文章最后更新时间:2024-08-12 20:22:34,由春晓健康网负责审核发布,若内容或图片失效,请留言反馈!
儿童神经母细胞瘤放疗,神经母细胞瘤质子治疗拯救生命
今天,小编要给大家分享一则8岁男孩如何抗击神经母细胞瘤的故事。
罗曼·沃尔科夫(Roman Volkov)是一个好奇而活跃的8岁男孩,他热爱各项运动,尤其是打棒球,并且很喜欢在自家的农场玩耍。
然而,五年前,小小年纪的罗曼就被诊断出患有腹部4级神经母细胞瘤。突如其来的变故打破了一家人平静的生活。堪萨斯大学癌症中心的儿科血液学家和肿瘤学家Jyoti Panicker医师对罗曼进行了初始重症监护和密集的住院化疗。然后,她和放射肿瘤学家沈欣雷(医学博士)将罗曼转介到休斯顿,在那里她接受了质子治疗。
罗曼的母亲Karen Larson,很感激癌症中心的医师和质子疗法挽救她儿子的生命。尤其是最近评估结果非常喜人,罗曼一直处于缓解状态。

Karen补充道:“Panicker博士和Stephen Smith博士在罗曼病重的危急时刻提供了如此出色的建议和监督,并带领孩子进行治疗,实在是感激不尽。”
她继续说:“经过罗曼的这次治疗让她认识到质子治疗的重要性,因为它不会伤害肿瘤的周围组织,还能够减轻治疗中的副作用。”
癌症中心副总裁兼主任医师Terry Tsue医师则表示:“质子疗法是我们实践的精确医学的延伸,能够专注治疗每个患者的特异性癌症。”
患儿之痛,家长之忧,神经母细胞瘤危害之大
提到神经母细胞瘤许多患儿的家长都会头疼,这是一种在未成熟神经细胞中出现的肿瘤,占所有儿童癌症死亡的10%以上,几乎90%的神经母细胞瘤是在5岁以下儿童中发现的。同时,它也是儿童中第三种最常见的癌症类型,在10岁以上的人中很少见。
其中,原发性神经母细胞瘤通常起源于肾上腺,但可能累及副交感神经系统的其他解剖结构。位于肾上腺的神经母细胞瘤邻近肾、肝、胰腺及小肠;较为罕见的胸部神经母细胞瘤邻近肺和心脏。因此,既想照射剂量不影响身体的重要器官,又能获得有效的治疗可谓是难上加难。
通常情况下,神经母细胞瘤的治疗包括手术、化学疗法及放射治疗,其中放疗是最常见的治疗手段。
经统计,神经母细胞瘤的5年存活率为80%。然而,儿童的存活率取决于许多因素,特别是肿瘤的风险分组。对于低风险神经母细胞瘤患儿,5年生存率高于95%。对于中度风险神经母细胞瘤患儿,5年生存率在90%~95%之间。对于高危神经母细胞瘤,5年生存率约为40%~50%。这表明,神经母细胞瘤危害之大,极其凶险!
传统放疗技术易给患儿埋下诸多隐患
众所周知,儿童的身体尚处于成长发育阶段,传统放疗方法可能会给癌症患儿带来难以估量的伤害。放射治疗在根除肿瘤方面很有效果,但辐射本身也是一个致癌原,与成人患者相比,接受肿瘤治疗的患儿对辐射诱发肿瘤更为敏感。
例如,幼儿的脑部在0~3岁发展最为迅速,年纪越小接受放疗,5年内智商下降幅度逐渐增大。由于癌症患儿的存活率上升,放射疗法更长期的副作用可能在儿童成长的过程中陆续出现,甚至能在数年或数十年后增加第二原发肿瘤发生的风险。
质子治疗到底是何种"黑科技"
质子疗法是一种强大、安全的替代疗法,它可以使更多的儿童受益于放射治疗。质子作为带正电核的粒子,以极高的速度进入人体,由于其速度快,故在体内与正常组织或细胞发生作用的机会极低,当到达癌细胞的特定部位时,速度突然降低并停止,释放最大能量(产生Bragg峰),将癌细胞杀死。
儿童脑瘤的新选择——质子治疗
有研究表明,儿童神经母细胞瘤使用质子治疗的最大效益在于减少脑部正常组织构造的损伤,进而降低长期伤害。质子治疗是一种比其他任何形式的放射治疗更准确,更精确地靶向肿瘤,同时保留健康组织,目前全球最先进的一种放疗技术。通过质子治疗,可以最大限度地避免靶标外部的绝大多数不必要的辐射。
与传统形式的辐射相比,质子束会到达肿瘤内部的精准位置而不是沿着光束离开人体的路径释放大部分辐射剂量。实际上,质子没有肿瘤之外的辐射“退出剂量”,这意味着质子停在肿瘤上,不会继续伤害身体的健康部位。
典型病例
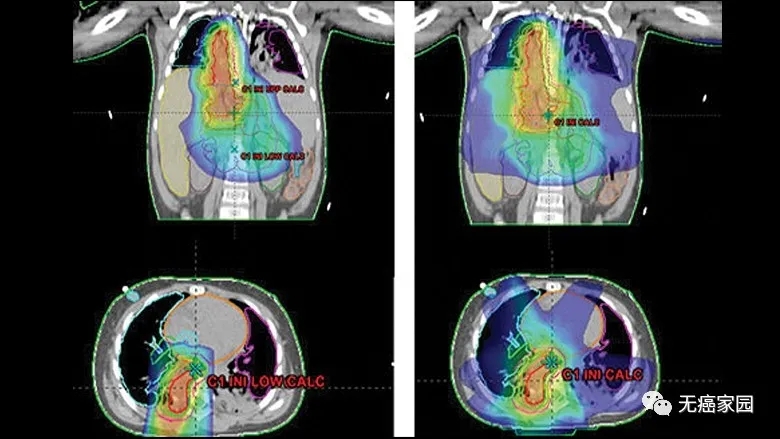
除此之外,有临床研究中的有一则典型案例,1例3岁的神经母细胞瘤患儿在使用质子治疗后,其对患者正常肝、肺和心脏的放射剂量比X射线治疗减少100倍!更重要的是,质子治疗不仅降低了患儿先前因化疗而增加的肺毒性风险,也降低了她的肝脏和肾脏毒性风险,让她在完成放疗后可以迅速接受所需的免疫治疗。后来,该患儿耐受放射线,无临床毒副作用,目前无病。

使用质子(左)与X射线治疗(右) 质子治疗对周围重要器官损伤更少
质子治疗治疗儿童脑瘤2大优势
常规放射线治疗在人体浅表处剂量高,具有穿透人体的特点,照射面积广,因此它对健康组织的辐射也是一个致癌原。有数据显示,传统放疗(X线)对儿科肿瘤来说,出现由放射导致的二次肿瘤的风险达是25%,质子在肿瘤外部所释放的放射源以及二次癌症的可能性被降低,这对儿童来讲是十分重要的。
2、对肿瘤周围组织损伤小不影响生长发育
随着儿童癌症治疗进步,儿童的存活率上升,存活下来的儿童患者日后之生活品质越来越受到关注,质子治疗具备能够减少散射剂量的优势,提升对肿瘤局部的控制,同时由于脑部神经组织多,易受辐射损害。质子治疗因具有布拉格峰的物理特性,使峰值部位对准肿瘤病灶处,发出最高剂量,产生最高峰,达到最佳杀瘤效果;峰后剂量趋于零,对周边脑组织几乎无影响。对于儿童脑瘤,可以避免有常规化疗引起的听力丧失、认知功能障碍、智力影响等。


儿童脑瘤质子治疗适应症范围广泛
室管膜瘤、颅咽管瘤、髓母细胞瘤、横纹肌肉瘤、神经母细胞瘤、视网膜母细胞瘤、视神经脑膜瘤、PNET/低级别胶质瘤次全切除术后;
质子可减少认知功能损伤、减少耳蜗剂量、减少听力损伤;
脑和脑干高级别胶质瘤,可用质子,但难以达到真正肿瘤边界,难以实现适形。
质子治疗的机会不容错过
对于质子治疗最简练的总结是安全、副反应小、疗效肯定。但是也不能盲目地认为质子治疗是癌症的克星,癌症治疗仍需要多学科综合治疗,选择权威的专家、医院,制定最适合自己的治疗方案才能达到好的治疗效果。若想了解更多关于质子治疗的相关国内外报道请持续关注无癌家园网站(400-626-9916)。
参考文献
1.http://www.profproton.com/protons-for-children/
2.https://www.kansashealthsystem.com/news-room/patient-stories/2020/03/transformative-proton-therapy
3.https://www.chop.edu/news/proton-therapy-neuroblastoma-case-study





发表评论