文章最后更新时间:2024-08-12 20:21:02,由春晓健康网负责审核发布,若内容或图片失效,请留言反馈!
“
在诊断之前,年龄对我来说没有多大意义。但我仍希望看着我的孙子长大。
”
在进行手术切除他的胶质母细胞瘤之前,酷爱数学的Greg Schmidt担心他会失去计算能力。当他从手术中醒来时,他脑海中出现了算术问题。
“那是我脑海中第一件事。我还可以做数学题吗?“Greg说。“我很开心,我仍然可以。”
在诊断之前,年龄对我来说没有多大意义。但我仍希望看着我的孙子长大。
这种肿瘤的复发几率几乎是100%,手术后,护理团队为他制定了电场疗法的治疗方案。

现在,他有更多时间和他的六个孙子们一起度过。
脑胶质瘤难治,一个原因是因为它躲在大脑里,有血脑屏障做保护,很多药物都不能进入。当然,还有一个原因,是没有一个合适的动物模型,可以用来测试到底什么药物治疗脑胶质瘤有效。
1976年,美国食品和药物管理局(FDA)批准了洛莫司汀作为颅内肿瘤的治疗药物。此后40年,只有三种治疗脑癌的药物被正式批准:
1996年,卡莫司汀晶片被批准用于复发性脑胶质瘤。目前,卡莫司汀也被批准作为辅助治疗,用于新诊断的并接受了手术的脑胶质瘤患者 。
1999年,替莫唑胺(TMZ)被批准用于3级间变性星形细胞瘤患者。目前,此药物的适应症已扩展至新诊断的脑胶质瘤,作为放疗之后的维持治疗。
2009年,贝伐单抗获得加速批准,用于在治疗后病情恶化的脑胶质瘤患者。
十年磨一剑,应该可以磨出一把好剑!
但这平均化十年时间才能搞出一个来的药物,治疗脑胶质瘤的效果却是很有限。
而这一次,我们看到了奇迹!
“
没有人是因为想做英雄而去抗癌。但每一个抗癌的人,都是英雄!
”
陈磊(化名)就是这样一个英雄,一个已经抗战八年的英雄。
2010年,陈磊确诊脑胶质瘤,手术后进行放化疗,治疗效果很好。
然而,4年后肿瘤还是复发了。 陈磊出现右侧肢体活动不灵活,而且逐渐加重。于是,他开始接受替莫唑胺化疗,然而,MRI复查发现,病灶还在继续增大。
随后,他像其他脑瘤患者一样,尝试了各种治疗,中药、贝伐珠单抗、阿帕替尼以及一系列对症治疗等等,似乎能做的治疗都试过了,手术、放疗、化疗、中药、生酮饮食、抗体药,然而,病情却越来越严重。
直到2017年初,国内一些领先的抗癌服务机构如全球肿瘤医生网报道了国外一种新的肿瘤治疗方法--电场治疗。
恰巧,陈磊国内的神经内科主治医生也推荐他尝试电场疗法,因为这种疗法在美国已经做了大量的临床试验,证实有效延长胶质瘤患者的生存期。2011年获得美国FDA的批准,用于治疗已经接受过化疗,但是复发或病情恶化的脑胶质瘤成年患者。 2015年,FDA进一步批准电场疗法作为一线治疗,与替莫唑胺一起治疗脑胶质瘤患者。
在国际EF-14试验中,695名完成放化疗的患者以2:1的比例随机接受电场疗法+替莫唑胺联合治疗或单独替莫唑胺(标准辅助治疗)的维持治疗。实验结果显示:TTFields组与对照组的中位PFS显着更长(7.1个月VS4.0个月)。联合组中位OS为20.5个月,而对照组为15.6个月。

对脑瘤患者来说,更重要的是,这种治疗方式完全没有放化疗的严重副作用,患者接受治疗的同时甚至可以正常的生活和工作。
一向积极勇敢的陈磊决定做最后的尝试,在使用电场疗法后,陈磊的病情终于得到控制!
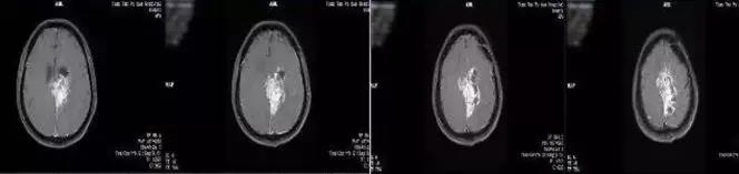
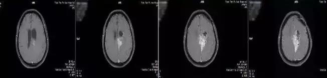
治疗一个月后,病灶竟然缩小了!

治疗前

治疗一个月后复查,病情缓解
电场疗法设备利用粘性绷带将绝缘的陶瓷片戴在头上,陶瓷片将电能转化为电磁能,穿透头皮,进入大脑。利用低强度、中频的交替电场,产生的电磁能可以阻止细胞分裂,从而抑制癌细胞的增殖。

肿瘤电场每秒交替100,000至300,000次,以靶向癌细胞的有丝分裂
进行电场治疗,患者需要每天穿戴18小时,但因为这是一种便携式设计,患者穿戴起来也不影响行动。

玛西娅在刚诊断为胶质瘤时就开始接受电场疗法的治疗。她很喜欢和孙子一起玩,在接受电场治疗的同时继续过着自己的幸福生活。
当然,这不是故事的结束,对这些患者来说,这是全新的开始!
参考资料:
https://www.novocure.com/profiles/greg-schmidt/
文末福利:
目前世界上只有美国和日本拥有TTF电场技术,还未正式进入中国。中国国产化的电场治疗设备正在加紧研发,并获得了301医院、华山医院等多家医院及神外专家的支持。美国的治疗费用较高,每天700美金,需每天去医院治疗;好消息是日本已研发成功类似TTF的电场治疗设备,称为ECCT,一套设备9万人民币左右,可购买回国内长期使用。详情可咨询全球肿瘤医生网医学部().我们希望,这种新型癌症疗法能够早日在国内上市,造福更多的肿瘤患者。
声明:
本公众号内容仅作交流参考,不作为诊断及医疗依据,仅依照本文而做出的行为造成的一切后果,由行为人自行承担责任。专业医学问题请咨询专业人士或专业医疗机构。 推荐阅读:脑瘤基因检测
声明:春晓健康网是服务与广大癌症肿瘤客户群体的综合性网站,提供癌症肿瘤相关问题交流咨询等服务,有这方面的需要可以直接点击右侧在线客服进行交流以及咨询!





发表评论