文章最后更新时间:2024-08-12 20:20:14,由春晓健康网负责审核发布,若内容或图片失效,请留言反馈!
小编:抗癌技术日新月异,已经上市20年的重离子放疗、质子治疗和2014年刚上市的EDGE技术到底谁更强?小编摘取两篇文章供医生和患者了解:
文章一:被传成治癌神器的重离子放疗疗效究竟怎样?
作者: 张志浩 来源:知乎日报
有些事就是这么有趣。要是我问,日本放射线医学综合研究所你听说过吗?辻井博彦你听说过吗?绝大多数人会说没听说过;但我要问现在传的沸沸扬扬的『治癌神器』重离子你听说过吗?不少人就听说过了。
但事实上,世界第一台治疗用的重离子放疗设备就诞生在放医研,当时的重离子医院院长就是辻井博彦;国内第一家质子重离子医院今年才在上海开业,但放医研的重离子放疗设备从 1994 年起已经走过了 20 多个年头,治疗人数累计超过 12000 人,雄踞世界首位,评价重离子放疗的疗效,大约没人能够比和我合影的这位老人,有『世界重离子之父』之称的辻井博彦更有资格了。

第一次见到千叶放医研的重离子放疗设备 HIMAC,它的体积就让我吃了一惊。它有多大?120 米的长度乘以 65 米的宽度再乘以 20 米的高度。这和我概念中的任何医疗设备绝对不一样!它更像是我在筑波看到的那些加速器!

如果说这些数字各位还是没概念的话,那么我告诉大家,第一次看 HIMAC 我是和女儿一起去的,我们在上图左边主回旋加速器那块迷路了,转来转去还在图中的那个圈圈里面转不出来,我觉得这事真不能怪我,整个回旋加速器一圈都是比人还高硕大无朋的电磁铁,各部分之间实在没有任何区别……

等我和高大上的重离子放疗打了更多的交道,我逐渐了解到,重离子治疗是有它的明显优势,例如副作用明显小于现有的手术,放疗,化疗等治疗手段,但和其它任何医学手段一样,它也有它的适应症和禁忌症。有些肿瘤它是治疗不了的,比如,胃肠道的肿瘤,这是因为重离子细胞杀伤效果明确,迄今为止怕造成胃肠道穿孔的缘故任何医院也没用重离子放疗尝试过治疗胃肠道肿瘤;造血系统肿瘤如白血病,多发性骨髓瘤它也治不了,因为这些肿瘤散发全身各处,重离子只能针对具体病灶治疗;已经多次放疗的患者治不了,因为人体可以承受的放射线剂量是有极限的。
至于其它的,都是相对禁忌症而不是绝对禁忌症。用一般人容易理解的词汇就是,看情况。比如,一般认为晚期多发转移不宜重离子,但这更多是因为放医研爱惜羽毛,担心直接收治太多晚期患者影响统计结果,对于已经收治患者转移了的,是照治不误的,放医研现在就有脑干和骨髓多发转移的癌症患者;另外一般认为没有病理诊断不宜重离子治疗,但昨天辻井 博彦就和我说,没病理诊断的他也收治过,我问他理由,他是这么解释的,那个患者多次活检取不到部位,总是找不到癌细胞,但根据 pet 追踪结果高度怀疑,那么重离子治疗副作用很小也就是治疗风险很小,但癌症风险很大,两下权衡他就收治了……
这其实就是重离子放疗最大的好处:有优于至少是不亚于其它治疗手段的效果,却副作用很少。大多数患者是抱怨要躺半个小时,或者是治疗结束皮肤有点痒,我心里想,绑在手术台上 12 个小时你们就不会抱怨了……至于为什么重离子副作用很小,自行百度『布拉格峰』就可以了。让我看,重离子最大的弊病是太贵,无法普及。就像我今天上午写的另一个答案重离子治癌中心投资风险? - 张志浩的回答一样,重离子治疗成本巨大,治疗费用收几十万人民币还是靠政府补贴,性价比一下把它的优势消耗得差不多了……但哪怕是在这种情况下,对于比如像上述患者的脊索瘤,因为肿瘤生长在无法手术的脊髓附近,常规治疗束手:再比如说脑膜瘤,重离子治疗 5 年生存率 80%,远大于美国 30%的数据;再比如说鼻咽癌疗效也明显好于常规手段,而这些肿瘤的共同特征就是,部位特殊,手术难以切除干净,重离子治疗都有着无法替代的地位,在上述情况下日本医生已经将重离子列为首选治疗手段。至于前列腺癌 5 年生存率 98%,3 年局部控制率 100%,3 期前列腺癌 3 年生存率 80%远大于常规治疗的 30%,我看,咱们都还是摸下荷包看下性价比再说吧……什么时候重离子普及了,治疗费价格更低了,才是重离子有更大用武之地的时候。
文章二、速锋刀(EDGE)治疗非小细胞肺癌效果优于重离子/质子刀
晚期非小细胞肺癌患者和其他肿瘤毗邻重要器官不能进行手术的患者,通常应用放射治疗。但是常规放疗设备不能取得满意的治疗效果,且经常引起放射性食管炎、放射性肺炎等严重副作用,严重影响患者免疫力导致不能继续治疗。上市的速锋刀(EDGE)是迄今为止最尖端的放疗科技,是脑瘤、晚期肺癌和其他不能手术治疗的癌症患者体外无创治疗 选择。速锋刀其手术刀般锐利的大剂量高能射束瞬间给与肿瘤损毁性消融照射,且对周围正常组织几乎无副作用。

早期肺癌首选治疗方式是手术,最近一项临床研究结果显示非小细胞肺癌(NSCLC)采用以速锋刀(EDGE)为代表的立体定向放射治疗(stereotactic radiotherapy, SBRT),其治疗效果优于手术治疗,该项研究发表在2015年5月《Lancet Oncol》期刊 [2]。随着医疗物理技术和计算机技术的进步,现在60%以上的肿瘤治疗都会采用放射治疗。放射治疗根据不同的射线,有以光子为来源的放射治疗如射波刀和EDGE(速锋刀)无创肿瘤放射治疗系统;以粒子为来源的质子刀和重离子等。
Grutters博士的治疗小组分析了不同的放射治疗设备对共计2611名I期非小细胞肺癌(NSCLC)的治疗效果,发现采用X射线的立体定向放射治疗(stereotactic radiotherapy, SBRT)治疗5年总体存活率42%,优于质子治疗。
自2014年4月全球第一套EDGE肿瘤无创放射治疗系统在美国亨利福特医院全系统运行以来,治疗满意率即肿瘤控制率(Tumor Control Rate)大于95%,且均没有出现不良反应。这些肿瘤患者中,脑肿瘤(包括原发和转移脑肿瘤)占31%,肺癌占29%,脊柱肿瘤占23%,胃肠道肿瘤占9%,肾上腺癌占7%。
据亨利福特医院中国联络处廖博士介绍,速锋刀(EDGE)可以治疗任何部位的良性或者恶性实体肿瘤,尤其是重要器官或者主要血管和神经附近的肿瘤,对常规手术难以实施的肿瘤如肺癌、头颅肿瘤等具有极好的治疗效果。整个治疗过程无创,无需麻醉,无需住院,每次治疗时间8-20分钟,每天1次,最多5次,连续每天治疗。北京亨利福特健康咨询公司(Henry Ford Health Consulting . HFHC,)特为中国客户前往HFHS接受EDGE服务而设立的联络处,咨询电话。
下表为所有体外放疗技术治疗效果比较,EDGE技术是所有技术中研发的技术,在治疗剂量率、治疗精度、治疗时间、副作用等方面远远领先于其他技术。


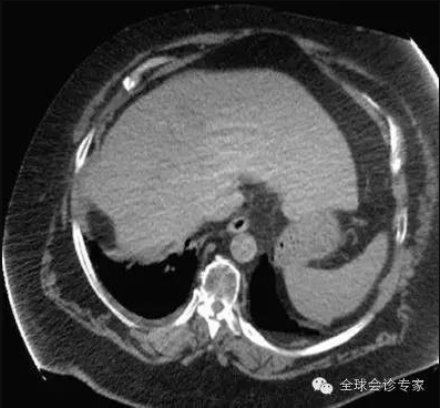
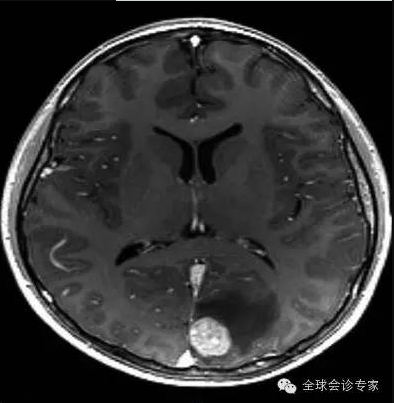
患者,65岁,男,2014年10月腹部不适、头疼检查,诊断为(1)高分化肝细胞癌,大小约250px,明显肝硬化。(2)脑转移瘤,左枕叶处大小约75px。(3)II型糖尿病,需要胰岛素治疗。(4)慢性肾病;(5)中度高血压,有心衰病史。
患者病情处于晚期,体内病灶巨大且有脑转移,不能实施外科手术治疗。经亨利福特医院专家组咨询,患者于2014年11月10日在美国亨利福特医院进行EDGE无创手术治疗。先后对肝脏肿瘤和脑转移瘤进行EDGE治疗,在医院共治疗8天。每个肿瘤每天治疗1次,每次治疗约10分钟左右,肝脏肿瘤共治疗6次,脑肿瘤治疗4次。
患者手术过程中无任何不适,每次治疗后正常回家。2015年5月回访,患者一般情况良好,体重明显增加。经影像检查,肝脏巨大肿瘤被彻底清除,脑部肿瘤几乎完全消除,且没有复发。生化检查,肝功能未见正常。

肝脏肿瘤治疗前250px大小

肝脏肿瘤治疗后彻底消失

脑转转移瘤治疗前75px

脑转移瘤治疗后几乎完全消除





发表评论