文章最后更新时间:2024-08-12 20:11:43,由春晓健康网负责审核发布,若内容或图片失效,请留言反馈!
食道癌新药,食管癌靶向药物拉罗替尼临床案例治疗效果良好
2018年11月26日,整个医疗界和癌友圈都为一款FDA新批准上市的抗癌药物沸腾,这就是全球首个不区分肿瘤来源用于初始治疗的靶向药--Vitrakvi ®(拉罗替尼,larotrectinib,下文统称拉罗替尼),用于成人和小儿具有神经营养受体酪氨酸激酶(NTRK)基因融合的实体瘤治疗。
这在肿瘤治疗史上是一个振奋人心的里程碑。
这款堪称“治愈系”的传奇抗癌药获批的临床数据的疗效让人印象深刻:在TRK融合癌患者的临床试验中,入组的55位患者,拉罗替尼的总缓解率高达ORR为75%,其中22%的患者完全缓解。基于此数据被批准用于成人和小儿具有神经营养受体酪氨酸激酶(治疗NTRK)基因融合的实体瘤治疗。
虽然这款药物不区分癌症种类,有效率超高,但是大家同样也关心这个药物是否能够长期使用,长期使用是否安全等问题。
在NTRK基因扩增食管癌中,拉罗替尼具有抗肿瘤活性
今天小编就跟各位癌友分享一则2020年4月份刊登在《The Oncologist》杂志上的NTRK基因扩增食管癌临床案例,以供大家参考。

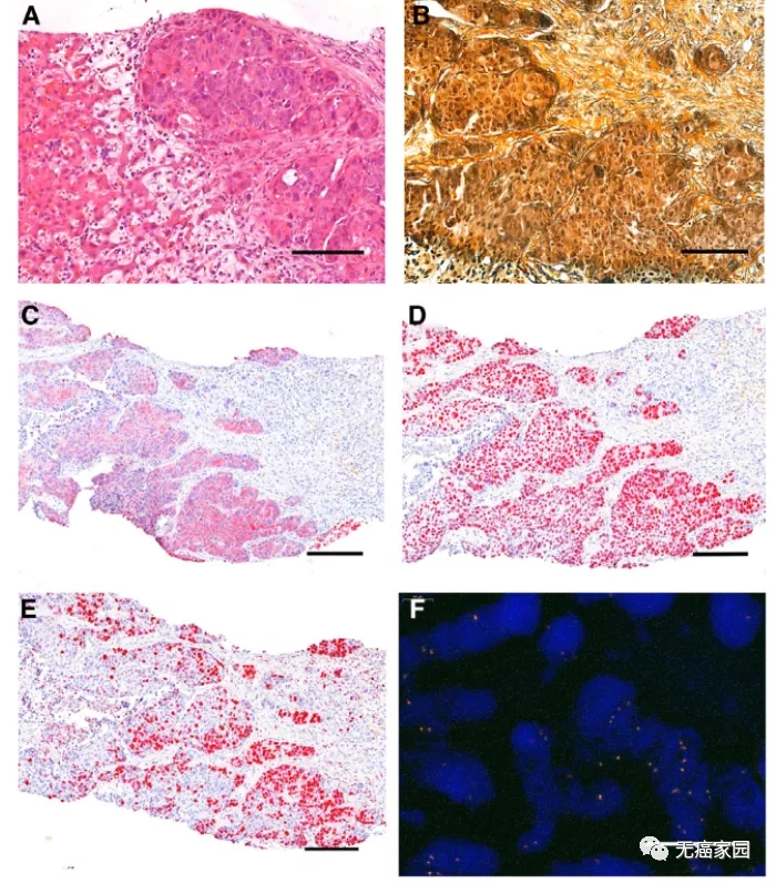
此名患者是一位71岁的男性,2018年12月感到吞咽障碍、伴有咳嗽、呼吸困难等症状,3个月内体重减轻20公斤,身体状况不佳,ECOG体力状况评分为3分(生活仅能部分自理,日间一半以上时间卧床或坐轮椅)。患者没有酗酒、吸烟史,也未得过肿瘤,食管胃十二指肠镜检查显示在食管中断有狭窄性食管癌,CT显示双侧肺转移,超声检查和CT显示多发性肝转移。食管肿瘤活检和经超声检查控制肝活检诊断确认。
经过FoundationOne CDx测试等常规组织学检查,确定患者为转移性鳞状细胞食管癌。测序结果中显示肿瘤组织中含有NTRK1基因突变,遂从2019年2月4日开始服用拉罗替尼治疗,患者接受2×100毫克的标准剂量,治疗期间未发生副作用。

患者常规组织学检查测序结果
患者治疗前于2019年1月4日完成螺旋CT扫描,起初显示出多处肺和肝转移。在治疗后评估ECOG体力状况评分为1,并且体重增加9公斤,能够离开医院且生活自理。2019年4月17日进行的随访活检检查(食管胃十二指肠镜检查)证实了患者的食管再无肿瘤。

患者食管支架治疗前用拉罗替尼及治疗后6周食管胃十二指肠镜检查结果
讲到FoundationOne®CDx,小编不得不提及之前报道过的重要信息
就在2020年10月23日,拜耳宣布,美国食品药品监督管理局(FDA)已批准FoundationOne®CDx用作首个伴随诊断方法,以帮助鉴定可能适合使用Vitrakvi®(larotrectinib)治疗的神经营养受体酪氨酸激酶(NTRK)基因融合阳性患者。FoundationOne CDx是FDA批准的针对所有实体瘤的综合基因组分析(CGP)测试。
除了上述分享的国外文献临床案例外,小编还要提及两则重要的临床研究,以证实拉罗替尼对抗NTRK实体瘤的惊人疗效!
NEW:客观缓解率达71%,拉罗替尼迎战TRK融合肺癌
拉罗替尼(Larotrectinib)是一种具有中枢神经系统(CNS)活性且高度选择性的EMA和FDA批准的TRK抑制剂,在多种癌症中显示出79%的客观缓解率(ORR)和35.2个月的中位反应持续时间(DoR)。在2020年ESMO大会上有学者报告了接受拉罗替尼治疗肺癌患者的最新数据。
招募了14例转移性TRK融合肺癌患者:13例非小细胞肺癌和1例小细胞肺癌。11例NTRK1 融合,3例 NTRK3融合。7名患者发生了基线中枢神经系统CNS转移。患者平均接受了三种先前的治疗(范围1-5)。
结果显示:拉罗替尼的客观缓解率为71%:其中1例患者为完全缓解,9例患者为部分缓解,3例为疾病稳定,1例疾病进展。中枢神经系统转移患者的客观缓解率为57%。估计12个月的无进展生存PFS率为69%。
由此可见,拉罗替尼的耐受性良好,治疗中出现的不良事件主要为1~2级。
有效率达79%,不限癌种拉罗替尼攻克NTRK实体瘤
除了上述临床研究外,其实早在2020年美国癌症研究协会(AACR)虚拟年会上就更新了广谱抗癌药拉罗替尼治疗NTRK实体瘤的最新数据。
其中,NTRK融合组的中位缓解持续时间(DOR)为35.2个月,非融合组的DOR为3.7个月。融合组的中位无进展生存期(PFS)为28.3个月,非融合组的中位PFS为1.8个月。融合组的中位总生存期(OS)为44.4个月,非融合组的中位OS为10.7个月。融合组在中位DOR、中位PFS以及中位OS表现方面都优于非融合组。

治疗反应:NTRK融合组中64%的患者仍在继续治疗。

在肿瘤尺寸改变方面,融合组相比非融合组体现了较大的肿瘤大小的缩小。在ORR方面,融合组的ORR为79%,非融合组的ORR为1%,融合组的疗效显著优于非融合组。在最佳反应方面,融合组中CR率为24%,而在非融合组,CR率为0。从而可以看出融合组在疗效和最佳反应方面的表现都显著优于非融合组。

无癌家园临床招募
去年7月,拉罗替尼将在国内开展临床招募的信息公布后,引起了广泛的关注,经过半年多的审批流程,近日,广谱天价抗癌药拉罗替尼针对成人实体瘤和儿童实体瘤的两项试验终于正式在国内开始招募患者了!这意味着,国内的患者也终于有机会免费用上这款美国的抗癌“特药”!
适合患者:
通过分子学方法检测出NTRK1、NTRK2或NTRK3融合基因的局部晚期或转移性恶性肿瘤,必须接受过 适合其肿瘤类型和疾病分期的既往标准疗法失败后的患者。(即将招满,想申请的火速联系医学部400-626-9916)
参考文献
1.https://theoncologist.onlinelibrary.wiley.com/doi/epdf/10.1634/theoncologist.2019-0641
2.https://www.esmo.org/meetings/esmo-virtual-congress-2020/programme





发表评论