文章最后更新时间:2024-08-12 20:13:23,由春晓健康网负责审核发布,若内容或图片失效,请留言反馈!
肺癌是人类因肿瘤死亡最常见的原因之一,其发病率及死亡率在城市中已位居第一。病理上以非小细胞肺癌(NSCLC)为主,约占85%。大部分患者确诊时已在中晚期,而且60~80%的肺癌患者在明确诊断时已失去手术机会,同时,肺脏是实体肿瘤第二位易转移的器官,紧跟在肝转移瘤之后。外科手术治疗常用于转移瘤数量有限及局限的患者,手术需切除一部分有正常功能的肺组织,因此,也需要新的治疗手段来替代手术。
近年来,微创射频消融(RFA)技术作为一种微创治疗方法在原发性/继发性肺部肿瘤治疗中得到越来越多的应用,并取得了较大进展,被誉为治疗肺癌的“定海神针”。

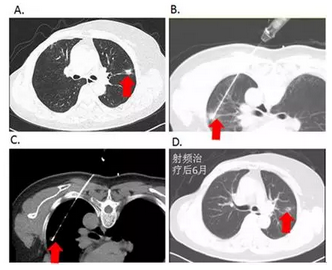
图1:CT引导下肺恶性肿瘤射频消融治疗
何谓射频消融?
射频消融术通过插入肿瘤组织中的电极针和患者体表粘贴的电极板构成电流回路,开启射频发生器之后,电极尖端的高频交流电射入靶组织(图2A),使组织中的离子发生震荡,随之摩擦生热,使电极周围的靶组织内细胞死亡并发生凝固坏死(图2B),同时使肿瘤周围的血管组织凝固形成一个反应带,使之不能向肿瘤继续供血,并且可防止肿瘤转移。射频波还可使肿瘤局部血管凝固,血供减少。同时消融后的肿瘤组织存留在体内,由于其成分及结构改变,可刺激机体免疫力并产生抗肿瘤性细胞毒性抗体,并诱导细胞毒性T细胞免疫。

图2:A,肿瘤组织;B,射频消融后组织凝固性坏死。
RFA适用于哪些肺癌?
1.用于不能耐受手术的非小细胞肺癌。肿瘤直径≤2cm,78~96%患者能达到完全消融;肿瘤直径≤3cm,5年生存率超过50%。对于直径≤5cm的原发性肺癌治疗效果比较好。
2.用于肺转移瘤的治疗。研究表明,肺转移瘤且直径≤2-3cm,接受RFA治疗的肺转移瘤患者,3年生存率为53.7%,4年生存率为44.1%。如图3所示,1例乳腺癌患者术后复发伴左肺单发转移,经RFA治疗后复查及随访近3年,生活质量良好,无远处复发。

图3:患者,女性,48岁,乳腺癌术后单发肺转移。
3.用于晚期非小细胞肺癌患者中酪氨酸激酶抑制剂(TKI)包括如凯美纳、易瑞沙或特罗凯等局部耐药后的治疗。如TKI治疗已经成为晚期非小细胞肺癌中表皮生长因子受体(EGFR)敏感突变患者的一线治疗选择。邵逸夫医院肿瘤研究中心采用RFA技术用于姑息性治疗非小细胞肺癌并克服TKI耐药的可选择治疗方法之一(如图2)。

图4:1 例59岁女性晚期非小细胞肺癌患者(EGFR突变)伴肺内转移,口服TKI药物治疗后15月,右下肺肿瘤(图B)如箭头所示较前(图A)明显增大,疾病进展;经CT引导下右下肺肿瘤RFA治疗(图C),后随访3个月(图D)、6个月(图E)均示控制良好。
4.与化疗、放疗联合治疗。化疗、放疗联合射频消融治疗用于转移性肝、肺肿瘤,两者联合应用,可弥补各自的不足以增强疗效。对比任何一种单独治疗模式,延长了患者的生存时间,改善生活质量(见图5)。

图5:患者,男性,58岁,因结肠癌伴远处多发肝、肺多发转移,难以手术及治疗。结合化疗、靶向药物治疗,特别是结合微创射频消融技术成功无进展生存肝肺转移灶。
5.RFA还可以用来姑息性治疗缓解晚期肺癌患者的各种不适症状。(图6)

图6:1例88岁高龄肺癌患者术后复发伴肺内及胸膜转移(图A、B所示),重度疼痛难以入睡。患者经肺肿瘤RFA治疗后疼痛明显缓解,睡眠质量明显改善。一年后随访,患者一般状况良好,肺内肿瘤病灶稳定。
来源:邵逸夫医院 肿瘤内科





发表评论