文章最后更新时间:2024-08-12 20:19:43,由春晓健康网负责审核发布,若内容或图片失效,请留言反馈!
晚期转移性胰腺癌靶向药新药奥拉帕尼(Olaparib),利普卓(Lynparza)说明书
胰腺癌是最致命的癌症之一。根据PanCAN(美国胰腺癌专业网站)公布的数据,预计2020年将成为继肺癌发病的第二大癌症,整体五年生存率仅为9%!在分子靶向免疫药物呈井喷式研发上市的今天,FDA已经批准了上百种各类癌症的靶向及免疫药物,而至今为止,胰腺癌都没有一个很好的靶向药物。近期,这一僵局终将被打破。
近日,FDA已安排肿瘤药物咨询委员会进行审查,将于2019年12月17日举行听证会,讨论奥拉帕尼(Lynparza)片剂的补充新药应用,用于治疗一线铂类化疗后未发生进展的BRCA突变性转移性胰腺癌的维持治疗。我们期待这次听证会能传来佳音,让这款药物能早日获批上市,给晚期胰腺癌患者更多的治疗选择。

三期POLO试验:晚期胰腺癌生存期翻倍
POLO试验是PARP抑制剂在BRCA突变转移性胰腺癌中首个取得阳性结果的III期试验!
关于这项全球著名的III期临床试验,评估了奥拉帕利在携带BRCA胚系突变(gBRCAm)的转移性胰腺癌患者中作为一线维持治疗的作用(这些患者在一线以铂为基础的化疗中没有疾病进展)。154例接受一线铂类药物化疗后疾病未发生进展的生殖系BRCA突变转移性胰腺癌患者中评估了奥拉帕利300mg每日2次单药使用作为一线维持疗法的疗效。患者按照3:2分组,给予奥拉帕利或安慰剂直至疾病进展。研究主要终点是PFS,次要终点包括OS、ORR、疾病控制率等。
结果显示:
奥拉帕利相比安慰剂显著延长了患者的无进展生存期(7.4 vs 3.8个月),使疾病进展和死亡风险降低了47%。其中:1年无进展生存率显著高于安慰剂组(34% vs 15%),2年无进展生存率显著高于安慰剂组(22.1% vs 9.6%),另外,奥拉帕尼组的客观缓解率(ORR)为23.1%,而安慰剂组仅为11.5%,其中两名接受奥拉帕尼治疗的患者完全缓解。奥拉帕尼组的平均反应持续时间为24.9个月,而安慰剂组仅为3.7个月。
奥拉帕尼说明书
【通用名称】奥拉帕尼、Olaparib
【英文商名】利普卓、Lynparza
【生产厂家】阿斯利康
【作用靶点】BRCA1/2
【适应症】
2014年12月获美国FDA批准上市,成为全球获批的首个PARP抑制剂,用于治疗晚期卵巢癌;
2017年9月和2018年5月分别获得FDA、EMA批准用于卵巢癌二线治疗;
2018年1月12日,FDA批准Lynparza(olaparib,奥拉帕尼)用于治疗转移性BRCA基因突变型HER2阴性乳腺癌;
2018年8月23日,阿斯利康的新型靶向药奥拉帕利(英文名Olaparib,商品名利普卓)在国内获批!
2018年10月16日,LYNPARZA(olaparib,奥拉帕尼)用于胰腺癌治疗获得了美国FDA授予的孤儿药认定。
2019年11月28日,奥拉帕利正式公布纳入中国医保名单!
① 美国版

② 中国版

BRAC突变和胰腺癌
提到BRAC基因,我们第一时间想起的往往是乳腺癌和卵巢癌,但是约9%胰腺癌病人也会携带BRAC1/2胚系突变,事实上,关于进行brac突变检测对胰腺癌患者的价值,或许这个精准治疗生存奇迹能给我们更好的解释。
在2015年秋天,44岁的年轻人Doron Broman被诊断患有胰腺癌 - 并且惊讶地发现他的胰腺癌已经转移到肝脏上一个大肿瘤。面对只有几个月的生存期,Broman前往美国著名的癌症中心丹娜法波癌症研究院进行治疗。

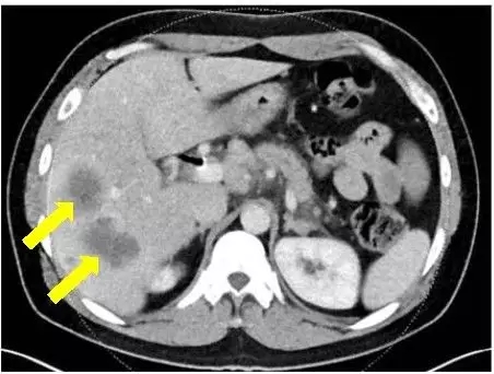
胰腺癌确诊时
他的医生Kimmie Ng,MD,MPH,是丹娜法伯癌症研究院胃肠癌治疗中心临床研究主任,当时推荐他使用FOLFIRINOX方案,这是最强的胰腺癌联合化疗方案。

令人感到惊讶的是,他的胰腺和肝脏恶性肿瘤开始迅速缩小,随后几个肿瘤几乎完全消失。要知道,对这种化疗方案完全响应的患者非常少。他们被称为“特殊应答者”。
在精确医学时代,对特殊应答者癌症的DNA进行基因测序可能会确定罕见突变,了解患者的肿瘤对特定药物异常敏感的机制,从而找到更有效的药物治疗。
于是,Kimmie Ng博士检测了Broman的肿瘤DNA的全部外显子序列,显示BRCA2基因的突变。大家都知道,当这种突变被女性遗传时,会大大增加其乳腺癌和卵巢癌的风险。但是Broman并没有遗传BRCA2突变 - 只是在他生命的某个时刻,胰腺细胞随机发生了这种突变。
BRCA2突变会干扰细胞修复DNA损伤的能力,导致细胞自我破坏。具有BRCA2突变的癌细胞对基于DNA损伤的铂类化疗药物是特别敏感的,这也是为什么布罗曼的癌症能如此成功地被治疗的原因。
在使用FOLFIRINOX进行13个周期的治疗之后,Broman对治疗的响应很好,但由于出现脱发和神经损伤等副作用,他的医疗团队决定将其转化为靶向Brac突变的药物,称为PARP抑制剂的olaparib(Lynparza) ,可以阻碍DNA损伤修复。
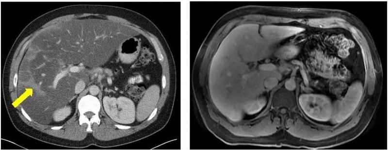
所以,Broman停止了FOLFIRINOX,现在每天服用12粒奥拉帕尼(olaparib),他说不会有副作用。在他使用奥拉帕尼六个月后,MRI和CT扫描显示没有癌症复发,生物标志物水平保持在正常范围。Ng说,只要癌症得到控制,他可以无限期地服用奥拉巴利,因为副作用很小。

FOLFIRINOX治疗5个月病灶明显缩小 vs olaparib治疗21个月病灶全部消失
Broman说:“我真的很幸福”。他自己诊断以来每天都在祈祷。他最近前往欧洲和他出生的以色列旅游。“我做得比我预想的好多了。我感觉很好 ,我的头发回来了,我很健康,我每天走12英里,一周六天。我的朋友说他们简直不敢相信。
精准医学给胰腺癌患者带来更多希望
胰腺癌一直被公认为“癌症之王”,对于这种预后极差的癌症,患者通常无法选择手术,因为大多数原发肿瘤被诊断出来时已经发生转移,这也就解释了为什么胰腺癌患者五年存活率只有8%。新一代基因检测技术已经在肺癌等癌症治疗方面取得了显著的成绩,全球肿瘤专家对于基因检测指导胰腺癌靶向治疗抱有极高的期望,各项临床试验正在全球实验室进行。肿瘤学家们希望通过对大量胰腺癌患者标本的测序,找到胰腺癌患者常见的基因突变,帮助患者找到合适的靶向药物和临床试验。
近期,Dana-Farber癌症研究所的一项研究表示,71例转移性胰腺癌患者中大约有三分之一的胰腺癌患者中可能有影响治疗决策的基因突变,可能指导医生为癌症患者制定个体化精准治疗方案。这项研究在线发表在国际著名期刊《癌症研究》上。

很多患者看到这样振奋人心的新闻可能会想进行基因检测尝试靶向药物,我们期待更多的针对癌王有效的靶向或免疫治疗药物上市,但事实上,丹娜法伯进行的研究以及案例中患者所使用的检测技术和国内普通的基因检测公司是截然不同的,并且,对于个别病情复杂的癌症患者,治疗方案也会和国内截然不同。
好消息是,美国丹娜法伯癌症研究院的Kimmie Ng博士非常愿意为国际患者提供帮助,对于国内一些病情复杂,没有更好的方案的消化系统肿瘤患者,可以申请向Kimmie Ng博士咨询诊疗方案。
Kimmie Ng博士专家的简介:

Kimmie Ng,MD MPH
哈佛医学院丹娜法伯癌症研究院
胃肠癌症中心临床研究主任
哈佛医学院助理教授
专业领域:消化系统癌症、肛门癌、胆管癌、结肠癌、食道癌、胆囊癌、胃肠类癌肿瘤、肝癌、胰腺癌、直肠癌、胃癌
专科医师培训:丹娜法伯癌症研究院
住院医师培训:加州大学旧金山医院
教育背景:宾夕法尼亚大学医学院
专业会员:癌症流行病学会员;胃肠道恶性肿瘤会员;
Kimmie Ng博士医生简介
Kimmie Ng博士是哈佛医学院医学助理教授,丹娜法伯癌症研究所胃肠肿瘤中心临床研究主任,自2008年以来一直在该校任教。她的研究重点是识别饮食、血浆、结直肠癌和胰腺癌患者生存率提高的遗传预测因子。她还在丹娜法伯哈佛癌症中心创建了结直肠癌患者来源的异种移植肿瘤库,并开展了调查反应和抗药性生物标志物的转化项目。
她是许多国家和国际临床试验的主要研究者,这些临床试验用于治疗结肠直肠癌和胰腺癌,并且是NIH资助的众多奖学金和私人 基金会奖项的获得者。临床上,她关心所有类型的胃肠道恶性肿瘤患者。她还获得了哈佛大学公共卫生硕士学位。她的内科医学培训在加州大学旧金山分校完成,并在丹娜法伯癌症研究所获得了肿瘤内科医学奖学金。





发表评论