肺癌局限期小细胞肺癌放疗宜早不宜迟?

法国研究者 Jean-Pierre Pignon 等报告的一篇 meta 分析显示,早期或短程胸部放疗联合足量化疗显著提高患者 5 年生存率的同时需要付出高毒性的代价,尤其是放射性食管炎的发生率。小细胞肺癌被认为是一种进展较快的肺部恶性肿瘤,其对化疗及放疗均较敏感。目前放疗联合化疗是局限期小细胞肺癌(LS-SCLC)的标准治疗。尽管近年来 LS-SCLC

招募临床试验:AZD9291治疗局部晚期或转移性非小细胞肺癌 肺癌

肺癌招募临床试验:AZD9291治疗局部晚期或转移性非小细胞肺癌

癌症基因检测指导靶向治疗是癌症精准治疗的核心技术,每一个癌症患者都应该为自己进行癌症基因检测,寻找有效靶向药物和临床试验进行治疗。全球肿瘤医生网联合美国基因检测机构和国内顶端尖基因检测机构,为患者提供精准癌症基因检测和专家咨询服务,帮助患者制定最精准的治疗方案。了解基因检测请点击 MORE        来源:“临床试验招募信息" 微信公共号1. 试验药

SABR治疗早期老年非小细胞肺癌具有较高的安全性和疗效 肺癌

肺癌SABR治疗早期老年非小细胞肺癌具有较高的安全性和疗效

美国MD Andersen癌症中心放疗科Joe Y Chang等报告,立体定向放疗(SABR)治疗年龄≥75岁的非小细胞肺癌(NSCLC)患者具有较高的疗效,同时具有良好的安全性。一般状态欠佳的老年早期NSCLC,可将SABR作为临床治疗中的一种选择。(Int J Radiat oncol Biol Phys. 2016年12月22日在线版)2004~201

肺癌一线新药Ceritinib,有效率73% 肺癌

肺癌肺癌一线新药Ceritinib,有效率73%

ntent ">FDA批准“老的”ALK抑制剂色瑞替尼一线用于ALK阳性的肺癌患者,无进展生存期最高达到26.3个月,实力碾压化疗(8.3个月)!得了癌症,都是不幸的。但相比较而言,有靶向药可以吃的患者,是非常“幸运”的。相比于化疗药物,不少靶向药的效果好,副作用小,每天吃几粒药丸就好,就跟正常人一样,挺好。对于肺癌患者来说:如果有EGFR突变,可以用易瑞沙

美国MD.安德森癌症中心张玉蛟教授谈肺癌放射治疗 肺癌

肺癌美国MD.安德森癌症中心张玉蛟教授谈肺癌放射治疗

按:张玉蛟(Joe Y. Chang)医生是国际的胸部肿瘤放疗专家,美国MD 安德森癌症中心胸部肿瘤放疗主任和立体定向放射科主任, 德克萨斯大学终身教授、博士后导师,美国放射肿瘤学协会(American Society for Radiation Oncology, ASTRO) 学报高级副主编 (Senior Associate Editor, Inte

FDA将加速审批默克Keytruda联合化疗治疗肺癌的申请 肺癌

肺癌FDA将加速审批默克Keytruda联合化疗治疗肺癌的申请

2017年1月17日讯-美国FDA日前表示将加快审查默克公司关于免疫肿瘤学药物Keytruda联合化疗药物治疗肺癌的申请,决定在5月10日决定是否批准默克关于联合PD-I抑制剂Keytruda和化疗药物培美曲赛、卡铂作为晚期非小细胞肺癌(NSCLC)病人一线疗法的申请。默克正在等待这个用于治疗所有NSCLC病人联合疗法的批准,换句话讲,一旦这个联合疗法被批准

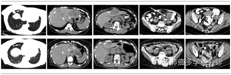
MET抑制剂治疗MET14外显子跳跃突变肺癌有惊人疗效 肺癌

肺癌MET抑制剂治疗MET14外显子跳跃突变肺癌有惊人疗效

癌症基因检测指导靶向治疗是癌症精准治疗的核心技术,每一个癌症患者都应该为自己进行癌症基因检测,寻找有效靶向药物和临床试验进行治疗。全球肿瘤医生网联合美国基因检测机构和国内顶端尖基因检测机构,为患者提供精准癌症基因检测和专家咨询服务,帮助患者制定最精准的治疗方案。了解基因检测请点击 MORE   来源:肺癌多学科咨询  李醒亚晚期非小细胞肺癌(NSCLC)患

告诉癌症患者,癌症全基因检测需要多少钱? 肺癌

肺癌告诉癌症患者,癌症全基因检测需要多少钱?

癌症全基因检测是什么?对肿瘤细胞进行基因检测可以帮助你的主治医生为你制定个性化治疗方案。目前世界上最著名的癌症基因检测公司主要在美国,乔布斯时代的美国一次性全基因检测分析大概要花费10万美元甚至更高。随着基因检测技术的进步,现在的检测费用已经降低到几千美元。目前美国的检测公司有美国凯瑞思癌症精准治疗多平台分子检测和美国foundation癌症基因检测 ,其中

晚期非小细胞肺癌新希望,TCR-T细胞临床试验招募! 肺癌

肺癌晚期非小细胞肺癌新希望,TCR-T细胞临床试验招募!

广州医科大学附属第一医院暨广州呼吸疾病研究所(国家重点实验室)于 2017 年 1 月 20 日,启动一项高亲和性 T 细胞受体(TCR)转导的自体 T 细胞治疗 NY-ESO-1 肿瘤抗原阳性晚期非小细胞肺癌的临床试验研究(方案编号:TS20161229)。项目简介这项临床试验由李时悦教授和周承志主任担任主要研究者,申办方是广州市香雪制药股份有限公司和广

射波刀治疗肺癌案例 肺癌

肺癌射波刀治疗肺癌案例

成功的抗癌需要患者与全球专家配合,制定合理的治疗方案,还需要患者接受全球的基因检测、抗癌技术、抗癌药物,甚至接受临床试验。了解更多新技术,请点击MORE「病患情况」女性,65岁,低分化非小细胞肺癌T1N0M0期,治疗日期:2004年12月10日到12日。未进行过其他治疗。「临床病史」2004年9月17日胸部X-线透视发现左肺上叶1.5×2.0cm肺部结节。

《中国原发性肺癌诊疗规范(2015年版)》全文及专家解读 肺癌

肺癌《中国原发性肺癌诊疗规范(2015年版)》全文及专家解读

《中国原发性肺癌诊疗规范(2015年版)》(下简称肺癌诊疗规范)于2015年1月在《中华肿瘤杂志》正式发表。本版规范由国家卫生和计划生育委员会《中国原发性肺癌诊疗规范(2015年版)》专家委员会编写。中国医科院肿瘤医院孙燕院士、中国医科院肿瘤医院院长赫捷院士担任顾问,首都医科大学肺癌诊疗中心主任兼宣武医院胸外科主任支修益教授、中国医科院肿瘤医院副院长石远凯

免疫治疗药物OPDIVO(nivolumab)增加常见类型肺癌的生存率 肺癌

肺癌免疫治疗药物OPDIVO(nivolumab)增加常见类型肺癌的生存率

免疫治疗是目前癌症治疗最前沿的技术,以PD-1为代表的免疫治疗进展,为癌症患者带来了希望,了解免疫治疗请点击 MORE免疫治疗药物OPDIVO(nivolumab)增加常见类型肺癌的生存率发布日期:2015年5月31日事实快递:· 鳞状非小细胞肺癌患者接受纳武单抗OPDIVO(nivolumab)生存时间比接受化疗平均延长3.2个月· 20-25%的肺癌患者

目前的PD-1抗体免疫治疗指南民间版 肺癌

肺癌目前的PD-1抗体免疫治疗指南民间版

来源:生物315网本文总结了一些患者经常咨询的关于PD1抗体使用的问题,希望能帮到大家。请注意,这不是使用指南,只是我们知道的信息的分享,因PD-1也有严重副作用,使用前请一定咨询医生商讨方案,使用时一定要有医生指导。点击查看pd1专题页面1 PD1抗体有用吗?有临床数据吗?答:有用,已公布的临床数据如下:BMS的PD-1单抗(Nivolumab,Opd

易瑞沙/特罗凯治疗EGFR突变的非小细胞肺癌 肺癌

肺癌易瑞沙/特罗凯治疗EGFR突变的非小细胞肺癌

癌症基因检测指导靶向治疗是癌症精准治疗的核心技术,每一个癌症患者都应该为自己进行癌症基因检测,寻找有效靶向药物和临床试验进行治疗。全球肿瘤医生网联合美国基因检测机构和国内顶端尖基因检测机构,为患者提供精准癌症基因检测和专家咨询服务,帮助患者制定最精准的治疗方案。FDA近日批准靶向治疗药物易瑞沙作为一种单药疗法,用于经一款FDA批准的伴随诊断试剂盒证实为表皮生

韩宝惠:基于基因检测的精确肺癌诊断 肺癌

肺癌韩宝惠:基于基因检测的精确肺癌诊断

在过去的十几年时间里,随着我们对肺癌,特别是非小细胞肺癌(NSCLC)的生物学基础的深入研究,相应的治疗策略也发生了翻天覆地的变化(图)。仅从病理学类型来区分肺癌已经远远不能满足“精准癌诊断”的需求。肺癌携带高比例的体细胞突变,染色体间和染色体内的重排和基因拷贝数的改变。目前,基因水平的肺癌诊断已经成为临床实践的常规,也应是规范诊断的必须要求。图:肺癌诊断

肺癌基因检测直通车项目 肺癌

肺癌肺癌基因检测直通车项目

癌症基因检测指导靶向治疗是癌症精准治疗的核心技术,每一个癌症患者都应该为自己进行癌症基因检测,寻找有效靶向药物和临床试验进行治疗。全球肿瘤医生网联合美国基因检测机构和国内顶端尖基因检测机构,为患者提供精准癌症基因检测和专家咨询服务,帮助患者制定最精准的治疗方案。了解基因检测请点击 MORE         肺癌是全球最常见的恶性肿瘤,死亡率居恶性肿瘤之首。肺