文章最后更新时间:2024-08-12 20:13:34,由春晓健康网负责审核发布,若内容或图片失效,请留言反馈!
Adagrasib(MRTX849)治疗结直肠癌3周肿瘤缩小50%,这款抗肿瘤新药对哪些患者有效呢
世界已有超180万新发结直肠癌患者,并超88万余人因结直肠癌去世。在我国,结直肠癌已属于较常见的恶性肿瘤,其发病率和死亡率也呈递增状态,形势不容乐观。
就我国的医疗技术水平而言,相对其它癌症,结直肠癌治疗的愈后较为理想,很多都可实现带瘤生存。早期结直肠癌治愈率达80%以上,及时地干预和治疗对于中期的结直肠癌治愈率也可以达到60%以上。

结直肠癌转移途径
而在癌症的治疗中,医患最不愿意看到的情况就是癌转移。作为较易发生转移的结直肠癌,其转移的途径主要有4种。
①淋巴转移:可通过淋巴结、肠旁淋巴结、肠系膜淋巴结和系膜根部淋巴结等进行转移。
②血行转移:主要通过门脉系统转移到肝脏。
③种植转移:脱落的癌细胞会种植到腹腔腹膜和其它部位的肠系膜上面完成转移。
④扩散浸润转移:直接扩散及沁润周边组织器官。
对于结直肠癌的治疗,即便出现转移也可以进行手术清除,手术仍是目前最主要的治疗方式。而最近一项突破性的临床试验结果,或将推开新治疗技术的大门!

晚期癌症全身转移,不放弃,新药显"威"
47岁的王阿姨在医院检查出晚期结肠腺癌,查出时癌症就已肝脏、腹膜、卵巢等多处发生转移。经多方检查和治疗,医生都表示情况不太理想。但王女士仍是没有放弃,这么多新的治疗方法难道就没有一种适合自己的吗?
在美国,医生通过做基因检测发现存在KRASG12C突变,然后对于该突变基因当时还没有上市的靶向药物。在使用FOLFIRI、卡培他滨、抗体偶联药物治疗后也都无好转。就在感到治疗无望时,一款正在临床试验的代号为MRTX849(Adagrasib,阿达格拉西布)强效抑制剂带来了希望。
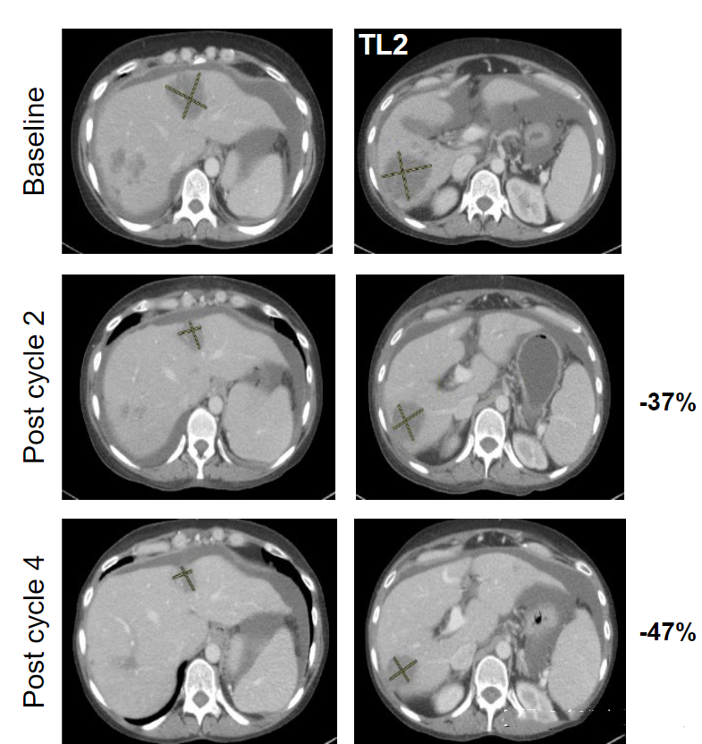
在王阿姨接受新药2周后肿瘤病灶开始出现了缓解,肿瘤缩小近37%。3周的新药治疗过后,肿瘤病灶缩小47%,同时临床症状也有明显好转。在该试验数据发表时,王阿姨仍还在接受该方法治疗中。

治疗后的检查
新药Adagrasib为何效果如此好?哪些患者有效?
Adagrasib是特异性优化口服抑制剂,主要针对能检测出KRAS G12C基因突变的情况。其在非活性状态下不可逆转的能和KRAS G12C选择性的结合,有效组织癌细胞生长并导致其死亡。
强大的活性特点:
①强效:多种KRAS G12C癌症动物模型里均表现出跨膜效力。
②半衰期长:目前唯一一款半衰期长达24小时的KRAS G12C抑制剂。
③高选择性:相比野生型KRAS和其它蛋白质的选择高出1千倍以上。
④治疗指数宽:优秀的安全性和耐受性。
不仅如此,经更多的临床数据证实,Adagrasib在治疗具有KRAS G12C基因突变的结直肠癌、非小细胞肺癌和其它实体瘤时均有可靠的安全性和抗癌活性。


通过这些数据可以看出,如果仅使用Adagrasib可使87%的肠癌患者肿瘤缩小。但是若和靶向药物西妥昔单抗联合使用,100%的患者病情出现缓解或肿瘤缩小。
更值得关注的是,这款美国药物也已在中国启动了临床试验,这意为着符合的广大患者不用出国就可以入组参加,不仅可以获得更新的治疗技术,还不用负担高额的治疗费用。
若不会看检测报告或不清楚自己是否符合或不知道该做什么检测的患者,可以评论区留言,小编会为每个提问的患者给予回复。也希望更多的有效疗法在中国上市。





发表评论