文章最后更新时间:2024-08-12 20:04:48,由春晓健康网负责审核发布,若内容或图片失效,请留言反馈!
肺癌脑转移靶向药有哪些.肺癌脑转移治疗有新药了
脑转移简直是肺癌患者的噩梦,据统计35%~50%的肺癌患者会出现脑转移,这意味着患者的自然生存时间只有1-3个月。虽然目前肺癌的靶向和免疫药物是研发和上市最多的,但是由于存在血脑屏障,大部分药物的入脑效果并不好,肺癌脑转移的患者迫切的需要能改善的治疗方案。
值得振奋的是,近两年突破血脑屏障的新药纷纷问世,各类肺癌靶点都出现了针对脑转移有效的“特药”,其中几款药物因强大的入脑活性在2021年各大肿瘤学会议上震惊四座,在公布的治疗案例中,甚至可以让脑转移病灶完全缓解,迅速火遍癌友圈。如果肺癌患者不幸出现脑转移并且脑内转移的数量很多,那么这些物将给患者带来全新的选择和希望。快转给身边的医生和病友们一起看看这些重磅进展吧。
EGFR--三代靶向药力挽狂澜
EGFR突变是非小细胞肺癌中最常见的突变类型,研发和上市的药物也是最多的,在众多的药物中,作为EGFR的王牌药物,ADZ9291对比一代和二代的靶向药,各项临床数据都非常惊艳。除此之外,这款药物最大的突出优势之一就是强效抗脑转。
在著名的FLAURA的III期试验中,556例患者中有21%出现脑转,9291一线治疗脑转中位无进展生存期(PFS)达到15.2个月,完胜一代药物(9.6个月)。并且脑转移患者的客观缓解率(ORR)也就是我们常说的有效率高达77%。展现了9291强大控制颅内病灶的能力,临床对于脑转EGFR+患者应优先考虑。
除此之外值得振奋的是,我们国家自主研发的三代EGFR抑制剂伏美替尼也展现出了卓越的抗脑转实力。
2021年3月,伏美替尼(原名艾氟替尼)获得中国药监局批准上市,用于治疗EGFR T790M突变阳性的局部晚期或转移性非小细胞肺癌患者。以下是几款入脑效果较好的EGFR抑制剂临床数据对比图,给病友们参考。大家如果不清楚哪种药物更适合,可以联系全球肿瘤医生网医学部进行基因检测报告的解读和病情分析。

ALK--劳拉替尼进军一线治疗,实力抗脑转
劳拉替尼(Lorlatinib)自问世以来就备受青睐,这款三代靶向药物的强大之处在于可以克服所有已知的ALK抗性突变并可通过血脑屏障;可抑制克唑替尼耐药的9种突变,对二代TKI药物耐药后仍有较高的有效性;同时劳拉替尼也具有较强的血脑屏障透过能力,入脑效果较强,特别适合对其他ALK耐药的晚期NSCLC患者。
比如48岁的M女士被诊断为左下叶IV期非小细胞肺癌,基因检测结果显示存在ALK重排,先后接受了一代靶向药克唑替尼和二代靶向药色瑞替尼的治疗,都无法控制病情进展,很快出现了严重的脑转移症状,如右臂进行性轻瘫以及新的阻塞性脑积水,继续治疗后病情持续恶化,最终M女士出现昏迷。
就在生命垂危的时候,M女士开始尝试三代药物劳拉替尼的治疗,令大家出乎意料的是,仅一个月,M女士的意识竟然完全恢复了,右臂轻瘫明显改善,仅出现极少的神经后遗症。一年后,M女士仍几乎没有神经系统症状,大脑的MRI扫描没有转移迹象。
下面是M女士的MRI,A,C图显示在克唑替尼使用期间发生了多个颅内转移,B,D显示M女士接受劳拉替尼治疗一周后,颅内转移灶迅速消退。

目前,劳拉替尼已获批ALK阳性非小细胞肺癌的一线治疗,因此ALK+脑转患者可有限考虑。
ROS1--一代二代靶向药纷纷登场
01、恩曲替尼
根据2019年12月发表在“柳叶刀肿瘤学”的最新汇总分析的结果显示,恩曲替尼(Rozlytrek)对ROS1融合阳性非小细胞肺癌(NSCLC)患者的总缓解率(ORR)为77%,中位缓解期(DOR)为24.6个月,其中颅内ORR为55.0%!意味着这款药物对一半以上的脑转患者都是有效的。甚至还有幸运的患者接受治疗后脑部病灶完全消失!
比如53岁的L先生,从来不吸烟。但不幸的是,2014年5月确诊为非小细胞肺癌,进行肺叶切除手术后进行化疗,不幸的是,仅一年,病情出现了全面进展,纵膈,腹腔多发淋巴结转移,胸膜播散,以及最致命的脑转移。2016年1月,进行了全基因组测序后,发现存在ROS1融合,患者有幸入组恩曲替尼的新药试验,治疗两个周期后,脑部的病灶就缩小了80%以上。

治疗前 治疗两个周期后
科罗拉多大学癌症中心胸科主任Robert C. Doebele博士说:
“数据看起来非常令人兴奋。希望entrectinib(恩曲替尼,RXDX-101)可以取代crizotinib(克唑替尼,通常不能穿透大脑和中枢神经系统(CNS))作为抗ROS1阳性NSCLC的一线疗法!
就我个人而言,如果我是一名患者,并且觉得我有可能会出现脑转移,我会想要这种高效对抗脑转的药物。”
02、Taletrectinib
在2021年6月7日的ASCO大会上,第二代广谱抗癌药Taletrectinib(DS-6051b / AB-106)公布了最新的用于ROS1融合阳性非小细胞肺癌患者的二期临床试验数据,引起了巨大的轰动。
这款药物不仅对于初治的ROS1阳性肺癌患者的客观缓解率(ORR)高达93%,并且具有强大的入脑活性。
一位49岁的男性患者,确诊为ROS1阳性非小细胞肺癌,既往接受了化疗和克唑替尼的治疗后病情进展,出现脑转移。接受Taletrectinib(600mg,QD)治疗后迅速出现响应,第6周的影像学检查显示脑部转移病灶明显缩小,达到部分缓解状态(PR)。

这两大抗癌“特药”的中国临床研究已经由国内两大知名癌症中心牵头,正式启动,并且值得一提的是,首例中国大陆受试者通过全球肿瘤医生网抗癌新药招募中心成功入组接受治疗!目前,除了恩曲替尼和AB-106,还有众多ROS1新药在国内开始开始招募患者了,国内的患者有机会免费接受最前沿抗癌药物的治疗,想参加的患者尽快联系全球肿瘤医生网医学部吧!
KRAS靶点--40年"铁树"开花,众多新药强势登场
2021年5月29日,针对特定的KRAS G12C突变有效,让我们期待了两年的“革命性抗癌药Sotorasib(AMG-510)终于获得FDA批准,用于治疗患有KRAS G12c突变的非小细胞肺癌患者,成为全球首款针对KRAS的靶向药,具有里程碑式的意义!因为这款药物打破了KRAS这个臭名昭著的靶点不可成药的魔咒,40年无药可医的“铁树”终于“开了花”。
同时,针对这一靶点的更多备受瞩目,临床数据惊艳的KRAS明星药物也加紧了上市步伐!
2021年6月24日,美国食品药品监督管理局(FDA)已授予另一款明星药物Adagrasib突破性疗法认定,用于治疗先前接受过全身治疗的携带KRASG12C突变的非小细胞肺癌(NSCLC)患者。
这款药物不仅治疗非小细胞肺癌患者有96%(49/51)观察到临床获益(DCR),超越了AMG510,更值得一提的是,Adagrasib(MRTX849)可以穿透血脑屏障,对于脑转移的患者也有效,会议上报道了一个患者案例:
一位77岁的女性KRAS G12C突变非小细胞肺癌患者,既往接受了多种方案的放化疗,PD-1治疗,仍然无法阻止病情进展,出现肝脏和脑部的多发转移,临床上已经没有更好的治疗方案,在接受试验性药物Adagrasib(MRTX849)治疗后7个周期后,肺部病灶缩小67%,脑部病灶消退了!目前仍在接受治疗。

这个数据意义非比寻常,将给KRAS G12C突变非小细胞肺癌患者新的治疗机会。
NTRK靶点--完全缓解!两大抗癌"特药"不断创造奇迹
01、恩曲替尼
恩曲替尼(Entrectinib,RXDX-101)这款小分子靶向药,是一种多靶点抑制剂,上文我们写ROS1的靶点时已经介绍过,它对ROS1,ALK,NTRK基因异常的癌症都能发挥“神奇”的抗癌效果。根据目前的数据,恩曲替尼对25类癌症有效。这款药物已在2019年获得美国FDA批准,用于一线治疗携带NTRK融合实体瘤和ROS1融合非小细胞肺癌!
FDA获批的数据显示:
在NTRK融合阳性实体瘤患者中,entrectinib(恩曲替尼,RXDX-101)的客观缓解率ORR(肿瘤缩小)为57.4%,并且在横跨10种不同类型肿瘤中均观察到了客观缓解(肿瘤缩小)。存在脑转移的患者中,entrectinib的颅内客观缓解率ORR为54.5%,其中超过1/4实现完全缓解(病灶全部消失)。
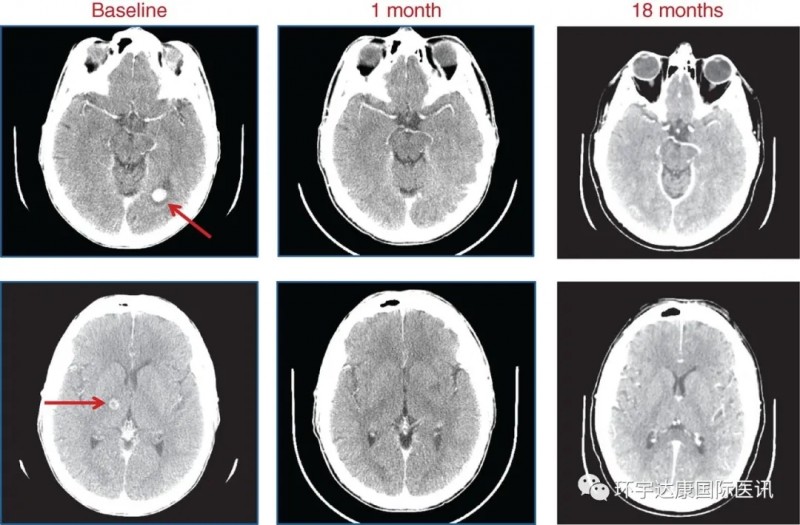
一位存在SQSTM1–NTRK1重排肺癌患者出现了严重的脑转移,有15~20个病灶,下面的CT 显示了左侧枕叶(顶部)和右侧丘脑(底部)的转移(红色箭头)。患者接受了恩曲替尼的治疗,在使用 entrectinib 1 个月和 18 个月时做了CT复查,显示在治疗18个月时,患者的病灶已经全部消失,(数据截止时)评效获得 CR(完全缓解)。

02、TPX-0005
Repotrectinib(瑞波替尼,代号TPX-0005)是第二代ALK/ROS1/TRK抑制剂,也是新一代的广谱抗癌药,临床证实其效力比克唑替尼高90倍。在截止至2019年7月22日的第一阶段数据显示,未接受过TKI治疗的ROS1阳性患者的客观缓解率高达91%。11例可评估的ROS1阳性NSCLC 患者的总体缓解率为82%,令人兴奋的是,颅内反应率为100%,临床受益率为100%,超越目前所有的靶向药。有望成为超越上市明星产品Larotrectinib (拉罗替尼,LOXO-101)、Entrectinib (恩曲替尼, RXDX-101)的新一代广谱抗癌新星。
一位69岁的女士,确诊为非小细胞肺癌时就已经是晚期,出现了肝转移和多发性脑转移。经过基因检测后发现存在CD74-ROS1重排,于是参加了一种新药的临床试验,这款药物就是repotrectinib(TPX-0005,瑞波替尼),在每天接受一次40 mg repotrectinib治疗后15个月,肿瘤已经缩小了80%!(PR(-80%)),截至文献发表时,这位女士已经持续缓解20月。

写给病友的话
好消息是,这些针对特定的突变类型的抗癌新药大部分已在国内开展临床试验,这意味着,国内的患者也有机会免费接受国际抗癌新药的治疗。
需要申请临床试验的患者需将基因检测报告、病理报告提交至全球肿瘤医生网医学部进行初步评估,我们的专家将为您全面分析解读检测报告,一个工作日内电话联系推荐新药及用药方案,并匹配适合入组的临床试验项目。
此外,需要提醒大家的是,在使用前需要先进行基因检测明确有无突变的靶点(EGFR,ALK,ROS1,KRAS,NTRK...)。“方舟基因计划”“由全球肿瘤医生网联合无癌家园、权威基因检测机构、国际药厂、知名肿瘤中心发起的针对需要进行全基因检测癌症家庭的援助活动。本计划旨在降低肿瘤患者基因检测费用,为患者提供上市新药和未上市新药免费治疗的机会。
参考资料:
https://cancerdiscovery.aacrjournals.org/content/7/4/400





发表评论