文章最后更新时间:2024-08-12 20:03:17,由春晓健康网负责审核发布,若内容或图片失效,请留言反馈!
EGFR外显子20插入突变(EGFR ex20ins)的非小细胞肺癌怎样治疗能打破短生存期的"魔咒"
2022年的ESMO EGFR突变非小细胞肺癌治疗专家共识当中提到了这样一句话,早期报告低估了EGFR外显子20插入突变(ex20ins)的患病率。
主要限于当时检测的水平,我们一直认为ex20ins是一种比较罕见的EGFR突变亚型,占所有EGFR的2%~6%。但最近随着二代测序(NGS)的发展与普及,我们逐渐意识到,ex20ins的占比远比我们想象中更高,大约占所有已鉴定EGFR突变的12%。
与EGFR经典突变型相比,ex20ins的晚期患者的预后是更差的,对于EGFR抑制剂的治疗原发性耐药,预后与接受化疗的野生型(EGFR阴性)病例基本相似。且这部分类型的患者和经典型EGFR突变患者一样,对于免疫疗法有一定的抗性,接受免疫治疗的疗效并不理想。
现实世界疗效:患者生存期更短,新药带来希望
与EGFR的“常见突变”(例如ex19del、ex21 L858R等)相比,ex20ins的患者的治疗更加困难,很难从已有的抗EGFR靶向治疗方案当中获益。
在针对性的药物问世之前,ex20ins患者能够选择的治疗方案主要包括三类:
1、化疗
化疗治疗EGFR ex20ins患者有一定的疗效,但整体来说并不理想。EGFR ex20ins患者的标准初始治疗是含铂化疗。既往研究显示,在患者接受一线铂类化疗失败后,使用多西他赛具有一定的疗效,整体缓解率14%,中位无进展生存期为3个月。
但这个数据已经基本与ex20ins患者接受抗EGFR靶向治疗的疗效持平了。
2、靶向治疗
2021年世界肺癌大会(WCLC)上曾经公开了一项回顾性分析结果,对比了常见的EGFR突变(cEGFR)患者与EGFR ex20ins患者在现实世界条件下接受包括EGFR抑制剂在内的各项标准治疗的疗效。
研究共筛选了62464例晚期非小细胞肺癌患者,其中,接受EGFR抑制剂治疗的ex20ins患者(共76例),发生疾病进展或死亡的风险足足比cEGFR患者(共2749例)高出了170%!
在现实世界治疗条件下,这部分ex20ins患者的中位无进展生存期为2.86个月,中位总生存期为7.46个月;而cEGFR患者的中位无进展生存期为10.45个月,中位总生存期为25.49个月。

即使是在EGFR非小细胞肺癌的治疗中屡建奇功的第三代EGFR抑制剂奥希替尼,也没能突破ex20ins的“阻碍”。
一项来自荷兰的试验,使用大剂量的奥希替尼(160 mg)治疗EGFR ex20ins阳性、T790M阴性的晚期非小细胞肺癌患者,受试患者共24例。结果整体缓解率为27%,包含了1例临床完全缓解的患者;中位无进展生存期为5.5个月,中位缓解持续时间为8.2个月,中位总生存期15.8个月。治疗中21%的患者需要减少治疗剂量。
虽然加大了剂量,但是27%的缓解率还是和其它报告差不多,不良事件的发生率也差不多,患者的耐受性更算不上理想。
本年度的欧洲肺癌大会上,一项来自欧洲EXOTIC的统计分析了来自欧洲的EGFR ex20ins非小细胞肺癌患者接受治疗的真实世界数据。
在接受了统计分析的126例患者当中,27.8%的患者接受了化疗,20%的患者接受了化疗+免疫治疗联合方案,16.5%的患者使用了奥希替尼,12.2%的患者使用了波齐替尼,8.7%的患者接受了mobocertinib(TAK-788)治疗,5.2%的患者选择了免疫检查点抑制剂单药方案,还有1.7%的患者使用了amivantamab(JNJ-6372)。
疗效方面,接受化疗联合或不联合免疫治疗的患者,疾病控制率为67.8%,中位总生存期12.2个月;接受奥希替尼治疗的患者,疾病控制率59.8%,中位总生存期7.9个月;接受波齐替尼治疗的患者,疾病控制率64.2%,中位总生存期9.2个月;接受mobocertinib治疗的患者,疾病控制率75%,中位总生存期15.9个月。
3、免疫治疗
另一条留给EGFR ex20ins患者的“出路”,则是近几年大放异彩的免疫检查点抑制剂。我们都知道PD-1抑制剂在EGFR突变非小细胞肺癌的治疗中效果并不理想,在派姆单抗的临床试验当中,缓解率一度低至0。
但ex20ins患者有着独特的免疫微环境。这部分患者当中PD-L1高表达的比例格外高,因此还是比较有希望从免疫治疗当中获益的。另一项研究当中分析指出,接受免疫治疗的EGFR ex20ins患者,整体缓解率为22.2%,中位无进展生存期10.0个月。
当然,我们前面提到的,来自欧洲EXOTIC的统计分析当中的结果,也同样比较支持这种观点。
部分案例也印证了这一点。
一位40岁的男性Ⅳ期肺腺癌患者,存在多处纵隔淋巴结及骨转移。患者PD-L1 TPS为2%,二代测序提示EGFR ex20ins突变。从确诊后5个月开始,患者接受了派姆单抗+培美曲塞+卡铂的一线治疗,同时接受了针对骨转移病灶的放疗。从2个周期后患者的疾病有所改善,一线治疗的无进展生存期为9个月。后患者疾病进展,更换方案为派姆单抗+多西他赛+贝伐珠单抗,至病例发布时疾病保持稳定。

另一位76岁的男性Ⅳa期肺腺癌患者,在二线治疗后发现了EGFR ex20ins突变,肿瘤突变负荷为6.72 突变/Mb。患者三线治疗选择了纳武单抗+多西他赛+卡铂,胸腔积液明显减少,呼吸困难及胸闷症状得到了良好的控制,肺部病变稳定,ECOG体能评分从2分提升到了0分,整体状态明显改善。

"武器库"持续扩充,新药物为患者带来希望
随着研究重心的倾斜,目前临床上已经有了越来越多专门针对EGFR ex20ins的靶向治疗药物,患者的治疗前景非常光明。其中,两款药物已经先后获得FDA批准上市。
1、Mobocertinib
Mobocertinib(TAK-788)治疗的整体缓解率为35%,中位治疗时间13.9个月,中位无进展生存期7.3个月。

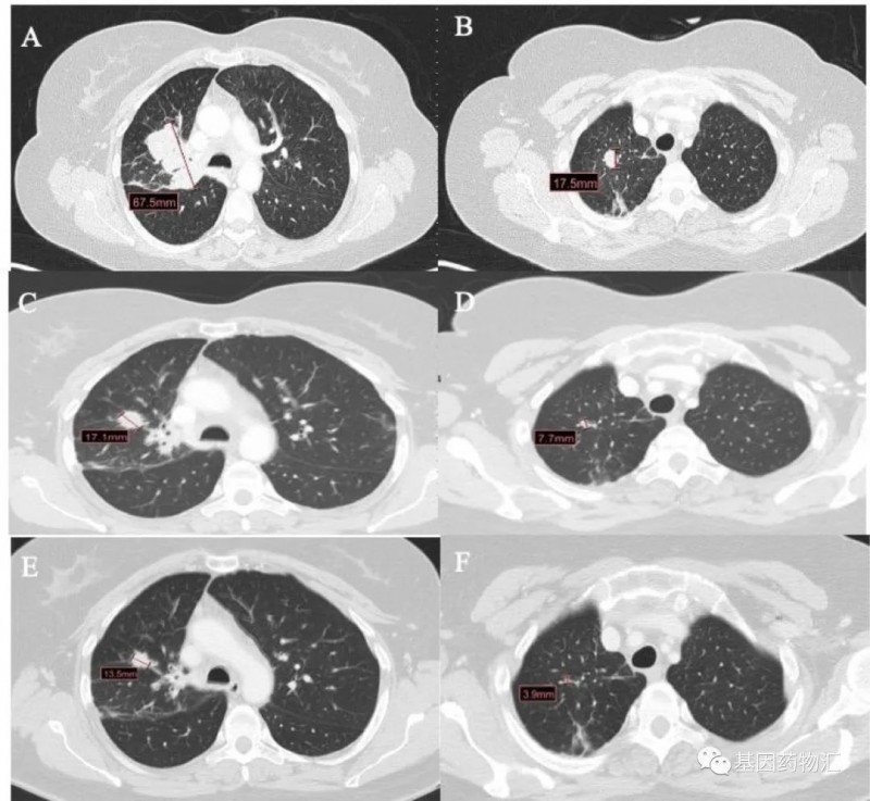
一位49岁的女性患者,罹患Ⅳ期肺腺癌,且测试存在EGFR ex20ins阳性,为EGFR P772_H773insPNP和TP53共突变。
患者从2018年7月开始接受卡铂+培美曲塞治疗,4个周期后继续使用培美曲塞维持治疗1年。至2019年7月患者复查CT时发现肺部和淋巴结进展,于是接受了Amivantamab(JNJ-6372,JNJ-61186372)的治疗,再次达到临床缓解,持续了9个月。
至2020年5月,患者出现了严重的背痛症状,CT检查显示骨骼与淋巴结进展。患者接受了姑息性放疗,以及多西他赛+尼达尼布(Nintedanib)方案治疗,但提示了疾病进展。
此后患者接受了Mobocertinib(TAK-788)的临床试验,达到了临床缓解,症状显著改善。至结果发布时,患者的疗效已经持续了超过8个月。

2、Amivantamab
Amivantamab(JNJ-6372)治疗的整体缓解率为40%,中位治疗时间11.1个月,中位无进展生存期8.3个月,中位总生存期22.8个月。

EGFR外显子20插入突变临床试验招募
如果您罹患非小细胞肺癌,为EGFR外显子20插入突变(ex20ins)亚型,且已经对一线化疗方案耐药,我们邀请您参加本项针对非小细胞肺癌的二线治疗的研究项目。本项目会为受试患者提供靶向治疗药物EGFR ex20ins抑制剂联合奥希替尼的试验性治疗方案,将有望帮助您疾病的治疗或稳定。
1、招募条件
1.非小细胞肺癌患者。
2.EGFR突变,20号外显子插入突变亚型(ex20ins)。大家可以把检测报告发给我们,由我们安排专业的医学顾问来为您解读。
3.患者基本能够自理,或至少基本能够起床活动。
4.能够提供病理组织切片(白片),或者愿意做穿刺取组织。
5.具体的招募标准因项目而不同,我们会在了解您的实际情况之后与您详细沟通。
2、重点提示
1、正在接受治疗、且对于现有方案获益的患者,通常不建议盲目参加临床试验项目,但您可以联系我们提前了解;
2、已经接受过EGFR抑制剂治疗的患者可能需要考虑其它临床试验方案,您可以咨询基因药物汇,我们会在详细了解您的治疗经过之后,协助您选择下一步方案。





发表评论