文章最后更新时间:2024-08-12 20:26:45,由春晓健康网负责审核发布,若内容或图片失效,请留言反馈!
儿童质子治疗成功案例,儿童肿瘤质子治疗的优势,质子可以治疗哪些儿童肿瘤
平时我们讲的最多的是成人肿瘤,很多人都忽略了儿童也会发生肿瘤,实际上,各年龄段、全身各个部位均可能患癌症。儿童肿瘤更是被称为“隐形杀手”。
根据国际儿童肿瘤学会调查发现,近10年来,每年儿童肿瘤发病率均以2.8%速度增加,新发病例约为2.2万人/年。除了意外创伤以外,恶性肿瘤已经成为造成儿童死亡的第二大死因,严重危害了儿童及青少年的生命。
白血病、脑肿瘤、淋巴瘤是儿童恶性肿瘤高发病种,1-3岁儿童患肝母细胞瘤、肾母细胞瘤、恶性生殖肿瘤几率更高,7岁以上儿童多见肉瘤等肿瘤。
击败传统放疗,质子治疗或成为儿童脑瘤"治愈"新希望
在众多儿童肿瘤中,脑瘤是最常见的肿瘤,在小儿恶性肿瘤中发病率仅次于白血病。相对于成年人来说,儿童的正常组织对辐射更加敏感,很多儿童治疗后都有较长的生存期,因此远期的生活、生存质量非常重要。但是经放疗后,更可能产生各种副作用:如发育迟缓、激素不足、骨髓抑制等。
对于脑瘤患儿、尤其是其中无法手术的患儿,质子疗法是最重要的治疗手段。常规手术与放射疗法可能残留失明、脑组织损伤等严重的后果,但质子疗法能够有效避免这些损伤。因此,对于儿童实体瘤,质子治疗是治疗的理想方案!
许多国际临床研究曾报道过质子疗法治疗脑瘤具有显著临床疗效。
01、肿瘤消失90%,3年无复发!2位脑膜瘤儿童质子治疗后重生!
近期,由欧洲儿童脑瘤治疗团队发布在《Pediatric Blood & Cancer》上的最新临床研究中,展示了质子治疗儿童脑膜瘤的显著临床效果,其中有两例关于侵袭性儿童脑膜瘤患者的质子治疗的临床案例,充分地显示质子治疗对于儿童脑瘤是一种安全且有效的新选择!

01)1号患儿案例
1岁脑膜瘤男孩,质子治疗后肿瘤持续缩小,3年多无复发,无副作用,且认知发育正常
患儿4个月时手术活检查出:浸润性透明细胞脑膜瘤(WHO II级),Ki67增殖指数为7%。1岁时肿瘤持续增大,年龄太小无法手术切除,遂采用质子治疗。
通过观察:质子治疗后39个月后的复查核磁结果,显示肿瘤得到控制,H显示肿瘤体积肉眼可见缩小90%。

02)2号患儿案例
7岁男孩确诊非典型脑膜瘤,质子治疗后肿瘤明显减小,近3年无复发,且认知发育正常
7岁男童,反复出现严重的头痛发作,伴有跌倒、震颤和尿失禁,后被确诊为非典型脑膜瘤(WHO II级),Ki67增殖指数为18%。曾实施两次手术,并于术后45天进行质子治疗。患儿对质子治疗耐受良好,除治疗区域的部分脱发外,未观察到毒性(即神经系统症状)。
A~C显示患儿最初脑内的额叶占位,并伴有病灶内出血。D~F显示患者第二次手术后脑内仍有残余肿瘤,G~I显示质子治疗后肿瘤消失90%,近3年未见复发。

02、97%的患儿5年内免于复发,10年大样本数据力证质子治疗脑瘤的高光时刻
既往虽然已有小规模研究报道了质子治疗神经母细胞瘤的疗效,但以往的研究只纳入少量患者,且随访时间很短。
就在2019年6月《国际放射肿瘤学》杂志上发表了费城儿童医院和宾夕法尼亚大学佩雷尔曼医学院的研究人员迄今为止用质子放射治疗高危神经母细胞瘤患儿的最大队列研究,结果发现质子治疗可有效减少肿瘤的同时对周围器官的毒性最小。
1)研究方法
研究纳入了2010~2015年间在费城儿童医院/宾夕法尼亚大学Roberts质子治疗中心接受治疗的45例高危神经母细胞瘤患儿,其中40例患儿的肿瘤位于肾上腺,5例位于胸部。
所有患儿在自体干细胞移植治疗后接受质子治疗,26例患儿接受笔形束扫描(PBS)质子治疗,19例接受双散射(DS)质子治疗,其中2例联合X线调强放疗(IMXT);11例患儿接受剂量递增治疗,8例患儿接受转移灶照射。
2)研究结果
与X线调强放疗(IMXT)相比,笔形束扫描(PBS)质子治疗具有更优的剂量适形性及靶区覆盖情况。
患者自诊断开始的中位随访时间为48.7个月(11~90个月),37例(82%)患者存活,32例(71%)处于无病状态。3年、4年及5年无局部复发生存率为97%。
3年、4年及5年无事件生存率分别为77%、70%和70%;3年、4年及5年总生存率分别为89%、80%和80%。12例患儿出现远端、非照射部位复发,不伴有局部复发。
3)研究结论
总而言之,接受质子治疗的原发性神经母细胞瘤患者具有良好耐受性及理想的局部控制率,并且质子治疗联合其他一线药物的治疗效果也是未来的研究方向。
该研究表明,儿童神经母细胞瘤使用质子治疗的最大效益在于减少脑部正常组织构造的损伤,进而降低长期伤害。
与传统形式的辐射相比,质子束会到达肿瘤内部的精准位置而不是沿着光束离开人体的路径释放大部分辐射剂量。实际上,质子没有肿瘤之外的辐射“退出剂量”,这意味着质子停在肿瘤上,不会继续伤害身体的健康部位。
典型病例
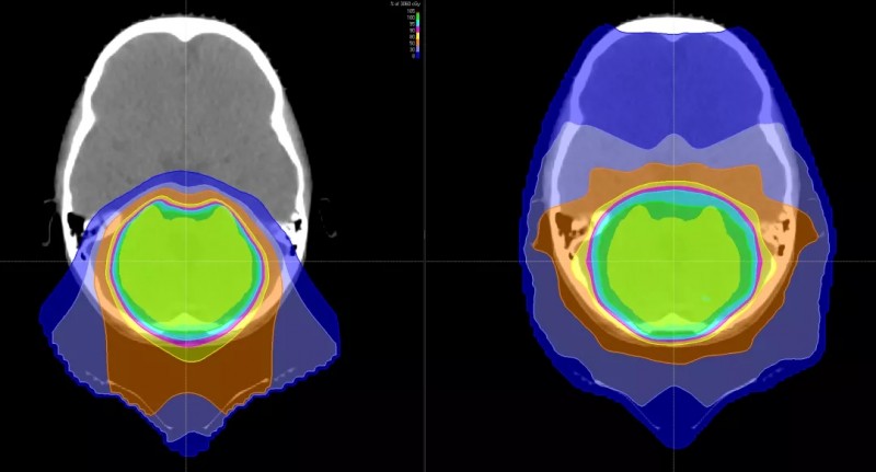
除此之外,有临床研究中的有一则典型案例,1例3岁的神经母细胞瘤患儿在使用质子治疗后,其对患者正常肝、肺和心脏的放射剂量比X射线治疗减少100倍!更重要的是,质子治疗不仅降低了患儿先前因化疗而增加的肺毒性风险,也降低了她的肝脏和肾脏毒性风险,让她在完成放疗后可以迅速接受所需的免疫治疗。后来,该患儿耐受放射线,无临床毒副作用,目前无病。

使用质子(左)与X射线治疗(右) 质子治疗对周围重要器官损伤更少
质子治疗到底是何种"黑科技"
质子疗法是一种强大、安全的替代疗法,它可以使更多的儿童受益于放射治疗。质子作为带正电核的粒子,以极高的速度进入人体,由于其速度快,故在体内与正常组织或细胞发生作用的机会极低,当到达癌细胞的特定部位时,速度突然降低并停止,释放最大能量(产生Bragg峰),将癌细胞杀死。

质子治疗是FDA批准的治疗方法,可将带正电荷的质子导向肿瘤目标
质子治疗治疗儿童脑瘤2大优势
1、降低二次癌症可能性
常规放射线治疗在人体浅表处剂量高,具有穿透人体的特点,照射面积广,因此它对健康组织的辐射也是一个致癌原。有数据显示,传统放疗(X线)对儿科肿瘤来说,出现由放射导致的二次肿瘤的风险达是25%,质子在肿瘤外部所释放的放射源以及二次癌症的可能性被降低,这对儿童来讲是十分重要的。
2、对肿瘤周围组织损伤小不影响生长发育
随着儿童癌症治疗进步,儿童的存活率上升,存活下来的儿童患者日后之生活品质越来越受到关注,质子治疗具备能够减少散射剂量的优势,提升对肿瘤局部的控制,同时由于脑部神经组织多,易受辐射损害。质子治疗因具有布拉格峰的物理特性,使峰值部位对准肿瘤病灶处,发出最高剂量,产生最高峰,达到最佳杀瘤效果;峰后剂量趋于零,对周边脑组织几乎无影响。对于儿童脑瘤,可以避免有常规化疗引起的听力丧失、认知功能障碍、智力影响等。


质子治疗儿童脑瘤2大优势
1.降低二次癌症可能性
2.对肿瘤周围组织损伤小不影响儿童生长发育
儿童脑瘤质子治疗适应症范围广泛
颅咽管瘤、室管膜瘤、髓母细胞瘤、神经母细胞瘤、视网膜母细胞瘤、颅底瘤、视神经脑膜瘤、胶质瘤。
其他儿童脑瘤质子治疗的临床效果
1、胶质瘤:质子治疗不可切除或手术后残留的低级别胶质瘤8 年无进展生存率 (PFS) 为 82.8%,且与传统放疗相比,质子治疗可保留胶质瘤患儿的阅读能力,降低严重的毒副作用;
2、髓母细胞瘤:髓母细胞瘤放疗需要进行全脑全脊髓照射(CSI),会产生严重的毒副作用,包括智力迟钝、身材矮小和听力损失等。研究显示质子治疗髓母细胞瘤的6 年无进展生存率(PFS) 为78.8%,与传统放疗无明显差异(76.5%),但显著降低了对重要颅内结构的损伤,保留了智力。
3、室管膜瘤:质子治疗室管膜瘤的5年总生存率(OS)为84%,且与调强放疗(IMRT)相比,质子治疗后,室管膜瘤患儿的智力发育指数下降不明显,有效避免了听力损失;
4、生殖细胞瘤:生殖细胞瘤对放疗敏感,常用照射方案为全室照射(WVI)。采用质子治疗进行全室照射降低了对正常大脑组织的放射剂量;
5、颅咽管瘤:质子治疗颅咽管瘤的效果与传统放疗相似,但质子治疗降低了对脑部正常组织、耳蜗、下丘脑的放射剂量,能够更大限度地减少放疗后患儿的智力下降。
理性看待质子重离子治疗
尽管目前质子治疗费用较高,但随着技术的普及,小编相信这一新技术必将逐步降低而惠及大众。尤其是我国部分地区将质子治疗纳入医保的进程正在加速,相信不远的将来,会有更多癌友用上这一先进的抗癌新技术。
在质子重离子治疗领域,目前全球范围内比较发达的国家是德国、日本、美国等国家。而我国也不甘落后,目前我国运营的比较知名的质子治疗中心共有4家,分布于淄博、兰州、上海、中国台湾。无癌家园质子专家会诊中心可为病友们进行权威质子方案评估。
此外,小编还要提醒患者,在精准医疗时代,癌症的治疗毫无疑问应当更加个性化,不能只局限于一种疗法、一种技术。质子治疗也不能“包治百病”,而是癌症综合治疗的可选择手段之一。充分结合手术、药物治疗、放射治疗等多种手段对患者进行综合治疗,才是患者获得更好预后的保障。
参考文献
https://onlinelibrary.wiley.com/doi/10.1002/pbc.28919





发表评论