文章最后更新时间:2024-08-12 20:20:49,由春晓健康网负责审核发布,若内容或图片失效,请留言反馈!
横纹肌肉瘤细胞免疫疗法治疗,横纹肌肉瘤CAR-T细胞免疫疗法治疗
近年来,随着免疫精准治疗的发展,如今CAR-T(嵌合抗原受体T细胞)免疫疗法自出现以来已发展至第四代,针对血液肿瘤的靶点已经取得了很多突破性的进展,其中具有代表性的是FDA批准的诺华的Kymriah(淋巴瘤)与吉利德的Yescarta(白血病),而针对于实体瘤的研究却十分有限。
无癌家园专家解释道,CAR-T细胞脱靶效应限制了其在实体瘤中发挥作用,且大多数实体瘤缺乏特异的肿瘤抗原且存在肿瘤异质性。因此,获得理想靶抗原是CAR-T细胞在实体瘤中发挥杀伤作用的前提,理想的靶抗原应仅在肿瘤组织中表达,而在正常组织中不表达或者低表达。
针对这一亟待解决的难题,我国的医学研究者们针对CAR-T进行了多种改造,用来治疗多种实体肿瘤。下面小编就如数家珍般地给大家一一介绍这些“出圈”的研究。
挑战复发难治性横纹肌肉瘤,竟能无瘤生存19个月
对于肿瘤患者来说,复发二字是横亘于内心的一道坎,这意味着需要再次接受治疗,缠绵难愈的病情会逐渐打消抗癌的斗志,也预示着肿瘤会在极短的时间内迅速恶化,甚至导致死亡。
那么对于肿瘤治疗失败后复发的患者,到底有什么好的方法可以对付它呢?就在2020年7月15日国际权威杂志《Nature Communications》中刊登了美国德克萨斯州休斯敦贝勒医学院儿科米纳克西·赫格德教授带头进行的采用HER2 CAR-T细胞免疫疗法治疗难治性骨髓转移性横纹肌肉瘤患儿的临床研究。

值得惊喜的是,在本研究中一名年仅7岁的复发难治性横纹肌肉瘤患儿采用HER2 CAR-T细胞免疫疗法治疗后,目前已经无癌生存了19个月,而且体内监测不到任何癌细胞!

图中显示结束治疗后,患者的肿瘤完全消失
这名接受治疗的患儿在治疗前经过诊断发现其肿瘤已发生扩散,转移到肺部及骨髓,同时采用标准的化疗方案束手无策。
而研究中采用的CAR-T细胞免疫疗法选择的靶点是HER 2,据临床研究表明,约有75%的肿瘤细胞都存在HER2的表达,针对这一位点,构建了对应的针对HER 2的CAR-T细胞。
在患者接受治疗后停药6个月后,其肿瘤复发,但再次输注CAR-T细胞后,其肿瘤再次被清除,而且额外采用派姆单抗可提高临床疗效。
其他新型CAR-T疗法治疗实体瘤的突破进展
1、抗癌有效率72%,新型CAR-T技术打破实体瘤壁垒
在2019年的美国癌症研究学会(AACR)年会上,一款靶向间皮素的新型CAR-T细胞技术,吸引了众人的目光,其疗效数据可谓是让人眼前一亮。这项名为LcasM28z的CAR-T细胞疗法倾注了纪念斯隆凯特琳癌症中心胸外科副主任Prasad Adusumilli研究团队的心血。
【研究背景】
这项临床试验共纳入21例既往经其他治疗均失败的复发难治的间皮素表达阳性的晚期实体瘤患者,其中包括晚期恶性间皮瘤19例,晚期肺癌1例,晚期乳腺癌1例。所有患者均接受LcasM28z联合PD-1抗体治疗。LcasM28z是由Adusumilli及其团队利用第二代激活CD28全人类间皮素CAR T细胞加以Icaspase-9安全基因所研制而来。而且绝大多数患者在CAR-T治疗前接受过大剂量化疗清髓预处理。需要注意的是,此操作必须在非常有经验的顶尖大医院进行,需要高度预防感染。
【研究成果】
接受治疗38周后,21例患者中有13例的外周血中依然可以检测到持续存在的CAR-T细胞。有11例患者顺利完成CAR-T注射及至少3个疗程的PD-1治疗。经过至少3个月的随访,11例患者中,有8例患者肿瘤明显缩小,甚至包括2例患者PET-CT提示肿瘤完全消失,总体缓解率高达72%。

【安全性】
此项技术的副作用轻微,仅有1例患者在预处理阶段发生了严重的中性粒细胞减少,经过对症治疗后好转。在CAR-T联合PD-1抗体治疗阶段,无一例严重的神经毒性、细胞因子释放综合征及其他重要器官的损伤等发生。
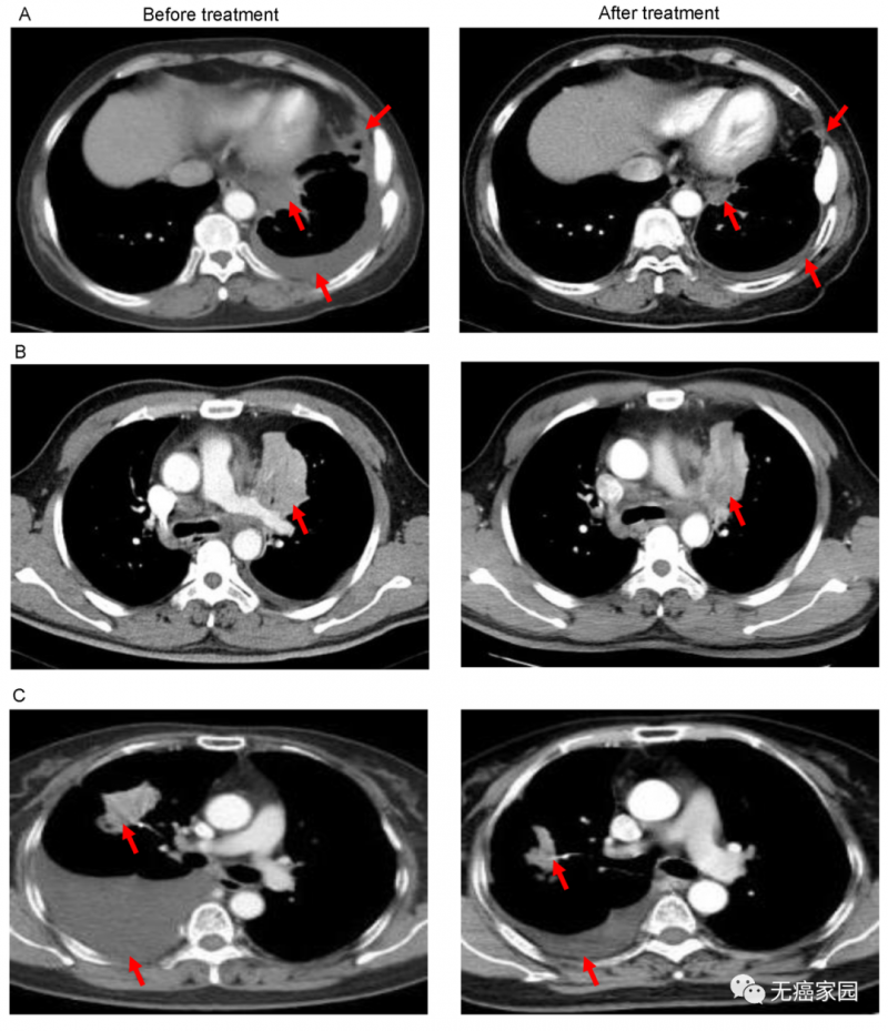
2、EGFR为靶点的CAR-T治疗晚期难治性非小细胞肺癌
301医院在国内率先开展CAR-T疗法,成果显著。韩为东教授曾报道过利用EGFR为靶点的CAR-T治疗EGFR表达强阳性(EGFR表达超过50%)的晚期难治性的非小细胞肺癌患者。

研究结果显示,其中11例患者疗效可评价:2例患者肿瘤明显缩小,5例疾病稳定。
图A中患者1在输注CAR-T细胞后,通过CT扫描显示其胸腔积液减少,转移性肺门淋巴结和胸膜结节轻度缩小(箭头)。
图B中CT图像显示患者8的原发性肿瘤缩小(箭头);图C中CT检查发现CAR-T治疗后患者9的胸腔积液吸收和肺部病变明显消退。

3、针对CEA阳性结直肠癌患者,CAR-T疗法安全又有效
癌胚抗原(CEA)是具有人类胚胎抗原特性的酸性糖蛋白,是一种广谱的肿瘤标志物。

此项研究主要以5个递增剂量的CAR-T细胞治疗10例CEA阳性的转移性结直肠癌患者,结果并未显示出与CAR-T治疗相关的严重毒副反应事件,有7例患者治疗后病情稳定,其中2例患者病情稳定超过30周,另外2例患者肿瘤病灶缩小,多数患者血清癌胚抗原水平明显下降甚至可观察到有CAR-T细胞的增殖,并对于癌胚抗原阳性患者来说,高剂量CAR-T细胞治疗可以耐受。
该研究表明,CAR-T细胞治疗癌胚抗原阳性的结直肠癌的有效性和安全性是极为可观的。
典型病例示意图

患者P9的PET/CT显示肿瘤活性明显减弱

通过MRI观察到患者P10的一个肝脏病变发生萎缩
4、根除髓母细胞瘤,"中国造"NKG2D特异性CAR-T疗法前景广阔
胶质母细胞瘤是中枢神经系统最具侵袭性的癌症,最常见于幼儿。在过去的几十年中,尽管在外科、放疗和化疗等传统治疗方案方面取得了一些进展,但由于脑肿瘤的生物学复杂性,胶质母细胞瘤患者的5年生存率仍然低于10%。
近年来,人们正在探索嵌合抗原受体T(CAR-T)细胞治疗在脑肿瘤中的潜力,但临床结果有限。据报道,在胶质母细胞瘤干细胞(GSC)中发现NKG2D配体(NKG2DL)大量表达,因此中国研究人员认为可以利用NKG2D特异性CAR-T细胞(KD-025)进行治疗。
此项试验中他们对种植了随母细胞瘤的小鼠静脉内注射一千万单位的KD-025单次治疗。结果显示,KD-025在小鼠模型中能够完全清除髓母细胞瘤,并且没有明显的毒副作用(如下图所示)。我们期待未来有更多的临床试验可以开展。

除了上述提到的突破性的CAR-T临床研究外,目前国内各大医院正在积极进行各类肿瘤的CAR-T临床研究,癌友们若想了解国内外CAR-T疗法最新研究动态请持续关注无癌家园网站。
小编有话说
近年来,科学家们已经做出了相当大的努力来开发新的方法攻克结直肠癌等实体瘤的障碍,并采用优化策略用于针对这些特定适应症的CAR-T疗法。我们期待着,越来越多的临床前/临床试验数据能够拼凑出一幅完整的拼图,充分展示CAR-T细胞疗法治疗实体瘤的真正实力。
参考文献
1.https://www.nature.com/articles/s41467-020-17175-8





发表评论