文章最后更新时间:2024-08-15 12:02:28,由春晓健康网负责审核发布,若内容或图片失效,请留言反馈!
每年,全球因恶性肿瘤死亡人数高达九千万人。CAR-T细胞疗法就是嵌合抗原受体T细胞免疫疗法,是目前国际最前沿的肿瘤治疗方法,即从人体血液中提取T细胞,应用基因工程技术将其变身为能识别并消灭肿瘤的CAR-T细胞,再将其输入患者体内。
众所周知,CAR-T疗法改变了血液恶性肿瘤治疗图景,成为近年来最具潜力的肿瘤免疫疗法之一。随着四款靶向CD19的自体CAR-T疗法Kymriah和Yescarta、Tecartus、Breyanzi相继获批上市,CAR-T疗法的显著疗效逐渐获得业内肯定,也变成众多癌友们非常关注的焦点。
虽然,CAR-T疗法在治疗占恶性肿瘤90%以上的实体肿瘤上作用受限,但国内外的学者针对CAR-T进行了多种改造,不断地发现新靶点,以用于治疗多种实体肿瘤。
抗癌有效率达72%,CAR-T技术打破实体瘤壁垒
在2019年的美国癌症研究学会(AACR)年会上,一款靶向间皮素的新型CAR-T细胞技术,吸引了众人的目光,其疗效数据可谓是让人眼前一亮。
【研究背景】
这项临床试验共纳入21例既往经其他治疗均失败的复发难治的间皮素表达阳性的晚期实体瘤患者,其中包括晚期恶性间皮瘤19例,晚期肺癌1例,晚期乳腺癌1例。所有患者均接受LcasM28z联合PD-1抗体治疗。
LcasM28z是由纪念斯隆凯特琳癌症中心胸外科副主任Adusumilli及其团队利用第二代激活CD28全人类间皮素CAR-T细胞加以Icaspase-9安全基因所研制而来。而且绝大多数患者在CAR-T治疗前接受过大剂量化疗清髓预处理。需要注意的是,此操作必须在非常有经验的顶尖大医院进行,需要高度预防感染。
【研究成果】
接受治疗38周后,21例患者中有13例的外周血中依然可以检测到持续存在的CAR-T细胞。有11例患者顺利完成CAR-T注射及至少3个疗程的PD-1治疗。经过至少3个月的随访,11例患者中,有8例患者肿瘤明显缩小,甚至包括2例患者PET-CT提示肿瘤完全消失,总体缓解率高达72%。
无癌家园临床招募
目前,无癌家园正在对一款CAR-T细胞疗法进行招募,主要是关于晚期实体瘤的临床研究。
其中涵盖14大癌种,包括结直肠癌、肺癌、乳腺癌、肝癌、膀胱癌、食管癌、肾癌、卵巢癌、子宫癌、黑色素瘤、胃癌、胰腺癌、滑膜肉瘤、头颈癌。
具体的入排标准可详情咨询无癌家园医学部,会进行详细的医学评估。
接下来,无癌家园的小编就给大家一一回顾下CAR-T疗法在各癌种中颇为出圈的临床研究,希望为各位癌友们提供新的治疗选择。
非小细胞肺癌CAR-T细胞治疗
PD-1敲除的CAR-T疗法首次用于肺癌
ESMO肿瘤免疫2018年大会上报道了全球首个PD-1敲除的MUC-1 CAR-T治疗晚期非小细胞肺癌初步研究数据,这项研究是由广东药科大学附属第一医院等单位合作开展的。
研究初步结果显示,PD-1敲除的MUC-1 CAR-T治疗安全,可耐受,部分患者肿瘤明显缩小,所有入组患者的症状均有所改善。
【组合免疫疗法1+1>2】
此项研究选择的抗原是MUC-1,研究发现70%以上的非小细胞肺癌患者MUC-1均异常表达,是非小细胞肺癌CAR-T疗法的理想靶点。
【研究结果】
ESMO大会报道了6例入组患者的数据,输注CAR-T细胞后的头2周,所有患者的症状均有明显改善,肿瘤显著缩小,其中一例患者肿瘤尺寸由25x19x22mm 缩小到14x10x26mm。安全性方面,没有观察到细胞因子释放综合症(CRS),而且所有患者都没有记录到其他不良反应。
EGFR为靶点的CAR-T治疗晚期难治性NSCLC
301医院在国内率先开展CAR-T疗法,成果显著。韩为东教授曾报道过利用EGFR为靶点的CAR-T治疗EGFR表达强阳性(EGFR表达超过50%)的晚期难治性的非小细胞肺癌患者。
研究结果显示,其中11例患者疗效可评价:2例患者肿瘤明显缩小,5例疾病稳定。
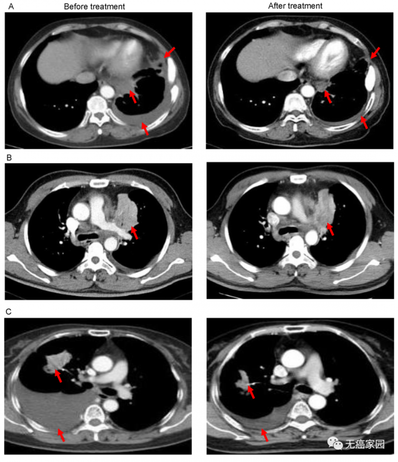
图A中患者1在输注CAR-T细胞后,通过CT扫描显示其胸腔积液减少,转移性肺门淋巴结和胸膜结节轻度缩小(箭头)。
图B中CT图像显示患者8的原发性肿瘤缩小(箭头);
图C中CT检查发现CAR-T治疗后患者9的胸腔积液吸收和肺部病变明显消退。

肝癌CAR-T细胞治疗
晚期肝癌也有救!中国人专属的CAR-T临床试验,再现曙光
以GPC3为靶点的CAR-T细胞治疗晚期肝细胞癌(HCC)的I期临床研究结果“面世”:治疗的安全性和有效性均获得了令人期待的结果。
截止到2019年7月24日,共有13例患者接受了CAR-GPC3 T细胞。所有患者均为GPC3阳性,均接受过手术治疗、局部治疗或全身性的系统治疗,都携带乙型肝炎病毒(HBV)。
其中有2例患者获得部分缓解(PR),所有患者6个月、1年和3年的生存率分别为50.3%、42.0%和10.5%,中位生存时间(OS)为278天(39.7周)。
典型病例
这两例患者生存时间分别是20.5个月(图P13)和44.2个月(图P3),其中一例疾病稳定的患者至今生存期将近4年!
卵巢癌CAR-T细胞治疗
无进展生存5个月,生存达17个月!新型CAR-T疗法成效显著
2月18日,国际一流学术期刊《癌症免疫治疗杂志》刊登了关于中国医学研究者采取CAR-T自分泌PD-1抗体用于实体肿瘤治疗的研究成果。临床数据显示,一名晚期难治性卵巢癌患者采用这种治疗手段后,无进展生存5个月,生存达17个月。
此文也是国际上第一篇使用CAR-T自分泌PD-1抗体用于实体肿瘤治疗的临床数据文章。PD-1/PD-L1抑制剂对PD-1的阻断作用可以显著增强CAR-T细胞的抗肿瘤功效和反向免疫抑制。
在这项研究中,化疗失败史的卵巢癌患者接受了与阿帕替尼组合的两次αPD-1-mesoCAR-T细胞输注。MRI观察到肝转移结节的协同抑制作用。该患者获得部分缓解,生存了17个月,并有轻微的副作用。结果表明,CAR-T细胞与阿帕替尼的组合将成为治疗晚期/难治性卵巢癌的新治疗方法。
胃癌及胰腺癌CAR-T细胞治疗
CAR-T挑战实体瘤!治疗胃癌及胰腺癌有效率达33%
在实体肿瘤领域,中国取得了备受世界瞩目的成绩,研发出了国际上首个靶向Claudin18.2的实体瘤CAR-T疗法。
Claudin18.2(CLDN18.2)是一种胃特异性膜蛋白,被认为是胃癌和其他癌症类型的潜在治疗靶点。基于此,中国研究人员开发了国际上首个针对 Claudin18.2 的 CAR-T 细胞。
2019 ASCO年会上,CAR-Claudin18.2 T 细胞治疗胃癌/胰腺癌的临床数据更新显示,靶向claudin18.2 CAR T细胞治疗12例转移性腺癌(胃癌7例,胰腺癌5例),未发生严重不良事件、治疗相关死亡或严重神经毒性。11例评估对象中:1例(胃腺癌)完全缓解;3例(胃腺癌2例胰腺腺癌1例)部分缓解;5例病情稳定;2例病情进展;总客观缓解率为33.3%。
并且,CAR-Claudin18.2 T 细胞治疗胃癌的临床前研究成果显示,靶向Claudin18.2的CAR-T细胞在小鼠模型中可以完全清除胃肿瘤,且没有发生脱靶毒性。
结直肠癌CAR-T细胞治疗
生存期翻5倍!新型CAR-T疗法将开展人体试验
来自Jefferson Health的Sidney Kimmel癌症中心(SKCC)的研究人员表示,CAR-T细胞疗法可以成功杀死肿瘤(结直肠癌)并预防小鼠疾病模型中肿瘤的转移性生长。相关研究结果发表在《Cancer Immunology Research》期刊上,值得一提的是,发表在该期刊上的研究是进入到人体临床试验前的最后一步。
这款结肠直肠癌的肿瘤抗原称为GUCY2C。Jefferson药理学和实验治疗系主任,Scott Waldman博士将该抗原鉴定为结肠直肠癌的潜在生物标志物和治疗靶点。
为了更精准的模拟人类晚期疾病,在进一步的实验中,Snook博士及其同事还研究了发生肺转移的结直肠癌小鼠模型,这是结直肠癌患者发生转移的常见部位。结果显示:接受CAR-T治疗的小鼠在100天内存活,并且无转移,而对照组的平均存活时间仅为20天,这意味着接受CAR-T治疗的小鼠生存期是对照组的5倍!
乳腺癌CAR-T细胞治疗
CAR-T疗法打破僵局,三阴乳腺癌初迎曙光
2018年圣安东尼奥乳腺癌研讨会上,根据正在进行的I期研究的结果。CAR-T治疗晚期三阴乳腺癌(TNBC)获得了长期病情稳定,我们一起来看看具体研究情况。
西雅图华盛顿大学医学博士Jennifer Specht提供了7名表达ROR1的三阴性乳腺癌(TNBC)患者的数据,他们正在接受5个剂量水平的CAR-T细胞治疗。
所有接受治疗的患者(年龄范围27~67岁)至少有3线既往转移治疗的经历。3名患者接受多达9个前线治疗(1线代表一种方案,治疗无效换另一种方案,即2线,3线……),1名11个前线治疗。
最后的结果也令人惊喜,经CAR-T治疗后,患者的病情持续时间延长,一个达15周,另一个达19周,没有任何后续治疗方案的治疗效果超过CAR-T细胞。
另外,有一个患者第一次回输CAR-T后病情稳定,第二次回输后部分应答持续14周之久(对于晚期三阴乳腺癌,延长一周生存期就很不容易了!)。(想了解更多CAR-T国内外前沿临床研究信息请持续关注无癌家园网站)
国内CAR-T细胞治疗实体瘤临床研究进行中
除了上述提到的比较突出的研究外,CAR-T治疗实体瘤的主要靶点还包括ALPP、MSLN、MAGE-A4、ADAM12、CD205等。目前国内正在积极开展实体瘤的CAR-T临床研究,多达14种癌症。若想参加可以咨询无癌家园(400-626-9916)申请参与CAR-T实体肿瘤的临床试验。
近年来,科学家们已经做出了相当大的努力来开发新的方法实体瘤的障碍,并采用优化策略用于针对这些特定适应症的CAR-T疗法。我们期待着,越来越多的临床前/临床试验数据能够拼凑出一幅完整的拼图,充分展示CAR-T细胞疗法治疗晚期实体瘤的真正实力。
无癌家园网站提醒患者:
国内细胞免疫治疗技术,包括CAR-T细胞、树突细胞疫苗、NK细胞、TILs细胞、TCR-T细胞治疗、癌症疫苗等技术均处于临床试验阶段,未获准在医院正式使用。国内患者可以参加正规临床试验,在医生的监管下使用,无癌家园网不推荐患者贸然尝试任何医疗机构和研发机构的收费治疗。
本文为无癌家园原创,转载需授权
参考文献
1.https://jitc.bmj.com/content/9/2/e001162?rss=1#F1
2.https://stm.sciencemag.org/content/12/571/eabd61693.https://stm.sciencemag.org/content/13/578/eaba7308





发表评论