文章最后更新时间:2024-08-12 20:20:41,由春晓健康网负责审核发布,若内容或图片失效,请留言反馈!
质子治疗胰腺癌成功案例分享

胰腺癌的症状表现
腹痛:胰头癌多见腹部不适及隐痛;胰体尾癌常出现上腹部及腰背部显著疼痛。黄疸、食欲下降、腹胀或腹泻、恶心、呕吐或黑便。恶性消耗:乏力,消瘦,呈恶液质状态。其他症状:腹水、血糖升高、血栓性静脉炎远处转移的表现。
胰腺癌恶性程度高,生物学行为恶劣,具有较早的侵犯血管和淋巴管,播散至肝脏、腹膜、肺和局部淋巴结的特征,即使影像学未见异常,多数患者在确诊胰腺癌时,已有亚临床肝转移。在胰腺癌的治疗中,放射治疗占据重要地位。
在放射治疗领域中,质子以其特有的“博拉格峰”优越的物理特性占据放疗顶峰,使肿瘤放射治疗效果达到了较理想的目标。胰腺周围环绕着对放射敏感的正常组织,如十二指肠、胃、空肠、肝脏和肾脏。质子放射治疗在肿瘤得到有效控制的同时,周围正常组织得到很好的保护。
胰腺癌质子治疗案例
下面介绍我科应用质子放射治疗同步化疗治疗胰腺癌病例一例,获得良好的临床效果。
患者男性,因腹痛于2020年07月份就诊北京某大型医院,行PET/CT检查,结果提示:
①胰颈部灶状高代谢,倾向恶性(胰腺癌) ;
②胰头区低密度影,常规及延迟显像均未见高代谢,倾向良性或低度恶性病变。
③胰周、肝门区、腹膜后多发(微)小淋巴结,伴代谢,建议密切随诊。
患者临床诊断为:胰腺癌cT2N2M0 Ⅲ期(AJCC第8版TNM分期)。患者胰腺病灶小,转移的淋巴结较分散,穿刺困难,合并一些基础疾病,患者及家属拒绝有创操作,包括穿刺取活检以及外科手术治疗,要求根据现有影像学检查进行治疗。
CT质子定位时发现肝门、腹膜后多发肿大淋巴结,考虑转移。2020-07-31至2020-09-04期间行质子放射治疗,计划为:胰颈及肝门、腹膜后淋巴结病灶,处方剂量,90%线包PTV,DT 50cGE/2.0cGE/25f,5f/W,每日两野同照。
放疗同时口服“替吉奥胶囊”60mg bid d1-14 q21d同步化疗。放疗期间复查上腹部CT提示胰腺颈部病灶明显缩小,胰头部低密度灶较前相仿,腹腔淋巴结较前缩小,综合评效为疾病稳定,按原计划加量2次,总剂量:54cGE/2.0cGE/27f。患者治疗期间以及治疗后无不良反应发生。
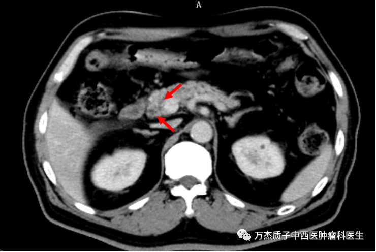
下图为质子治疗前肿瘤病灶显示情况,箭头所指处为胰腺肿瘤病灶


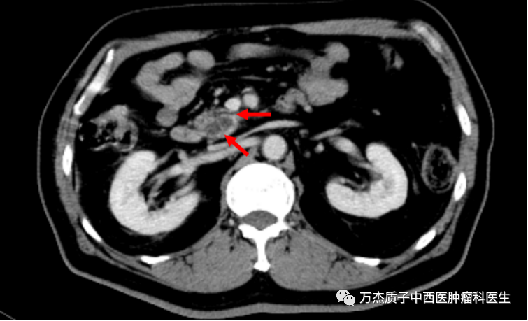
下图为质子治疗后半年复查的影像,显示肿瘤病灶缩小明显


内容来源:由长芳 万杰质子中西医肿瘤科医生





发表评论