文章最后更新时间:2024-08-12 20:27:34,由春晓健康网负责审核发布,若内容或图片失效,请留言反馈!
淋巴瘤CART治疗,淋巴瘤CAR-T疗法让患者的肿瘤完全缓解
奇迹永远留给永不言弃与癌抗争的人
爱好广泛的劳里·阿达米(Laurie Adami)不幸罹患了非霍奇金淋巴瘤,自从她46岁确诊患癌以来,抗癌的15年间,尝试过7种疗法,其中6种无效,而且均复发,无计可施。
这是一场艰辛的考验,她体内的肿瘤已达到8磅(3.6千克),庆幸的是,在CAR-T细胞疗法的帮助下,她的癌细胞被完全消除!
自从她经历了改变人生的12年癌症之旅(尤其是CAR-T细胞冒险之旅)后,她决心变得足够强大,并希望与一群登山者一起徒步攀登珠穆朗玛峰。

艰辛的考验!抗癌12年,尝试6种治疗均复发
2006年,年仅46岁的劳里·阿达米(Laurie Adami)担任一家洛杉矶软件公司的总裁,长年出差旅行奔波劳碌,她开始遇到健康问题——极度疲劳。
随后她的症状逐渐开始显现,频繁的鼻窦感染和支气管炎以及颈部肿胀,眼睛也变得非常干涩。经过腹部CT扫描等多轮检查,最终对腹部肿块进行活检,发现她患有IV期滤泡性非霍奇金淋巴瘤。
患者可能会发现更明显的淋巴瘤体征,而其他患者则微妙或隐蔽,主要包括以下症状:
1、您会感觉到淋巴结重大,颈部、腋窝、上胸部、腹股沟或腹部可能会出现一个或多个通常无痛的淋巴结肿大。
2、持续的疲劳;
3、气促;
4、无法解释的体重减轻;
5、盗汗。
阿达米再次进行复查,证实了IV期滤泡性淋巴瘤的诊断,这种疾病蔓延至她的骨髓,左眼的问题是由于淋巴瘤侵犯了她的泪管所致,影像学检查显示她的肺部受累于该疾病。
当听到第三位医生的建议时,“实不相瞒,你两年后活着的机会可能是50%”,阿达米回忆道。为了5岁的儿子,她决定放手一搏,在2006年至2017年之间,她尝试了6种不同的疗法,包括:
1)蛮力化学疗法R-CHOP(几种静脉注射化疗药物与利妥昔单抗的组合):并在完成6个周期后获得完全化解,可悲的是仅3个月后复发了。
2)伏立诺他:一种靶向酶抑制药物,完成12个周期的伏立诺他和利妥昔单抗,起初肿瘤有所缩小,但最终疾病开始复发。
3)苯达莫司汀为静脉化疗,除了服用利妥昔单抗外,她每月接受12次苯达莫司汀输注以缩小肿瘤。
4)静脉注射托西莫单抗放射性同位素或物质来治疗癌症。
5)进行一项名为Zydelig口服激酶抑制剂的临床试验:可惜的是7个星期内,她换上了克罗恩氏病。
6)输注第三代单抗隆抗体Gazyva 10次,但还是复发了。
奇妙!CAR-T疗法让她绝处逢生,至今18个月无癌
就在2012年,阿达米得知了一种新兴的实验性血液肿瘤的治疗方法,称为CAR-T免疫疗法。这种免疫疗法是将患者自身的T细胞进行基因修饰,可以更好地对抗某些患者的癌症。将T细胞从患者体内取出,在实验室中进行修改,然后重新注入患者的血液中。
可以说,CAR-T疗法是几种淋巴瘤研究途径中最有前途的。直到2018年阿达米有资格接受新的CAR-T滤泡性非霍奇金淋巴瘤试验,此时她体内的癌症已经达到8磅(3.6千克)。2018年6月中旬,在实验室中收获了她的T细胞,对其进行了基因改造和扩增,最后大约有十亿个细胞。
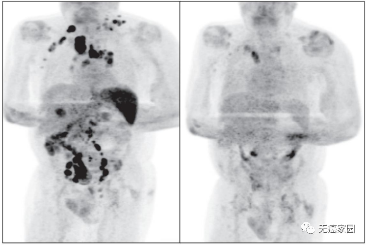
虽然期间有轻微的CAR-T疗法副作用,但神奇的是,短短的30天内,她的肿瘤完全消失。在附加的图像中显示了巨大的变化,左侧是取回CAR-T细胞前1周的扫描,右侧是1个月后的扫描。

2020年7月,阿达米进行了为期2年的CAR-T PET扫描,并完全缓解!现年61岁的她感觉自己挑战了人生的巨大困难,并打算对珠穆朗玛峰的攀登发起挑战!
带你了解大名鼎鼎的"治愈性"CAR-T疗法
提到大名鼎鼎的CAR-T,现在应该已经几乎无人不知,CAR-T是近两年涌现出的“治愈性”抗癌疗法。目前,FDA批准的三款CAR-T原理均为将患者的T细胞进行基因修饰表达一种旨在靶向抗原CD19的嵌合抗原受体(CAR),CD19是一种表达于多种血液肿瘤细胞表面的抗原蛋白,包括B细胞淋巴瘤和白血病细胞。

据无癌家园专家讲解,CAR-T细胞全称为嵌合抗原受体T细胞。CAR-T细胞疗法的基本原理就是提取患者自身的关键免疫细胞——T细胞,给它嵌入一种嵌合抗原受体(CAR),该受体能够在识别肿瘤细胞表面抗原的同时,激活T细胞杀死肿瘤细胞。打个比方说,T细胞如果是一支“普通军队”,那么CAR-T细胞就是一支拥有GPS的“特种部队”,能够精准定位到“敌军”即肿瘤细胞的位置,并将其歼灭,实现对患者的靶向治疗。目前,该技术已经达到国内领先、国际一流水平。

CAR-T治疗流程:
获取T细胞-加工CAR-扩增T细胞-回输
CAR-T疗法在血液肿瘤治疗方面的研究已经非常成熟,尤其给血液系统恶性肿瘤患者带来了重生的希望。
无癌家园招募
目前,有一款靶向CD20复发难治非霍奇金淋巴瘤的CAR-T疗法正在招募中,详细入排标准请咨询无癌家园医学部。
部分入组标准:
1.年龄18~75岁;
2.患有如下非霍奇金淋巴瘤,既往接受过治疗,
a.弥漫大B细胞淋巴(DLBCL)
b.滤泡淋巴瘤(FL)
c.套细胞淋巴瘤(MCL)
d.小淋巴细胞淋巴瘤(SLL)
3.既往未曾接受异基因干细胞移植治疗、基因治疗、CAR-T治疗
无癌家园招募
目前,有一款针对复发/难治CD4阳性T细胞淋巴瘤的CAR-T产品正在招募中,若想尝试可咨询无癌家园医学部(400-626-9916)进行评估。
部分入组标准:
1.年龄18~75岁;
2.患有外周T细胞淋巴瘤(PTCL),既往接受过治疗
3.既往未曾接受异基因干细胞移植治疗、CAR-T治疗
小编有话说
本文提到的61岁的劳里·阿达米抗癌15年复发6次,最终采用CAR-T疗法获得完全缓解的效果,这是意外之喜也是对不放弃治疗的奖励!
无论是血液肿瘤还是实体瘤,基于目前的标准疗法,治疗效果并不理想,仍然会有复发转移的可能,特别是晚期癌症患者。而CAR-T细胞治疗的出现,将给更多的晚期癌症患者带来长期生存的希望和奇迹。我们共同期待中国CAR-T细胞疗法能够取得优异的成绩,造福大众!
参考文献
https://abc7.com/cancer-mount-everest-training-lymphoma/5873740/





发表评论