文章最后更新时间:2024-08-12 20:28:34,由春晓健康网负责审核发布,若内容或图片失效,请留言反馈!
CAR-T治疗血液肿瘤,CAR-T细胞免疫疗法治疗白血病无癌生存超过10年的患者因为新冠走了
就在2月17日,小编在国外平台得知一个不幸的消息,全球首个接受CAR-T治疗的成年白血病患者Bill Ludwigs在成功抗癌10年后,却无法战胜COVID-19(新冠病毒肺炎),享年75岁。

无癌存活超10年!比尔的白血病靠免疫疗法彻底打败!
Bill Ludwigs已经成功存活超过10年!重点强调的是无癌生存10年!据悉Bill Ludwigs曾经患的是慢性淋巴性白血病。

Bill Ludwigs是一名来自美国新泽西州的退休狱警,当他被确诊患有慢性淋巴性白血病后,便开始漫长的抗癌之路,这一晃就是十年之久,经过手术、化疗等治疗依旧没法好转,还可惜的对化疗产生了耐药。更惨的是,由于经过太多次的化疗,让他产生了副作用——白细胞飙升,进而无法进行骨髓移植。
当时的Bill Ludwig万念俱灰,别无选择,不管免疫疗法奏不奏效,这是他唯一剩下为之一搏的治疗方法了!
在宾夕法尼亚医学大学,免疫学家Carl June医学博士正在多年的研究基础上,研究表明免疫系统可以靶向并消灭癌症。直到2010年8月,Bruce Levine教授和Carl June教授的研究小组才确定了他们的第一位患者——Bill Ludwig。
研究人员从Bill体内提取了他的免疫细胞T细胞,并通过从人类、小鼠和奶牛中选取的DNA经过基因工程进行改造,形成CAR-T细胞。

两周后,这些细胞生长了700倍,并准备好重新引入比尔的血液中,以便于更快地生长。在第一次治疗的一周后,Bill出现了严重的副作用,但在一个月后,他体内的癌细胞逐渐消失,白血病也消失了。每个回输的CAR-T细胞至少消除了1000个癌细胞!

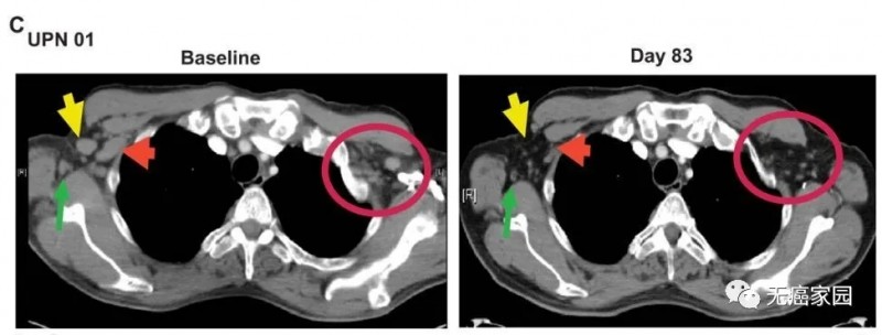
据悉,与Bill一同接受治疗的还有两位白血病患者,三人中,仅在单次治疗后就有两名患者体内的癌细胞被完全清除,呈现完全缓解,另一例为部分缓解。以下是一位患者接受治疗83天后的对比图,可见疗效格外令人惊艳!

淋巴瘤患者完全恢复健康已9年,全球第二个CAR-T疗法不同凡响
2017年10月13日,《华尔街日报》发文:免疫疗法治疗癌症又获新动力。其中提到了一位名叫Eric Karlson的患者,是55岁的海洋建筑工人,他罹患的是非霍奇金淋巴瘤。

《华尔街日报》发文:癌症获得动力的免疫疗法治疗
2002年,Eric感到脖子上有一个肿块,检查结果是非霍奇金淋巴瘤。之后Eric加入到国家癌症研究中心Dr. Rosenberg的临床试验当中,应用免疫治疗方案。据文章报道截止,他已经完全恢复健康将近九年了,Dr. Rosenberg告诉他现在不需要每年都来复查了。
Eric应用的免疫疗法被称为axicabtagene ciloleucel(也就是Yescarta),是继诺华的CAR-T疗法kymriah获批之后,第二个获批的CAR-T疗法,已为无数对其他疗法抵制非霍奇金淋巴瘤患者带来了更多“治愈”希望。

血液肿瘤治疗界的"抗癌利器"——CAR-T疗法
CAR-T疗法先驱Carl June博士曾经在采访中对CAR-T细胞疗法拆分为两部分进行解读:
T细胞(T淋巴细胞)在人体中扮演“战士”角色,负责抵御和消灭感染、肿瘤、外来异物等“敌人”。
CAR,中文学名“嵌合抗原受体”,发挥着类似定位导航的作用。
通过基因工程技术将T细胞激活,并装上“定位导航装置”CAR,专门识别体内肿瘤细胞,并通过免疫作用释放多种效应因子,高效地杀灭肿瘤细胞,从而达到治疗恶性肿瘤的目的。
无癌家园专家科普:CAR-T免疫疗法是如何工作的

Carl June称,过去CAR-T细胞疗法在全球只有3个临床的实验,而且都是在美国。“现在已经有400多个遍布全世界的临床实验,其中大多数是在中国和美国进行的。”
以急性白血病复发的小女孩Emily为例,她于2012年(6岁)进行注射,现在其体内仍有CAR-T细胞。“只要注入一次CAR-T细胞,就可以在人的身体存活终生,它在人体内的半衰期是70年。”

CAR-T细胞疗法是第一个细胞和基因疗法。虽然在甲状腺癌、乳腺癌等实体瘤领域的研究不甚顺利,但在白血病、淋巴瘤和骨髓瘤等肿瘤治疗的临床试验中都有积极的表现,尤其是针对晚期白血病。
“5年之内应该所有的血液肿瘤都可以通过CAR-T疗法进行治愈。”Carl June说道。
中国CAR-T细胞崛起!为国内患者带来新希望!
除了上述提到的关于血液肿瘤患者采用CAR-T治疗获得明显疗效的病例外,目前国内正在积极开展血液肿瘤及实体瘤的CAR-T临床研究。(想要参与血液肿瘤或实体瘤CAR-T疗法的患者请详情咨询无癌家园医学部400-626-9916)
CAR-T细胞免疫疗法的横空出世使广大肿瘤患者看到了希望,以CAR-T疗法为代表的细胞免疫治疗将是未来5~10年全球生物制药行业最热门的领域。小编相信在不久的将来,越来越多的临床试验数据将会不断涌现,CAR-T疗法不仅会在血液肿瘤领域大放异彩,在实体瘤方面也会日益彰显其蕴藏的实力!
参考文献
https://www.inquirer.com/obituaries/covid-19-claims-bill-ludwig-cancer-immunotherapy-pioneer-penn-20210217.html





发表评论