文章最后更新时间:2024-08-12 20:06:42,由春晓健康网负责审核发布,若内容或图片失效,请留言反馈!
肺癌质子治疗案例,肺癌质子治疗成功案例,13年无癌幸存者的肺癌治疗故事
查克·马丁内斯(Chuck Martinez)喜欢分享自己的故事,更乐于听到自己的故事为其他癌症患者及家属带来希望。
“一名终生未吸过烟的肺癌患者是很罕见的,我以为人们很难与我的故事产生共鸣。”查克说,“当我第一次尝试着分享我的故事的时候,我很犹豫,不知道该怎样将它更好地描述出来。”
但如今,查克总是在庆幸,幸好他选择了分享自己的故事,这才让那些需要鼓励、需要帮助、需要希望的人们得到了他们所希望看到的东西。

生命的马拉松
在2007年确诊肺癌之前,查克对质子治疗一无所知。他在接受过手术后,来到MD安德森癌症中心寻求第二医学意见,并在那里经过检查发现自己存在胸部淋巴结转移。
放疗是清除残余病灶最好的手段之一。MD安德森的专家建议他选择质子治疗。
肺癌的放射部位为胸部,查克的淋巴结病灶距离心脏和食管太近,采用常规放射疗法可能会严重损害心脏,导致长期的心脏疾病,同时可能导致食管损伤。
但质子疗法可以最大限度地避免这些损伤。查克说,治疗期间他确实感到了一些不适,比如皮肤刺激或者吞咽困难,但这并不严重,不能阻止他吃得好或者做任何想做的事情。结束质子治疗后,这些副作用就完全消失了。
结束了肺癌的治疗后,查克开始尝试着减肥。他减掉了30磅(约13.6公斤)的体重,又一次重拾因膝盖不适而中断了一年的慢跑。查克和他的妻子开始练习长跑,并于2010年加入了专业的训练计划。自2010年以来,查克完成了20场半马(半程马拉松)比赛,2017年后更是参加了两次全程马拉松比赛。他笑称,治好肺癌之后,他甚至觉得自己比患病前更健康了——即使他失去了一部分的肺。
无癌生存13年,在这场生命的马拉松赛场上,查克跑赢了自己的疾病,把肺癌远远地抛在了身后。
质子疗法vs标准放射治疗,放射损伤降低60%
质子疗法是对标准放射疗法的改良与提升。采用质子束取代标准放疗所使用的光子束,再与当前先进的三维、适形、调强等技术相结合,能够有效提升放疗的疗效。正是因此,质子疗法被日本医学界誉为“放疗的最高技术与未来趋势”,代表着放射疗法更高精度、更小副作用的发展方向,是当前研究的热门之一。
根据美国临床肿瘤学会(ASCO)的研究数据,质子疗法可以降低靶部位周围组织所受到的放射剂量的60%,并将这些剂量充分应用至病灶部位。
X射线(光子束)携带的能量为4~18 MeV,质子束携带的能量可以达到70~230 MeV。在采用质子治疗的时候,医生可以更加容易地确定在何时、何部位释放能量,更好地将放射剂量集中于病灶组织,避免伤害周围健康组织。
在标准放射治疗中,X射线光束在击中靶病灶之前,即穿过人体时会沿其路径沉积能量;在击中靶病灶之后,仍然会残余大量放射剂量,并沿光束路径持续释放、伤害健康组织,这被称为“退出剂量”。
而质子重量相对较重,会在击中目标时停止,不会产生“退出剂量”。

图中所示为光子疗法(绿色)与质子疗法(蓝色)在照射时的剂量变化。纵轴为照射剂量,横轴为进入人体的距离。
我们可以清楚地看到,X线(光子束)在进入人体时及进入人体后较短距离内就会达到一个很高的放射剂量,此后逐渐下降。直到照射至病灶部位时,剂量强度仅仅约为最高峰的50%。且在经过病灶部位后,仍会保持一定的剂量,缓慢衰减。
而质子束在进入人体后,剂量基本保持平稳,直到照射至病灶部位时升高并达到高峰,释放最大的能量;并在经过病灶部位后迅速降低,在很短的距离内衰减至0,对于病灶部位后方的正常组织造成的放射很小。
总得来说,在保持病灶部位所受放射剂量一致的情况下,质子治疗方案对于病灶以外的正常组织造成的放射剂量低于光子方案。且质子治疗方案最大的特点是,质子束在击中病灶区域后剂量迅速降低至零;光子束却会一直穿过人体,剂量缓慢衰减,至穿出人体。
这样的特点,为质子疗法带来了三大显著优势。
照射剂量更高
质子疗法更适合需要更高放射剂量的肿瘤。由于质子束携带的能量更强、照射过程中损失的能量更少,与标准放射治疗相比,质子疗法能够对靶病灶提供更高的放射剂量,进而达到更好的疗效。
一项发表于CANCER杂志上的研究中,采用质子疗法联合化疗治疗局限期小细胞肺癌患者,完全缓解率达到40.7%,部分缓解率55.6%,另有3.7%的患者病情稳定;所有患者1年病情控制率85%,2年病情控制率68.6%,中位无复发生存期达到14.3个月。

图A/B/C分别为患者局部控制、无复发生存及无进展生存情况
图片来源:acsjournals
副作用更少
质子疗法有效降低了正常组织受到的放射损伤,因此有降低放疗不良反应的效果,对于前列腺癌及影响前列腺、脊柱、头部和颈部的肿瘤有更好的疗效。

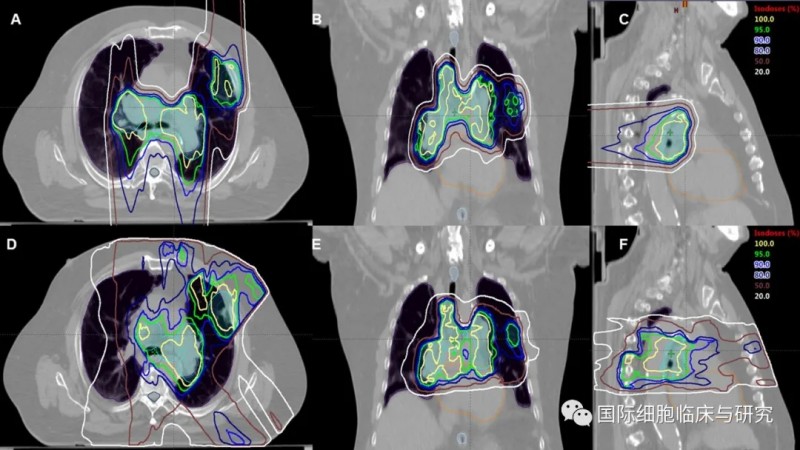
质子疗法(图A、B、C)与光子疗法(图D、E、F)的照射范围对比
图片来源:acsjournals
在进行胸部放疗时,患者的脊髓、心脏、食管及健康肺组织等部位暴露于放射线下,极易导致包括肺炎、食管炎、心包积液等在内的严重放射毒性。与标准放射治疗相比,质子疗法的照射更加“精准”,且其在释放最大剂量后迅速衰减的特性,能够尽可能地降低对于病灶部位后方正常组织造成的伤害。
二次肿瘤发生率更低
二次原发肿瘤指癌症患者在无进展生存后再次发生的肿瘤。在靶病灶以外的正常组织中,因放射治疗而继发肿瘤被称为放射治疗诱导的二次原发肿瘤。儿童患者接受放疗时尤其应当重视二次肿瘤的风险。
许多研究结果都已经证实,在各癌种的治疗中,采用质子疗法进行治疗,发生二次肿瘤的风险更低。
哪些患者适合接受质子治疗
质子疗法适用于对放射线敏感的部位附近的肿瘤,尤其是采用标准放射治疗可能造成严重不良后果的肿瘤,如眼、脑及脊髓部位的肿瘤等。
全球肿瘤医生网整理总结了最适合采用质子疗法治疗的39种癌症类型,供各位病友参考。






发表评论