文章最后更新时间:2024-08-12 20:25:54,由春晓健康网负责审核发布,若内容或图片失效,请留言反馈!
2015年7月10日,美国国家癌症研究院(NCI)宣布史上最大精准医学临床试验开始招募病人,这个实验将招募1000名癌症患者,将同时研究20多个靶向药物(包括已上市和尚在临床研究阶段的药物)在癌症基因突变或过度表达人群的疗效。这将进一步巩固和提高美国在癌症基因研究、检测和癌症靶向治疗水平的领先地位。
美国是癌症基因检测和靶向治疗最发达的国家,拥有最先进的基因检测公司和技术,全球领先的癌症治疗中心和专家和研发的抗癌靶向药物。癌症患者通过癌症全基因检测(不是国内的部分基因检测)和大数据分析,会帮助大约82%的患者找到靶向治疗药物或临床试验药物。
现病史:
患者55岁,女性,临床表现为左胸壁有一肿块,最大处超过6cm。肿瘤组织活检采样,病理检验结果为:梭状细胞增殖,初步诊断为恶性梭状细胞瘤2级(图1,A和B)。免疫组化结果为:S-100和CD34均为阳性(图1,C和D)。在高倍视野中,每个视野可见6/10有丝分裂相,但未见坏死。根据FNCLCC指南对软组织肉瘤的组织病理学分级,此例难以确诊的肿瘤应属中级。
患者最初用75mg/m2阿霉素(Adriamycin®)和10g/m2异环磷酰胺(Ifex®)进行治疗,但在进行两个疗程后病情恶化,因此改用900mg/m2吉西他滨(Gemzar®)和100mg/m2多西他赛(Taxotere®)进行治疗。两个周期后病情进一步恶化。
基因检测和治疗方案:
患者肿瘤组织被送往美国基因检测公司,采用新一代测序技术(NGS)的进行基因检测。检测结果显示,患者PTEN的纯合子缺失,且产生了KIAA1549-BRAF融合基因。其它基因组改变包括:CDKN2A A68fs*51、SUFU E283fs*3和MAP3K1 N325fs*3移码插入/缺失。
临床试验:患者参与了贝伐单抗、替西罗莫司联合索拉非尼治疗晚期癌症的I期临床试验(临床试验编号:NCT01187199)。索拉非尼是一种小分子激酶抑制剂,对BRAF, VEGFR 1/2/3, PDGFRB, RAF等信号通路均有一定作用,并能抑制KIAA1549-BRAF的活性。KIAA1549-BRAF和PTEN缺失均可过度激活mTOR通路。因此,索拉非尼联合替西罗莫司共同抑制BRAF和mTOR通路,有可能克服组织对BRAF单一靶向治疗的耐受。
该临床试验的方案为:每天口服两次200mg索拉非尼,第1、8和15天静脉注射20mg替西罗莫司,每21天静脉注射10mg/kg贝伐单抗。
疗效:
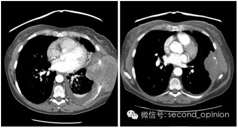
治疗两个周期后,患者肿瘤的最大线性测量值减少25%(图2,A和B),病情稳定且指标仅低于部分缓解的标准。继发性胸部疼痛减轻,呼吸困难有所缓解。治疗过程中,贝伐单抗引起的高血压(3级)需要进行对症治疗,患者因索拉非尼引起的2-3级手足综合征而将索拉非尼的剂量降低至每天200mg。除此之外,病人对治疗的耐受程度较好,治疗持续了7个月。
临床试验:患者参与了贝伐单抗、替西罗莫司联合索拉非尼治疗晚期癌症的I期临床试验(临床试验编号:NCT01187199)。索拉非尼是一种小分子激酶抑制剂,对BRAF, VEGFR 1/2/3, PDGFRB, RAF等信号通路均有一定作用,并能抑制KIAA1549-BRAF的活性。KIAA1549-BRAF和PTEN缺失均可过度激活mTOR通路。因此,索拉非尼联合替西罗莫司共同抑制BRAF和mTOR通路,有可能克服组织对BRAF单一靶向治疗的耐受。
该临床试验的方案为:每天口服两次200mg索拉非尼,第1、8和15天静脉注射20mg替西罗莫司,每21天静脉注射10mg/kg贝伐单抗。
疗效:
治疗两个周期后,患者肿瘤的最大线性测量值减少25%(图2,A和B),病情稳定且指标仅低于部分缓解的标准。继发性胸部疼痛减轻,呼吸困难有所缓解。治疗过程中,贝伐单抗引起的高血压(3级)需要进行对症治疗,患者因索拉非尼引起的2-3级手足综合征而将索拉非尼的剂量降低至每天200mg。除此之外,病人对治疗的耐受程度较好,治疗持续了7个月。

图1. 肿瘤活检组织病理学检查。(A)低倍镜(100×)。肿瘤细胞为梭状细胞。(B)高倍镜(400×)。短的不规则的梭状细胞少见有丝分裂相。免疫组化研究表明该肿瘤为S-100阳性(C)和CD34阳性(D)。

图2. 治疗前后影像学结果。A:治疗前胸部CT扫描:左侧胸壁肿瘤侵入肋骨,及左侧胸腔积液。B:治疗后胸部CT扫描:肿瘤体积和胸腔积液均降低。
癌症全基因检测:
研究表明,罹患癌症时发生的基因改变不同,对药物的反应也不同。靶向药物能够特异地作用于引起肿瘤生长的基因,因而有更好的疗效。在已经发现的数百个致癌基因中,每个基因又有可能发生很多种不同的改变,所以每个癌症患者的基因改变都是独特的。基因检测可以帮助患者和医生指导治疗和发现新的治疗方法。
在癌症基因检测患者中,有82%的检测结果后来被用于实际的治疗中,包括:1. 找到一个已经批准的、针对患者肿瘤基因改变的治疗措施;2. 找到一种已经批准用于相同基因改变的其它类型癌症的新药,这样的药物很可能对患者的肿瘤也有显著疗效;3. 找到一个临床试验,所使用的试验药物尽管不直接作用于患者肿瘤发生改变的那些基因,但作用于相关的信号通路,因而也可能会有很好的疗效。





发表评论