文章最后更新时间:2024-08-12 20:07:00,由春晓健康网负责审核发布,若内容或图片失效,请留言反馈!
肺癌免疫治疗和靶向治疗哪个好,靶向治疗好还是免疫治疗好来看看这个案例
临床上,很多患者做完基因检测,看报告的时候会发现,自己查出阳性的项目远不止一个,或者同时存在一些靶向治疗相关的基因突变以及PD-L1阳性和MSI-H等免疫治疗相关的标志。
对于这些患者来说,治疗方案该如何选择呢?
这一次,我们为大家带来了一位同时存在PD-L1阳性表达(20%~30%)以及NCOR2-NTRK1融合突变的患者。这位患者先后尝试了免疫治疗与靶向治疗,结果如何呢?
两类标志都存在,用NTRK抑制剂还是PD-1单抗
说来有些遗憾,这位患者2015年10月最初确诊时其实是ⅢA期(T2aN2M0)的肺腺癌,并且有手术的机会。
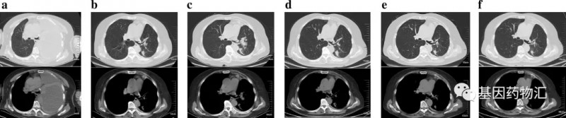
按照经验来说,Ⅲ期肺癌的治愈率也能有20%~30%,当然前提是患者按照规范进行术后的辅助治疗,并且按时复查、及时判断复发的情况。但这位患者拒绝了所有的辅助治疗,并且拒不复查,导致错失了治疗良机,直到3年多以后的2019年6月,她再因呼吸困难就诊的时候,再次被诊断为Ⅳ期的肺腺癌(下图a,可见大量胸腔积液;图b为胸腔穿刺后影像,可见左下叶2病灶)。
这次患者的NGS和IHC检测结果显示,患者的癌细胞PD-L1表达为20%~30%,而且肿瘤突变负荷很高,TMB为58.58个突变/Mb;除此以外,这位患者还查出了一种未有过报道的新NTRK融合突变亚型,NCOR2-NTRK1融合。
肿瘤突变负荷和PD-L1表达等一样,也是免疫治疗获益的指征之一。TMB水平分为三组:低TMB(1~5个突变/Mb,约占患者中的50%)、中TMB(6~19个突变/Mb,约占患者中的40%)、高TMB(≥20个突变/Mb,约占患者中的10%)。
由于患者开始治疗时没法获得拉罗替尼(毕竟这是一位中国的患者,想要使用外国药物,相对来说比较受限),于是首先选择了国产PD-1抑制剂卡瑞利珠单抗的单药临床试验。
但最终,治疗效果不是很理想。接受治疗2个月后复查胸部CT时,患者的病灶仍在变大(图c),提示疾病持续进展。医生考虑为患者更换方案。
机缘巧合,使用拉罗替尼的机会来了。这一次,患者用上了针对她NCOR2-NTRK1融合突变的靶向治疗药物,TRK抑制剂拉罗替尼。用药仅1个月,复查时CT扫描(图d)就显示病灶体积缩小了30%,达到了部分缓解!
疗效良好,患者继续治疗。又2个月之后的检查结果显示(图e),患者的病灶体积缩小50%,且还在持续缩小,没有新发的转移病灶。至用药半年(图f),一部分病灶彻底消失。截至2020年12月,患者已经持续治疗超过15个月!

图a为患者2019年6月诊断时的CT影像,可见大量胸腔积液;图b为患者胸腔穿刺后的影响,排除胸腔积液干扰后,发现左下叶有2个转移性结节;图c为患者接受PD-1抑制剂卡瑞利珠单抗治疗2个周期后的影像,病灶仍在增大;图d为患者应用拉罗替尼治疗1个月后的影像,部分病灶开始缩小;图e为患者接受拉罗替尼治疗3个月后的影像,部分病灶不断缩小;图f为患者接受拉罗替尼治疗6个月后的影像,部分病灶缩小,甚至消失。
免疫治疗 vs 驱动基因突变阳性肺癌
如今的非小细胞肺癌精准治疗是“两条腿走路”,指南推荐一部分突变类型的患者优先选择靶向治疗,同时对于一部分靶向治疗失败之后、或没有靶向方案可以选择的患者,也推荐选择免疫治疗方案。
但相同的免疫治疗,对于不同突变类型的患者的效果也不一样。2019年公开结果的IMMUNOTARGET试验,就评估了各常见突变类型的非小细胞肺癌患者接受免疫治疗的响应率。

我们可以从结果中看出,BRAF和KRAS突变的患者对于免疫治疗的响应率比较高,整体的缓解率在20%~30%;MET、RET、HER2、EGFR、ALK、ROS1这些突变类型的患者,对免疫治疗的响应率比较低,在10%上下,但事实上这个问题并不严重,因为这些突变类型的患者,靶向治疗的选择非常丰富。
NTRK融合突变在肺癌当中本来就比较罕见,这类患者接受免疫治疗的临床试验更少。部分回顾性研究当中指出NTRK突变患者表现为微卫星稳定(MS-S)的概率比较高,这是一种免疫治疗效果不理想的标志。
当然,部分使用免疫治疗方案的研究也纳入过NTRK融合突变的患者(2例),其中1例患者达到了临床部分缓解,提示此类患者仍有可能从免疫治疗当中获益。
但整体来说,如我们文首病例中所提出的那样,许多NTRK融合突变的患者,并不能如理想中一般,从指南推荐的免疫治疗方案当中获益。
NTRK抑制剂,即包括拉罗替尼、恩曲替尼、瑞波替尼(TPX-0005)在内的多款药物,却能够成为这些患者的希望!
NCCN指南已经更新,NTRK抑制剂升至一线
2019年的NCCN指南更新,将拉罗替尼列为NTRK融合突变阳性非小细胞肺癌的一线治疗选择。
拉罗替尼治疗肺癌的疗效如何呢?2021年世界肺癌大会上公开的、Ⅰ期及Ⅱ期试验数据综合分析结果显示,在15例NTRK融合突变的肺癌患者当中,独立评审委员会评估的整体缓解率高达87%,其中完全缓解率为13%;除此以外,所有患者的肿瘤都有不同程度的缩小。
在基线存在脑转移的患者(共8例)当中,整体缓解率也高达88%。
秉承拉罗替尼一直以来的持久疗效,这部分患者的中位缓解持续时间也长达15.6个月,中位无进展生存期22.1个月;患者的12个月生存率为86%。
这个数据非常出色了!
NTRK抑制剂临床试验正在招募
包括拉罗替尼、恩曲替尼、瑞波替尼等在内,多款NTRK抑制剂都已经开展了临床试验项目,正在招募国内患者。如果各位患者发现自己有某一类型的NTRK融合突变,一定要联系我们,尝试NTRK抑制剂的临床试验项目。
尚未测试过这个靶点,或者不确定自己的报告结果是否包含这一条目的患者,也可以将报告发送给我们(doctorjona0404@gmail.com),由我们安排专业的医学顾问,协助您进行初步的筛选。
参考资料/文中图片及案例来源
[1] Zhang, L., Liu, H., Tian, Y. et al. A novel NCOR2-NTRK1 fusion detected in a patient of lung adenocarcinoma and response to larotrectinib: a case report. BMC Pulm Med.
[2] Li T, Li J. Efficacy of Immune Checkpoint Inhibitors for Non-small Cell Lung Cancer with Rare Mutation. Zhongguo Fei Ai Za Zhi.





发表评论