文章最后更新时间:2024-08-12 20:04:52,由春晓健康网负责审核发布,若内容或图片失效,请留言反馈!
奥希替尼耐药怎么办,EGFR TKI治疗后出现的RET基因突变融合是什么,已经上市的和在研的RET抑制剂有哪些
EGFR突变型肺癌人群是晚期肺癌中最幸运的一类患者,目前研发的一、二、三代TKI靶向药的口服治疗可让患者获得长期高质量生存,是目前肿瘤精准治疗的典范。特别是伴随2017年奥希替尼在国内上市,更让其生存优势提高到新的高度。
虽然奥西替尼为EGFR突变的非小细胞肺癌患者带来了新选择、新希望,但同其他靶向药物一样,依然逃避不了耐药的梦魇。RET融合是非小细胞肺癌的驱动基因之一,比例约2%。
同时,RET融合是奥希替尼获得性耐药的机制之一。值得一提的是,RET融合在奥希替尼获得性耐药患者中的发生率为4.9%(中国患者约4%),远高于一二代TKI的0.8%。因此,RET融合也是三代TKI的获得性耐药机制的研究热点。
虽然RET基因融合的突变率低,但阳性患者靶向治疗获益巨大,因此进行全部基因检测对患者意义重大。
今天无癌家园小编就分享一例关于EGFR突变且具有获得性RET融合患者的临床治疗病例。
三年两次靶向药耐药,疾病进展发现RET突变,对症治疗后肿瘤缩小78%
麻省总医院为了针对奥希替尼耐药机制进行调查,于2014年7月~2018年8月对41例EGFR突变型非小细胞肺癌患者采用单药奥希替尼治疗,并在进展时进行耐药性评估。
其中有一篇发人深省的病理报告。这是一名被诊断为del 19 EGFR突变晚期非小细胞肺癌的60岁女性患者,医生给予阿法替尼治疗,结果1年后疾病出现进展。基因检测发现T790M突变,报告提示患者对阿法替尼出现耐药,医生下一步自然就使用奥希替尼。但是,在奥希替尼治疗18个月后,患者的病情再次出现进展。然后她接受了胸膜活检,发现存在CCDC6-RET融合。基线组织的RET荧光原位杂交 (FISH) 为阴性,表明确实获得了CCDC6-RET融合。
结果令人出乎意料,患者居然在两次耐药后出现了RET融合!
幸亏再次做了基因检测,主治医生根据临床成功经验调整患者的用药方案,开始每天奥希替尼80 mg+Pralsetinib(BLU-667,普雷西替尼)200 mg,然后在治疗2周后BLU-667的剂量增加至300 mg。
病情开始发生惊人逆转,奥希替尼+BLU-667的用药方案治疗几天后,患者的呼吸困难就显著改善了,8周后影像学可见肿瘤缩小了78%。在治疗16周后进行的随访成像中可以看到确认的部分缓解!

患者1对奥希替尼和 BLU-667 的治疗反应。胸部连续冠状对比增强计算机断层扫描图像显示,在用 BLU-667 和奥希替尼(右)治疗 8 周后,基线(左)看到右下叶肺肿块和胸膜结节(红色箭头),部分反应。
这则病例耐人寻味之处在于,RET融合是奥希替尼获得性耐药机制之一,而这在以往的临床工作中可能没有引起足够的重视。
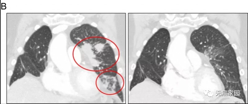
根据这位患者的治疗经验,临床医生又确定了一名类似的患者(患者2)。一名67岁的女性患者,因IIIA期del19 EGFR突变型肺腺癌接受手术和辅助顺铂/培美曲塞治疗,随后复发。她接受了2年的阿法替尼联合西妥昔单抗治疗,然后接受了肺活检,通过FoundationOne NGS 测试证明获得性NCOA4-RET融合(在治疗前活检中不存在)。
再次使用单独的个体患者研究新药 (IND)方案,每天服用奥希替尼80 mg+BLU-667 200 mg,持续2周,然后每天服用300 mg的BLU 667,持续2周后最终升级至每天400 mg。8周后的扫描也显示了显著的临床改善,影像学成像肿瘤缩小了78%!

患者2对奥希替尼和 BLU-667 的治疗反应,与基线(左)相比,左上叶和左下叶肺混浊(右;圈出)有显著改善。
结合以上几个病例报告不难看出,RET特异性抑制剂Pralsetinib(BLU-667,普雷西替尼)对EGFR TKI治疗后出现RET融合的患者,具有显著的治疗效果。
而无癌家园小编在此再次强调,EGFR TKI治疗后出现进展,应该考虑出现RET融合的可能,需要积极进行基因检测,而更广泛、更全面的基因检测是最好的选择。只有这样才能帮患者找到治疗的靶点,让患者重新获得生的机会。
关于热门靶点RET,快点来认识下
RET激酶的基因组改变包括融合和点突变,从而导致RET信号过度活跃和细胞生长不受控制。RET融合和突变发生在多种肿瘤类型中,且发生频率不同。
据统计,在非小细胞肺癌里面,大约1%~2%的患者有RET基因融合,在甲状腺髓样癌中超过60%的患者有RET基因突变,在乳头状甲状腺癌中10%的患者有RET基因融合,具体的信息大家可以看下面的图。所以大家做过多基因检测的患者,可以先看看是否有这个RET基因突变或者融合,一旦检测出来,大家就有希望使用相关靶向药!还没有检测的,小编建议大家选择NGS技术进行全面的检测。

RET融合:非小细胞肺癌2%,甲状腺癌10%·20%,胰腺癌<1%,唾液腺癌<1%,结直肠癌<1%,卵巢癌<1%;
RET突变:甲状腺髓样癌>60%
FDA批准的两款RET突变靶向药
在2017年之前,针对RET突变只能通过多激酶抑制剂(例如vandetinib和cabozantinib)治疗,效果不佳。
2020年,RET基因变异的治疗取得了巨大的飞跃,两款有效率超高的抑制剂获批上市!
塞尔帕替尼(LOXO-292)的颅内反应率高达91%!
普雷西替尼(BLU-667)接近60%!
临床数据显示,无论是否接受过治疗,目标病灶都会消退,并且疾病控制时间持久!
目前有一款口服多靶点抑制剂药物HA121-28(对EGFR、RET等靶点均有抑制作用)、我国自主研发1类小分子创新药SY-5007(高活性RET抑制剂)正在临床招募中,适应症均是二线治疗RET融合阳性肺癌患者。想参加临床试验的癌友可以咨询无癌家园医学部,详细评估病情。
针对肺癌RET基因,两大新药横空出世
目前,我们在临床试验网站上查到RET共有46项临床试验,其中36项是开放性的,针对非小细胞肺癌的临床试验有17项,在这些新药的临床研究中,已经有多款新型药物已经公布了卓越的临床试验数据,非常值得振奋和期待。

01、客观缓解率75%!又一款RET抑制剂强效来袭
药品名称:RXDX-105
作用靶点:RET/BRAF研发公司:罗氏
药物介绍:RXDX-105是Ignyta公司为解决耐药问题而开发的一种多激酶抑制剂。
临床数据:2017 年ESMO会上公布了21例参加临床试验的RET融合患者数据,这些患者先前均未接受过针对RET融合的靶向治疗,其中13例为KIF5B-RET融合,8例非KIF5B-RET。结果显示,13例KIF5B-RET融合患者中没有肿瘤客观缓解病例,只有3例疾病稳定超过6个月。而8例非KIF5B-RET融合患者中有6例(75%)肿瘤客观缓解。
02、第二代RET抑制剂TPX-0046曙光初现
药品名称:TPX-0046
作用靶点:RET研发公司:TurningPoint
药物介绍:TPX-0046 是第二代 RET 抑制剂,TPX-0046 的分子量 (MW) < 430,比 BLU-667 (MW 533.6) 和 LOXO-292 更紧凑,因此可克服在 BLU-667 或 LOXO-292 治疗后产生的潜在 RET 抗性突变。在一项临床前研究中,该药物对多种RET改变的细胞和患者来源的肿瘤异种移植模型具有活性。

临床数据:
2021 年 4 月 5 日,TPX-00461/2 期 SWORD-1 研究的初步临床数据显示,共有 21 名患有 RET 改变的 NSCLC 或 MTC 的患者接受了 TPX-0046治疗,在 5 名未接受过 RET TKI 的患者中,4 名显示肿瘤消退;在 9 名 TKI 预处理患者中,3 名患者肿瘤消退。
小编有话说
既往RET基因融合的非小细胞肺癌患者只能进行一二线化疗,BLU-667和LOXO-292将有望改变国内RET融合阳性非小细胞肺癌患者的治疗标准。在肺癌精准治疗领域,针对RET靶点的研发是继EGFR、ALK、ROS1和NTRK等靶点后另一个巨大的突破!
Tips:哪些患者需要求助国际专家
实际上,无癌家园主张在刚得知病情时,就能通过远程会诊获取国际诊疗的第二意见,再决定进一步的治疗方案,这有可能会为你带来更多的选择,详情咨询医学部。
以下几类患者需要重点考虑国际会诊:
1、在治疗药物的选择上遇到了瓶颈;
2、病情复杂,诊断不明确;
3、对治疗方案或结果不满意,想寻求新方案;






发表评论