文章最后更新时间:2024-08-12 20:25:16,由春晓健康网负责审核发布,若内容或图片失效,请留言反馈!
质子治疗在妇科肿瘤放疗中的应用
质子治疗在越来越多的癌症患者中证明有较好的获益和更少的副作用,常规用于许多癌症类型,包括儿童癌症、头颈部癌症、前列腺癌以及再程放疗等。虽然缺乏高质量的Ⅲ期数据,但目前有多项随机试验正在研究质子治疗的获益。发表在《国际妇科癌症杂志》上的一篇回顾《质子治疗在妇科肿瘤放射治疗中的应用》根据质子治疗的历史、剂量、临床数据和技术需求,探讨质子治疗在妇科肿瘤中的应用前景。

盆腔放疗:调强放疗与质子治疗的比较
盆腔放疗时会给胃肠道、泌尿生殖系统和血液系统带来毒性,调强放射治疗是治疗局部晚期宫颈癌、骨盆癌术后和外阴癌的标准治疗方法之一。但调强放射治疗递送存在不确定性,会将部分放射线分散到身体其他部位,在临床上具有不确定的危害。质子治疗可减少越过靶区进入正常组织的低剂量放射线。增加小肠的中、低剂量放射暴露,会增加慢性晚期肠毒性。但调强放疗比质子治疗便宜,因此,在妇科癌症中,比较研究质子治疗和调强放疗的价值非常有必要。
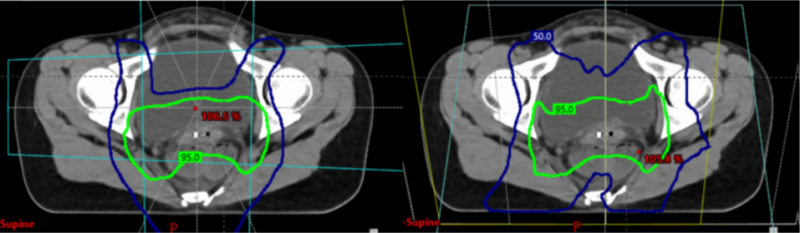
有一项纳入10例患者的剂量学研究,比较了调强放疗、被动散射和笔形束扫描(PBS)。在研究中,与调强放疗相比,使用任何一种质子治疗技术都可减少小肠、肾脏和脊髓的高剂量和低剂量放射暴露(图1)。PBS质子治疗可减少盆腔骨髓、小肠和大肠在放射治疗中的暴露,降低小肠、膀胱和直肠的平均剂量,还可减少卵巢的暴露,保留内分泌功能和防止过早绝经。但质子治疗时,肠道气体、身体状态变化、内部器官运动和硬件植入(如髋关节置换)等因素增加了腹腔、盆腔器官治疗的不确定性。此外,缺乏高质量的成像限制了质子治疗的广泛应用。

图1.质子治疗(左)与调强放疗(右)。95%的处方剂量(绿色)表明两种方案中阴道和淋巴结周围的适形性相当。50%处方剂量线(蓝色)显示质子治疗对正常器官的剂量低于调强放疗。
质子治疗目前缺乏前瞻性的临床试验数据。海德堡大学已经启动了一项单中心、单臂Ⅱ期研究评估质子盆腔放疗的安全性和耐受性,患者将接受45~50.4 Gy的治疗,每天1.8 Gy,每周5~6次。结果显示术后骨盆患者不存在3级或更高毒性。表明质子治疗对妇科术后患者是可行的,可减少急性毒性,并同时保持较好的局部控制率。
局部晚期宫颈癌放疗
虽然使用质子治疗局部晚期宫颈癌的临床数据有限,但许多已发表的研究表明质子治疗局部晚期宫颈癌的潜在好处较多。在使用高度适形治疗(如调强放疗或质子治疗)治疗局部晚期宫颈癌时,可以通过结合治疗期间每周变化获得的信息来克服子宫颈运动带来的靶区移动。质子治疗可以减少研究中所有危及器官的累积剂量,显著减少肠道和骨髓的放射剂量。
对于不能接受或拒绝近距离治疗的患者,质子治疗是一种可行的选择,但需要注意的是,由于靶区体积较小和宫颈可能发生较大的器官运动,导致质子治疗的不确定性很大,且缺乏大量临床数据。除了有限的临床系列报道外,大多数关于质子治疗局部晚期宫颈癌的报道仅限于规划研究或病例报道。与手术后使用质子治疗相似,局部晚期宫颈癌的质子治疗需要进一步的临床研究和改进,以确定患者可获得最佳疗效。
主动脉旁淋巴结放疗照射
妇科恶性肿瘤中,使用质子大范围放射治疗主动脉旁疾病是改善正常组织毒性的一个重要机会。3个或3个以上的盆腔淋巴结或髂总淋巴结受累会增加腹主动脉旁淋巴结受累的风险,考虑到肠、肾、脊柱和其他危及器官的放射暴露,这些淋巴结区域的治疗具有挑战性。我们的临床结果证明质子治疗用于肿瘤术后大范围治疗的可行性,早期睾丸精原细胞瘤患者常采用质子治疗主动脉旁淋巴结。与光子放射治疗相比,质子治疗可减少急性胃肠道副作用,质子治疗建模研究表明可能降低继发性恶性肿瘤发生风险。
妇科肿瘤放疗再程照射
妇科恶性肿瘤复发后通常预后不佳。再程照射需要考虑并发症带来的风险,尤其是危及器官会随着放射剂量的增加而增加并发症。质子治疗只有很少或没有超出靶区的放射剂量,因此可以对符合条件的患者进行再程照射。
在再程照射一项计划研究中,与光子治疗相比,质子治疗降低了骨髓的照射剂量。结果显示,三分之一的患者出现局部复发,中位随访时间为13.9个月,1例患者有3级淋巴细胞减少,但没有其他3级或4级毒性。说明质子治疗再程照射复发性盆腔肿瘤是可行的,考虑到复发和正常器官继发其他问题的持续风险,任何再程照射都必须在患者知情同意的情况下谨慎进行。
结论
质子治疗在妇科癌症的治疗的前景光明,主要是在降低治疗的发病率、允许更安全地增加照射剂量和再程照射方面。目前,可获得的临床资料表明,质子治疗有效且耐受性良好。
然而,需要更多的临床数据来推荐其常规应用于临床,如急性和晚期胃肠道和泌尿生殖系统毒性的改善。在调强放射治疗、近距离治疗和全身治疗方面的竞争改进将要求质子治疗达到一个更高的标准。
另外,质子治疗为再程照射提供了一个可行的选择。妇科恶性肿瘤的高质量质子治疗将需要使用现代技术和治疗递送,包括PBS、机载成像,以及治疗团队对一系列不确定性、解剖学变化和器官运动的详细关注。(质子中国 编译报道)
参考文献:Taunk N. The role of proton therapy in gynecological radiation oncology. Int J Gynecol Cancer. 2022 Mar;32(3):414-420.
内容来源:质子中国





发表评论