文章最后更新时间:2024-08-12 20:06:43,由春晓健康网负责审核发布,若内容或图片失效,请留言反馈!
专家视点|方勇教授讲晚期非小细胞肺癌ROS1阳性基因突变及ROS1基因突变靶向药物
自2017年我国国家食品药品监督管理总局正式成为ICH成员后,在我国国内注册的自主研发药物数量呈井喷式增长,使用新药治疗癌症的希望正徐徐展现在患者们的面前。
靶向药物是目前新药研发领域最受关注的方向。针对各种靶点的新药涌现,针对已有药物的各种不足之处,为患者抗癌铺平了道路。
ROS1融合突变是肺癌精准治疗时代下不可忽视的靶点,也是肺癌领域继靶向药物研发最多的EGFR靶点与公认的“钻石突变”ALK之后,又一在研药物多、疗效好、患者生存期长的重要靶点。
本次直播课中,全球肿瘤医生网邀请到了浙江大学医学院附属邵逸夫医院肿瘤内科方勇主任,针对ROS1靶点深入剖析,带大家详细解读ROS1新药的最新研究进展及备受关注的临床研究项目。
肺癌精准治疗时代下不可忽视的靶点——ROS1融合基因
精准疗法:肺癌患者长期生存的拐点
根据美国SEER数据库1975~2016年间统计的数据,非小细胞肺癌患者的整体5年生存率从1975~1977年的16.4%提升到了2010~2016年的26.5%,其中1975~1990年期间变动很小,但从1990年以后开始迅速增长;小细胞肺癌的5年生存率从1975~1977年的12.2%提升到了2010~2016年的21.8%,肺及支气管癌也从3.6%提升到了7.0%。

这样显著的提升,与精准医疗的发展是密切相关的。早年,医学界一直按照组织学划分疾病类型;1987年,KRAS突变被发现,并认为其存在于约50.0%的患者当中;2004年,EGFR突变被发现,彻底为肺癌的治疗带来了一次变革。

至2014年以后,越来越多的驱动基因被发现。如今,根据各种指南推荐,肺癌患者可以考虑检测、有获批药物或在研药物的重要靶点已经多达12个。
精准质量的实现离不开精准的检测和诊断。目前的国内外权威指南中均推荐患者必须检测EGFR、ALK和ROS1这三大靶点,又称为EAR三联检测。此外,指南中还推荐患者应该检测BRAF、MET、HER2、KRAS和RET等重要靶点。

ROS1:更具潜力的精准治疗靶标

在精准医疗水平发展不足的时候,临床对于ROS1了解还不多。但2014年克唑替尼的问世,为整个肺癌精准医疗注入了全新的活力。从下图中可以看到,在克唑替尼获得临床应用后,存在ROS1融合突变的患者整体治疗效果甚至可以优于EGFR和ALK突变型的患者。

当然,ROS1融合突变并不仅仅只有一种亚型。临床上存在多种融合类型,十余种融合类型、十几条通路,甚至比EGFR突变型的亚型还要复杂。随着不断的研究与发现,目前临床上已经确定的、相对常见的ROS1融合突变亚型包括:

根据目前的研究,ROS1阳性非小细胞肺癌具有一些独特的特征。美国研究显示,ROS1阳性非小细胞肺癌多为年纪较轻的患者,无吸烟史、亚裔,疾病类型多为腺癌,分期较晚;针对中国人群的研究同样证实了这些特征,在6606例病理证实的非小细胞肺癌患者中,ROS1阳性率为2.50%,患者的发病年龄段主要集中于55~60岁。
克唑替尼:国内外权威指南一致推荐
包括美国NCCN指南和中国CSCO指南在内的各大权威指南中,均将克唑替尼作为ROS1阳性非小细胞肺癌一线首选抑制剂(TKI)。

那么,克唑替尼究竟是一款怎样的药物,究竟为何能够获得医疗界的一致认可与推荐呢?
ROS1阳性晚期非小细胞肺癌的优化治疗策略
一线治疗最佳方案:克唑替尼疗效出众
2009年,克唑替尼治疗非小细胞肺癌的PROFILE 1001研究拓展了ROS1队列,2014年,PROFILE 1001研究的结果首次发表于NEMJ上,结果显示,克唑替尼对ROS1阳性非小细胞肺癌具有显著的抗肿瘤活性,一线治疗的整体缓解率高达85.7%,在所有线治疗的患者群体中整体缓解率也达到了72%。

整体缓解率指所有病灶最大径之和缩小30%以上的患者所占的比例,包括完全缓解与部分缓解的患者。如果统计疾病控制率,克唑替尼的疗效会更好。PROFILE 1001研究的结果一经公开,立刻受到了医学界的广泛关注。
除了缓解率,很多患者还会关心靶向药物使用后发生耐药的问题。在缓解的持久性方面,克唑替尼的缓解持续时间长达24.7个月。这意味着仅克唑替尼一种药物就能使用两年的时间,完全超过了其它靶点的靶向药物的数据。

在无进展生存期与总生存期方面,克唑替尼治疗的中位无进展生存期达到19.3个月,中位总生存期达到51.4个月,这一试验结果为ROS1阳性非小细胞肺癌的治疗奠定了良好的基础、建立了新的基准。

在不同突变亚型的患者亚组中,克唑替尼都展现出了十分出色的疗效,在包括缓解率与总生存期的各个方面表现良好,对于部分突变性的疗效更加出色。

在大家同样非常关注的不良反应方面,克唑替尼治疗的耐受性整体良好,不良反应可控。大多数治疗相关不良反应主要为1~2级,无4~5级严重不良事件发生;所有不良反应均可通过调整剂量或对症治疗缓解,没有导致永久性停药的严重不良事件;长期使用克唑替尼治疗未报告新的安全性事件。

在不同人种中进行的多项前瞻性研究也证实了克唑替尼在ROS1阳性的晚期非小细胞肺癌治疗中的疗效。在欧洲人群中的整体缓解率为73.3%,中位缓解持续时间19.0个月,中位无进展生存期10个月;在东亚人群中的整体缓解率为71.7%,中位缓解持续时间19.7个月,中位无进展生存期15.9个月。

在由中国学者进行的大型对照研究中,一线克唑替尼治疗的疗效显著地超过了标准化疗方案。其中上海中心的整体缓解率从44.7%提升至86.7%,中位无进展生存期由8.6个月延长至18.4个月;北京中心的整体缓解率从56.5%提升至83.9%,中位无进展生存期由8.5个月延长至14.9个月。

由此,我们可以肯定地得出结论,克唑替尼治疗ROS1阳性晚期非小细胞肺癌患者的疗效完胜化疗。
其它一线治疗选择:多款药物具有良好疗效
虽然克唑替尼的缓解持续时间可以达到近2年,但也仍然存在着耐药的风险。色瑞替尼同样是一款可以针对ROS1与ALK靶点的药物,目前在中国已经进入医保,作为ALK阳性患者的二线治疗方案。用于治疗ROS1阳性晚期非小细胞肺癌患者,色瑞替尼的疗效同样显著。
一项Ⅱ期临床研究纳入32例ROS1阳性晚期非小细胞肺癌患者,其中30例(94%)为一线治疗,采用色瑞替尼的整体缓解率为62%,其中一线治疗整体缓解率为67%;中位无进展生存期为9.3个月,其中一线治疗中位无进展生存期为19.3个月;整体中位总生存期为24个月。

采用恩替替尼治疗,整体缓解率为77%,未发生脑转移的患者中位无进展生存期为14个月,发生了脑转移的患者中位无进展生存期为26个月;目前恩替替尼治疗的总生存期数据尚不成熟,但已经可以看出其良好的治疗潜力。

以时间线为轴,用一张图总结起来,我们可以清楚地看到,在2009~2020年这11年间,ROS1阳性非小细胞肺癌的一线用药方案一直在发展,不断有新药、新疗法、新数据出现,整体的缓解率都能保持在70%以上,中位无进展生存期集中在20个月上下。

一线治疗耐药后选择:劳拉替尼力挽狂澜,多款药物潜力可期
目前,根据国内外权威指南推荐,ROS1阳性晚期非小细胞肺癌克唑替尼治疗耐药后有两种选择。一种是继续使用克唑替尼治疗,一种是序贯劳拉替尼治疗。
由于劳拉替尼尚未在国内上市,因此国内指南推荐的方案为继续使用克唑替尼治疗。这种方案可以将患者的中位无进展生存期延长5.9个月。其中,联合局部治疗的患者中位无进展生存期为9.9个月,不联合局部治疗的患者中位无进展生存期为4.2个月,局部治疗主要包括脑部放疗、骨骼放疗、皮下结节放疗等。

相比起来,采用序贯劳拉替尼的治疗方案,患者的生存期获益更加显著,中位无进展生存期可以达到12.7个月。将一线克唑替尼治疗方案的获益计算在内,总的中位无进展生存期可以长达33.6个月!

2020年ASCO上也公开了既往克唑替尼治疗耐药的晚期非小细胞肺癌患者,序贯二线以上劳拉替尼的疗效,中位总生存期可以达到20.9个月。众多其他研究结果也证实了这一结论。

除劳拉替尼以外,还有多款靶向药物对克唑替尼耐药后的ROS1阳性晚期非小细胞肺癌具有较好的疗效。色瑞替尼治疗的疾病控制率为56%;卡博替尼治疗4例克唑替尼耐药患者,4例患者疾病控制良好。

罗切替尼治疗曾接受过1种靶向药物治疗的患者,整体缓解率为39%;布加替尼在ALK阳性患者治疗中作为二线治疗方案使用,治疗2例曾接受过克唑替尼治疗的患者,1例病情稳定,1例病情进展。

上述大多数药物并没有在中国上市,且均未获得ROS1靶点的适应症批准,对于国内患者来说获取难度很高。幸而国内药企针对这一靶点的研究同样丰富,正大天晴药业自主研发的新药TQ-B3139已经获得了初步的成功。TQ-B3139治疗ROS1阳性晚期非小细胞肺癌患者的整体缓解率为75.0%,所有患者的中位无进展生存期为12.1个月。
此外,葆元医药公司研发的DS-6051B在美国和日本中心进行的研究也取得了初步的成果,整体缓解率达到33.3%。

将上述所有药物纵向对比可以看出,对于接受过克唑替尼治疗的ROS1阳性患者来说,可以作为候选的用药方案非常丰富。其中一线治疗进展后缓解率最高的药物为TQ-B3139,达到75%。

克唑替尼耐药原理:多种机制,以G2032R为主
从原理上分析,ROS1阳性非小细胞肺癌患者使用克唑替尼耐药的机制分为两类。
其中一类是靶点基因突变,分为突变和基因扩增,其中最常见的耐药突变为G2032R,占到了约80%;另一类原因为旁路信号激活。

各种ROS1-TKI对于ROS1二次突变型的治疗活性不同,其中针对G2032R这一靶点具有治疗活性的药物种类较多。

方勇教授强调,患者应当在发生耐药后做二次穿刺活检,检测包括G2032R在内的各类重点突变型,根据检测结果更加准确地判断患者下一步应当使用哪一类药物,以获得更好的疗效。
国家Ⅰ类创新药物尤克替尼:整体缓解率可达87.5%

尤克替尼(TQ-B3101)是一款由我国正大天晴药业自主研发的小分子抑制剂药物,针对ALK/ROS1/c-MET靶点,为Ⅰ类创新药物,与2016年获批临床试验,目前正在进行Ⅱ期临床试验。
TQ-B3101的Ⅰ期临床研究结果发布于2020年ASCO大会,截至2019年12月30日共纳入30例患者。在24例ALK阳性或ROS1阳性或MET过表达的患者中,整体缓解率达到62.5%;在350 mg bid剂量组中,整体缓解率可以达到87.5%;在发生了脑转移的8例患者中,整体缓解率为62.5%;在22例基线无脑转移的患者中,仅有1例患者在治疗后发生了脑转移。
Ⅰ期试验案例分享:MET扩增患者达到部分缓解
患者男,69岁,肺腺癌,cT3N2M1,Ⅲb期;基础情况:ECOG评分1分,无伴随疾病,MET扩增阳性。
患者于2019年接受培美曲塞+卡铂+贝伐珠单抗化疗,2019年7月3日起接受TQ-B3101治疗,剂量为350 mg bid,达到疾病部分缓解。

患者右肺上结节明显缩小
Ⅰ期试验案例分享:ALK突变患者病灶缩小28.6%
患者男,65岁,肺腺癌,Ⅳ期;基础情况:ECOG评分1分,伴随疾病为类风湿性关节炎,ALK融合突变阳性。
患者于2015年接受培美曲塞+顺铂化疗;2017年3月接受色瑞替尼治疗,由于疾病持续进展而离组;2018年12月12日起接受TQ-B3101治疗,剂量为300 mg bid,患者疾病稳定,病灶缩小28.6%。

患者右上肺结节缩小
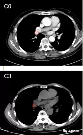
Ⅰ期试验案例分享:ROS1融合突变患者持续治疗超过11个月
患者男,36岁,右中下肺腺癌伴多发转移,T4N3M1c,Ⅳb期;基础情况:ECOG评分1分,伴随扁桃体肿大、咳嗽、咳痰、气促、屈光不正,ROS1融合阳性。
患者于2019年9月6日起接受TQ-B3101治疗,剂量为300 mg bid,达到部分缓解,目前仍在接受治疗,治疗持续超过11个月。

C1周期末时,患者右肺门肿块消失

纵隔淋巴结及胸水与基线时相比均有改善
TQ-B3101 Ⅱ期试验开始招募患者,免费用药机会来了
试验名称
评价TQ-B3101胶囊单药治疗ROS1阳性非小细胞肺癌患者疗效和安全性的II期单臂、多中心临床研究
主要纳入标准
1、患者年龄≥18岁;
2、ECOG评分0~1分,预期生存期超过3个月;
3、通过组织学或细胞学证明诊断为局部晚期或转移性非小细胞肺癌;
4、提供ROS1阳性书面报告,或在入组前提供组织学标本、活检组织标本送中心实验室进行检测,并确认为ROS1阳性;
5、既往接受过不超过2个化疗方案(若接受超过2个化疗方案,则需再次进行检测,且检测结果确认为ROS1阳性);
6、详细纳入及排除标准可咨询全球肿瘤医生网医学部(400-6656-7998)。
申请流程
想申请的患者可以将基因检测报告、病理报告提交至全球肿瘤医生网医学部进行初步评估,我们的专家将为您全面分析解读检测报告、推荐新药及用药方案,并匹配适合入组的临床试验项目。
注:请将基因检测报告、诊断报告电子版或拍照发送至doctor.huang@globecancer.com,邮件中留下联系方式,医学部收到报告分析完毕后一个工作日内电话联系。
目前国内获批的ROS1抑制剂仅有克唑替尼一款,我们期待能有更多的获批药物与新药问世,为患者带来更多的治疗方案,更加有效地改善患者的生存情况。





发表评论