文章最后更新时间:2024-08-12 20:04:26,由春晓健康网负责审核发布,若内容或图片失效,请留言反馈!
小细胞肺癌放疗,小细胞肺癌质子放疗,小细胞肺癌质子治疗为小细胞肺癌患者带来全新希望
一项发表于CANCER杂志上的研究结果证实,采用质子疗法治疗小细胞肺癌,可以在获得较好的疗效的同时,有效降低放射毒性,降低不良反应的发生率。
质子疗法——小细胞肺癌的治疗新手段
小细胞肺癌约占支气管源性肺癌的15%~20%,但整体5年生存率仅20.5%。约80%的小细胞肺癌患者在确诊时已经无法接受手术治疗,对于这部分患者来说,化疗是最重要的治疗方案之一。一项针对多个试验的统计数据提出,对于非小细胞肺癌患者来说,从开始治疗计算,完成放疗的时间每延后一周,5年生存的可能性降低4%!
尽管这种癌种对于放射治疗格外敏感,但由于特殊的生理位置,接受放射治疗时,患者包括脊髓、心脏、食管等在内的正常组织可能遭受不必要的损伤。
一项发表于CANCER杂志上的研究中,采用质子疗法联合化疗治疗局限期小细胞肺癌患者,完全缓解率达到40.7%,部分缓解率55.6%,另有3.7%的患者病情稳定;所有患者1年病情控制率85%,2年病情控制率68.6%,中位无复发生存期达到14.3个月。
在疗效理想的同时,这种疗法还显示出了不错的安全性。与传统放射疗法(光子疗法)相比,质子疗法对于患者的脊髓、正常肺组织及心脏的放射剂量显著降低。
什么是质子疗法
质子疗法属于放射治疗的一种,治疗时采用质子束对病灶进行照射。质子释放的能量是远远大于普通放疗中所使用的X射线的,X射线的能量为4~18 MeV,质子的能量却可以达到70~230 MeV。
质子是相对较重的带正电的粒子,它们会在击中目标时停止。而X射线束由光子组成,光子是几乎没有质量的粒子,因此它们会一直穿过身体,包括健康的组织。

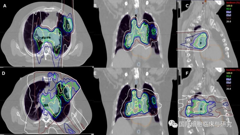
采用质子疗法治疗胸部肿瘤的照射范围
图片来源:acsjournals
如果将X线比作篮球,那么质子线就是铅球,下面这张图形象地说明了质子的物理学特性。

我们可以清楚地看到,在红色肿瘤的位置释放最大的能量后,质子束的放射剂量会迅速降为零,形成独特的布拉格峰,几乎不会损伤到后面的正常心脏组织。而X线照射的特点却是初进人体时剂量最大,随着穿过组织而逐步衰减。如果肿瘤部位较深,可能X线在肿瘤部位的照射剂量仅剩50%左右。更为严重的是,X射线还会对肿瘤后面的正常心脏组织造成辐射伤害。
质子疗法治疗小细胞肺癌有哪些优势
在小细胞肺癌的治疗领域,质子疗法具备多种优势:
①对正常细胞的影响极小,因此与普通放疗相比,副作用小;
②可以安全照射对放射线敏感器官周围的肿瘤;
③与普通放射治疗相比,治疗周期短;
④治疗中不会有疼痛感和灼热感,可以不用住院;
⑤由于儿童的正常组织受到过量辐射可能导致生长发育异常,因此质子治疗比传统放射治疗更适用于儿童肿瘤。
只要是允许采用放射治疗的肿瘤,都可以考虑采用质子治疗来提升疗效,并将正常组织受到的伤害降到最低。
接受胸部放疗时,患者的脊髓、心脏、食管及健康肺组织等部位暴露于放射线下,极易导致包括肺炎、食管炎、心包积液等在内的严重放射毒性。而采用质子疗法治疗小细胞肺癌,能够更好地将放射剂量集中于病灶部位,降低正常组织受到的辐射,减轻或减少不良反应。
在这一研究中,仅3.3%的患者发生了3级以上的严重肺炎;在每日接受两次质子治疗的患者中,仅1例患者发生心包积液,1例患者经历了4级严重食管炎;在每日接受一次质子治疗的患者中,唯一的3级毒性反应是厌食,没有观察到其他急性或3级及以上的毒性反应,没有患者因毒性反应而中断治疗,整体安全性良好。
整体来说,质子治疗小细胞肺癌疗效比较理想,且安全性较好。
同时,由于肺癌病变部位的特殊性,对于需要接受放疗的非小细胞肺癌患者来说,质子疗法也是不错的选择。
“王谢堂前燕”何时“飞入寻常百姓家”
尽管有各种各样的优势,但长期以来,患者们对于“质子疗法”这一方案还是稍有陌生,这很大程度上归咎于质子疗法高昂的成本。
质子治疗设施的建造成本高达数亿美元,并且设备重达196吨,非常庞大复杂,对场地要求也极为严格,全球的设备加起来也不过几十台。造价高昂导致质子疗法的价格居高不下,普及率也一直难以满足大多数患者的需求。而X射线中心的建造成本却只有不到1000万美元,光子放射疗法无论在国内还是全球普及率非常高,患者可以很方便地接受治疗。
质子疗法高昂的成本带来的不仅仅是不亲民的价格,出国就医的难度也让很多患者望而却步。幸而,目前国内质子治疗技术发展迅猛,多家质子中心落地,质子疗法这一曾经昂贵的高科技治疗手段终于有望“飞入寻常百姓家”。相信在不远的将来,国内患者一定可以以更加“亲民”的价格与更加方便的途径,享受这一高端科技带来的健康与便利。
参考资料
https://acsjournals.onlinelibrary.wiley.com/doi/full/10.1002/cncr.30870





发表评论