文章最后更新时间:2024-08-12 20:21:31,由春晓健康网负责审核发布,若内容或图片失效,请留言反馈!
脑胶质瘤质子治疗,胶质瘤质子治疗效果,胶质瘤质子治疗成功案例
什么是胶质瘤
脑胶质瘤俗称“脑癌”。脑胶质瘤是指起源于神经胶质细胞的肿瘤,是最常见的原发性颅内肿瘤,它对人造成极大的危害。脑脑胶质瘤占所有原发性中枢神经系统肿瘤的27%,占中枢神经系统恶性肿瘤的80%;恶性脑胶质瘤的发病率为(5-8)/10万,在人类常见肿瘤里面排在9-10位。5年病死率在全身肿瘤中仅次于胰腺癌和肺癌,位列第3位。
脑胶质瘤的治疗,必须是综合治疗,手术、放疗、化疗,以及靶向治疗、免疫治疗、和干细胞的治疗。因为其恶性倾向,所以,任何单一的治疗模式都不能取得良好的效果。通常是采用手术与放化疗结合,其他治疗手段临床数据还不是很全面,也没有广泛使用。
手术仍旧是脑胶质瘤治疗的主力军
脑胶质瘤的外科手术,主要是“减数”手术,以减少肿瘤细胞数量,减少肿瘤负荷,减轻颅腔压力,减除神经功能缺失为目的。首先,尽量最大范围的安全切除,是保全功能的手术,术后患者一定要是个健全的人,积极参与社会实践的人,完整的人,而不是生活不能自理,需要家人照顾,身体和精神残缺的人。
现代脑胶质瘤手术,摘除了缺氧的对放化疗耐受的肿瘤细胞,提高了后续放化疗的敏感性。有数据显示:92%的手术切除不伴神经功能缺失+放化疗 患者总的生存时间等同于98%手术切除+可能的偏瘫、失语等神经功能缺失。所以,为了患者能获得良好的生活质量,医生会选择在重要部位残留部分肿瘤,带瘤生存,后续再给予放化疗解决残留。
化疗是歼灭残余零散肿瘤的游击部队
化疗,经静脉,通过循环系统,到达瘤区,杀死残留肿瘤细胞。对于脑胶质瘤而言,比较经典的有PCV(环己亚硝脲、长春新碱、甲基苄肼)、替莫唑胺等,花样繁多。目前最流行的是替莫唑胺单药口服化疗方案,口服,不需输液,副作用小,容易耐受,服用方便,医患比较亲睐。去年起,已纳入医保报销,也逐渐被广泛大众所接受。如果经济条件稍差的患者,可以选择静脉化疗。但是具体使用方法,必须在专业医生的指导下进行。
分子靶向、免疫治疗等可能会是未来突破脑胶质瘤治疗瓶颈的关键,目前已经有部分产品应用于临床,更有大量的药物在进入III期临床实验,结果喜人。在我国,由于未经食品卫生管理局批准,一些治疗不能很好实施。此外,靶向药物等,治疗费用昂贵,不便于广泛推广,目前主要集中适用于那部分先富起来的人群。
放疗(质子治疗)是对付隐蔽位置肿瘤的特种兵
放疗,局部杀伤肿瘤,对于危及重要部位的脑胶质瘤而言,三维适形放射治疗(3DCRT)和调强放射治疗(IMRT)都是比较常用的放疗方式。而立体定向放射治疗(SRT)仅适用于<3cm的病灶,对于脑胶质瘤这种广泛浸润和弥散的肿瘤不适用,目前主要应用于肿瘤复发后的补充放射治疗。
近年来,质子治疗逐渐被越来越多的医生和患者接受,因为其先天的生物学分布优势,可能成为未来放射治疗的新选择。质子治疗在降低对侧大脑半球及眼的受量上要好于任何的光子放疗。用光子放疗给予30Gy的全脑照射后,预测IQ评分<90的风险约为25.1%,而质子治疗可使风险下降近10%。对于肿瘤内的剂量分布,两种方法几乎无明显差异,而质子治疗正常脑组织的低剂量照射范围要小得多,可以减少治疗后对病人智力的影响。
对于其他放疗技术治疗后复发的脑胶质瘤,质子治疗通过调整照射野的 入射方向,仍然能给肿瘤较高的放射剂量,对有效控制肿瘤生长、延长病人生命、减少并发症具有无法替代的优势。
质子治疗是将失掉电子的氢原子原子核(即质子),利用回旋加速器或者同步加速器加速到光速约70%,带有正电荷的质子通过加速器加速后,成为穿透力非常强的电离放射线,以极高的速度进入人体,通过特殊形状的设备进行引导,最终到达靶向肿瘤部位。由于其速度快,在体内与正常组织或细胞发生作用的机会极低,当到达肿瘤的特定部位时,速度突然降低并停止,释放最大能量,产生“布拉格峰”,既能将癌细胞杀死,又不对周围组织和器官产生损伤。

瑞典研究数据:质子治疗脑胶质瘤可降低正常脑组织受量和急性毒性
2018年5月26日,在第57届PTCOG年会中枢神经系统/眼部肿瘤专场上,Petra Witt Nystrom医生做了题为《脑胶质瘤的质子治疗:瑞典的一项多中心前瞻性研究》的演讲,分享了瑞典在脑胶质瘤质子治疗方面的临床成果。脑胶质瘤的质子治疗可降低正常脑组织和危及器官(OAR)的照射剂量,降低二次恶性肿瘤的发生风险。
研究人员对156例II级和III级脑胶质瘤患者进行了分析。患者的中位年龄为42岁(18-72岁),中位照射剂量为54Gy(18-60Gy)。患者接受笔形束扫描质子治疗,通常包括2-4个照射野,应用Eclipse系统进行鲁棒性优化和评估。
光子放疗和质子治疗计划的对比结果显示,质子治疗相比于光子放疗可显著减少脑干、耳蜗、海马及颞叶等多个部位的照射剂量。研究人员分析了治疗后0-3个月的急性毒性反应,发生率最高的是II度局部脱发(93例),其他毒性反应包括II度和III度红斑(分别为27例和2例)以及II度头痛(7例),个别患者出现了癫痫、I度恶心和疲劳;7例患者需入院治疗。Petra Witt Nystrom医生总结说,质子治疗脑胶质瘤可显著减少正常脑组织的照射剂量,患者的急性毒性反应较低。
国内脑干脑胶质瘤质子治疗成功案例分享
患者:男,23岁
因出现阵发性头痛,未引起重视;后来在外游玩时出现右侧肢体活动不灵,遂于医院查头颅MR及强化头颅MR示:脑干肿瘤占位性病变,考虑脑胶质瘤可能。但由于手术风险较大,未予以手术或其它治疗;曾服用中药治疗(具体不详),疗效欠佳,肢体乏力症状逐渐加重,并出现吞咽困难、饮水呛咳不适。了解到质子治疗后,通过专家咨询,在国内进行质子治疗。截止目前,质子治疗后共随访9个月,肿瘤在持续缩小,患者症状完全缓解,照常上下班,正常生活。
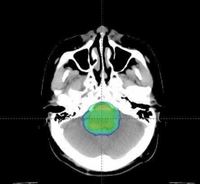
质子治疗剂量分布:质子治疗剂量分布均匀,对周围脑组织照射范围小

质子治疗前后对比:肿瘤得到明显控制,走路不稳,肢体无力,喝水呛咳等症状逐渐消失

治疗后九个月复查:肿瘤持续缩小,由治疗一个月横截面2.9cm×2.92cm缩小至现在的1.86cm×2.32cm

我们将会持续关注这个小伙子后续的复查结果,我们届时将及时更新。质子治疗脑胶质瘤的优势有目共睹,更多的研究结果将会陆续更新。对于5年生存率极低的脑胶质瘤,质子治疗有望改变其可怕的魔咒!
参考:唐都医院神外主治医师冯志强(脑胶质瘤治疗)
《肿瘤质子治疗图谱》主编穆向魁
质子中国、万杰质子治疗平台





发表评论