文章最后更新时间:2024-08-12 20:12:03,由春晓健康网负责审核发布,若内容或图片失效,请留言反馈!
结直肠癌抗癌小伙阿健病逝,有"富贵癌"之称的结直肠癌新药、新技术还有哪些呢
抗癌小伙阿健终究还是走了
9月9日,网红正能量抗癌小伙“阿健要努力活着”因患直肠癌晚期不幸去世。
从去年5月29日,30多岁的阿健开始发第一条视频,从确诊直肠癌那天开始,他就坚持每天在互联网上传自己抗癌的视频。

他在网上呼吁大家,一定要重视自己的身体,并感谢大家对他的支持和鼓励。
直到半年后,一直坚持日更的阿健突然停更了大半年。
就在网友都快忘记这个人的时候,半年后再出现的阿健令人心疼。
大家终于见到了阿健,他第一次在镜头面前哭。前面所有的治疗与努力的都付之东流,医生诊断他癌症已经复发。
无奈、痛苦、不甘、绝望……
由于没钱,只能听天由命,甚至止疼药都不舍得吃。
仅仅一年多时间,结直肠癌就让阿健从最开始的脸颊圆润到晚期骨瘦如柴,让人唏嘘不已。
结直肠癌是一种典型的“富贵病”,与人们的生活条件和饮食方式有关。随着生活水平的提高,人们的饮食结构向着“三高一低”转变,结直肠癌发病率上升趋势明显,已经成为我国高发癌种。
据最新公开的中国中晚期结直肠癌患者诊疗现状调查结果,83%的患者确诊时已经发展至中晚期,44%的患者发生了肝、肺等部位的转移,因此药物治疗方案、全身治疗方案在结直肠癌的治疗中占据着非常重要的地位。
那么,面对如此穷凶极恶的结直肠癌,各位癌友们想必很想知道近年来到底有哪些新药新技术能够拯救晚期结直肠癌患者呢?今天无癌家园小编就给大家梳理下,以供参考!
结直肠癌靶向治疗
零的突破!BRAFV600E突变转移性结直肠癌迎来首个靶向疗法
有研究表明,约有15%的转移性结直肠癌患者会出现BRAF基因突变,且预后不良,其中V600E突变是最常见的BRAF基因突变,携带BRAF V600E突变患者的死亡风险是携带野生型BRAF基因患者的两倍。
面对如此凶险的BRAF V600E突变转移性结直肠癌,就在2020年4月8日,辉瑞(Pfizer)公司宣布美国FDA已经批准Braftovi®(encorafenib,康奈非尼)和Erbitux®(cetuximab,西妥昔单抗)联合用药方案(Braftovi二药方案),用于治疗携带BRAF V600E突变的转移性结直肠癌(mCRC)患者。这些患者已经接受过一种或两种前期疗法。此次批准,也使Braftovi二药方案成为FDA批准的针对携带BRAF基因突变mCRC患者的首个靶向疗法。

左图为raftovi三药方案与对照组OS比较,右图为raftovi二药方案与对照组OS比较2019年10月最早发表于《新英格兰医学杂志》的结果显示,接受康奈菲尼+西妥昔单抗+贝美替尼治疗三药方案组、康奈菲尼+西妥昔单抗治疗二药方案组的患者中位总生存期分别为9.0、8.4个月,对照组为5.4个月,死亡风险显著降低40%;三药方案组患者中位无进展生存期为4.3个月,客观缓解率为26%;二药方案组患者分别为4.2个月和20%;对照组患者分别为1.5个月和2%。联合用药方案优势显著。
而在2020年1月美国临床肿瘤学会胃肠道会议上公布的最新数据显示:与对照组相比,二药方案组总生存期显著延长(中位OS:9.3个月 vs 5.9个月)、死亡风险降低40%、总缓解率显著提高(20% vs 2%)。
疾病控制率达83%,DS8201击破HER2阳性结直肠癌的枷锁
在2020年ASCO会议上公布的DESTINY-CRC01是一项针对既定既往接受过两线及以上标准治疗的HER2阳性,不可切除和/或转移性结直肠癌患者开展的II期临床试验的方法。
此试验结果表明,经DS-8201单药治疗后,患者的肿瘤客观缓解率为45.3%,其中完全缓解率为1.9%,部分缓解率为43.4%,疾病控制率(DCR)达83.0%,患者的中位无进展生存期(PFS)为6.9个月。

目前尚无获批用于HER2阳性结直肠癌患者的确切治疗药物,而DS-8201在肿瘤缓解率和疾病控制率方面的独特优势将突破HER2阳性结直肠癌治疗的桎梏,为广大患者带来新希望。
针对EGFR突变的靶向药:西妥昔单抗与帕尼单抗肩并肩
目前EGFR突变在结直肠癌中相当常见,其比率约为50%-80%,但是EGFR小分子抑制剂在结直肠癌中基本上没有市场,只是在临床应用上批准的药物主要为EGFR单克隆抗体,即西妥昔单抗(爱必妥)与帕尼单抗两种药物。
由于帕尼单抗和西妥昔单抗的作用机制均为抑制EGFR ,常见的不良反应为皮疹,腹泻等。
此外,疾病的发病部位也会对药物的选择产生影响。目前越来越多的证据表明,位于左侧的结肠癌(包括直肠)患者使用西妥昔单抗或者帕尼单抗类的药物获益更加明显。对于RAS野生型的患者,如果肿瘤位于右侧结肠的话,在靶向药物的选择上,只能选择抗血管形成类药物如贝伐珠单抗。
病病控制率达100%,国产创新药JMT-101横空出世
2019年,我国自主研发的、专门针对EGFR ex20in患者的新药JMT-101已经获得批准投入临床试验,以多种实体瘤为目标,向癌症发起挑战。
在2020年ASCO线上会议中,一项使用我国自主研发的、针对多种实体瘤的人源化EGFR单克隆抗体创新药物JMT-101治疗晚期大肠癌患者的试验结果首次公开,JMT-101联合mFOLFOX6治疗组及联合FOLFIRI治疗组的客观缓解率为57.1%,疾病控制率达到100%,疾病控制时间超过2年!

最难治KRAS突变:两款新药跃跃欲试
KRAS突变在结直肠癌中的阳性率最高可以达到32%~40%,为最常见的突变类型之一。但针对这一靶点,临床上长期缺乏精准医疗方案,患者预后较差。
但医学研究者并没有因此望而却步,目前有两款KRAS抑制剂的研发进度遥遥领先于其他药物,已经在权威会议或杂志上公开了初步研究数据。
1、AMG510:疾病控制率达76.2%,疗效安全两手抓
Sotorasib(AMG510)是首款抵达临床阶段的KRAS G12C抑制剂,曾获孤儿药称号,又遥遥领先其它同类药物,率先在非小细胞肺癌适应症上获得了FDA突破性疗法的指定。
根据已经发布于2020年ESMO大会亚洲分会上的数据,AMG510在多种消化系统肿瘤的治疗中展现出了良好的安全性与初步疗效。试验结果显示,AMG510治疗42例KRAS G12C突变型结直肠癌(大肠癌)患者,缓解率7.1%,疾病控制率达到了76.2%。绝大多数患者对于治疗的耐受性良好,安全性较好。
2、MRTX849:新药疾病控制率94%,联合用药成潮流
Adagrasib(MRTX849)是一款靶向KRAS G12C突变的新型药物,临床前研究已经证实了其对于KRAS G12C突变具有良好的抑制效果,目前正在进行临床试验。
在Ⅰ/Ⅱ期KRYSTAL-1试验中,纳入的均为KRAS G12C突变阳性、无法切除或转移性的非小细胞肺癌或结直肠癌患者,单药治疗客观缓解率分别为45%和17%,疾病控制率更是高达96%和94%;在其他实体瘤的治疗中,子宫内膜癌、胰腺癌、卵巢癌和胆管癌的患者各1例,均达到了临床部分缓解,2例阑尾癌患者疾病稳定,全部6例患者均在继续接受治疗。
研究者未来还将进一步验证联合用药的疗效,例如,MRTX849联合派姆单抗治疗非小细胞肺癌,与西妥昔单抗联合治疗结直肠癌,SHP-2抑制剂TNO-155联合治疗非小细胞肺癌和结直肠癌,和与阿法替尼联合治疗非小细胞肺癌等。
其他靶向药层出不穷:尤其是NTRK、VEGF、MSI
NTRK
约1~5%的结肠癌患者出现NTRK融合,建议进行NGS检测。
目前,FDA已经批准了拉罗替尼和恩曲替尼用于NTRK融合阳性的实体瘤患者。
VEGF
目前已获批的可用于结直肠癌的抗血管生成药物有:贝伐单抗、瑞戈非尼、阿柏西普、雷莫芦单抗、呋喹替尼。
MSI
预后优劣顺序:MSI-H 且 BRAF 野生型>MSI-H 且 BRAF 突变型>MSS 且 BRAF 野生型>MSS 且 BRAF 突变型。
目前可以应用于 MSI-H 型 mCRC 患者的免疫检查点抑制剂有派姆单抗、纳武单抗及易普利单抗。
95%的结直肠癌患者都是MSS型,这类患者往往对免疫治疗的效果不佳,临床迫切需要更加有效的治疗方案。其中针对转移性结直肠癌患者,2020年6月ASCO会议上,报告了PolyPEPI1018疫苗作为维持治疗的I期研究结果,入组的11名MSS(微卫星稳定)的患者对疫苗耐受性良好。
结直肠癌免疫治疗
专门针对结直肠癌术后复发的疫苗横空出世
Oncovax疫苗是采用患者自体大肠癌细胞开发的自体肿瘤细胞疫苗,用于在大肠癌切除后对患者进行辅助治疗。
该疫苗是一种由经照射后无增殖和无致瘤性但具有代谢活性的自体肿瘤细胞与活减毒分枝杆菌——TICE® BCG 结合而成的患者自体肿瘤细胞疫苗。通过从切除的大肠癌组织中提取、纯化肿瘤细胞,再经放射处理,然后接种给患者,针对手术后可能仍存在于患者体内的残留癌细胞产生有效和个性化的免疫应答。杀灭残留癌细胞是预防肿瘤复发的关键。
该项研究结果发现治疗组的复发风险显著降低。在患者分期分析中,OncoVAX® 对Ⅲ期结肠癌患者无显著疗效,但可明显延长Ⅱ期结肠癌患者的无复发期,并且总复发风险率和死亡风险降低。在5.8年的中位随访期间,OncoVAX® 明显延长了无复发间期,提高了5 年OS 和无复发生存率等,所有这些试验目标都具有统计学意义。

晚期结直肠癌具有较高的死亡率,几乎没有更有效的治疗方法。幸运的是,近些年来的CAR-T研究成果给晚期结直肠癌患者带来了新的希望!
新型CAR-T疗法抗癌效果翻倍!多种新型靶标挑战结直肠癌!
1、针对CEA阳性CRC患者,CAR-T疗法安全又有效
靶点:CEA
癌胚抗原(CEA)是具有人类胚胎抗原特性的酸性糖蛋白,是一种广谱的肿瘤标志物。
此项研究主要以5个递增剂量的CAR-T细胞治疗10例CEA阳性的转移性结直肠癌患者,结果并未显示出与CAR-T治疗相关的严重毒副反应事件,有7例患者治疗后病情稳定,其中2例患者病情稳定超过30周,另外2例患者肿瘤病灶缩小,多数患者血清CEA水平明显下降甚至可观察到有CAR-T细胞的增殖,并对于CEA阳性患者来说,高剂量CAR-T细胞治疗可以耐受。
该研究表明,CAR-T细胞治疗CEA阳性的结直肠癌的有效性和安全性是极为可观的。
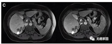
典型病例示意图

患者P9的PET/CT显示肿瘤活性明显减弱

通过MRI观察到患者P10的一个肝脏病变发生萎缩
2、靶向EpCAM抗原的CAR-T的杀伤作用不可小觑
上皮细胞黏附分子(EpCAM),又名CD326,是一种跨膜糖蛋白,在结直肠癌的发生、发展中发挥着重要作用,且已被用于结直肠癌治疗。
在一项山西医科大学的研究论文中,研究人员用转染T细胞构建靶向EpCAM抗原的CAR-T细胞(抗EpCAM-CAR-T),将裸鼠分为CAR-T组(注射转染EpCAM-CAR的T细胞)、空载体组(注射转染空载体的T细胞)、T细胞(注射普通T细胞)和空白组(注射培养基),每组6只。
结果通过解剖裸鼠,剥离瘤体,进行肉眼观察,并用容积法测量瘤体体积。结果发现,EpCAM-CAR-T组的瘤体最轻(2.31g),平均体积最小(281.01mm3),如下图所示。

这结果表明,EpCAM-CAR-T细胞对EpCAM阳性结直肠癌细胞发挥了杀伤作用。
3、生存期翻5倍!新型CAR-T疗法将开展人体试验
来自Jefferson Health的Sidney Kimmel癌症中心(SKCC)的研究人员表示,CAR-T细胞疗法可以成功杀死肿瘤(结直肠癌)并预防小鼠疾病模型中肿瘤的转移性生长。
这款结肠直肠癌的肿瘤抗原称为GUCY2C。Jefferson药理学和实验治疗系主任,Scott Waldman博士将该抗原鉴定为结肠直肠癌的潜在生物标志物和治疗靶点。
为了更精准的模拟人类晚期疾病,在进一步的实验中,Snook博士及其同事还研究了发生肺转移的结直肠癌小鼠模型,这是结直肠癌患者发生转移的常见部位。结果显示:接受CAR-T治疗的小鼠在100天内存活,并且无转移,而对照组的平均存活时间仅为20天,这意味着接受CAR-T治疗的小鼠生存期是对照组的5倍!

国内CAR-T细胞治疗实体瘤临床研究进行中
除了上述提到的比较突出的研究外,CAR-T治疗结直肠癌的主要靶点还包括CD133、EGFR、HER2等。目前国内正在积极开展实体瘤的CAR-T临床研究,并不仅限于结直肠癌。若想参加可以咨询无癌家园申请参与CAR-T实体肿瘤的临床试验。
近年来,科学家们已经做出了相当大的努力来开发新的方法攻克结直肠癌等实体瘤的障碍,并采用优化策略用于针对这些特定适应症的CAR-T疗法。我们期待着,越来越多的临床前/临床试验数据能够拼凑出一幅完整的拼图,充分展示CAR-T细胞疗法治疗结直肠癌等实体瘤的真正实力。





发表评论