文章最后更新时间:2024-08-12 20:17:15,由春晓健康网负责审核发布,若内容或图片失效,请留言反馈!
质子治疗乳腺癌,乳腺癌质子治疗效果,乳腺癌质子治疗优势
癌症的诊断对任何人来说都是可怕的,但对47岁的Mary来说尤其可怕,因为她的母亲就是在经历了长达14年的勇敢战斗后于1998年死于转移性乳腺癌。
乳腺癌第一次诊断:太可怕
2005年的夏天,37岁的Mary突然感到胸骨两侧有些间断性的疼痛,她马上提高警惕去医院做了检查,偏偏怕什么来什么,拿着手中的浸润性导管乳腺癌诊断报告,Mary只能感慨自己终究逃不过命运的安排。当年对母亲的悉心照顾让她对这种癌症既熟悉又畏惧,好在这是一种预后比较好的类型,对内分泌治疗也很敏感。
快速整理好情绪,Mary马上接受了乳房切除术和腋窝淋巴结清扫,紧接着又做了6个周期的多西紫杉醇,多柔比星和环磷酰胺化疗,然后发现病灶已经转移到锁骨,腋窝和胸骨后淋巴结,于是,她又做了放疗,之后一直服用他莫昔芬,控制的一直很好。
2011年,Mary做了乳房重建,一切似乎都回到了正常。
乳腺癌十年,全面复发
2014年5月,Mary照常复查,看到胸骨上有可疑的病灶,穿刺完却发现没有癌细胞。
2015年7月,CT扫描发现肿瘤已经侵入肋软骨和腹侧胸膜,她的癌症全面复发了。
实际上,乳腺癌并不像胰腺癌和肺癌那样棘手,相对来说是一种临床无进展生存率很高的癌症。真正可怕的是乳腺癌的复发,因为患者之前做过很多治疗,乳房切除术,新辅助或全身辅助放化疗,一旦复发,即使没有远处转移,精神和身体都要承受巨大的压力。
这时,Mary已经没有更多的选择,为了降低体内雌激素水平,她切除了双侧卵巢,然后参加了一项氟维司群联合ribociclib的临床试验。2016年2月,由于病情进展,她退出了试验,右侧胸骨的病灶已经达到了30 mm×50 mm×20 mm。
乳腺癌复发后最好的治疗选择--质子放疗
医生建议她接受放疗,为了尽可能的降低副作用,Mary选择了目前最先进的一种放疗方式--质子治疗。
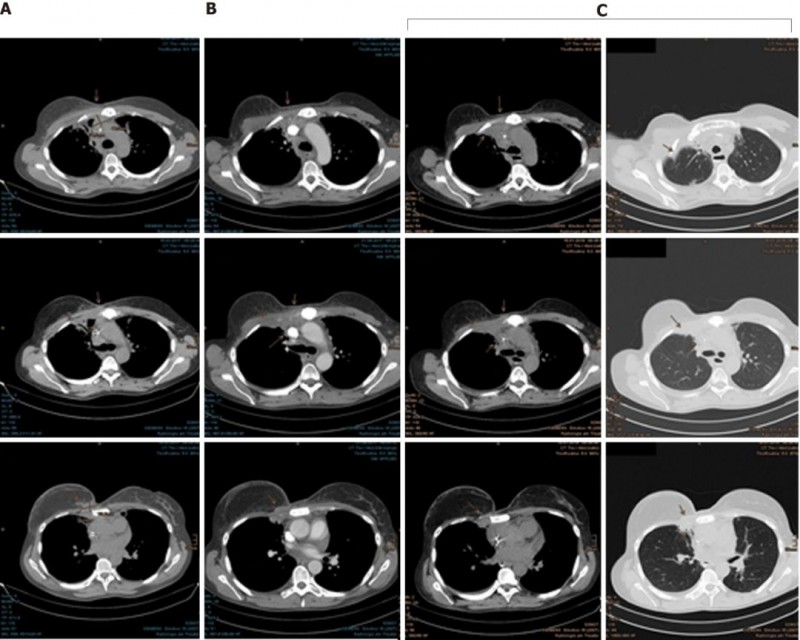
2016年11月至12月,Mary接受了右侧胸骨肿瘤以及邻近胸膜,右侧腋窝,胸骨旁和纵隔区域的淋巴结转移的质子放疗。

治疗前

基于布拉格峰的物理学优势,质子束疗法(PBT)能够为局部复发的乳腺癌患者提供 的再放疗计划。不仅可以保护相邻的未受累的乳房组织和其他危险器官(OAR),如心脏,食道,肺,脊髓和神经,还可以使照射剂量增加到局部乳房和胸壁病灶 。

幸运的是,Mary对质子治疗的耐受性很好,仅出现了轻微的咳嗽和反流。由于对肺部有一定的辐射剂量,她吃了一些环丙沙星预防放射性肺炎的发生。随后的检查结果显示,癌细胞终于耐不住质子的强烈攻击,开始节节败退,病灶在一次次的缩小。
在最近一次CT扫描中,仍然没有发现肿瘤进展迹象。为了预防病情进展,Mary现在继续使用来曲唑和denosumab进行全身治疗。
但是她的体力和食欲都恢复了,她现在已经可以开始游泳了。
什么是乳腺癌的质子治疗
质子治疗可以提高乳腺癌的存活率。
设想一台重达196吨的杀癌设备,能够以亚毫米的精度瞄准患者的肿瘤,同时保护附近的健康组织并最大限度地减少副作用,这就是质子治疗。

质子治疗是一种精确的射线放射治疗形式,它使用来自质子或带正电粒子的能量。
由于其精确性,质子束治疗可以通过改善局部肿瘤治疗和减少对其他器官的损伤来提高存活率,从而减少与辐射相关的副作用。
放疗可增加心脏相关并发症的风险。根据2018年的系统评价,质子治疗与这些并发症的风险较低,因为与标准光子放射治疗相比,它对心脏的辐射较少。
什么情况下医生会选择质子治疗
由于其精确性,医生建议当肿瘤接近重要健康组织时使用质子疗法。
例如,质子疗法在治疗眼,脑干和脊髓癌方面具有特定的益处。保护健康组织至关重要。
在治疗早期乳腺癌时,质子治疗为标准放射治疗提供了一种更安全的替代方案。
这些乳腺癌接受质子治疗
1、早期和局部晚期乳腺癌(至第3阶段)
2、原位导管癌(DCIS)
3、炎症性乳腺癌
4、复发性乳腺癌
5、三阴性乳腺癌
这些乳腺癌患者可以接受质子治疗
一些患有乳腺癌的女性将从质子治疗中获得比其他女性更大的益处,例如:
1、患有左侧乳腺癌的患者:由于心脏接近乳房,胸壁和乳房内淋巴结,大多数接受放射治疗的左侧乳腺癌患者会接受一定剂量的心脏放射治疗。质子治疗可以显着减少心脏和冠状血管的辐射暴露。
2、患有右侧乳腺癌的患者接受淋巴结照射:在这些病例中,光子治疗已被证明能为心脏和右冠状动脉提供临床上显着的放射剂量,但质子治疗的精确定位可以保护心脏和周围组织。
3、曾接受过胸部放射治疗的患者:当身体的任何部位第二次放射时,短期和长期副作用的风险会增加,二次患癌的风险也会大大增加。出于这个原因,之前接受过既往癌症(乳腺癌,肺癌,淋巴瘤等)胸部放射治疗的患者通常是质子治疗精确定位的良好候选者。
4、疾病复发患者:在胸壁/乳房或淋巴结区域复发疾病的患者可以通过两种方式从质子治疗中获益。首先,质子治疗可以在复发部位瞄准更高剂量的放射,可能会改善预后。其次,质子治疗的精确度可以降低包括心脏和肺在内的正常组织周围的辐射剂量。
5、年轻患者:乳腺癌通常是一种高度可无进展生存的疾病,这意味着许多患者的寿命会长到足以经历放射治疗的长期副作用。虽然没有低于辐射无风险的阈值,但质子治疗可以使较小体积的组织暴露于辐射,为具有长寿命预期的患者提供益处。
6、心脏合并症患者:许多乳腺癌患者先前存在心脏合并症; 此外,许多妇女接受心脏毒性化疗。由于质子治疗可以使心脏组织免受伤害,因此对这些患者有益。
质子治疗与标准放疗相比有哪些优势
多年来,标准放射疗法已经发展和改进,目前临床中常用的是光子放疗,比如旋转调强,静态调强,射波刀,TOMO刀,在控制许多癌症方面效果显著。然而,由于X射线束由初级光子和二次电子组成,射线是以直线方式穿过身体,在入射初能量最大,过程中不断衰减,也就是说从皮肤表层下一定深处到肿瘤靶区前方的正常组织都会受到X线照射,并且正常组织接受的放射剂量会高于肿瘤靶区剂量,同时位于肿瘤周边和射线输出路径的组织也不可避免地受到X线照射。
而质子是相对较重的带正电的粒子,它们在击中目标时停止。而X射线束由光子组成,光子是几乎没有质量的粒子,因此它们会一直穿过身体,包括健康的组织。质子释放的能量是远远大于普通放疗中所使用的X射线的,X射线的能量为4~18MeV,而质子的能量为70~230MeV,如果将X线比作篮球,那么质子线就是铅球,下面这张图形象的说明的质子的物理学特性,我们可以清除的看到,质子线在红色肿瘤的位置释放最大的能量之后迅速将剂量降为零,几乎不会损伤到后面的正常心脏组织,而X线照射的特点却是初进人体时剂量最大,逐步衰减,如果肿瘤部位较深,可能X线在肿瘤部位的照射剂量仅剩50%左右,更为严重的是,X射线还会对肿瘤后面的正常心脏组织造成辐射伤害。因此,只要允许放射治疗的肿瘤都可以考虑质子治疗来将正常组织的伤害降到最低。

质子治疗乳腺癌的效果如何
质子疗法对乳腺癌非常有效。
根据2019年对42名未接受转移的乳腺癌乳房切除术后接受质子治疗的研究,治疗后总体3年生存率为97.2%。
质子治疗有可能减少短期和长期副作用,尤其是心脏,肺和淋巴结。对于乳腺癌的质子疗法, 平均而言,与常规X线放疗相比,心脏没有辐射,而肺部遭受的辐射减少50%。目前最先进的质子治疗形式,称为笔形束扫描,来靶向乳腺癌肿瘤并以无与伦比的精确度提供放射治疗。
由于质子治疗在肿瘤部位停止,因此可以最大限度地减少对健康组织的损害。这降低了并发症的风险,包括继发性癌症,心脏损伤或肺部暴露的可能性。





发表评论